CSF/血浆HIV-1 RNA不一致的ART-naïve患者的虚阵-肌阵-共济失调综合征

IF 3.8 4区 医学 Q2 IMMUNOLOGY
Open Forum Infectious Diseases Pub Date : 2025-08-21 eCollection Date: 2025-09-01 DOI:10.1093/ofid/ofaf517
Hiroo Matsuo, Kairi Yonekura, Satoshi Kutsuna
{"title":"CSF/血浆HIV-1 RNA不一致的ART-naïve患者的虚阵-肌阵-共济失调综合征","authors":"Hiroo Matsuo, Kairi Yonekura, Satoshi Kutsuna","doi":"10.1093/ofid/ofaf517","DOIUrl":null,"url":null,"abstract":"<p><p>Opsoclonus-myoclonus-ataxia syndrome (OMAS) is a rare neuroimmunological disorder with diverse etiologies, including infection-associated triggers such as human immunodeficiency virus (HIV) infection. Herein, we report a case of HIV-associated OMAS in an antiretroviral therapy (ART)-naïve patient who presented with cerebrospinal fluid (CSF)/plasma HIV-1 RNA discordance. A 16-year-old female was diagnosed with HIV following the onset of OMAS. The CSF HIV-1 RNA level was higher than that in the plasma. After ART initiation, both the CSF HIV viral load and OMAS symptoms improved simultaneously. This case demonstrates that CSF/plasma HIV-1 RNA discordance can occur in ART-naïve patients with HIV-associated OMAS. Moreover, our findings suggest that, in such cases, viral suppression through ART alone may be sufficient to achieve clinical resolution without the need for adjunctive immunosuppressive therapy.</p>","PeriodicalId":19517,"journal":{"name":"Open Forum Infectious Diseases","volume":"12 9","pages":"ofaf517"},"PeriodicalIF":3.8000,"publicationDate":"2025-08-21","publicationTypes":"Journal Article","fieldsOfStudy":null,"isOpenAccess":false,"openAccessPdf":"https://www.ncbi.nlm.nih.gov/pmc/articles/PMC12448950/pdf/","citationCount":"0","resultStr":"{\"title\":\"Opsoclonus-myoclonus-ataxia Syndrome in an ART-naïve Patient With CSF/Plasma HIV-1 RNA Discordance.\",\"authors\":\"Hiroo Matsuo, Kairi Yonekura, Satoshi Kutsuna\",\"doi\":\"10.1093/ofid/ofaf517\",\"DOIUrl\":null,\"url\":null,\"abstract\":\"<p><p>Opsoclonus-myoclonus-ataxia syndrome (OMAS) is a rare neuroimmunological disorder with diverse etiologies, including infection-associated triggers such as human immunodeficiency virus (HIV) infection. Herein, we report a case of HIV-associated OMAS in an antiretroviral therapy (ART)-naïve patient who presented with cerebrospinal fluid (CSF)/plasma HIV-1 RNA discordance. A 16-year-old female was diagnosed with HIV following the onset of OMAS. The CSF HIV-1 RNA level was higher than that in the plasma. After ART initiation, both the CSF HIV viral load and OMAS symptoms improved simultaneously. This case demonstrates that CSF/plasma HIV-1 RNA discordance can occur in ART-naïve patients with HIV-associated OMAS. Moreover, our findings suggest that, in such cases, viral suppression through ART alone may be sufficient to achieve clinical resolution without the need for adjunctive immunosuppressive therapy.</p>\",\"PeriodicalId\":19517,\"journal\":{\"name\":\"Open Forum Infectious Diseases\",\"volume\":\"12 9\",\"pages\":\"ofaf517\"},\"PeriodicalIF\":3.8000,\"publicationDate\":\"2025-08-21\",\"publicationTypes\":\"Journal Article\",\"fieldsOfStudy\":null,\"isOpenAccess\":false,\"openAccessPdf\":\"https://www.ncbi.nlm.nih.gov/pmc/articles/PMC12448950/pdf/\",\"citationCount\":\"0\",\"resultStr\":null,\"platform\":\"Semanticscholar\",\"paperid\":null,\"PeriodicalName\":\"Open Forum Infectious Diseases\",\"FirstCategoryId\":\"3\",\"ListUrlMain\":\"https://doi.org/10.1093/ofid/ofaf517\",\"RegionNum\":4,\"RegionCategory\":\"医学\",\"ArticlePicture\":[],\"TitleCN\":null,\"AbstractTextCN\":null,\"PMCID\":null,\"EPubDate\":\"2025/9/1 0:00:00\",\"PubModel\":\"eCollection\",\"JCR\":\"Q2\",\"JCRName\":\"IMMUNOLOGY\",\"Score\":null,\"Total\":0}","platform":"Semanticscholar","paperid":null,"PeriodicalName":"Open Forum Infectious Diseases","FirstCategoryId":"3","ListUrlMain":"https://doi.org/10.1093/ofid/ofaf517","RegionNum":4,"RegionCategory":"医学","ArticlePicture":[],"TitleCN":null,"AbstractTextCN":null,"PMCID":null,"EPubDate":"2025/9/1 0:00:00","PubModel":"eCollection","JCR":"Q2","JCRName":"IMMUNOLOGY","Score":null,"Total":0}
引用次数: 0

摘要

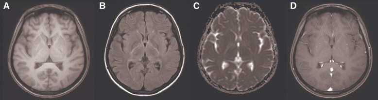
眼阵挛-肌阵挛-共济失调综合征(OMAS)是一种罕见的神经免疫疾病,病因多样,包括感染相关的触发因素,如人类免疫缺陷病毒(HIV)感染。在此,我们报告一例hiv相关的OMAS在抗逆转录病毒治疗(ART)-naïve患者谁提出脑脊液(CSF)/血浆HIV-1 RNA不一致。一名16岁的女性在OMAS发病后被诊断为HIV。脑脊液HIV-1 RNA水平高于血浆。抗逆转录病毒治疗开始后,脑脊液HIV病毒载量和OMAS症状同时改善。该病例表明CSF/血浆HIV-1 RNA不一致可发生在ART-naïve hiv相关OMAS患者中。此外,我们的研究结果表明,在这种情况下,仅通过ART进行病毒抑制可能足以实现临床解决,而无需辅助免疫抑制治疗。
本文章由计算机程序翻译,如有差异,请以英文原文为准。

Opsoclonus-myoclonus-ataxia Syndrome in an ART-naïve Patient With CSF/Plasma HIV-1 RNA Discordance.

Opsoclonus-myoclonus-ataxia Syndrome in an ART-naïve Patient With CSF/Plasma HIV-1 RNA Discordance.

Opsoclonus-myoclonus-ataxia Syndrome in an ART-naïve Patient With CSF/Plasma HIV-1 RNA Discordance.

Opsoclonus-myoclonus-ataxia syndrome (OMAS) is a rare neuroimmunological disorder with diverse etiologies, including infection-associated triggers such as human immunodeficiency virus (HIV) infection. Herein, we report a case of HIV-associated OMAS in an antiretroviral therapy (ART)-naïve patient who presented with cerebrospinal fluid (CSF)/plasma HIV-1 RNA discordance. A 16-year-old female was diagnosed with HIV following the onset of OMAS. The CSF HIV-1 RNA level was higher than that in the plasma. After ART initiation, both the CSF HIV viral load and OMAS symptoms improved simultaneously. This case demonstrates that CSF/plasma HIV-1 RNA discordance can occur in ART-naïve patients with HIV-associated OMAS. Moreover, our findings suggest that, in such cases, viral suppression through ART alone may be sufficient to achieve clinical resolution without the need for adjunctive immunosuppressive therapy.

求助全文
通过发布文献求助,成功后即可免费获取论文全文。 去求助
来源期刊
Open Forum Infectious Diseases
Open Forum Infectious Diseases Medicine-Neurology (clinical)
CiteScore
6.70
自引率
4.80%
发文量
630
审稿时长
9 weeks
期刊介绍: Open Forum Infectious Diseases provides a global forum for the publication of clinical, translational, and basic research findings in a fully open access, online journal environment. The journal reflects the broad diversity of the field of infectious diseases, and focuses on the intersection of biomedical science and clinical practice, with a particular emphasis on knowledge that holds the potential to improve patient care in populations around the world. Fully peer-reviewed, OFID supports the international community of infectious diseases experts by providing a venue for articles that further the understanding of all aspects of infectious diseases.
×
引用
GB/T 7714-2015
复制
MLA
复制
APA
复制
导出至
BibTeX EndNote RefMan NoteFirst NoteExpress
×
提示
您的信息不完整,为了账户安全,请先补充。
现在去补充
×
提示
您因"违规操作"
具体请查看互助需知
我知道了
×
提示
确定
请完成安全验证×
copy
已复制链接
快去分享给好友吧!
我知道了
右上角分享
点击右上角分享
0
联系我们:info@booksci.cn Book学术提供免费学术资源搜索服务,方便国内外学者检索中英文文献。致力于提供最便捷和优质的服务体验。 Copyright © 2023 布克学术 All rights reserved.
京ICP备2023020795号-1
ghs 京公网安备 11010802042870号
Book学术文献互助
Book学术文献互助群
群 号:604180095
Book学术官方微信