手臂转移性上皮样肉瘤1例报告。

IF 0.5 Q4 SURGERY
Journal of Surgical Case Reports Pub Date : 2025-09-13 eCollection Date: 2025-09-01 DOI:10.1093/jscr/rjaf733
Jinxian Luo, Lei Yang
{"title":"手臂转移性上皮样肉瘤1例报告。","authors":"Jinxian Luo, Lei Yang","doi":"10.1093/jscr/rjaf733","DOIUrl":null,"url":null,"abstract":"<p><p>Epithelioid sarcoma (ES) is a highly malignant soft tissue tumor characterized by its tendency to distant metastasis, regional lymph node involvement, and recurrence. ES frequently manifests as a deep dermal mass in the distal extremities of young adults. The variety of pathological morphology makes it clinically misdiagnosed as a granuloma or rheumatoid nodule frequently. In this case, we report a new case of a 56-year-old female who was diagnosed with metastatic ES on her left upper arm. The diagnosis was confirmed by pathological biopsy and immunohistochemistry analysis, and metastatic after surgical excision. Therefore, we should implement biopsy and immunohistochemistry methods on patients to rule out rare ES.</p>","PeriodicalId":47321,"journal":{"name":"Journal of Surgical Case Reports","volume":"2025 9","pages":"rjaf733"},"PeriodicalIF":0.5000,"publicationDate":"2025-09-13","publicationTypes":"Journal Article","fieldsOfStudy":null,"isOpenAccess":false,"openAccessPdf":"https://www.ncbi.nlm.nih.gov/pmc/articles/PMC12448182/pdf/","citationCount":"0","resultStr":"{\"title\":\"Metastatic epithelioid sarcoma on the arm: presentation of a case report.\",\"authors\":\"Jinxian Luo, Lei Yang\",\"doi\":\"10.1093/jscr/rjaf733\",\"DOIUrl\":null,\"url\":null,\"abstract\":\"<p><p>Epithelioid sarcoma (ES) is a highly malignant soft tissue tumor characterized by its tendency to distant metastasis, regional lymph node involvement, and recurrence. ES frequently manifests as a deep dermal mass in the distal extremities of young adults. The variety of pathological morphology makes it clinically misdiagnosed as a granuloma or rheumatoid nodule frequently. In this case, we report a new case of a 56-year-old female who was diagnosed with metastatic ES on her left upper arm. The diagnosis was confirmed by pathological biopsy and immunohistochemistry analysis, and metastatic after surgical excision. Therefore, we should implement biopsy and immunohistochemistry methods on patients to rule out rare ES.</p>\",\"PeriodicalId\":47321,\"journal\":{\"name\":\"Journal of Surgical Case Reports\",\"volume\":\"2025 9\",\"pages\":\"rjaf733\"},\"PeriodicalIF\":0.5000,\"publicationDate\":\"2025-09-13\",\"publicationTypes\":\"Journal Article\",\"fieldsOfStudy\":null,\"isOpenAccess\":false,\"openAccessPdf\":\"https://www.ncbi.nlm.nih.gov/pmc/articles/PMC12448182/pdf/\",\"citationCount\":\"0\",\"resultStr\":null,\"platform\":\"Semanticscholar\",\"paperid\":null,\"PeriodicalName\":\"Journal of Surgical Case Reports\",\"FirstCategoryId\":\"1085\",\"ListUrlMain\":\"https://doi.org/10.1093/jscr/rjaf733\",\"RegionNum\":0,\"RegionCategory\":null,\"ArticlePicture\":[],\"TitleCN\":null,\"AbstractTextCN\":null,\"PMCID\":null,\"EPubDate\":\"2025/9/1 0:00:00\",\"PubModel\":\"eCollection\",\"JCR\":\"Q4\",\"JCRName\":\"SURGERY\",\"Score\":null,\"Total\":0}","platform":"Semanticscholar","paperid":null,"PeriodicalName":"Journal of Surgical Case Reports","FirstCategoryId":"1085","ListUrlMain":"https://doi.org/10.1093/jscr/rjaf733","RegionNum":0,"RegionCategory":null,"ArticlePicture":[],"TitleCN":null,"AbstractTextCN":null,"PMCID":null,"EPubDate":"2025/9/1 0:00:00","PubModel":"eCollection","JCR":"Q4","JCRName":"SURGERY","Score":null,"Total":0}
引用次数: 0

摘要

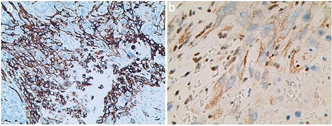
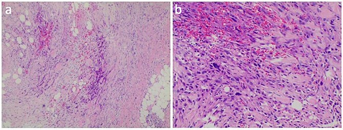
上皮样肉瘤(ES)是一种高度恶性的软组织肿瘤,其特点是具有远处转移、局部淋巴结受累和复发的倾向。ES通常表现为年轻人远端皮肤深部肿块。病理形态的多样性使其在临床上常被误诊为肉芽肿或类风湿结节。在这种情况下,我们报告一个新的病例56岁的女性谁被诊断为转移性ES在她的左臂。经病理活检和免疫组织化学分析证实,手术切除后转移。因此,我们应该对患者实施活检和免疫组织化学方法,以排除罕见的ES。
本文章由计算机程序翻译,如有差异,请以英文原文为准。

Metastatic epithelioid sarcoma on the arm: presentation of a case report.

Metastatic epithelioid sarcoma on the arm: presentation of a case report.

Metastatic epithelioid sarcoma on the arm: presentation of a case report.

Metastatic epithelioid sarcoma on the arm: presentation of a case report.

Epithelioid sarcoma (ES) is a highly malignant soft tissue tumor characterized by its tendency to distant metastasis, regional lymph node involvement, and recurrence. ES frequently manifests as a deep dermal mass in the distal extremities of young adults. The variety of pathological morphology makes it clinically misdiagnosed as a granuloma or rheumatoid nodule frequently. In this case, we report a new case of a 56-year-old female who was diagnosed with metastatic ES on her left upper arm. The diagnosis was confirmed by pathological biopsy and immunohistochemistry analysis, and metastatic after surgical excision. Therefore, we should implement biopsy and immunohistochemistry methods on patients to rule out rare ES.

求助全文
通过发布文献求助,成功后即可免费获取论文全文。 去求助
来源期刊
CiteScore
0.70
自引率
0.00%
发文量
559
审稿时长
11 weeks
×
引用
GB/T 7714-2015
复制
MLA
复制
APA
复制
导出至
BibTeX EndNote RefMan NoteFirst NoteExpress
×
提示
您的信息不完整,为了账户安全,请先补充。
现在去补充
×
提示
您因"违规操作"
具体请查看互助需知
我知道了
×
提示
确定
请完成安全验证×
copy
已复制链接
快去分享给好友吧!
我知道了
右上角分享
点击右上角分享
0
联系我们:info@booksci.cn Book学术提供免费学术资源搜索服务,方便国内外学者检索中英文文献。致力于提供最便捷和优质的服务体验。 Copyright © 2023 布克学术 All rights reserved.
京ICP备2023020795号-1
ghs 京公网安备 11010802042870号
Book学术文献互助
Book学术文献互助群
群 号:604180095
Book学术官方微信