老年患者血管性水肿背后的隐藏线索。

IF 0.4 Q3 MEDICINE, GENERAL & INTERNAL
Oxford Medical Case Reports Pub Date : 2025-09-15 eCollection Date: 2025-09-01 DOI:10.1093/omcr/omaf157
Okan Cetin, Ilkim Deniz Toprak, Gamze Kemec, Simge Erdem, Gulcin Yegen, Semra Demir
{"title":"老年患者血管性水肿背后的隐藏线索。","authors":"Okan Cetin, Ilkim Deniz Toprak, Gamze Kemec, Simge Erdem, Gulcin Yegen, Semra Demir","doi":"10.1093/omcr/omaf157","DOIUrl":null,"url":null,"abstract":"<p><p>Acquired angioedema (AAE) is a rare, potentially life-threatening condition caused by bradykinin, typically presenting as recurrent, non-pitting facial swelling without urticaria. Unlike hereditary forms, acquired angioedema arises later in life and may be associated with underlying B-cell lymphoproliferative disorders. We report a 62-year-old woman with persistent antihistamine-unresponsive facial angioedema, fatigue, and moderate splenomegaly, which led to further work-up for AAE. Low C4 and C1 inhibitor (C1-INH) was detected, with normal C1q levels. Given the presence of splenomegaly and cytopenia, further evaluation of lymphoproliferative disease was pursued. Bone marrow biopsy confirmed splenic marginal zone lymphoma (SMZL), and rituximab-based chemotherapy resulted in full remission of both lymphoma and angioedema. This case highlights the importance of evaluating elderly patients with unexplained angioedema and organomegaly for hidden lymphoproliferative disease. Treating the underlying disease can resolve symptoms and improve outcomes.</p>","PeriodicalId":45318,"journal":{"name":"Oxford Medical Case Reports","volume":"2025 9","pages":"omaf157"},"PeriodicalIF":0.4000,"publicationDate":"2025-09-15","publicationTypes":"Journal Article","fieldsOfStudy":null,"isOpenAccess":false,"openAccessPdf":"https://www.ncbi.nlm.nih.gov/pmc/articles/PMC12448378/pdf/","citationCount":"0","resultStr":"{\"title\":\"A hidden clue behind angioedema in an elderly patient.\",\"authors\":\"Okan Cetin, Ilkim Deniz Toprak, Gamze Kemec, Simge Erdem, Gulcin Yegen, Semra Demir\",\"doi\":\"10.1093/omcr/omaf157\",\"DOIUrl\":null,\"url\":null,\"abstract\":\"<p><p>Acquired angioedema (AAE) is a rare, potentially life-threatening condition caused by bradykinin, typically presenting as recurrent, non-pitting facial swelling without urticaria. Unlike hereditary forms, acquired angioedema arises later in life and may be associated with underlying B-cell lymphoproliferative disorders. We report a 62-year-old woman with persistent antihistamine-unresponsive facial angioedema, fatigue, and moderate splenomegaly, which led to further work-up for AAE. Low C4 and C1 inhibitor (C1-INH) was detected, with normal C1q levels. Given the presence of splenomegaly and cytopenia, further evaluation of lymphoproliferative disease was pursued. Bone marrow biopsy confirmed splenic marginal zone lymphoma (SMZL), and rituximab-based chemotherapy resulted in full remission of both lymphoma and angioedema. This case highlights the importance of evaluating elderly patients with unexplained angioedema and organomegaly for hidden lymphoproliferative disease. Treating the underlying disease can resolve symptoms and improve outcomes.</p>\",\"PeriodicalId\":45318,\"journal\":{\"name\":\"Oxford Medical Case Reports\",\"volume\":\"2025 9\",\"pages\":\"omaf157\"},\"PeriodicalIF\":0.4000,\"publicationDate\":\"2025-09-15\",\"publicationTypes\":\"Journal Article\",\"fieldsOfStudy\":null,\"isOpenAccess\":false,\"openAccessPdf\":\"https://www.ncbi.nlm.nih.gov/pmc/articles/PMC12448378/pdf/\",\"citationCount\":\"0\",\"resultStr\":null,\"platform\":\"Semanticscholar\",\"paperid\":null,\"PeriodicalName\":\"Oxford Medical Case Reports\",\"FirstCategoryId\":\"1085\",\"ListUrlMain\":\"https://doi.org/10.1093/omcr/omaf157\",\"RegionNum\":0,\"RegionCategory\":null,\"ArticlePicture\":[],\"TitleCN\":null,\"AbstractTextCN\":null,\"PMCID\":null,\"EPubDate\":\"2025/9/1 0:00:00\",\"PubModel\":\"eCollection\",\"JCR\":\"Q3\",\"JCRName\":\"MEDICINE, GENERAL & INTERNAL\",\"Score\":null,\"Total\":0}","platform":"Semanticscholar","paperid":null,"PeriodicalName":"Oxford Medical Case Reports","FirstCategoryId":"1085","ListUrlMain":"https://doi.org/10.1093/omcr/omaf157","RegionNum":0,"RegionCategory":null,"ArticlePicture":[],"TitleCN":null,"AbstractTextCN":null,"PMCID":null,"EPubDate":"2025/9/1 0:00:00","PubModel":"eCollection","JCR":"Q3","JCRName":"MEDICINE, GENERAL & INTERNAL","Score":null,"Total":0}
引用次数: 0

摘要

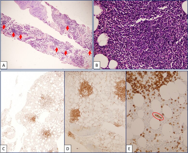
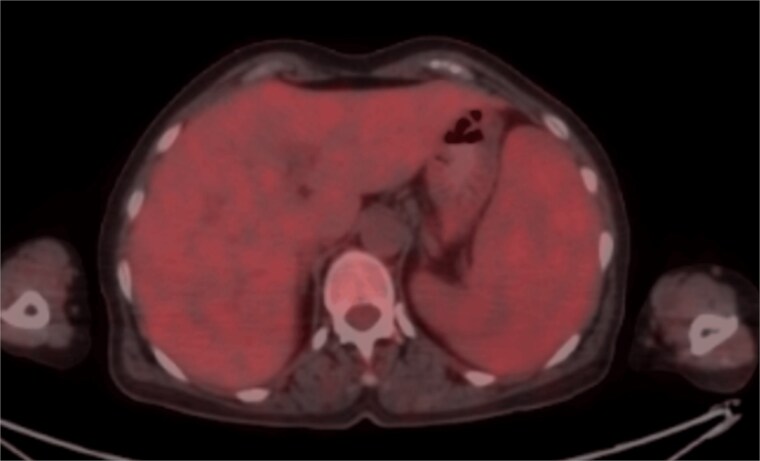
获得性血管性水肿(AAE)是一种罕见的、可能危及生命的疾病,由缓激肽引起,通常表现为复发性、无麻点的面部肿胀,无荨麻疹。与遗传性血管性水肿不同,获得性血管性水肿发生于生命后期,可能与潜在的b细胞淋巴增生性疾病有关。我们报告一名62岁女性,持续抗组胺无反应的面部血管性水肿,疲劳和中度脾肿大,导致进一步的AAE检查。C4和C1抑制剂(C1- inh)低,C1q水平正常。考虑到脾肿大和细胞减少的存在,进一步评估淋巴增生性疾病。骨髓活检证实脾边缘区淋巴瘤(SMZL),利妥昔单抗化疗导致淋巴瘤和血管性水肿完全缓解。本病例强调了对不明原因血管性水肿和器官肿大的老年患者进行隐性淋巴增生性疾病评估的重要性。治疗潜在疾病可以缓解症状并改善结果。
本文章由计算机程序翻译,如有差异,请以英文原文为准。

A hidden clue behind angioedema in an elderly patient.

A hidden clue behind angioedema in an elderly patient.

A hidden clue behind angioedema in an elderly patient.

Acquired angioedema (AAE) is a rare, potentially life-threatening condition caused by bradykinin, typically presenting as recurrent, non-pitting facial swelling without urticaria. Unlike hereditary forms, acquired angioedema arises later in life and may be associated with underlying B-cell lymphoproliferative disorders. We report a 62-year-old woman with persistent antihistamine-unresponsive facial angioedema, fatigue, and moderate splenomegaly, which led to further work-up for AAE. Low C4 and C1 inhibitor (C1-INH) was detected, with normal C1q levels. Given the presence of splenomegaly and cytopenia, further evaluation of lymphoproliferative disease was pursued. Bone marrow biopsy confirmed splenic marginal zone lymphoma (SMZL), and rituximab-based chemotherapy resulted in full remission of both lymphoma and angioedema. This case highlights the importance of evaluating elderly patients with unexplained angioedema and organomegaly for hidden lymphoproliferative disease. Treating the underlying disease can resolve symptoms and improve outcomes.

求助全文
通过发布文献求助,成功后即可免费获取论文全文。 去求助
来源期刊
Oxford Medical Case Reports
Oxford Medical Case Reports MEDICINE, GENERAL & INTERNAL-
CiteScore
0.90
自引率
0.00%
发文量
125
审稿时长
19 weeks
期刊介绍: Oxford Medical Case Reports (OMCR) is an open access, peer-reviewed online journal publishing original and educationally valuable case reports that expand the field of medicine. The journal covers all medical specialities including cardiology, rheumatology, nephrology, oncology, neurology, and reproduction, comprising a comprehensive resource for physicians in all fields and at all stages of training. Oxford Medical Case Reports deposits all articles in PubMed Central (PMC). Physicians and researchers can find your work through PubMed , helping you reach the widest possible audience. The journal is also indexed in the Web of Science Core Collection . Oxford Medical Case Reports publishes case reports under the following categories: Allergy Audiovestibular medicine Cardiology and cardiovascular systems Critical care medicine Dermatology Emergency medicine Endocrinology and metabolism Gastroenterology and hepatology Geriatrics and gerontology Haematology Immunology Infectious diseases and tropical medicine Medical disorders in pregnancy Medical ophthalmology Nephrology Neurology Oncology Paediatrics Pain Palliative medicine Pharmacology and pharmacy Psychiatry Radiology, nuclear medicine, and medical imaging Respiratory disorders Rheumatology Sexual and reproductive health Sports Medicine Substance abuse.
×
引用
GB/T 7714-2015
复制
MLA
复制
APA
复制
导出至
BibTeX EndNote RefMan NoteFirst NoteExpress
×
提示
您的信息不完整,为了账户安全,请先补充。
现在去补充
×
提示
您因"违规操作"
具体请查看互助需知
我知道了
×
提示
确定
请完成安全验证×
copy
已复制链接
快去分享给好友吧!
我知道了
右上角分享
点击右上角分享
0
联系我们:info@booksci.cn Book学术提供免费学术资源搜索服务,方便国内外学者检索中英文文献。致力于提供最便捷和优质的服务体验。 Copyright © 2023 布克学术 All rights reserved.
京ICP备2023020795号-1
ghs 京公网安备 11010802042870号
Book学术文献互助
Book学术文献互助群
群 号:604180095
Book学术官方微信