应用钻孔扩张器经肿瘤硬道经乳头引流胰液渗漏1例报告。

IF 1.8 Q4 GASTROENTEROLOGY & HEPATOLOGY
Makomo Makazu, Kazuya Koizumi, Jun Kubota, Karen Kimura, Sakue Masuda
{"title":"应用钻孔扩张器经肿瘤硬道经乳头引流胰液渗漏1例报告。","authors":"Makomo Makazu, Kazuya Koizumi, Jun Kubota, Karen Kimura, Sakue Masuda","doi":"10.4253/wjge.v17.i9.110424","DOIUrl":null,"url":null,"abstract":"<p><strong>Background: </strong>Pancreatic fluid leakage is a rare complication of pancreatic cancer and often requires drainage when conservative therapy fails. Endoscopic, percutaneous, and surgical drainage are options. Minimally invasive endoscopic procedures are generally considered the first-line treatment, with either a transpapillary approach or an endoscopic ultrasound-guided transmural approach selected depending on the case. Various dilators are used to dilate tracts to the leakage site. However, reports of dilation through a rigid trans-tumoral tract using a drill dilator remain extremely rare.</p><p><strong>Case summary: </strong>A 74-year-old woman with pancreatic body and tail cancer developed fever and left-sided chest pain after multiple courses of chemotherapy. Computed tomography revealed fluid accumulation around the pancreatic tail and spleen along with a left pleural effusion. The effusion was diagnosed as reactive secondary to pancreatic fluid leakage. Endoscopic retrograde cholangiopancreatography identified irregular stenosis of the main pancreatic duct in the pancreatic body. Distal to the stenosis, the main ductal structure was nearly obliterated by the tumor. The contrast medium had leaked into the pancreatic fluid leakage area through several fine, disrupted ductal structures. The guidewire was successfully advanced through an extremely fine tract that was not the main contrast-filling route. Standard dilators failed to expand the rigid trans-tumoral tract. A second endoscopic retrograde cholangiopancreatography using a drill dilator successfully expanded the trans-tumoral tract, enabling endoscopic nasopancreatic drainage tube placement. Subsequently, the pancreatic fluid leakage and pleural effusion resolved.</p><p><strong>Conclusion: </strong>Even in rigid trans-tumoral tracts, the use of a drill dilator can facilitate successful tract expansion, enabling effective drainage.</p>","PeriodicalId":23953,"journal":{"name":"World Journal of Gastrointestinal Endoscopy","volume":"17 9","pages":"110424"},"PeriodicalIF":1.8000,"publicationDate":"2025-09-16","publicationTypes":"Journal Article","fieldsOfStudy":null,"isOpenAccess":false,"openAccessPdf":"https://www.ncbi.nlm.nih.gov/pmc/articles/PMC12444271/pdf/","citationCount":"0","resultStr":"{\"title\":\"Transpapillary drainage of pancreatic fluid leakage <i>via</i> a rigid trans-tumoral tract using a drill dilator: A case report.\",\"authors\":\"Makomo Makazu, Kazuya Koizumi, Jun Kubota, Karen Kimura, Sakue Masuda\",\"doi\":\"10.4253/wjge.v17.i9.110424\",\"DOIUrl\":null,\"url\":null,\"abstract\":\"<p><strong>Background: </strong>Pancreatic fluid leakage is a rare complication of pancreatic cancer and often requires drainage when conservative therapy fails. Endoscopic, percutaneous, and surgical drainage are options. Minimally invasive endoscopic procedures are generally considered the first-line treatment, with either a transpapillary approach or an endoscopic ultrasound-guided transmural approach selected depending on the case. Various dilators are used to dilate tracts to the leakage site. However, reports of dilation through a rigid trans-tumoral tract using a drill dilator remain extremely rare.</p><p><strong>Case summary: </strong>A 74-year-old woman with pancreatic body and tail cancer developed fever and left-sided chest pain after multiple courses of chemotherapy. Computed tomography revealed fluid accumulation around the pancreatic tail and spleen along with a left pleural effusion. The effusion was diagnosed as reactive secondary to pancreatic fluid leakage. Endoscopic retrograde cholangiopancreatography identified irregular stenosis of the main pancreatic duct in the pancreatic body. Distal to the stenosis, the main ductal structure was nearly obliterated by the tumor. The contrast medium had leaked into the pancreatic fluid leakage area through several fine, disrupted ductal structures. The guidewire was successfully advanced through an extremely fine tract that was not the main contrast-filling route. Standard dilators failed to expand the rigid trans-tumoral tract. A second endoscopic retrograde cholangiopancreatography using a drill dilator successfully expanded the trans-tumoral tract, enabling endoscopic nasopancreatic drainage tube placement. Subsequently, the pancreatic fluid leakage and pleural effusion resolved.</p><p><strong>Conclusion: </strong>Even in rigid trans-tumoral tracts, the use of a drill dilator can facilitate successful tract expansion, enabling effective drainage.</p>\",\"PeriodicalId\":23953,\"journal\":{\"name\":\"World Journal of Gastrointestinal Endoscopy\",\"volume\":\"17 9\",\"pages\":\"110424\"},\"PeriodicalIF\":1.8000,\"publicationDate\":\"2025-09-16\",\"publicationTypes\":\"Journal Article\",\"fieldsOfStudy\":null,\"isOpenAccess\":false,\"openAccessPdf\":\"https://www.ncbi.nlm.nih.gov/pmc/articles/PMC12444271/pdf/\",\"citationCount\":\"0\",\"resultStr\":null,\"platform\":\"Semanticscholar\",\"paperid\":null,\"PeriodicalName\":\"World Journal of Gastrointestinal Endoscopy\",\"FirstCategoryId\":\"3\",\"ListUrlMain\":\"https://doi.org/10.4253/wjge.v17.i9.110424\",\"RegionNum\":0,\"RegionCategory\":null,\"ArticlePicture\":[],\"TitleCN\":null,\"AbstractTextCN\":null,\"PMCID\":null,\"EPubDate\":\"\",\"PubModel\":\"\",\"JCR\":\"Q4\",\"JCRName\":\"GASTROENTEROLOGY & HEPATOLOGY\",\"Score\":null,\"Total\":0}","platform":"Semanticscholar","paperid":null,"PeriodicalName":"World Journal of Gastrointestinal Endoscopy","FirstCategoryId":"3","ListUrlMain":"https://doi.org/10.4253/wjge.v17.i9.110424","RegionNum":0,"RegionCategory":null,"ArticlePicture":[],"TitleCN":null,"AbstractTextCN":null,"PMCID":null,"EPubDate":"","PubModel":"","JCR":"Q4","JCRName":"GASTROENTEROLOGY & HEPATOLOGY","Score":null,"Total":0}
引用次数: 0

摘要

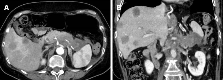
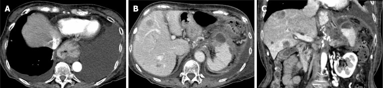
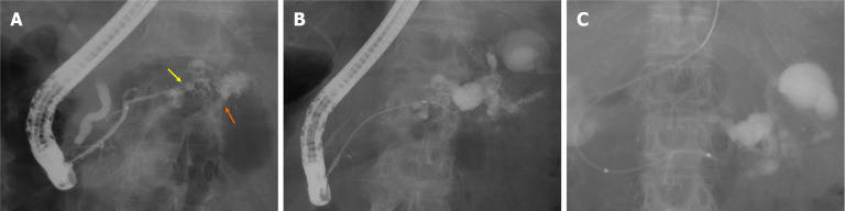
背景:胰液漏是一种罕见的胰腺癌并发症,当保守治疗失败时通常需要引流。内窥镜、经皮引流和手术引流均可选择。微创内镜手术通常被认为是一线治疗方法,根据具体情况选择经乳头入路或超声内镜引导下的跨壁入路。使用各种扩张器将束扩张到渗漏部位。然而,使用钻孔式扩张器通过刚性经肿瘤束进行扩张的报道仍然非常罕见。病例总结:一名74岁女性胰腺体尾癌患者在多次化疗后出现发热和左侧胸痛。计算机断层扫描显示胰腺尾部和脾脏周围积液伴左侧胸腔积液。诊断为继发于胰液漏的反应性积液。内镜逆行胰胆管造影发现胰腺主体胰管不规则狭窄。在狭窄的远端,主要的导管结构几乎被肿瘤覆盖。造影剂通过几个细小的、破裂的导管结构渗漏到胰液漏区。导丝成功地通过了一个非常细小的通道,这不是主要的对比填充途径。标准扩张器不能扩张坚硬的经瘤束。第二次内镜逆行胆管造影使用钻孔扩张器成功地扩大了经肿瘤束,使内镜下鼻胰引流管放置。随后,胰漏和胸腔积液得以解决。结论:即使在刚性的经瘤束中,使用钻孔扩张器也能促进成功的扩张,实现有效的引流。
本文章由计算机程序翻译,如有差异,请以英文原文为准。

Transpapillary drainage of pancreatic fluid leakage <i>via</i> a rigid trans-tumoral tract using a drill dilator: A case report.

Transpapillary drainage of pancreatic fluid leakage <i>via</i> a rigid trans-tumoral tract using a drill dilator: A case report.

Transpapillary drainage of pancreatic fluid leakage <i>via</i> a rigid trans-tumoral tract using a drill dilator: A case report.

Transpapillary drainage of pancreatic fluid leakage via a rigid trans-tumoral tract using a drill dilator: A case report.

Background: Pancreatic fluid leakage is a rare complication of pancreatic cancer and often requires drainage when conservative therapy fails. Endoscopic, percutaneous, and surgical drainage are options. Minimally invasive endoscopic procedures are generally considered the first-line treatment, with either a transpapillary approach or an endoscopic ultrasound-guided transmural approach selected depending on the case. Various dilators are used to dilate tracts to the leakage site. However, reports of dilation through a rigid trans-tumoral tract using a drill dilator remain extremely rare.

Case summary: A 74-year-old woman with pancreatic body and tail cancer developed fever and left-sided chest pain after multiple courses of chemotherapy. Computed tomography revealed fluid accumulation around the pancreatic tail and spleen along with a left pleural effusion. The effusion was diagnosed as reactive secondary to pancreatic fluid leakage. Endoscopic retrograde cholangiopancreatography identified irregular stenosis of the main pancreatic duct in the pancreatic body. Distal to the stenosis, the main ductal structure was nearly obliterated by the tumor. The contrast medium had leaked into the pancreatic fluid leakage area through several fine, disrupted ductal structures. The guidewire was successfully advanced through an extremely fine tract that was not the main contrast-filling route. Standard dilators failed to expand the rigid trans-tumoral tract. A second endoscopic retrograde cholangiopancreatography using a drill dilator successfully expanded the trans-tumoral tract, enabling endoscopic nasopancreatic drainage tube placement. Subsequently, the pancreatic fluid leakage and pleural effusion resolved.

Conclusion: Even in rigid trans-tumoral tracts, the use of a drill dilator can facilitate successful tract expansion, enabling effective drainage.

求助全文
通过发布文献求助,成功后即可免费获取论文全文。 去求助
来源期刊
World Journal of Gastrointestinal Endoscopy
World Journal of Gastrointestinal Endoscopy GASTROENTEROLOGY & HEPATOLOGY-
自引率
5.00%
发文量
1164
×
引用
GB/T 7714-2015
复制
MLA
复制
APA
复制
导出至
BibTeX EndNote RefMan NoteFirst NoteExpress
×
提示
您的信息不完整,为了账户安全,请先补充。
现在去补充
×
提示
您因"违规操作"
具体请查看互助需知
我知道了
×
提示
确定
请完成安全验证×
copy
已复制链接
快去分享给好友吧!
我知道了
右上角分享
点击右上角分享
0
联系我们:info@booksci.cn Book学术提供免费学术资源搜索服务,方便国内外学者检索中英文文献。致力于提供最便捷和优质的服务体验。 Copyright © 2023 布克学术 All rights reserved.
京ICP备2023020795号-1
ghs 京公网安备 11010802042870号
Book学术文献互助
Book学术文献互助群
群 号:604180095
Book学术官方微信