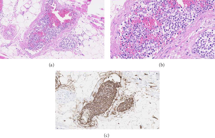
血管内大b细胞淋巴瘤表现为全身毛细血管渗漏综合征伴免疫现象1例报告。

IF 0.7 Q4 HEMATOLOGY
Case Reports in Hematology Pub Date : 2025-09-11 eCollection Date: 2025-01-01 DOI:10.1155/crh/9919411
Helena M van Dongen, Bregje M Koomen, Jordy Jurgens, Helen L Leavis
{"title":"血管内大b细胞淋巴瘤表现为全身毛细血管渗漏综合征伴免疫现象1例报告。","authors":"Helena M van Dongen, Bregje M Koomen, Jordy Jurgens, Helen L Leavis","doi":"10.1155/crh/9919411","DOIUrl":null,"url":null,"abstract":"<p><p>Intravascular large B-cell lymphoma (IVLBCL) has a high mortality rate, partly due to its heterogeneous presentation and rarity. We present a case of a 73-year-old woman who came into the emergency room in need of fluid resuscitation, interpreted as septic shock. However, broad-spectrum antibiotics gave no resolution, and no causative agent was found. Further physical examination showed proximal muscle weakness, Raynaud's phenomenon, and calcinosis cutis. During 3 weeks of admission, vasopressor support was required continuously due to a capillary leak syndrome. The patient passed away. The underlying malignancy was only revealed at autopsy. To the best of our knowledge, this is the first case of IVLBCL with hypovolemic shock due to systemic capillary leak syndrome in combination with a wide range of immunological phenomena.</p>","PeriodicalId":46307,"journal":{"name":"Case Reports in Hematology","volume":"2025 ","pages":"9919411"},"PeriodicalIF":0.7000,"publicationDate":"2025-09-11","publicationTypes":"Journal Article","fieldsOfStudy":null,"isOpenAccess":false,"openAccessPdf":"https://www.ncbi.nlm.nih.gov/pmc/articles/PMC12446591/pdf/","citationCount":"0","resultStr":"{\"title\":\"Intravascular Large B-Cell Lymphoma Presenting as Systemic Capillary Leak Syndrome With Immunological Phenomena: A Case Report.\",\"authors\":\"Helena M van Dongen, Bregje M Koomen, Jordy Jurgens, Helen L Leavis\",\"doi\":\"10.1155/crh/9919411\",\"DOIUrl\":null,\"url\":null,\"abstract\":\"<p><p>Intravascular large B-cell lymphoma (IVLBCL) has a high mortality rate, partly due to its heterogeneous presentation and rarity. We present a case of a 73-year-old woman who came into the emergency room in need of fluid resuscitation, interpreted as septic shock. However, broad-spectrum antibiotics gave no resolution, and no causative agent was found. Further physical examination showed proximal muscle weakness, Raynaud's phenomenon, and calcinosis cutis. During 3 weeks of admission, vasopressor support was required continuously due to a capillary leak syndrome. The patient passed away. The underlying malignancy was only revealed at autopsy. To the best of our knowledge, this is the first case of IVLBCL with hypovolemic shock due to systemic capillary leak syndrome in combination with a wide range of immunological phenomena.</p>\",\"PeriodicalId\":46307,\"journal\":{\"name\":\"Case Reports in Hematology\",\"volume\":\"2025 \",\"pages\":\"9919411\"},\"PeriodicalIF\":0.7000,\"publicationDate\":\"2025-09-11\",\"publicationTypes\":\"Journal Article\",\"fieldsOfStudy\":null,\"isOpenAccess\":false,\"openAccessPdf\":\"https://www.ncbi.nlm.nih.gov/pmc/articles/PMC12446591/pdf/\",\"citationCount\":\"0\",\"resultStr\":null,\"platform\":\"Semanticscholar\",\"paperid\":null,\"PeriodicalName\":\"Case Reports in Hematology\",\"FirstCategoryId\":\"1085\",\"ListUrlMain\":\"https://doi.org/10.1155/crh/9919411\",\"RegionNum\":0,\"RegionCategory\":null,\"ArticlePicture\":[],\"TitleCN\":null,\"AbstractTextCN\":null,\"PMCID\":null,\"EPubDate\":\"2025/1/1 0:00:00\",\"PubModel\":\"eCollection\",\"JCR\":\"Q4\",\"JCRName\":\"HEMATOLOGY\",\"Score\":null,\"Total\":0}","platform":"Semanticscholar","paperid":null,"PeriodicalName":"Case Reports in Hematology","FirstCategoryId":"1085","ListUrlMain":"https://doi.org/10.1155/crh/9919411","RegionNum":0,"RegionCategory":null,"ArticlePicture":[],"TitleCN":null,"AbstractTextCN":null,"PMCID":null,"EPubDate":"2025/1/1 0:00:00","PubModel":"eCollection","JCR":"Q4","JCRName":"HEMATOLOGY","Score":null,"Total":0}
引用次数: 0

摘要

血管内大b细胞淋巴瘤(IVLBCL)死亡率高,部分原因是其异质表现和罕见。我们提出一个73岁的妇女谁进入急诊室需要液体复苏,解释为感染性休克。然而,广谱抗生素没有解决问题,也没有发现病原体。进一步体格检查显示近端肌无力、雷诺现象和皮肤钙质沉着症。在入院3周期间,由于毛细血管渗漏综合征,持续需要血管加压素支持。病人去世了。潜在的恶性肿瘤在尸检时才被发现。据我们所知,这是第一例因全身毛细血管渗漏综合征合并多种免疫现象而导致的IVLBCL低血容量性休克。
本文章由计算机程序翻译,如有差异,请以英文原文为准。

Intravascular Large B-Cell Lymphoma Presenting as Systemic Capillary Leak Syndrome With Immunological Phenomena: A Case Report.

Intravascular Large B-Cell Lymphoma Presenting as Systemic Capillary Leak Syndrome With Immunological Phenomena: A Case Report.

Intravascular Large B-Cell Lymphoma Presenting as Systemic Capillary Leak Syndrome With Immunological Phenomena: A Case Report.

Intravascular Large B-Cell Lymphoma Presenting as Systemic Capillary Leak Syndrome With Immunological Phenomena: A Case Report.

Intravascular large B-cell lymphoma (IVLBCL) has a high mortality rate, partly due to its heterogeneous presentation and rarity. We present a case of a 73-year-old woman who came into the emergency room in need of fluid resuscitation, interpreted as septic shock. However, broad-spectrum antibiotics gave no resolution, and no causative agent was found. Further physical examination showed proximal muscle weakness, Raynaud's phenomenon, and calcinosis cutis. During 3 weeks of admission, vasopressor support was required continuously due to a capillary leak syndrome. The patient passed away. The underlying malignancy was only revealed at autopsy. To the best of our knowledge, this is the first case of IVLBCL with hypovolemic shock due to systemic capillary leak syndrome in combination with a wide range of immunological phenomena.

求助全文
通过发布文献求助,成功后即可免费获取论文全文。 去求助
来源期刊
自引率
0.00%
发文量
51
审稿时长
13 weeks
×
引用
GB/T 7714-2015
复制
MLA
复制
APA
复制
导出至
BibTeX EndNote RefMan NoteFirst NoteExpress
×
提示
您的信息不完整,为了账户安全,请先补充。
现在去补充
×
提示
您因"违规操作"
具体请查看互助需知
我知道了
×
提示
确定
请完成安全验证×
copy
已复制链接
快去分享给好友吧!
我知道了
右上角分享
点击右上角分享
0
联系我们:info@booksci.cn Book学术提供免费学术资源搜索服务,方便国内外学者检索中英文文献。致力于提供最便捷和优质的服务体验。 Copyright © 2023 布克学术 All rights reserved.
京ICP备2023020795号-1
ghs 京公网安备 11010802042870号
Book学术文献互助
Book学术文献互助群
群 号:604180095
Book学术官方微信