急性肝损伤作为肉芽肿性肝炎的表现:诊断挑战。

IF 0.4 Q3 MEDICINE, GENERAL & INTERNAL
Oxford Medical Case Reports Pub Date : 2025-09-15 eCollection Date: 2025-09-01 DOI:10.1093/omcr/omaf160
Melissa N Martinez-Marquez, Sandra M Feria-Agudelo, Lumi G Alfonso-Zapata, German Barrientos-Cabrera, Jesús Ruiz-Manríquez, Froylan D Martínez-Sánchez
{"title":"急性肝损伤作为肉芽肿性肝炎的表现:诊断挑战。","authors":"Melissa N Martinez-Marquez, Sandra M Feria-Agudelo, Lumi G Alfonso-Zapata, German Barrientos-Cabrera, Jesús Ruiz-Manríquez, Froylan D Martínez-Sánchez","doi":"10.1093/omcr/omaf160","DOIUrl":null,"url":null,"abstract":"<p><p>Granulomatous hepatitis is a rare clinical entity characterized by granuloma formation in the liver, with a diverse etiology that includes infectious, autoimmune, and malignant causes. This case report details a 35-year-old male presenting with jaundice, abdominal pain, and malaise. Laboratory findings showed features of acute liver injury, with elevated liver enzymes and bilirubin, while imaging studies revealed hepatomegaly and lymphadenopathy. A liver biopsy confirmed non-caseating granulomas, with negative results for infectious and autoimmune etiologies. Further investigations, including a bone marrow biopsy, identified Hodgkin's lymphoma, establishing the diagnosis of granulomatous hepatitis as a paraneoplastic manifestation. The patient was referred for oncological treatment, underscoring the critical role of liver biopsy and histopathological evaluation in diagnosing granulomatous hepatitis of unclear origin. This case highlights the diagnostic complexities and the need for a multidisciplinary approach in identifying systemic malignancies presenting with hepatic manifestations.</p>","PeriodicalId":45318,"journal":{"name":"Oxford Medical Case Reports","volume":"2025 9","pages":"omaf160"},"PeriodicalIF":0.4000,"publicationDate":"2025-09-15","publicationTypes":"Journal Article","fieldsOfStudy":null,"isOpenAccess":false,"openAccessPdf":"https://www.ncbi.nlm.nih.gov/pmc/articles/PMC12448408/pdf/","citationCount":"0","resultStr":"{\"title\":\"Acute liver injury as a manifestation of granulomatous hepatitis: diagnostic challenges.\",\"authors\":\"Melissa N Martinez-Marquez, Sandra M Feria-Agudelo, Lumi G Alfonso-Zapata, German Barrientos-Cabrera, Jesús Ruiz-Manríquez, Froylan D Martínez-Sánchez\",\"doi\":\"10.1093/omcr/omaf160\",\"DOIUrl\":null,\"url\":null,\"abstract\":\"<p><p>Granulomatous hepatitis is a rare clinical entity characterized by granuloma formation in the liver, with a diverse etiology that includes infectious, autoimmune, and malignant causes. This case report details a 35-year-old male presenting with jaundice, abdominal pain, and malaise. Laboratory findings showed features of acute liver injury, with elevated liver enzymes and bilirubin, while imaging studies revealed hepatomegaly and lymphadenopathy. A liver biopsy confirmed non-caseating granulomas, with negative results for infectious and autoimmune etiologies. Further investigations, including a bone marrow biopsy, identified Hodgkin's lymphoma, establishing the diagnosis of granulomatous hepatitis as a paraneoplastic manifestation. The patient was referred for oncological treatment, underscoring the critical role of liver biopsy and histopathological evaluation in diagnosing granulomatous hepatitis of unclear origin. This case highlights the diagnostic complexities and the need for a multidisciplinary approach in identifying systemic malignancies presenting with hepatic manifestations.</p>\",\"PeriodicalId\":45318,\"journal\":{\"name\":\"Oxford Medical Case Reports\",\"volume\":\"2025 9\",\"pages\":\"omaf160\"},\"PeriodicalIF\":0.4000,\"publicationDate\":\"2025-09-15\",\"publicationTypes\":\"Journal Article\",\"fieldsOfStudy\":null,\"isOpenAccess\":false,\"openAccessPdf\":\"https://www.ncbi.nlm.nih.gov/pmc/articles/PMC12448408/pdf/\",\"citationCount\":\"0\",\"resultStr\":null,\"platform\":\"Semanticscholar\",\"paperid\":null,\"PeriodicalName\":\"Oxford Medical Case Reports\",\"FirstCategoryId\":\"1085\",\"ListUrlMain\":\"https://doi.org/10.1093/omcr/omaf160\",\"RegionNum\":0,\"RegionCategory\":null,\"ArticlePicture\":[],\"TitleCN\":null,\"AbstractTextCN\":null,\"PMCID\":null,\"EPubDate\":\"2025/9/1 0:00:00\",\"PubModel\":\"eCollection\",\"JCR\":\"Q3\",\"JCRName\":\"MEDICINE, GENERAL & INTERNAL\",\"Score\":null,\"Total\":0}","platform":"Semanticscholar","paperid":null,"PeriodicalName":"Oxford Medical Case Reports","FirstCategoryId":"1085","ListUrlMain":"https://doi.org/10.1093/omcr/omaf160","RegionNum":0,"RegionCategory":null,"ArticlePicture":[],"TitleCN":null,"AbstractTextCN":null,"PMCID":null,"EPubDate":"2025/9/1 0:00:00","PubModel":"eCollection","JCR":"Q3","JCRName":"MEDICINE, GENERAL & INTERNAL","Score":null,"Total":0}
引用次数: 0

摘要

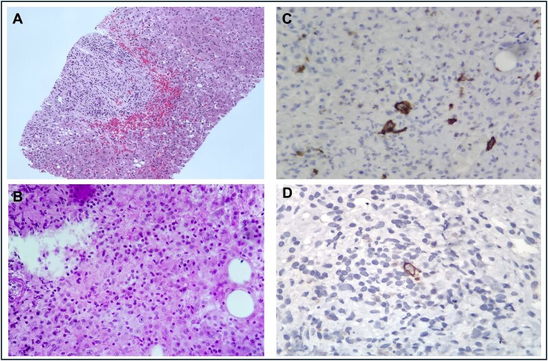
肉芽肿性肝炎是一种罕见的以肝脏肉芽肿形成为特征的临床疾病,其病因多种多样,包括感染性、自身免疫性和恶性病因。本病例报告详细介绍了一名35岁男性,表现为黄疸、腹痛和不适。实验室结果显示急性肝损伤,肝酶和胆红素升高,而影像学检查显示肝肿大和淋巴结病。肝活检证实非干酪化肉芽肿,感染和自身免疫性病因阴性。进一步的调查,包括骨髓活检,确定了霍奇金淋巴瘤,确定了肉芽肿性肝炎作为副肿瘤表现的诊断。患者转诊接受肿瘤治疗,强调肝活检和组织病理学评估在诊断来源不明的肉芽肿性肝炎中的关键作用。这个病例强调了诊断的复杂性和需要多学科的方法来识别以肝脏表现的系统性恶性肿瘤。
本文章由计算机程序翻译,如有差异,请以英文原文为准。

Acute liver injury as a manifestation of granulomatous hepatitis: diagnostic challenges.

Acute liver injury as a manifestation of granulomatous hepatitis: diagnostic challenges.

Granulomatous hepatitis is a rare clinical entity characterized by granuloma formation in the liver, with a diverse etiology that includes infectious, autoimmune, and malignant causes. This case report details a 35-year-old male presenting with jaundice, abdominal pain, and malaise. Laboratory findings showed features of acute liver injury, with elevated liver enzymes and bilirubin, while imaging studies revealed hepatomegaly and lymphadenopathy. A liver biopsy confirmed non-caseating granulomas, with negative results for infectious and autoimmune etiologies. Further investigations, including a bone marrow biopsy, identified Hodgkin's lymphoma, establishing the diagnosis of granulomatous hepatitis as a paraneoplastic manifestation. The patient was referred for oncological treatment, underscoring the critical role of liver biopsy and histopathological evaluation in diagnosing granulomatous hepatitis of unclear origin. This case highlights the diagnostic complexities and the need for a multidisciplinary approach in identifying systemic malignancies presenting with hepatic manifestations.

求助全文
通过发布文献求助,成功后即可免费获取论文全文。 去求助
来源期刊
Oxford Medical Case Reports
Oxford Medical Case Reports MEDICINE, GENERAL & INTERNAL-
CiteScore
0.90
自引率
0.00%
发文量
125
审稿时长
19 weeks
期刊介绍: Oxford Medical Case Reports (OMCR) is an open access, peer-reviewed online journal publishing original and educationally valuable case reports that expand the field of medicine. The journal covers all medical specialities including cardiology, rheumatology, nephrology, oncology, neurology, and reproduction, comprising a comprehensive resource for physicians in all fields and at all stages of training. Oxford Medical Case Reports deposits all articles in PubMed Central (PMC). Physicians and researchers can find your work through PubMed , helping you reach the widest possible audience. The journal is also indexed in the Web of Science Core Collection . Oxford Medical Case Reports publishes case reports under the following categories: Allergy Audiovestibular medicine Cardiology and cardiovascular systems Critical care medicine Dermatology Emergency medicine Endocrinology and metabolism Gastroenterology and hepatology Geriatrics and gerontology Haematology Immunology Infectious diseases and tropical medicine Medical disorders in pregnancy Medical ophthalmology Nephrology Neurology Oncology Paediatrics Pain Palliative medicine Pharmacology and pharmacy Psychiatry Radiology, nuclear medicine, and medical imaging Respiratory disorders Rheumatology Sexual and reproductive health Sports Medicine Substance abuse.
×
引用
GB/T 7714-2015
复制
MLA
复制
APA
复制
导出至
BibTeX EndNote RefMan NoteFirst NoteExpress
×
提示
您的信息不完整,为了账户安全,请先补充。
现在去补充
×
提示
您因"违规操作"
具体请查看互助需知
我知道了
×
提示
确定
请完成安全验证×
copy
已复制链接
快去分享给好友吧!
我知道了
右上角分享
点击右上角分享
0
联系我们:info@booksci.cn Book学术提供免费学术资源搜索服务,方便国内外学者检索中英文文献。致力于提供最便捷和优质的服务体验。 Copyright © 2023 布克学术 All rights reserved.
京ICP备2023020795号-1
ghs 京公网安备 11010802042870号
Book学术文献互助
Book学术文献互助群
群 号:604180095
Book学术官方微信