肠致病性大肠杆菌感染引起的回结肠静脉血栓性静脉炎。

IF 0.5 Q4 SURGERY
Journal of Surgical Case Reports Pub Date : 2025-09-14 eCollection Date: 2025-09-01 DOI:10.1093/jscr/rjaf740
Brendan P Stewart, Jen-Yuan C Kao, Kristina Kuklova, Marwan Alaoudi
{"title":"肠致病性大肠杆菌感染引起的回结肠静脉血栓性静脉炎。","authors":"Brendan P Stewart, Jen-Yuan C Kao, Kristina Kuklova, Marwan Alaoudi","doi":"10.1093/jscr/rjaf740","DOIUrl":null,"url":null,"abstract":"<p><p>Enteropathogenic <i>Escherichia coli</i> (EPEC) is a pathogenic strain of <i>E. coli</i>. Mesenteric vein thrombophlebitis is of surgical concern, as there is a risk of the development of bowel ischemia. We present a unique case of a patient with EPEC diarrhea who subsequently developed ileocolic thrombophlebitis. Our patient presented to the emergency department with 6 days of diarrhea and abdominal pain. A computed tomography angiography (CTA) abdomen and pelvis was performed which revealed occlusion of the ileocolic vein with perivenous inflammation, consistent with mesenteric thrombophlebitis. A gastrointestinal polymerase chain reaction (GI PCR) was positive for EPEC. The patient was managed non-operatively with intravenous antibiotics and anticoagulation with resolution of symptoms. Ileocolic thrombophlebitis is a rare cause of acute abdominal pain. Our patient is one of the first documented cases to develop thrombophlebitis following EPEC infection. We hypothesize the EPEC infection and inflammation predisposed our patient to developing ileocolic thrombophlebitis.</p>","PeriodicalId":47321,"journal":{"name":"Journal of Surgical Case Reports","volume":"2025 9","pages":"rjaf740"},"PeriodicalIF":0.5000,"publicationDate":"2025-09-14","publicationTypes":"Journal Article","fieldsOfStudy":null,"isOpenAccess":false,"openAccessPdf":"https://www.ncbi.nlm.nih.gov/pmc/articles/PMC12448415/pdf/","citationCount":"0","resultStr":"{\"title\":\"Ileocolic venous thrombophlebitis from associated enteropathogenic <i>E. coli</i> infection.\",\"authors\":\"Brendan P Stewart, Jen-Yuan C Kao, Kristina Kuklova, Marwan Alaoudi\",\"doi\":\"10.1093/jscr/rjaf740\",\"DOIUrl\":null,\"url\":null,\"abstract\":\"<p><p>Enteropathogenic <i>Escherichia coli</i> (EPEC) is a pathogenic strain of <i>E. coli</i>. Mesenteric vein thrombophlebitis is of surgical concern, as there is a risk of the development of bowel ischemia. We present a unique case of a patient with EPEC diarrhea who subsequently developed ileocolic thrombophlebitis. Our patient presented to the emergency department with 6 days of diarrhea and abdominal pain. A computed tomography angiography (CTA) abdomen and pelvis was performed which revealed occlusion of the ileocolic vein with perivenous inflammation, consistent with mesenteric thrombophlebitis. A gastrointestinal polymerase chain reaction (GI PCR) was positive for EPEC. The patient was managed non-operatively with intravenous antibiotics and anticoagulation with resolution of symptoms. Ileocolic thrombophlebitis is a rare cause of acute abdominal pain. Our patient is one of the first documented cases to develop thrombophlebitis following EPEC infection. We hypothesize the EPEC infection and inflammation predisposed our patient to developing ileocolic thrombophlebitis.</p>\",\"PeriodicalId\":47321,\"journal\":{\"name\":\"Journal of Surgical Case Reports\",\"volume\":\"2025 9\",\"pages\":\"rjaf740\"},\"PeriodicalIF\":0.5000,\"publicationDate\":\"2025-09-14\",\"publicationTypes\":\"Journal Article\",\"fieldsOfStudy\":null,\"isOpenAccess\":false,\"openAccessPdf\":\"https://www.ncbi.nlm.nih.gov/pmc/articles/PMC12448415/pdf/\",\"citationCount\":\"0\",\"resultStr\":null,\"platform\":\"Semanticscholar\",\"paperid\":null,\"PeriodicalName\":\"Journal of Surgical Case Reports\",\"FirstCategoryId\":\"1085\",\"ListUrlMain\":\"https://doi.org/10.1093/jscr/rjaf740\",\"RegionNum\":0,\"RegionCategory\":null,\"ArticlePicture\":[],\"TitleCN\":null,\"AbstractTextCN\":null,\"PMCID\":null,\"EPubDate\":\"2025/9/1 0:00:00\",\"PubModel\":\"eCollection\",\"JCR\":\"Q4\",\"JCRName\":\"SURGERY\",\"Score\":null,\"Total\":0}","platform":"Semanticscholar","paperid":null,"PeriodicalName":"Journal of Surgical Case Reports","FirstCategoryId":"1085","ListUrlMain":"https://doi.org/10.1093/jscr/rjaf740","RegionNum":0,"RegionCategory":null,"ArticlePicture":[],"TitleCN":null,"AbstractTextCN":null,"PMCID":null,"EPubDate":"2025/9/1 0:00:00","PubModel":"eCollection","JCR":"Q4","JCRName":"SURGERY","Score":null,"Total":0}
引用次数: 0

摘要

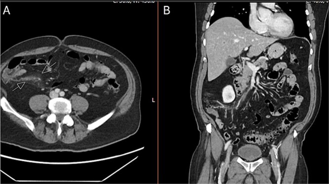
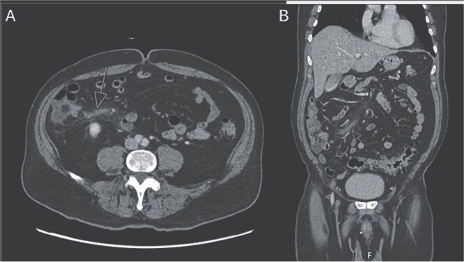
肠致病性大肠杆菌(EPEC)是大肠杆菌的一种致病性菌株。肠系膜静脉血栓性静脉炎是外科关注的问题,因为有肠缺血发展的风险。我们提出一个独特的情况下,病人与EPEC腹泻谁随后发展回肠结肠血栓性静脉炎。我们的病人以6天的腹泻和腹痛就诊于急诊科。腹部和骨盆计算机断层血管造影(CTA)显示回结肠静脉闭塞伴静脉周围炎症,符合肠系膜血栓性静脉炎。胃肠道聚合酶链反应(GI PCR)显示EPEC阳性。患者非手术治疗,静脉注射抗生素和抗凝治疗,症状消退。回结肠血栓性静脉炎是一种罕见的急性腹痛的原因。我们的病人是第一例在EPEC感染后发展为血栓性静脉炎的病例。我们假设EPEC感染和炎症使患者易患回肠结肠血栓性静脉炎。
本文章由计算机程序翻译,如有差异,请以英文原文为准。

Ileocolic venous thrombophlebitis from associated enteropathogenic <i>E. coli</i> infection.

Ileocolic venous thrombophlebitis from associated enteropathogenic <i>E. coli</i> infection.

Ileocolic venous thrombophlebitis from associated enteropathogenic E. coli infection.

Enteropathogenic Escherichia coli (EPEC) is a pathogenic strain of E. coli. Mesenteric vein thrombophlebitis is of surgical concern, as there is a risk of the development of bowel ischemia. We present a unique case of a patient with EPEC diarrhea who subsequently developed ileocolic thrombophlebitis. Our patient presented to the emergency department with 6 days of diarrhea and abdominal pain. A computed tomography angiography (CTA) abdomen and pelvis was performed which revealed occlusion of the ileocolic vein with perivenous inflammation, consistent with mesenteric thrombophlebitis. A gastrointestinal polymerase chain reaction (GI PCR) was positive for EPEC. The patient was managed non-operatively with intravenous antibiotics and anticoagulation with resolution of symptoms. Ileocolic thrombophlebitis is a rare cause of acute abdominal pain. Our patient is one of the first documented cases to develop thrombophlebitis following EPEC infection. We hypothesize the EPEC infection and inflammation predisposed our patient to developing ileocolic thrombophlebitis.

求助全文
通过发布文献求助,成功后即可免费获取论文全文。 去求助
来源期刊
CiteScore
0.70
自引率
0.00%
发文量
559
审稿时长
11 weeks
×
引用
GB/T 7714-2015
复制
MLA
复制
APA
复制
导出至
BibTeX EndNote RefMan NoteFirst NoteExpress
×
提示
您的信息不完整,为了账户安全,请先补充。
现在去补充
×
提示
您因"违规操作"
具体请查看互助需知
我知道了
×
提示
确定
请完成安全验证×
copy
已复制链接
快去分享给好友吧!
我知道了
右上角分享
点击右上角分享
0
联系我们:info@booksci.cn Book学术提供免费学术资源搜索服务,方便国内外学者检索中英文文献。致力于提供最便捷和优质的服务体验。 Copyright © 2023 布克学术 All rights reserved.
京ICP备2023020795号-1
ghs 京公网安备 11010802042870号
Book学术文献互助
Book学术文献互助群
群 号:604180095
Book学术官方微信