皮样囊肿溢出引起复发性腹膜炎及黄色肉芽肿反应后行腹膜切除术治疗弥散性腹膜植入1例。

IF 0.5 Q4 SURGERY
Journal of Surgical Case Reports Pub Date : 2025-09-13 eCollection Date: 2025-09-01 DOI:10.1093/jscr/rjaf739
Melanie Mercado, Ashish Vaska, Joseph Chen, Salman Marvi, Ruwanthi Wijayawardana, Nima Ahmadi, David Morris
{"title":"皮样囊肿溢出引起复发性腹膜炎及黄色肉芽肿反应后行腹膜切除术治疗弥散性腹膜植入1例。","authors":"Melanie Mercado, Ashish Vaska, Joseph Chen, Salman Marvi, Ruwanthi Wijayawardana, Nima Ahmadi, David Morris","doi":"10.1093/jscr/rjaf739","DOIUrl":null,"url":null,"abstract":"<p><p>Dermoid ovarian cysts, or mature cystic teratomas, are common benign ovarian masses. Surgical intervention for symptomatic cysts includes minimally invasive or open cystectomy. The consequences of intra-abdominal spillage during cystectomy can be significant and include acute chemical peritonitis or chronic granulomatous inflammatory reactions. This is the first reported case of peritonectomy for disseminated dermoid disease. This case report discusses a previously healthy 20-year-old patient who developed both these complications following elective laparoscopic ovarian cystectomy for dermoid ovarian cysts. She required multiple admissions and a multi-disciplinary approach to develop a treatment plan, culminating in peritonectomy. This case necessitated significant multi-disciplinary discussion to address complex treatment decisions regarding anti-microbial and surgical management. This is the first reported case of peritonectomy for source control of chronic sepsis and granulomatous peritonitis following disseminated dermoid disease, highlighting the importance of timely intervention and thorough peritoneal wash-out to mitigate late inflammatory complications.</p>","PeriodicalId":47321,"journal":{"name":"Journal of Surgical Case Reports","volume":"2025 9","pages":"rjaf739"},"PeriodicalIF":0.5000,"publicationDate":"2025-09-13","publicationTypes":"Journal Article","fieldsOfStudy":null,"isOpenAccess":false,"openAccessPdf":"https://www.ncbi.nlm.nih.gov/pmc/articles/PMC12448300/pdf/","citationCount":"0","resultStr":"{\"title\":\"Peritonectomy for disseminated peritoneal implantation after dermoid cyst spillage causing recurrent peritonitis and xanthogranulomatous reaction: a case report.\",\"authors\":\"Melanie Mercado, Ashish Vaska, Joseph Chen, Salman Marvi, Ruwanthi Wijayawardana, Nima Ahmadi, David Morris\",\"doi\":\"10.1093/jscr/rjaf739\",\"DOIUrl\":null,\"url\":null,\"abstract\":\"<p><p>Dermoid ovarian cysts, or mature cystic teratomas, are common benign ovarian masses. Surgical intervention for symptomatic cysts includes minimally invasive or open cystectomy. The consequences of intra-abdominal spillage during cystectomy can be significant and include acute chemical peritonitis or chronic granulomatous inflammatory reactions. This is the first reported case of peritonectomy for disseminated dermoid disease. This case report discusses a previously healthy 20-year-old patient who developed both these complications following elective laparoscopic ovarian cystectomy for dermoid ovarian cysts. She required multiple admissions and a multi-disciplinary approach to develop a treatment plan, culminating in peritonectomy. This case necessitated significant multi-disciplinary discussion to address complex treatment decisions regarding anti-microbial and surgical management. This is the first reported case of peritonectomy for source control of chronic sepsis and granulomatous peritonitis following disseminated dermoid disease, highlighting the importance of timely intervention and thorough peritoneal wash-out to mitigate late inflammatory complications.</p>\",\"PeriodicalId\":47321,\"journal\":{\"name\":\"Journal of Surgical Case Reports\",\"volume\":\"2025 9\",\"pages\":\"rjaf739\"},\"PeriodicalIF\":0.5000,\"publicationDate\":\"2025-09-13\",\"publicationTypes\":\"Journal Article\",\"fieldsOfStudy\":null,\"isOpenAccess\":false,\"openAccessPdf\":\"https://www.ncbi.nlm.nih.gov/pmc/articles/PMC12448300/pdf/\",\"citationCount\":\"0\",\"resultStr\":null,\"platform\":\"Semanticscholar\",\"paperid\":null,\"PeriodicalName\":\"Journal of Surgical Case Reports\",\"FirstCategoryId\":\"1085\",\"ListUrlMain\":\"https://doi.org/10.1093/jscr/rjaf739\",\"RegionNum\":0,\"RegionCategory\":null,\"ArticlePicture\":[],\"TitleCN\":null,\"AbstractTextCN\":null,\"PMCID\":null,\"EPubDate\":\"2025/9/1 0:00:00\",\"PubModel\":\"eCollection\",\"JCR\":\"Q4\",\"JCRName\":\"SURGERY\",\"Score\":null,\"Total\":0}","platform":"Semanticscholar","paperid":null,"PeriodicalName":"Journal of Surgical Case Reports","FirstCategoryId":"1085","ListUrlMain":"https://doi.org/10.1093/jscr/rjaf739","RegionNum":0,"RegionCategory":null,"ArticlePicture":[],"TitleCN":null,"AbstractTextCN":null,"PMCID":null,"EPubDate":"2025/9/1 0:00:00","PubModel":"eCollection","JCR":"Q4","JCRName":"SURGERY","Score":null,"Total":0}
引用次数: 0

摘要

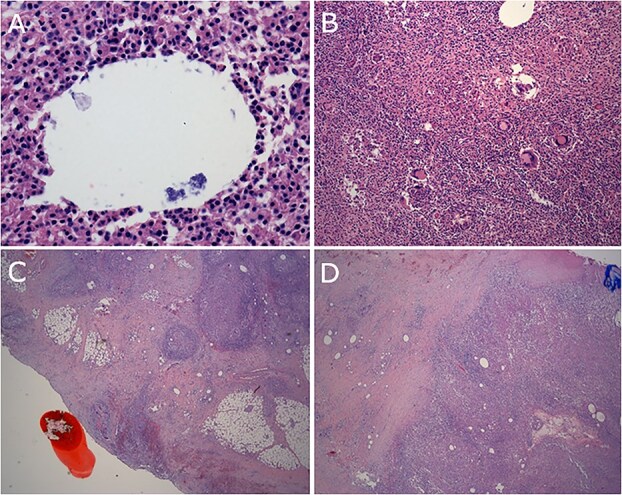
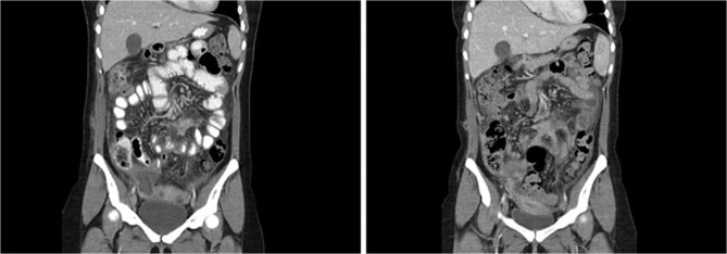
卵巢皮样囊肿,或成熟囊性畸胎瘤,是常见的良性卵巢肿块。对症状性囊肿的手术干预包括微创或开放性囊肿切除术。膀胱切除术中腹腔内溢液的后果可能很严重,包括急性化学性腹膜炎或慢性肉芽肿性炎症反应。这是首例报道的腹膜切除术治疗弥散性皮样疾病的病例。本病例报告讨论了一位健康的20岁患者在选择性腹腔镜卵巢囊肿切除术后出现这两种并发症。她需要多次入院和多学科的方法来制定治疗计划,最终进行了腹膜切除术。该病例需要重要的多学科讨论,以解决有关抗菌和手术管理的复杂治疗决策。这是首例报道的腹膜切除术用于控制播散性皮样病后慢性脓毒症和肉芽肿性腹膜炎的病例,强调了及时干预和彻底腹膜冲洗对减轻晚期炎症并发症的重要性。
本文章由计算机程序翻译,如有差异,请以英文原文为准。

Peritonectomy for disseminated peritoneal implantation after dermoid cyst spillage causing recurrent peritonitis and xanthogranulomatous reaction: a case report.

Peritonectomy for disseminated peritoneal implantation after dermoid cyst spillage causing recurrent peritonitis and xanthogranulomatous reaction: a case report.

Peritonectomy for disseminated peritoneal implantation after dermoid cyst spillage causing recurrent peritonitis and xanthogranulomatous reaction: a case report.

Dermoid ovarian cysts, or mature cystic teratomas, are common benign ovarian masses. Surgical intervention for symptomatic cysts includes minimally invasive or open cystectomy. The consequences of intra-abdominal spillage during cystectomy can be significant and include acute chemical peritonitis or chronic granulomatous inflammatory reactions. This is the first reported case of peritonectomy for disseminated dermoid disease. This case report discusses a previously healthy 20-year-old patient who developed both these complications following elective laparoscopic ovarian cystectomy for dermoid ovarian cysts. She required multiple admissions and a multi-disciplinary approach to develop a treatment plan, culminating in peritonectomy. This case necessitated significant multi-disciplinary discussion to address complex treatment decisions regarding anti-microbial and surgical management. This is the first reported case of peritonectomy for source control of chronic sepsis and granulomatous peritonitis following disseminated dermoid disease, highlighting the importance of timely intervention and thorough peritoneal wash-out to mitigate late inflammatory complications.

求助全文
通过发布文献求助,成功后即可免费获取论文全文。 去求助
来源期刊
CiteScore
0.70
自引率
0.00%
发文量
559
审稿时长
11 weeks
×
引用
GB/T 7714-2015
复制
MLA
复制
APA
复制
导出至
BibTeX EndNote RefMan NoteFirst NoteExpress
×
提示
您的信息不完整,为了账户安全,请先补充。
现在去补充
×
提示
您因"违规操作"
具体请查看互助需知
我知道了
×
提示
确定
请完成安全验证×
copy
已复制链接
快去分享给好友吧!
我知道了
右上角分享
点击右上角分享
0
联系我们:info@booksci.cn Book学术提供免费学术资源搜索服务,方便国内外学者检索中英文文献。致力于提供最便捷和优质的服务体验。 Copyright © 2023 布克学术 All rights reserved.
京ICP备2023020795号-1
ghs 京公网安备 11010802042870号
Book学术文献互助
Book学术文献互助群
群 号:604180095
Book学术官方微信