一项前瞻性队列研究评估量化超声炎症变化在GCA中的作用。

IF 2.1 Q3 RHEUMATOLOGY
Rheumatology Advances in Practice Pub Date : 2025-08-04 eCollection Date: 2025-01-01 DOI:10.1093/rap/rkaf085
Colm Kirby, Danielle Molloy, Sharon Cowley, Rachael Flood, Diana Gheta, Ronan Mullan, Grainne Murphy, David Kane
{"title":"一项前瞻性队列研究评估量化超声炎症变化在GCA中的作用。","authors":"Colm Kirby, Danielle Molloy, Sharon Cowley, Rachael Flood, Diana Gheta, Ronan Mullan, Grainne Murphy, David Kane","doi":"10.1093/rap/rkaf085","DOIUrl":null,"url":null,"abstract":"<p><strong>Objectives: </strong>Vascular ultrasound (VUS) is a well-validated tool for diagnosing GCA [1]. The role of VUS in prognostication and disease-monitoring remains to be defined.</p><p><strong>Methods: </strong>This study compares intima-media thickness (IMT), Halo Count (HC), Halo Score (HS) and OMERACT GCA US Score (OGUS) at multiple time points in a prospective cohort of GCA patients to evaluate the role of sonographic vasculitis quantification in the diagnosis and management of GCA. Longitudinal trends and time-to-normalization of HC, HS and OGUS were evaluated. Correlation coefficients, AUC analysis and DeLong test were used to determine which patient factors may predict VUS outcomes and which patient factors are predictive of adverse events.</p><p><strong>Results: </strong>Forty-eight of 50 patients were followed up at 6 months and 27 at 12 months. Mean HC, HS, IMT and OGUS all declined significantly over 12 months. Of 48 patients, HC, HS and OGUS normalized in 21, 32 and 39 patients, respectively, by 6 months. Fulfilling 2022 ACR/EULAR Classification Criteria showed moderate correlation with baseline HC, HS and OGUS with higher classification criteria scores showing strong correlation with higher VUS outcome scores. HC, HS and OGUS were superior to all clinical and laboratory parameters for predicting future adverse events with OGUS outperforming HC and HS.</p><p><strong>Conclusion: </strong>VUS quantification scores performed better than other clinical variables in predicting future adverse events in GCA and OGUS is validated in a prospective cohort. These data suggest that VUS quantification scores are candidate biomarkers for GCA and may be important outcome variables in clinical trials.</p>","PeriodicalId":21350,"journal":{"name":"Rheumatology Advances in Practice","volume":"9 4","pages":"rkaf085"},"PeriodicalIF":2.1000,"publicationDate":"2025-08-04","publicationTypes":"Journal Article","fieldsOfStudy":null,"isOpenAccess":false,"openAccessPdf":"https://www.ncbi.nlm.nih.gov/pmc/articles/PMC12448863/pdf/","citationCount":"0","resultStr":"{\"title\":\"A prospective cohort study evaluating the role of quantifying sonographic inflammatory changes in GCA.\",\"authors\":\"Colm Kirby, Danielle Molloy, Sharon Cowley, Rachael Flood, Diana Gheta, Ronan Mullan, Grainne Murphy, David Kane\",\"doi\":\"10.1093/rap/rkaf085\",\"DOIUrl\":null,\"url\":null,\"abstract\":\"<p><strong>Objectives: </strong>Vascular ultrasound (VUS) is a well-validated tool for diagnosing GCA [1]. The role of VUS in prognostication and disease-monitoring remains to be defined.</p><p><strong>Methods: </strong>This study compares intima-media thickness (IMT), Halo Count (HC), Halo Score (HS) and OMERACT GCA US Score (OGUS) at multiple time points in a prospective cohort of GCA patients to evaluate the role of sonographic vasculitis quantification in the diagnosis and management of GCA. Longitudinal trends and time-to-normalization of HC, HS and OGUS were evaluated. Correlation coefficients, AUC analysis and DeLong test were used to determine which patient factors may predict VUS outcomes and which patient factors are predictive of adverse events.</p><p><strong>Results: </strong>Forty-eight of 50 patients were followed up at 6 months and 27 at 12 months. Mean HC, HS, IMT and OGUS all declined significantly over 12 months. Of 48 patients, HC, HS and OGUS normalized in 21, 32 and 39 patients, respectively, by 6 months. Fulfilling 2022 ACR/EULAR Classification Criteria showed moderate correlation with baseline HC, HS and OGUS with higher classification criteria scores showing strong correlation with higher VUS outcome scores. HC, HS and OGUS were superior to all clinical and laboratory parameters for predicting future adverse events with OGUS outperforming HC and HS.</p><p><strong>Conclusion: </strong>VUS quantification scores performed better than other clinical variables in predicting future adverse events in GCA and OGUS is validated in a prospective cohort. These data suggest that VUS quantification scores are candidate biomarkers for GCA and may be important outcome variables in clinical trials.</p>\",\"PeriodicalId\":21350,\"journal\":{\"name\":\"Rheumatology Advances in Practice\",\"volume\":\"9 4\",\"pages\":\"rkaf085\"},\"PeriodicalIF\":2.1000,\"publicationDate\":\"2025-08-04\",\"publicationTypes\":\"Journal Article\",\"fieldsOfStudy\":null,\"isOpenAccess\":false,\"openAccessPdf\":\"https://www.ncbi.nlm.nih.gov/pmc/articles/PMC12448863/pdf/\",\"citationCount\":\"0\",\"resultStr\":null,\"platform\":\"Semanticscholar\",\"paperid\":null,\"PeriodicalName\":\"Rheumatology Advances in Practice\",\"FirstCategoryId\":\"1085\",\"ListUrlMain\":\"https://doi.org/10.1093/rap/rkaf085\",\"RegionNum\":0,\"RegionCategory\":null,\"ArticlePicture\":[],\"TitleCN\":null,\"AbstractTextCN\":null,\"PMCID\":null,\"EPubDate\":\"2025/1/1 0:00:00\",\"PubModel\":\"eCollection\",\"JCR\":\"Q3\",\"JCRName\":\"RHEUMATOLOGY\",\"Score\":null,\"Total\":0}","platform":"Semanticscholar","paperid":null,"PeriodicalName":"Rheumatology Advances in Practice","FirstCategoryId":"1085","ListUrlMain":"https://doi.org/10.1093/rap/rkaf085","RegionNum":0,"RegionCategory":null,"ArticlePicture":[],"TitleCN":null,"AbstractTextCN":null,"PMCID":null,"EPubDate":"2025/1/1 0:00:00","PubModel":"eCollection","JCR":"Q3","JCRName":"RHEUMATOLOGY","Score":null,"Total":0}
引用次数: 0

摘要

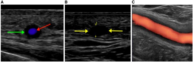
目的:血管超声(VUS)是诊断GCA[1]的有效工具。VUS在预测和疾病监测中的作用仍有待确定。方法:本研究在前瞻性队列GCA患者中比较多个时间点的内膜-中膜厚度(IMT)、Halo计数(HC)、Halo评分(HS)和OMERACT GCA US评分(OGUS),以评估超声血管炎量化在GCA诊断和治疗中的作用。评估HC、HS和OGUS的纵向趋势和归一化时间。采用相关系数、AUC分析和DeLong检验确定哪些患者因素可预测VUS结局,哪些患者因素可预测不良事件。结果:50例患者6个月随访48例,12个月随访27例。平均HC、HS、IMT和OGUS在12个月内均显著下降。48例患者中,HC、HS和OGUS分别在6个月前恢复正常的有21例、32例和39例。满足2022年ACR/EULAR分类标准与基线HC、HS和OGUS有中等相关性,分类标准评分越高,与VUS结果评分越高相关性越强。HC、HS和OGUS在预测未来不良事件方面优于所有临床和实验室参数,其中OGUS优于HC和HS。结论:VUS量化评分在预测GCA未来不良事件方面优于其他临床变量,OGUS在前瞻性队列中得到了验证。这些数据表明,VUS量化评分是GCA的候选生物标志物,可能是临床试验中重要的结果变量。
本文章由计算机程序翻译,如有差异,请以英文原文为准。

A prospective cohort study evaluating the role of quantifying sonographic inflammatory changes in GCA.

A prospective cohort study evaluating the role of quantifying sonographic inflammatory changes in GCA.

A prospective cohort study evaluating the role of quantifying sonographic inflammatory changes in GCA.

A prospective cohort study evaluating the role of quantifying sonographic inflammatory changes in GCA.

Objectives: Vascular ultrasound (VUS) is a well-validated tool for diagnosing GCA [1]. The role of VUS in prognostication and disease-monitoring remains to be defined.

Methods: This study compares intima-media thickness (IMT), Halo Count (HC), Halo Score (HS) and OMERACT GCA US Score (OGUS) at multiple time points in a prospective cohort of GCA patients to evaluate the role of sonographic vasculitis quantification in the diagnosis and management of GCA. Longitudinal trends and time-to-normalization of HC, HS and OGUS were evaluated. Correlation coefficients, AUC analysis and DeLong test were used to determine which patient factors may predict VUS outcomes and which patient factors are predictive of adverse events.

Results: Forty-eight of 50 patients were followed up at 6 months and 27 at 12 months. Mean HC, HS, IMT and OGUS all declined significantly over 12 months. Of 48 patients, HC, HS and OGUS normalized in 21, 32 and 39 patients, respectively, by 6 months. Fulfilling 2022 ACR/EULAR Classification Criteria showed moderate correlation with baseline HC, HS and OGUS with higher classification criteria scores showing strong correlation with higher VUS outcome scores. HC, HS and OGUS were superior to all clinical and laboratory parameters for predicting future adverse events with OGUS outperforming HC and HS.

Conclusion: VUS quantification scores performed better than other clinical variables in predicting future adverse events in GCA and OGUS is validated in a prospective cohort. These data suggest that VUS quantification scores are candidate biomarkers for GCA and may be important outcome variables in clinical trials.

求助全文
通过发布文献求助,成功后即可免费获取论文全文。 去求助
来源期刊
Rheumatology Advances in Practice
Rheumatology Advances in Practice Medicine-Rheumatology
CiteScore
3.60
自引率
3.20%
发文量
197
审稿时长
11 weeks
×
引用
GB/T 7714-2015
复制
MLA
复制
APA
复制
导出至
BibTeX EndNote RefMan NoteFirst NoteExpress
×
提示
您的信息不完整,为了账户安全,请先补充。
现在去补充
×
提示
您因"违规操作"
具体请查看互助需知
我知道了
×
提示
确定
请完成安全验证×
copy
已复制链接
快去分享给好友吧!
我知道了
右上角分享
点击右上角分享
0
联系我们:info@booksci.cn Book学术提供免费学术资源搜索服务,方便国内外学者检索中英文文献。致力于提供最便捷和优质的服务体验。 Copyright © 2023 布克学术 All rights reserved.
京ICP备2023020795号-1
ghs 京公网安备 11010802042870号
Book学术文献互助
Book学术文献互助群
群 号:604180095
Book学术官方微信