结肠炎患儿新鲜和福尔马林固定结肠组织活检的PCR巨细胞病毒检测:一项前瞻性队列研究。

IF 1.5 Q2 MEDICINE, GENERAL & INTERNAL
Sajjadeh Movahedinia, Farzaneh Hosseini Gharalari, Zohreh Nozarian, Hosein Alimadadi, Farzaneh Motamed, Mohsen Pourebrahimi, Parisa Rahmani, Moeinadin Safavi, Mohammad Vasei
{"title":"结肠炎患儿新鲜和福尔马林固定结肠组织活检的PCR巨细胞病毒检测:一项前瞻性队列研究。","authors":"Sajjadeh Movahedinia, Farzaneh Hosseini Gharalari, Zohreh Nozarian, Hosein Alimadadi, Farzaneh Motamed, Mohsen Pourebrahimi, Parisa Rahmani, Moeinadin Safavi, Mohammad Vasei","doi":"10.30476/ijms.2025.103842.3741","DOIUrl":null,"url":null,"abstract":"<p><strong>Background: </strong>Diagnosis of cytomegalovirus (CMV) in biopsies relies on detecting classic viral cytopathic effects (CPE) in tissue. These effects are not always apparent, and confirmatory tests are necessary. This study aimed to compare the results of the different diagnostic tests for CMV detection in colitis, including PCR on fresh and formalin-fixed paraffin-embedded (FFPE) tissue, immunohistochemistry (IHC), histology, and plasma PCR, in association with the clinical course.</p><p><strong>Methods: </strong>In this prospective study, CMV-PCR was performed on fresh tissue (FT) and FFPE tissue, and IHC was conducted on colon biopsies from 153 children with colitis referred to Children Medical Center Hospital (Tehran, Iran) from 2015 to 2019. The results of different diagnostic methods were evaluated in association with the clinical and histopathological findings.</p><p><strong>Results: </strong>Fifty out of 153 (32%) cases had positive FT-CMV PCR. Forty of these fifty positive samples and 21 of 103 negative ones had concomitant FFPE biopsy tissue. FFPE-PCR and IHC were positive in 17 (42.5 %) and 2 (5%) out of 40 FT-PCR-positive cases, respectively. The two IHC-positive cases had positive FFPE-PCR and high CMV-DNA plasma levels and showed histologically active colitis and CPE. Remarkably, 14 (35%) cases were identified with positive FT-PCR without any evidence of colitis in histopathology. During follow-up, FT-PCR-positive inflammatory bowel disease (IBD) cases treated with antiviral drugs showed a poorer outcome than the non-treated cases (P=0.03).</p><p><strong>Conclusion: </strong>A high positive rate was observed for both FT- and FFPE-CMV PCR, with a poor association with histology. IHC positivity was associated with high plasma CMV DNA levels and the presence of CPE. The efficacy of anti-CMV treatment in colitis cases should be verified through randomized controlled clinical trials. A preprint version of this article is available online at doi: 10.22541/au.168052684.43457923/v1.</p>","PeriodicalId":14510,"journal":{"name":"Iranian Journal of Medical Sciences","volume":"50 9","pages":"618-629"},"PeriodicalIF":1.5000,"publicationDate":"2025-09-01","publicationTypes":"Journal Article","fieldsOfStudy":null,"isOpenAccess":false,"openAccessPdf":"https://www.ncbi.nlm.nih.gov/pmc/articles/PMC12449586/pdf/","citationCount":"0","resultStr":"{\"title\":\"Cytomegalovirus Detection by PCR on Fresh and Formalin-Fixed Colon Tissue Biopsies of Children with Colitis: A Prospective Cohort Study.\",\"authors\":\"Sajjadeh Movahedinia, Farzaneh Hosseini Gharalari, Zohreh Nozarian, Hosein Alimadadi, Farzaneh Motamed, Mohsen Pourebrahimi, Parisa Rahmani, Moeinadin Safavi, Mohammad Vasei\",\"doi\":\"10.30476/ijms.2025.103842.3741\",\"DOIUrl\":null,\"url\":null,\"abstract\":\"<p><strong>Background: </strong>Diagnosis of cytomegalovirus (CMV) in biopsies relies on detecting classic viral cytopathic effects (CPE) in tissue. These effects are not always apparent, and confirmatory tests are necessary. This study aimed to compare the results of the different diagnostic tests for CMV detection in colitis, including PCR on fresh and formalin-fixed paraffin-embedded (FFPE) tissue, immunohistochemistry (IHC), histology, and plasma PCR, in association with the clinical course.</p><p><strong>Methods: </strong>In this prospective study, CMV-PCR was performed on fresh tissue (FT) and FFPE tissue, and IHC was conducted on colon biopsies from 153 children with colitis referred to Children Medical Center Hospital (Tehran, Iran) from 2015 to 2019. The results of different diagnostic methods were evaluated in association with the clinical and histopathological findings.</p><p><strong>Results: </strong>Fifty out of 153 (32%) cases had positive FT-CMV PCR. Forty of these fifty positive samples and 21 of 103 negative ones had concomitant FFPE biopsy tissue. FFPE-PCR and IHC were positive in 17 (42.5 %) and 2 (5%) out of 40 FT-PCR-positive cases, respectively. The two IHC-positive cases had positive FFPE-PCR and high CMV-DNA plasma levels and showed histologically active colitis and CPE. Remarkably, 14 (35%) cases were identified with positive FT-PCR without any evidence of colitis in histopathology. During follow-up, FT-PCR-positive inflammatory bowel disease (IBD) cases treated with antiviral drugs showed a poorer outcome than the non-treated cases (P=0.03).</p><p><strong>Conclusion: </strong>A high positive rate was observed for both FT- and FFPE-CMV PCR, with a poor association with histology. IHC positivity was associated with high plasma CMV DNA levels and the presence of CPE. The efficacy of anti-CMV treatment in colitis cases should be verified through randomized controlled clinical trials. A preprint version of this article is available online at doi: 10.22541/au.168052684.43457923/v1.</p>\",\"PeriodicalId\":14510,\"journal\":{\"name\":\"Iranian Journal of Medical Sciences\",\"volume\":\"50 9\",\"pages\":\"618-629\"},\"PeriodicalIF\":1.5000,\"publicationDate\":\"2025-09-01\",\"publicationTypes\":\"Journal Article\",\"fieldsOfStudy\":null,\"isOpenAccess\":false,\"openAccessPdf\":\"https://www.ncbi.nlm.nih.gov/pmc/articles/PMC12449586/pdf/\",\"citationCount\":\"0\",\"resultStr\":null,\"platform\":\"Semanticscholar\",\"paperid\":null,\"PeriodicalName\":\"Iranian Journal of Medical Sciences\",\"FirstCategoryId\":\"1085\",\"ListUrlMain\":\"https://doi.org/10.30476/ijms.2025.103842.3741\",\"RegionNum\":0,\"RegionCategory\":null,\"ArticlePicture\":[],\"TitleCN\":null,\"AbstractTextCN\":null,\"PMCID\":null,\"EPubDate\":\"\",\"PubModel\":\"\",\"JCR\":\"Q2\",\"JCRName\":\"MEDICINE, GENERAL & INTERNAL\",\"Score\":null,\"Total\":0}","platform":"Semanticscholar","paperid":null,"PeriodicalName":"Iranian Journal of Medical Sciences","FirstCategoryId":"1085","ListUrlMain":"https://doi.org/10.30476/ijms.2025.103842.3741","RegionNum":0,"RegionCategory":null,"ArticlePicture":[],"TitleCN":null,"AbstractTextCN":null,"PMCID":null,"EPubDate":"","PubModel":"","JCR":"Q2","JCRName":"MEDICINE, GENERAL & INTERNAL","Score":null,"Total":0}
引用次数: 0

摘要

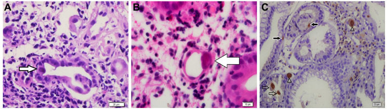
背景:巨细胞病毒(CMV)的活检诊断依赖于检测组织中的经典病毒性细胞病变效应(CPE)。这些影响并不总是明显的,有必要进行确证试验。本研究旨在比较结肠炎CMV检测的不同诊断方法的结果,包括新鲜和福尔马林固定石蜡包埋(FFPE)组织的PCR、免疫组织化学(IHC)、组织学和血浆PCR,并与临床病程相关联。方法:本前瞻性研究对2015 - 2019年转诊至伊朗德黑兰儿童医学中心医院的153例结肠炎患儿的新鲜组织(FT)和FFPE组织进行CMV-PCR检测,并对结肠活检进行免疫组化(IHC)检测。不同诊断方法的结果与临床和组织病理学结果相结合进行评估。结果:153例中有50例(32%)FT-CMV PCR阳性。这50例阳性样本中有40例,103例阴性样本中有21例伴有FFPE活检组织。40例ft - pcr阳性病例中,FFPE-PCR阳性17例(42.5%),IHC阳性2例(5%)。2例ihc阳性患者FFPE-PCR阳性,CMV-DNA血浆水平高,结肠炎和CPE组织学活跃。值得注意的是,14例(35%)病例被鉴定为FT-PCR阳性,在组织病理学上没有结肠炎的证据。随访期间,接受抗病毒药物治疗的ft - pcr阳性炎症性肠病(IBD)患者的预后较未接受治疗的患者差(P=0.03)。结论:FT-和FFPE-CMV PCR均有较高的阳性率,但与组织学相关性较差。IHC阳性与高血浆CMV DNA水平和CPE的存在相关。抗巨细胞病毒治疗结肠炎的疗效需要通过随机对照临床试验来验证。本文的预印本可在以下网址获得:10.22541/au.168052684.43457923/v1。
本文章由计算机程序翻译,如有差异,请以英文原文为准。

Cytomegalovirus Detection by PCR on Fresh and Formalin-Fixed Colon Tissue Biopsies of Children with Colitis: A Prospective Cohort Study.

Cytomegalovirus Detection by PCR on Fresh and Formalin-Fixed Colon Tissue Biopsies of Children with Colitis: A Prospective Cohort Study.

Cytomegalovirus Detection by PCR on Fresh and Formalin-Fixed Colon Tissue Biopsies of Children with Colitis: A Prospective Cohort Study.

Cytomegalovirus Detection by PCR on Fresh and Formalin-Fixed Colon Tissue Biopsies of Children with Colitis: A Prospective Cohort Study.

Background: Diagnosis of cytomegalovirus (CMV) in biopsies relies on detecting classic viral cytopathic effects (CPE) in tissue. These effects are not always apparent, and confirmatory tests are necessary. This study aimed to compare the results of the different diagnostic tests for CMV detection in colitis, including PCR on fresh and formalin-fixed paraffin-embedded (FFPE) tissue, immunohistochemistry (IHC), histology, and plasma PCR, in association with the clinical course.

Methods: In this prospective study, CMV-PCR was performed on fresh tissue (FT) and FFPE tissue, and IHC was conducted on colon biopsies from 153 children with colitis referred to Children Medical Center Hospital (Tehran, Iran) from 2015 to 2019. The results of different diagnostic methods were evaluated in association with the clinical and histopathological findings.

Results: Fifty out of 153 (32%) cases had positive FT-CMV PCR. Forty of these fifty positive samples and 21 of 103 negative ones had concomitant FFPE biopsy tissue. FFPE-PCR and IHC were positive in 17 (42.5 %) and 2 (5%) out of 40 FT-PCR-positive cases, respectively. The two IHC-positive cases had positive FFPE-PCR and high CMV-DNA plasma levels and showed histologically active colitis and CPE. Remarkably, 14 (35%) cases were identified with positive FT-PCR without any evidence of colitis in histopathology. During follow-up, FT-PCR-positive inflammatory bowel disease (IBD) cases treated with antiviral drugs showed a poorer outcome than the non-treated cases (P=0.03).

Conclusion: A high positive rate was observed for both FT- and FFPE-CMV PCR, with a poor association with histology. IHC positivity was associated with high plasma CMV DNA levels and the presence of CPE. The efficacy of anti-CMV treatment in colitis cases should be verified through randomized controlled clinical trials. A preprint version of this article is available online at doi: 10.22541/au.168052684.43457923/v1.

求助全文
通过发布文献求助,成功后即可免费获取论文全文。 去求助
来源期刊
Iranian Journal of Medical Sciences
Iranian Journal of Medical Sciences MEDICINE, GENERAL & INTERNAL-
CiteScore
3.20
自引率
0.00%
发文量
84
审稿时长
12 weeks
期刊介绍: The Iranian Journal of Medical Sciences (IJMS) is an international quarterly biomedical publication, which is sponsored by Shiraz University of Medical Sciences. The IJMS intends to provide a scientific medium of com­muni­cation for researchers throughout the globe. The journal welcomes original clinical articles as well as clinically oriented basic science re­search experiences on prevalent diseases in the region and analysis of various regional problems.
×
引用
GB/T 7714-2015
复制
MLA
复制
APA
复制
导出至
BibTeX EndNote RefMan NoteFirst NoteExpress
×
提示
您的信息不完整,为了账户安全,请先补充。
现在去补充
×
提示
您因"违规操作"
具体请查看互助需知
我知道了
×
提示
确定
请完成安全验证×
copy
已复制链接
快去分享给好友吧!
我知道了
右上角分享
点击右上角分享
0
联系我们:info@booksci.cn Book学术提供免费学术资源搜索服务,方便国内外学者检索中英文文献。致力于提供最便捷和优质的服务体验。 Copyright © 2023 布克学术 All rights reserved.
京ICP备2023020795号-1
ghs 京公网安备 11010802042870号
Book学术文献互助
Book学术文献互助群
群 号:604180095
Book学术官方微信