当阑尾炎模仿肝脓肿:儿科外科的诊断挑战。

IF 0.5 Q4 SURGERY
Journal of Surgical Case Reports Pub Date : 2025-09-20 eCollection Date: 2025-09-01 DOI:10.1093/jscr/rjaf470
Tomasz Waszak, Monika Wiczuk-Wiczewska, Adam Szymczak, Katarzyna Jończyk-Potoczna
{"title":"当阑尾炎模仿肝脓肿:儿科外科的诊断挑战。","authors":"Tomasz Waszak, Monika Wiczuk-Wiczewska, Adam Szymczak, Katarzyna Jończyk-Potoczna","doi":"10.1093/jscr/rjaf470","DOIUrl":null,"url":null,"abstract":"<p><p>Subhepatic abscesses are rare complications of acute appendicitis, often caused by delayed diagnosis and atypical presentation. We report the case of a 3-year-old male presenting with fever and abdominal pain, later diagnosed with a subhepatic abscess secondary to acute appendicitis. Abdominal imaging revealed multiple abscesses, including a primary subhepatic abscess adjacent to liver segments V and VI, and a retrocecal inflamed appendix with an appendicolith. The patient was treated with antibiotics and underwent laparotomy, drainage of the subhepatic abscess, and removal of a gangrenous appendix. Surgical exploration revealed inflammatory adhesions involving the duodenum and adjacent intestinal structures, which were meticulously dissected and managed. This case underscores the importance of high clinical suspicion and timely imaging in pediatric patients with atypical presentations of acute appendicitis.</p>","PeriodicalId":47321,"journal":{"name":"Journal of Surgical Case Reports","volume":"2025 9","pages":"rjaf470"},"PeriodicalIF":0.5000,"publicationDate":"2025-09-20","publicationTypes":"Journal Article","fieldsOfStudy":null,"isOpenAccess":false,"openAccessPdf":"https://www.ncbi.nlm.nih.gov/pmc/articles/PMC12449762/pdf/","citationCount":"0","resultStr":"{\"title\":\"When appendicitis mimics a liver abscess: diagnostic challenges in pediatric surgery.\",\"authors\":\"Tomasz Waszak, Monika Wiczuk-Wiczewska, Adam Szymczak, Katarzyna Jończyk-Potoczna\",\"doi\":\"10.1093/jscr/rjaf470\",\"DOIUrl\":null,\"url\":null,\"abstract\":\"<p><p>Subhepatic abscesses are rare complications of acute appendicitis, often caused by delayed diagnosis and atypical presentation. We report the case of a 3-year-old male presenting with fever and abdominal pain, later diagnosed with a subhepatic abscess secondary to acute appendicitis. Abdominal imaging revealed multiple abscesses, including a primary subhepatic abscess adjacent to liver segments V and VI, and a retrocecal inflamed appendix with an appendicolith. The patient was treated with antibiotics and underwent laparotomy, drainage of the subhepatic abscess, and removal of a gangrenous appendix. Surgical exploration revealed inflammatory adhesions involving the duodenum and adjacent intestinal structures, which were meticulously dissected and managed. This case underscores the importance of high clinical suspicion and timely imaging in pediatric patients with atypical presentations of acute appendicitis.</p>\",\"PeriodicalId\":47321,\"journal\":{\"name\":\"Journal of Surgical Case Reports\",\"volume\":\"2025 9\",\"pages\":\"rjaf470\"},\"PeriodicalIF\":0.5000,\"publicationDate\":\"2025-09-20\",\"publicationTypes\":\"Journal Article\",\"fieldsOfStudy\":null,\"isOpenAccess\":false,\"openAccessPdf\":\"https://www.ncbi.nlm.nih.gov/pmc/articles/PMC12449762/pdf/\",\"citationCount\":\"0\",\"resultStr\":null,\"platform\":\"Semanticscholar\",\"paperid\":null,\"PeriodicalName\":\"Journal of Surgical Case Reports\",\"FirstCategoryId\":\"1085\",\"ListUrlMain\":\"https://doi.org/10.1093/jscr/rjaf470\",\"RegionNum\":0,\"RegionCategory\":null,\"ArticlePicture\":[],\"TitleCN\":null,\"AbstractTextCN\":null,\"PMCID\":null,\"EPubDate\":\"2025/9/1 0:00:00\",\"PubModel\":\"eCollection\",\"JCR\":\"Q4\",\"JCRName\":\"SURGERY\",\"Score\":null,\"Total\":0}","platform":"Semanticscholar","paperid":null,"PeriodicalName":"Journal of Surgical Case Reports","FirstCategoryId":"1085","ListUrlMain":"https://doi.org/10.1093/jscr/rjaf470","RegionNum":0,"RegionCategory":null,"ArticlePicture":[],"TitleCN":null,"AbstractTextCN":null,"PMCID":null,"EPubDate":"2025/9/1 0:00:00","PubModel":"eCollection","JCR":"Q4","JCRName":"SURGERY","Score":null,"Total":0}
引用次数: 0

摘要

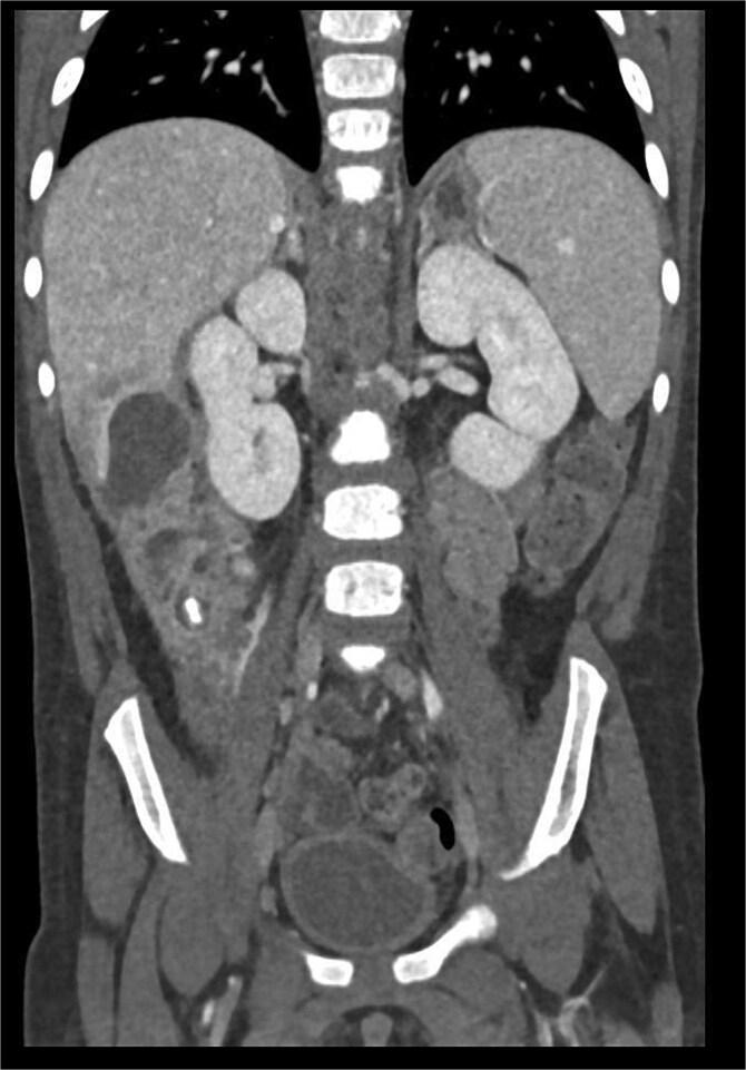
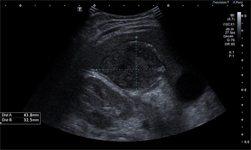
摘要肝下脓肿是急性阑尾炎的罕见并发症,常因诊断迟缓及表现不典型而引起。我们报告的情况下,一个3岁的男性表现发烧和腹痛,后来诊断为肝下脓肿继发于急性阑尾炎。腹部影像学显示多发脓肿,包括原发性肝下脓肿邻近肝V节和肝VI节,盲肠后炎性阑尾伴阑尾炎。患者接受抗生素治疗,开腹,引流肝下脓肿,切除坏疽阑尾。手术探查发现炎性粘连累及十二指肠和邻近的肠道结构,我们对其进行了精心的解剖和处理。这个病例强调了高度临床怀疑和及时成像的重要性,儿科患者急性阑尾炎的不典型表现。
本文章由计算机程序翻译,如有差异,请以英文原文为准。

When appendicitis mimics a liver abscess: diagnostic challenges in pediatric surgery.

When appendicitis mimics a liver abscess: diagnostic challenges in pediatric surgery.

When appendicitis mimics a liver abscess: diagnostic challenges in pediatric surgery.

When appendicitis mimics a liver abscess: diagnostic challenges in pediatric surgery.

Subhepatic abscesses are rare complications of acute appendicitis, often caused by delayed diagnosis and atypical presentation. We report the case of a 3-year-old male presenting with fever and abdominal pain, later diagnosed with a subhepatic abscess secondary to acute appendicitis. Abdominal imaging revealed multiple abscesses, including a primary subhepatic abscess adjacent to liver segments V and VI, and a retrocecal inflamed appendix with an appendicolith. The patient was treated with antibiotics and underwent laparotomy, drainage of the subhepatic abscess, and removal of a gangrenous appendix. Surgical exploration revealed inflammatory adhesions involving the duodenum and adjacent intestinal structures, which were meticulously dissected and managed. This case underscores the importance of high clinical suspicion and timely imaging in pediatric patients with atypical presentations of acute appendicitis.

求助全文
通过发布文献求助,成功后即可免费获取论文全文。 去求助
来源期刊
CiteScore
0.70
自引率
0.00%
发文量
559
审稿时长
11 weeks
×
引用
GB/T 7714-2015
复制
MLA
复制
APA
复制
导出至
BibTeX EndNote RefMan NoteFirst NoteExpress
×
提示
您的信息不完整,为了账户安全,请先补充。
现在去补充
×
提示
您因"违规操作"
具体请查看互助需知
我知道了
×
提示
确定
请完成安全验证×
copy
已复制链接
快去分享给好友吧!
我知道了
右上角分享
点击右上角分享
0
联系我们:info@booksci.cn Book学术提供免费学术资源搜索服务,方便国内外学者检索中英文文献。致力于提供最便捷和优质的服务体验。 Copyright © 2023 布克学术 All rights reserved.
京ICP备2023020795号-1
ghs 京公网安备 11010802042870号
Book学术文献互助
Book学术文献互助群
群 号:604180095
Book学术官方微信