孤立性脾转移表现为her2阳性的新发转移性乳腺癌:1例报告。

IF 0.5 Q4 SURGERY
Journal of Surgical Case Reports Pub Date : 2025-09-20 eCollection Date: 2025-09-01 DOI:10.1093/jscr/rjaf751
Maika Yoshioka, Masafumi Shimoda, Kaori Abe, Nanae Masunaga, Masami Tsukabe, Tetsuhiro Yoshinami, Yoshiaki Sota, Tomohiro Miyake, Tomonori Tanei, Kenzo Shimazu
{"title":"孤立性脾转移表现为her2阳性的新发转移性乳腺癌:1例报告。","authors":"Maika Yoshioka, Masafumi Shimoda, Kaori Abe, Nanae Masunaga, Masami Tsukabe, Tetsuhiro Yoshinami, Yoshiaki Sota, Tomohiro Miyake, Tomonori Tanei, Kenzo Shimazu","doi":"10.1093/jscr/rjaf751","DOIUrl":null,"url":null,"abstract":"<p><p>Splenic metastasis is uncommon, and truly isolated splenic metastasis (ISM) from breast cancer is a clinical rarity. Contemporary autopsy series reports splenic involvement in <1% of breast cancer-related deaths, and fewer than 15 well-documented ISM cases have been published. We report a 71-year-old woman presenting with a right-breast mass, regional lymphadenopathy, and a solitary splenic lesion detected on staging computed tomography (CT) and positron emission tomography-CT. Biopsy confirmed hormone receptor-negative, HER2-positive invasive ductal carcinoma. Six cycles of docetaxel, trastuzumab, and pertuzumab led to a 59% reduction in the primary tumour and complete radiological resolution of the splenic lesion. The patient remains progression-free 22 months after initiating therapy, maintained on trastuzumab and pertuzumab. Although extremely rare, ISM can present as the initial manifestation of <i>de novo</i> metastatic breast cancer. Awareness of this possibility may facilitate early systemic therapy and obviate the need for diagnostic splenectomy.</p>","PeriodicalId":47321,"journal":{"name":"Journal of Surgical Case Reports","volume":"2025 9","pages":"rjaf751"},"PeriodicalIF":0.5000,"publicationDate":"2025-09-20","publicationTypes":"Journal Article","fieldsOfStudy":null,"isOpenAccess":false,"openAccessPdf":"https://www.ncbi.nlm.nih.gov/pmc/articles/PMC12449763/pdf/","citationCount":"0","resultStr":"{\"title\":\"Isolated splenic metastasis presenting at diagnosis of HER2-positive <i>de novo</i> metastatic breast cancer: a case report.\",\"authors\":\"Maika Yoshioka, Masafumi Shimoda, Kaori Abe, Nanae Masunaga, Masami Tsukabe, Tetsuhiro Yoshinami, Yoshiaki Sota, Tomohiro Miyake, Tomonori Tanei, Kenzo Shimazu\",\"doi\":\"10.1093/jscr/rjaf751\",\"DOIUrl\":null,\"url\":null,\"abstract\":\"<p><p>Splenic metastasis is uncommon, and truly isolated splenic metastasis (ISM) from breast cancer is a clinical rarity. Contemporary autopsy series reports splenic involvement in <1% of breast cancer-related deaths, and fewer than 15 well-documented ISM cases have been published. We report a 71-year-old woman presenting with a right-breast mass, regional lymphadenopathy, and a solitary splenic lesion detected on staging computed tomography (CT) and positron emission tomography-CT. Biopsy confirmed hormone receptor-negative, HER2-positive invasive ductal carcinoma. Six cycles of docetaxel, trastuzumab, and pertuzumab led to a 59% reduction in the primary tumour and complete radiological resolution of the splenic lesion. The patient remains progression-free 22 months after initiating therapy, maintained on trastuzumab and pertuzumab. Although extremely rare, ISM can present as the initial manifestation of <i>de novo</i> metastatic breast cancer. Awareness of this possibility may facilitate early systemic therapy and obviate the need for diagnostic splenectomy.</p>\",\"PeriodicalId\":47321,\"journal\":{\"name\":\"Journal of Surgical Case Reports\",\"volume\":\"2025 9\",\"pages\":\"rjaf751\"},\"PeriodicalIF\":0.5000,\"publicationDate\":\"2025-09-20\",\"publicationTypes\":\"Journal Article\",\"fieldsOfStudy\":null,\"isOpenAccess\":false,\"openAccessPdf\":\"https://www.ncbi.nlm.nih.gov/pmc/articles/PMC12449763/pdf/\",\"citationCount\":\"0\",\"resultStr\":null,\"platform\":\"Semanticscholar\",\"paperid\":null,\"PeriodicalName\":\"Journal of Surgical Case Reports\",\"FirstCategoryId\":\"1085\",\"ListUrlMain\":\"https://doi.org/10.1093/jscr/rjaf751\",\"RegionNum\":0,\"RegionCategory\":null,\"ArticlePicture\":[],\"TitleCN\":null,\"AbstractTextCN\":null,\"PMCID\":null,\"EPubDate\":\"2025/9/1 0:00:00\",\"PubModel\":\"eCollection\",\"JCR\":\"Q4\",\"JCRName\":\"SURGERY\",\"Score\":null,\"Total\":0}","platform":"Semanticscholar","paperid":null,"PeriodicalName":"Journal of Surgical Case Reports","FirstCategoryId":"1085","ListUrlMain":"https://doi.org/10.1093/jscr/rjaf751","RegionNum":0,"RegionCategory":null,"ArticlePicture":[],"TitleCN":null,"AbstractTextCN":null,"PMCID":null,"EPubDate":"2025/9/1 0:00:00","PubModel":"eCollection","JCR":"Q4","JCRName":"SURGERY","Score":null,"Total":0}
引用次数: 0

摘要

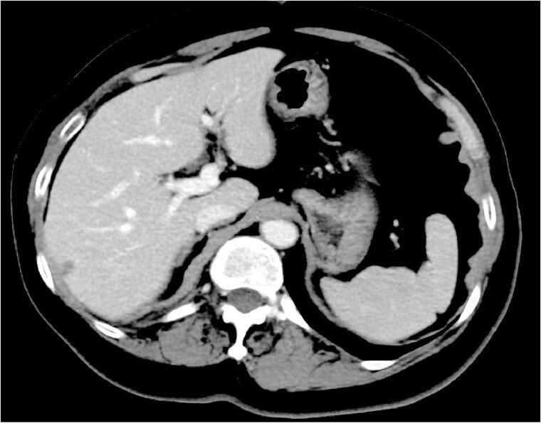
脾转移是罕见的,真正孤立性的乳腺癌脾转移(ISM)是临床上罕见的。当代尸检系列报道脾脏累及新发转移性乳腺癌。认识到这种可能性可以促进早期全身治疗,避免诊断性脾切除术的需要。
本文章由计算机程序翻译,如有差异,请以英文原文为准。

Isolated splenic metastasis presenting at diagnosis of HER2-positive <i>de novo</i> metastatic breast cancer: a case report.

Isolated splenic metastasis presenting at diagnosis of HER2-positive <i>de novo</i> metastatic breast cancer: a case report.

Isolated splenic metastasis presenting at diagnosis of HER2-positive de novo metastatic breast cancer: a case report.

Splenic metastasis is uncommon, and truly isolated splenic metastasis (ISM) from breast cancer is a clinical rarity. Contemporary autopsy series reports splenic involvement in <1% of breast cancer-related deaths, and fewer than 15 well-documented ISM cases have been published. We report a 71-year-old woman presenting with a right-breast mass, regional lymphadenopathy, and a solitary splenic lesion detected on staging computed tomography (CT) and positron emission tomography-CT. Biopsy confirmed hormone receptor-negative, HER2-positive invasive ductal carcinoma. Six cycles of docetaxel, trastuzumab, and pertuzumab led to a 59% reduction in the primary tumour and complete radiological resolution of the splenic lesion. The patient remains progression-free 22 months after initiating therapy, maintained on trastuzumab and pertuzumab. Although extremely rare, ISM can present as the initial manifestation of de novo metastatic breast cancer. Awareness of this possibility may facilitate early systemic therapy and obviate the need for diagnostic splenectomy.

求助全文
通过发布文献求助,成功后即可免费获取论文全文。 去求助
来源期刊
CiteScore
0.70
自引率
0.00%
发文量
559
审稿时长
11 weeks
×
引用
GB/T 7714-2015
复制
MLA
复制
APA
复制
导出至
BibTeX EndNote RefMan NoteFirst NoteExpress
×
提示
您的信息不完整,为了账户安全,请先补充。
现在去补充
×
提示
您因"违规操作"
具体请查看互助需知
我知道了
×
提示
确定
请完成安全验证×
copy
已复制链接
快去分享给好友吧!
我知道了
右上角分享
点击右上角分享
0
联系我们:info@booksci.cn Book学术提供免费学术资源搜索服务,方便国内外学者检索中英文文献。致力于提供最便捷和优质的服务体验。 Copyright © 2023 布克学术 All rights reserved.
京ICP备2023020795号-1
ghs 京公网安备 11010802042870号
Book学术文献互助
Book学术文献互助群
群 号:604180095
Book学术官方微信