利用具有向软骨细胞分化潜力的沃顿氏胶状间充质干细胞制备三维胶原脱细胞生物支架。

IF 3.3 3区 医学 Q2 CELL & TISSUE ENGINEERING
Stem Cells International Pub Date : 2025-09-11 eCollection Date: 2025-01-01 DOI:10.1155/sci/9953810
Fatemeh Masjedi, Zahra Heidari, Kamran Hosseini, Shahrokh Zare, Anahid Safari, Davood Mehrabani, Elmira Jalilian, Negar Azarpira, Zahra Khodabandeh
{"title":"利用具有向软骨细胞分化潜力的沃顿氏胶状间充质干细胞制备三维胶原脱细胞生物支架。","authors":"Fatemeh Masjedi, Zahra Heidari, Kamran Hosseini, Shahrokh Zare, Anahid Safari, Davood Mehrabani, Elmira Jalilian, Negar Azarpira, Zahra Khodabandeh","doi":"10.1155/sci/9953810","DOIUrl":null,"url":null,"abstract":"<p><p><b>Background:</b> Stem cell-based regenerative approaches have been developed to treat osteoarthritis (OA) and repair cartilage defects. In the present study, we fabricated a three-dimensional (3D) collagen-based decellularized biological scaffold using human Wharton's jelly-derived mesenchymal stem cells (hWJ-MSCs) and analyzed its recellularization and subsequent differentiation potential toward chondrocytes. <b>Methods:</b> MSCs were isolated from human Wharton's jelly, characterized by flow cytometry, and differentiated toward osteogenic and adipogenic lineages. hWJ-MSCs were cultured in a 3D collagen scaffold. After the matrix was deposited by the cells, the scaffold was decellularized, and new hWJ-MSCs were cultured and differentiated into chondrocytes. The efficiency of the decellularization process was assessed using hematoxylin and eosin (H&E) staining, DNA quantification, scanning electron microscopy (SEM), and Raman spectroscopy. Immunohistochemical and transcriptional evaluation of chondrogenic markers, including collagen type II, aggrecan, and osteonectin, was performed. <b>Results:</b> Prepared decellularized scaffolds showed very low levels of nucleic materials compared to intact ones. The integrity and efficiency of the decellularization process were confirmed using SEM. Moreover, a comparison of Raman spectra of intact and decellularized scaffolds demonstrated a remarkable reduction in carbohydrate, lipid, and DNA content. Three weeks after recellularization in the presence of chondrogenic medium, the immunoreactivity and expression levels of specific chondrocyte markers, including collagen type II, aggrecan, and osteonectin, significantly increased compared to negative controls. <b>Conclusion:</b> hWJ-MSCs and their use in fabricating nucleic acid-free 3D collagen-based scaffolds represent a promising in vitro model for investigating how the extracellular matrix (ECM) contributes to specific cell microenvironments. Decellularized ECM can also be utilized to develop novel, cell-free biomedical products for regenerative medicine.</p>","PeriodicalId":21962,"journal":{"name":"Stem Cells International","volume":"2025 ","pages":"9953810"},"PeriodicalIF":3.3000,"publicationDate":"2025-09-11","publicationTypes":"Journal Article","fieldsOfStudy":null,"isOpenAccess":false,"openAccessPdf":"https://www.ncbi.nlm.nih.gov/pmc/articles/PMC12446596/pdf/","citationCount":"0","resultStr":"{\"title\":\"Fabrication of 3D Collagen-Based Decellularized Biological Scaffolds Using Human Wharton's Jelly-Derived Mesenchymal Stem Cells With Differentiation Potential Toward Chondrocytes.\",\"authors\":\"Fatemeh Masjedi, Zahra Heidari, Kamran Hosseini, Shahrokh Zare, Anahid Safari, Davood Mehrabani, Elmira Jalilian, Negar Azarpira, Zahra Khodabandeh\",\"doi\":\"10.1155/sci/9953810\",\"DOIUrl\":null,\"url\":null,\"abstract\":\"<p><p><b>Background:</b> Stem cell-based regenerative approaches have been developed to treat osteoarthritis (OA) and repair cartilage defects. In the present study, we fabricated a three-dimensional (3D) collagen-based decellularized biological scaffold using human Wharton's jelly-derived mesenchymal stem cells (hWJ-MSCs) and analyzed its recellularization and subsequent differentiation potential toward chondrocytes. <b>Methods:</b> MSCs were isolated from human Wharton's jelly, characterized by flow cytometry, and differentiated toward osteogenic and adipogenic lineages. hWJ-MSCs were cultured in a 3D collagen scaffold. After the matrix was deposited by the cells, the scaffold was decellularized, and new hWJ-MSCs were cultured and differentiated into chondrocytes. The efficiency of the decellularization process was assessed using hematoxylin and eosin (H&E) staining, DNA quantification, scanning electron microscopy (SEM), and Raman spectroscopy. Immunohistochemical and transcriptional evaluation of chondrogenic markers, including collagen type II, aggrecan, and osteonectin, was performed. <b>Results:</b> Prepared decellularized scaffolds showed very low levels of nucleic materials compared to intact ones. The integrity and efficiency of the decellularization process were confirmed using SEM. Moreover, a comparison of Raman spectra of intact and decellularized scaffolds demonstrated a remarkable reduction in carbohydrate, lipid, and DNA content. Three weeks after recellularization in the presence of chondrogenic medium, the immunoreactivity and expression levels of specific chondrocyte markers, including collagen type II, aggrecan, and osteonectin, significantly increased compared to negative controls. <b>Conclusion:</b> hWJ-MSCs and their use in fabricating nucleic acid-free 3D collagen-based scaffolds represent a promising in vitro model for investigating how the extracellular matrix (ECM) contributes to specific cell microenvironments. Decellularized ECM can also be utilized to develop novel, cell-free biomedical products for regenerative medicine.</p>\",\"PeriodicalId\":21962,\"journal\":{\"name\":\"Stem Cells International\",\"volume\":\"2025 \",\"pages\":\"9953810\"},\"PeriodicalIF\":3.3000,\"publicationDate\":\"2025-09-11\",\"publicationTypes\":\"Journal Article\",\"fieldsOfStudy\":null,\"isOpenAccess\":false,\"openAccessPdf\":\"https://www.ncbi.nlm.nih.gov/pmc/articles/PMC12446596/pdf/\",\"citationCount\":\"0\",\"resultStr\":null,\"platform\":\"Semanticscholar\",\"paperid\":null,\"PeriodicalName\":\"Stem Cells International\",\"FirstCategoryId\":\"3\",\"ListUrlMain\":\"https://doi.org/10.1155/sci/9953810\",\"RegionNum\":3,\"RegionCategory\":\"医学\",\"ArticlePicture\":[],\"TitleCN\":null,\"AbstractTextCN\":null,\"PMCID\":null,\"EPubDate\":\"2025/1/1 0:00:00\",\"PubModel\":\"eCollection\",\"JCR\":\"Q2\",\"JCRName\":\"CELL & TISSUE ENGINEERING\",\"Score\":null,\"Total\":0}","platform":"Semanticscholar","paperid":null,"PeriodicalName":"Stem Cells International","FirstCategoryId":"3","ListUrlMain":"https://doi.org/10.1155/sci/9953810","RegionNum":3,"RegionCategory":"医学","ArticlePicture":[],"TitleCN":null,"AbstractTextCN":null,"PMCID":null,"EPubDate":"2025/1/1 0:00:00","PubModel":"eCollection","JCR":"Q2","JCRName":"CELL & TISSUE ENGINEERING","Score":null,"Total":0}
引用次数: 0

摘要

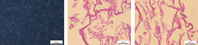
背景:基于干细胞的再生方法已经发展到治疗骨关节炎(OA)和修复软骨缺损。在本研究中,我们利用人Wharton’s jelly-derived mesenchymal stem cells (hWJ-MSCs)构建了一个三维(3D)胶原基脱细胞生物支架,并分析了其再细胞化和随后向软骨细胞分化的潜力。方法:从人华氏水母中分离MSCs,采用流式细胞术进行鉴定,并向成骨和成脂谱系分化。在3D胶原支架中培养hWJ-MSCs。细胞沉积基质后,对支架进行脱细胞处理,培养新的hWJ-MSCs并向软骨细胞分化。通过苏木精和伊红(H&E)染色、DNA定量、扫描电镜(SEM)和拉曼光谱来评估脱细胞过程的效率。对软骨形成标志物(包括II型胶原、聚集蛋白和骨连接蛋白)进行免疫组化和转录评价。结果:制备的脱细胞支架与完整支架相比,核酸物质含量极低。用扫描电镜验证了脱细胞过程的完整性和效率。此外,完整和去细胞支架的拉曼光谱比较表明,碳水化合物、脂质和DNA含量显著降低。在软骨培养基中再细胞化三周后,与阴性对照组相比,特定软骨细胞标志物(包括II型胶原、聚集蛋白和骨连接蛋白)的免疫反应性和表达水平显著增加。结论:hWJ-MSCs及其在制备无核酸3D胶原基支架中的应用为研究细胞外基质(ECM)如何促进特定细胞微环境提供了一种有前景的体外模型。脱细胞的ECM还可以用于开发用于再生医学的新型无细胞生物医学产品。
本文章由计算机程序翻译,如有差异,请以英文原文为准。

Fabrication of 3D Collagen-Based Decellularized Biological Scaffolds Using Human Wharton's Jelly-Derived Mesenchymal Stem Cells With Differentiation Potential Toward Chondrocytes.

Fabrication of 3D Collagen-Based Decellularized Biological Scaffolds Using Human Wharton's Jelly-Derived Mesenchymal Stem Cells With Differentiation Potential Toward Chondrocytes.

Fabrication of 3D Collagen-Based Decellularized Biological Scaffolds Using Human Wharton's Jelly-Derived Mesenchymal Stem Cells With Differentiation Potential Toward Chondrocytes.

Fabrication of 3D Collagen-Based Decellularized Biological Scaffolds Using Human Wharton's Jelly-Derived Mesenchymal Stem Cells With Differentiation Potential Toward Chondrocytes.

Background: Stem cell-based regenerative approaches have been developed to treat osteoarthritis (OA) and repair cartilage defects. In the present study, we fabricated a three-dimensional (3D) collagen-based decellularized biological scaffold using human Wharton's jelly-derived mesenchymal stem cells (hWJ-MSCs) and analyzed its recellularization and subsequent differentiation potential toward chondrocytes. Methods: MSCs were isolated from human Wharton's jelly, characterized by flow cytometry, and differentiated toward osteogenic and adipogenic lineages. hWJ-MSCs were cultured in a 3D collagen scaffold. After the matrix was deposited by the cells, the scaffold was decellularized, and new hWJ-MSCs were cultured and differentiated into chondrocytes. The efficiency of the decellularization process was assessed using hematoxylin and eosin (H&E) staining, DNA quantification, scanning electron microscopy (SEM), and Raman spectroscopy. Immunohistochemical and transcriptional evaluation of chondrogenic markers, including collagen type II, aggrecan, and osteonectin, was performed. Results: Prepared decellularized scaffolds showed very low levels of nucleic materials compared to intact ones. The integrity and efficiency of the decellularization process were confirmed using SEM. Moreover, a comparison of Raman spectra of intact and decellularized scaffolds demonstrated a remarkable reduction in carbohydrate, lipid, and DNA content. Three weeks after recellularization in the presence of chondrogenic medium, the immunoreactivity and expression levels of specific chondrocyte markers, including collagen type II, aggrecan, and osteonectin, significantly increased compared to negative controls. Conclusion: hWJ-MSCs and their use in fabricating nucleic acid-free 3D collagen-based scaffolds represent a promising in vitro model for investigating how the extracellular matrix (ECM) contributes to specific cell microenvironments. Decellularized ECM can also be utilized to develop novel, cell-free biomedical products for regenerative medicine.

求助全文
通过发布文献求助,成功后即可免费获取论文全文。 去求助
来源期刊
Stem Cells International
Stem Cells International CELL & TISSUE ENGINEERING-
CiteScore
8.10
自引率
2.30%
发文量
188
审稿时长
18 weeks
期刊介绍: Stem Cells International is a peer-reviewed, Open Access journal that publishes original research articles, review articles, and clinical studies in all areas of stem cell biology and applications. The journal will consider basic, translational, and clinical research, including animal models and clinical trials. Topics covered include, but are not limited to: embryonic stem cells; induced pluripotent stem cells; tissue-specific stem cells; stem cell differentiation; genetics and epigenetics; cancer stem cells; stem cell technologies; ethical, legal, and social issues.
×
引用
GB/T 7714-2015
复制
MLA
复制
APA
复制
导出至
BibTeX EndNote RefMan NoteFirst NoteExpress
×
提示
您的信息不完整,为了账户安全,请先补充。
现在去补充
×
提示
您因"违规操作"
具体请查看互助需知
我知道了
×
提示
确定
请完成安全验证×
copy
已复制链接
快去分享给好友吧!
我知道了
右上角分享
点击右上角分享
0
联系我们:info@booksci.cn Book学术提供免费学术资源搜索服务,方便国内外学者检索中英文文献。致力于提供最便捷和优质的服务体验。 Copyright © 2023 布克学术 All rights reserved.
京ICP备2023020795号-1
ghs 京公网安备 11010802042870号
Book学术文献互助
Book学术文献互助群
群 号:604180095
Book学术官方微信