鼻窦隆胸与牙齿移植联合治疗年轻患者前臼齿缺失。

IF 0.9 Q4 DENTISTRY, ORAL SURGERY & MEDICINE
Case Reports in Dentistry Pub Date : 2025-09-12 eCollection Date: 2025-01-01 DOI:10.1155/crid/8464941
Jessica Juslin, Tuija Teerijoki-Oksa, Päivi Jääsaari, Tia Kurki, Hanna Thorén
{"title":"鼻窦隆胸与牙齿移植联合治疗年轻患者前臼齿缺失。","authors":"Jessica Juslin, Tuija Teerijoki-Oksa, Päivi Jääsaari, Tia Kurki, Hanna Thorén","doi":"10.1155/crid/8464941","DOIUrl":null,"url":null,"abstract":"<p><p>This case report reports how tooth transplantation and a graft-free sinus lift were combined due to insufficient bone volume at the recipient site. An unerupted wisdom tooth was autotransplanted to replace a missing upper premolar. First, the donor tooth was exposed and gently mobilized. At the recipient site, there was a thin layer of bone under the maxillary sinus. The lateral window technique was used in the sinus lift. After elevating the mucous membrane of the sinus floor, the bone was prepared to match the measures of the donor tooth. The mucous membrane was slightly perforated. The donor tooth was moved to the recipient site, and the buccal root partially lacked bony coverage. The transplanted tooth was fixated with sutures. At the 4-year follow-up control, the transplanted tooth was fully erupted without any clinical or radiographical signs of pathology. If the periodontal ligament of the transplanted donor tooth is delicately handled, it can preserve and facilitate the growth of the alveolar bone. During follow-up, it was obvious that new bone had formed around the roots of the donor tooth. It is possible to successfully transplant a developing tooth in the maxillary premolar region, although the initial bone volume is insufficient.</p>","PeriodicalId":46841,"journal":{"name":"Case Reports in Dentistry","volume":"2025 ","pages":"8464941"},"PeriodicalIF":0.9000,"publicationDate":"2025-09-12","publicationTypes":"Journal Article","fieldsOfStudy":null,"isOpenAccess":false,"openAccessPdf":"https://www.ncbi.nlm.nih.gov/pmc/articles/PMC12449118/pdf/","citationCount":"0","resultStr":"{\"title\":\"Combining a Sinus Augmentation With Tooth Transplantation When Replacing a Missing Premolar in a Young Patient.\",\"authors\":\"Jessica Juslin, Tuija Teerijoki-Oksa, Päivi Jääsaari, Tia Kurki, Hanna Thorén\",\"doi\":\"10.1155/crid/8464941\",\"DOIUrl\":null,\"url\":null,\"abstract\":\"<p><p>This case report reports how tooth transplantation and a graft-free sinus lift were combined due to insufficient bone volume at the recipient site. An unerupted wisdom tooth was autotransplanted to replace a missing upper premolar. First, the donor tooth was exposed and gently mobilized. At the recipient site, there was a thin layer of bone under the maxillary sinus. The lateral window technique was used in the sinus lift. After elevating the mucous membrane of the sinus floor, the bone was prepared to match the measures of the donor tooth. The mucous membrane was slightly perforated. The donor tooth was moved to the recipient site, and the buccal root partially lacked bony coverage. The transplanted tooth was fixated with sutures. At the 4-year follow-up control, the transplanted tooth was fully erupted without any clinical or radiographical signs of pathology. If the periodontal ligament of the transplanted donor tooth is delicately handled, it can preserve and facilitate the growth of the alveolar bone. During follow-up, it was obvious that new bone had formed around the roots of the donor tooth. It is possible to successfully transplant a developing tooth in the maxillary premolar region, although the initial bone volume is insufficient.</p>\",\"PeriodicalId\":46841,\"journal\":{\"name\":\"Case Reports in Dentistry\",\"volume\":\"2025 \",\"pages\":\"8464941\"},\"PeriodicalIF\":0.9000,\"publicationDate\":\"2025-09-12\",\"publicationTypes\":\"Journal Article\",\"fieldsOfStudy\":null,\"isOpenAccess\":false,\"openAccessPdf\":\"https://www.ncbi.nlm.nih.gov/pmc/articles/PMC12449118/pdf/\",\"citationCount\":\"0\",\"resultStr\":null,\"platform\":\"Semanticscholar\",\"paperid\":null,\"PeriodicalName\":\"Case Reports in Dentistry\",\"FirstCategoryId\":\"1085\",\"ListUrlMain\":\"https://doi.org/10.1155/crid/8464941\",\"RegionNum\":0,\"RegionCategory\":null,\"ArticlePicture\":[],\"TitleCN\":null,\"AbstractTextCN\":null,\"PMCID\":null,\"EPubDate\":\"2025/1/1 0:00:00\",\"PubModel\":\"eCollection\",\"JCR\":\"Q4\",\"JCRName\":\"DENTISTRY, ORAL SURGERY & MEDICINE\",\"Score\":null,\"Total\":0}","platform":"Semanticscholar","paperid":null,"PeriodicalName":"Case Reports in Dentistry","FirstCategoryId":"1085","ListUrlMain":"https://doi.org/10.1155/crid/8464941","RegionNum":0,"RegionCategory":null,"ArticlePicture":[],"TitleCN":null,"AbstractTextCN":null,"PMCID":null,"EPubDate":"2025/1/1 0:00:00","PubModel":"eCollection","JCR":"Q4","JCRName":"DENTISTRY, ORAL SURGERY & MEDICINE","Score":null,"Total":0}
引用次数: 0

摘要

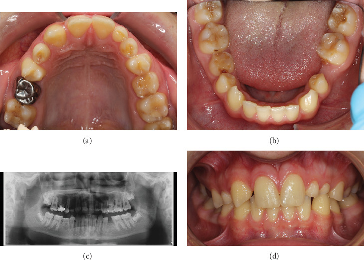
本病例报告报告了由于受术者骨容量不足,牙齿移植和无移植物窦提升是如何结合的。一颗未出牙的智齿被自动移植以取代缺失的上前磨牙。首先,将供牙暴露并轻轻移动。在受体部位,上颌窦下有一薄层骨。侧窗技术用于窦内提升。在提升窦底粘膜后,准备骨以匹配供体牙的尺寸。粘膜轻度穿孔。供体牙移至受体位置,颊根部分骨覆盖缺失。移植的牙齿用缝线固定。在4年的随访对照中,移植牙完全萌出,无任何临床或影像学病理征象。如果移植供牙的牙周韧带处理得当,可以保存和促进牙槽骨的生长。在随访中,供体牙的牙根周围明显形成了新骨。在上颌前磨牙区成功移植发育中的牙齿是可能的,尽管最初的骨容量不足。
本文章由计算机程序翻译,如有差异,请以英文原文为准。

Combining a Sinus Augmentation With Tooth Transplantation When Replacing a Missing Premolar in a Young Patient.

Combining a Sinus Augmentation With Tooth Transplantation When Replacing a Missing Premolar in a Young Patient.

Combining a Sinus Augmentation With Tooth Transplantation When Replacing a Missing Premolar in a Young Patient.

Combining a Sinus Augmentation With Tooth Transplantation When Replacing a Missing Premolar in a Young Patient.

This case report reports how tooth transplantation and a graft-free sinus lift were combined due to insufficient bone volume at the recipient site. An unerupted wisdom tooth was autotransplanted to replace a missing upper premolar. First, the donor tooth was exposed and gently mobilized. At the recipient site, there was a thin layer of bone under the maxillary sinus. The lateral window technique was used in the sinus lift. After elevating the mucous membrane of the sinus floor, the bone was prepared to match the measures of the donor tooth. The mucous membrane was slightly perforated. The donor tooth was moved to the recipient site, and the buccal root partially lacked bony coverage. The transplanted tooth was fixated with sutures. At the 4-year follow-up control, the transplanted tooth was fully erupted without any clinical or radiographical signs of pathology. If the periodontal ligament of the transplanted donor tooth is delicately handled, it can preserve and facilitate the growth of the alveolar bone. During follow-up, it was obvious that new bone had formed around the roots of the donor tooth. It is possible to successfully transplant a developing tooth in the maxillary premolar region, although the initial bone volume is insufficient.

求助全文
通过发布文献求助,成功后即可免费获取论文全文。 去求助
来源期刊
Case Reports in Dentistry
Case Reports in Dentistry DENTISTRY, ORAL SURGERY & MEDICINE-
CiteScore
1.40
自引率
12.50%
发文量
107
审稿时长
14 weeks
期刊介绍: Case Reports in Dentistry is a peer-reviewed, Open Access journal that publishes case reports and case series in all areas of dentistry, including periodontal diseases, dental implants, oral pathology, as well as oral and maxillofacial surgery.
×
引用
GB/T 7714-2015
复制
MLA
复制
APA
复制
导出至
BibTeX EndNote RefMan NoteFirst NoteExpress
×
提示
您的信息不完整,为了账户安全,请先补充。
现在去补充
×
提示
您因"违规操作"
具体请查看互助需知
我知道了
×
提示
确定
请完成安全验证×
copy
已复制链接
快去分享给好友吧!
我知道了
右上角分享
点击右上角分享
0
联系我们:info@booksci.cn Book学术提供免费学术资源搜索服务,方便国内外学者检索中英文文献。致力于提供最便捷和优质的服务体验。 Copyright © 2023 布克学术 All rights reserved.
京ICP备2023020795号-1
ghs 京公网安备 11010802042870号
Book学术文献互助
Book学术文献互助群
群 号:604180095
Book学术官方微信