7只狗喉部病变的ct表现。

IF 2.9 2区 农林科学 Q1 VETERINARY SCIENCES
Frontiers in Veterinary Science Pub Date : 2025-09-04 eCollection Date: 2025-01-01 DOI:10.3389/fvets.2025.1633591
Anna Slusarek, Annick Hamaide, Michaël Lefebvre, Marianne Heimann, Frédéric Billen, Géraldine Bolen
{"title":"7只狗喉部病变的ct表现。","authors":"Anna Slusarek, Annick Hamaide, Michaël Lefebvre, Marianne Heimann, Frédéric Billen, Géraldine Bolen","doi":"10.3389/fvets.2025.1633591","DOIUrl":null,"url":null,"abstract":"<p><strong>Objective: </strong>To describe the computed tomographic (CT) features of neoplastic and inflammatory laryngeal masses. The authors hypothesized that specific CT features may help differentiate between these two origins and that regional lymph nodes would be larger in cases of laryngeal neoplasia.</p><p><strong>Methods: </strong>Medical records from two veterinary referral hospitals were screened for dogs diagnosed with either an inflammatory or neoplastic laryngeal mass who underwent CT scans of the neck. Information retrieved from medical records included signalment, physical examination findings, CT scan findings, and definitive diagnosis of the laryngeal mass based on cytological or histopathological results.</p><p><strong>Results: </strong>Four dogs had laboratory reports compatible with a malignant neoplasia and three with an inflammatory process. The shape of the mass was defined as \"ovoid\" in all neoplastic masses and as \"thickening\" in cases of inflammatory processes. Masses were of various sizes (median length: 42 mm, range: 26-82 mm) and either unilateral (1/4 and 2/3 of neoplastic and inflammatory masses respectively) or bilateral. They were described as mineralized (1/4 and 1/3) and as having either an internal (1/4), external (2/4) growth pattern or both (1/4, 3/3). All masses had ill-defined margins and showed heterogeneous contrast enhancement. Two neoplastic and two inflammatory masses had a cavitary aspect. All but one case were associated with regional lymphadenopathy. Thyroid cartilage destruction was observed with two neoplastic and two inflammatory masses.</p><p><strong>Clinical relevance: </strong>This case series describes CT features of laryngeal masses. The shape of the laryngeal mass may assist in determining its nature, inflammatory process was defined as \"thickening\" of the larynx and neoplasia as \"ovoid\"-shaped, whereas other studied features were inconsistently observed in both neoplastic and inflammatory conditions.</p>","PeriodicalId":12772,"journal":{"name":"Frontiers in Veterinary Science","volume":"12 ","pages":"1633591"},"PeriodicalIF":2.9000,"publicationDate":"2025-09-04","publicationTypes":"Journal Article","fieldsOfStudy":null,"isOpenAccess":false,"openAccessPdf":"https://www.ncbi.nlm.nih.gov/pmc/articles/PMC12444889/pdf/","citationCount":"0","resultStr":"{\"title\":\"Computed tomographic appearance of laryngeal lesions in 7 dogs.\",\"authors\":\"Anna Slusarek, Annick Hamaide, Michaël Lefebvre, Marianne Heimann, Frédéric Billen, Géraldine Bolen\",\"doi\":\"10.3389/fvets.2025.1633591\",\"DOIUrl\":null,\"url\":null,\"abstract\":\"<p><strong>Objective: </strong>To describe the computed tomographic (CT) features of neoplastic and inflammatory laryngeal masses. The authors hypothesized that specific CT features may help differentiate between these two origins and that regional lymph nodes would be larger in cases of laryngeal neoplasia.</p><p><strong>Methods: </strong>Medical records from two veterinary referral hospitals were screened for dogs diagnosed with either an inflammatory or neoplastic laryngeal mass who underwent CT scans of the neck. Information retrieved from medical records included signalment, physical examination findings, CT scan findings, and definitive diagnosis of the laryngeal mass based on cytological or histopathological results.</p><p><strong>Results: </strong>Four dogs had laboratory reports compatible with a malignant neoplasia and three with an inflammatory process. The shape of the mass was defined as \\\"ovoid\\\" in all neoplastic masses and as \\\"thickening\\\" in cases of inflammatory processes. Masses were of various sizes (median length: 42 mm, range: 26-82 mm) and either unilateral (1/4 and 2/3 of neoplastic and inflammatory masses respectively) or bilateral. They were described as mineralized (1/4 and 1/3) and as having either an internal (1/4), external (2/4) growth pattern or both (1/4, 3/3). All masses had ill-defined margins and showed heterogeneous contrast enhancement. Two neoplastic and two inflammatory masses had a cavitary aspect. All but one case were associated with regional lymphadenopathy. Thyroid cartilage destruction was observed with two neoplastic and two inflammatory masses.</p><p><strong>Clinical relevance: </strong>This case series describes CT features of laryngeal masses. The shape of the laryngeal mass may assist in determining its nature, inflammatory process was defined as \\\"thickening\\\" of the larynx and neoplasia as \\\"ovoid\\\"-shaped, whereas other studied features were inconsistently observed in both neoplastic and inflammatory conditions.</p>\",\"PeriodicalId\":12772,\"journal\":{\"name\":\"Frontiers in Veterinary Science\",\"volume\":\"12 \",\"pages\":\"1633591\"},\"PeriodicalIF\":2.9000,\"publicationDate\":\"2025-09-04\",\"publicationTypes\":\"Journal Article\",\"fieldsOfStudy\":null,\"isOpenAccess\":false,\"openAccessPdf\":\"https://www.ncbi.nlm.nih.gov/pmc/articles/PMC12444889/pdf/\",\"citationCount\":\"0\",\"resultStr\":null,\"platform\":\"Semanticscholar\",\"paperid\":null,\"PeriodicalName\":\"Frontiers in Veterinary Science\",\"FirstCategoryId\":\"97\",\"ListUrlMain\":\"https://doi.org/10.3389/fvets.2025.1633591\",\"RegionNum\":2,\"RegionCategory\":\"农林科学\",\"ArticlePicture\":[],\"TitleCN\":null,\"AbstractTextCN\":null,\"PMCID\":null,\"EPubDate\":\"2025/1/1 0:00:00\",\"PubModel\":\"eCollection\",\"JCR\":\"Q1\",\"JCRName\":\"VETERINARY SCIENCES\",\"Score\":null,\"Total\":0}","platform":"Semanticscholar","paperid":null,"PeriodicalName":"Frontiers in Veterinary Science","FirstCategoryId":"97","ListUrlMain":"https://doi.org/10.3389/fvets.2025.1633591","RegionNum":2,"RegionCategory":"农林科学","ArticlePicture":[],"TitleCN":null,"AbstractTextCN":null,"PMCID":null,"EPubDate":"2025/1/1 0:00:00","PubModel":"eCollection","JCR":"Q1","JCRName":"VETERINARY SCIENCES","Score":null,"Total":0}
引用次数: 0

摘要

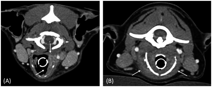
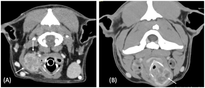
目的:探讨喉部肿瘤和炎性肿块的CT表现特点。作者推测,特定的CT特征可能有助于区分这两种起源,并且喉部肿瘤的区域淋巴结可能更大。方法:对来自两家兽医转诊医院的病历进行筛查,检查诊断为喉部炎症或肿瘤性肿块并接受颈部CT扫描的狗。从医疗记录中检索的信息包括信号、体格检查结果、CT扫描结果以及基于细胞学或组织病理学结果的喉部肿块的明确诊断。结果:四只狗的实验室报告与恶性肿瘤相一致,三只狗有炎症过程。肿块的形状在所有肿瘤肿块中定义为“卵形”,在炎症过程中定义为“增厚”。肿块大小不一(中位长度:42 mm,范围:26-82 mm),单侧(分别占肿瘤和炎性肿块的1/4和2/3)或双侧。它们被描述为矿化(1/4和1/3),并且具有内部(1/4),外部(2/4)生长模式或两者兼而有之(1/4,3/3)。所有肿块边界不清,造影增强不均一。2个肿瘤和2个炎性肿块均有空腔面。除一例外,其余病例均伴有局部淋巴结病。甲状腺软骨破坏伴2例肿瘤和2例炎性肿块。临床意义:本病例系列描述了喉部肿块的CT特征。喉部肿块的形状可能有助于确定其性质,炎症过程被定义为喉部“增厚”,瘤变为“卵形”,而其他研究特征在肿瘤和炎症条件下都观察到不一致。
本文章由计算机程序翻译,如有差异,请以英文原文为准。

Computed tomographic appearance of laryngeal lesions in 7 dogs.

Computed tomographic appearance of laryngeal lesions in 7 dogs.

Computed tomographic appearance of laryngeal lesions in 7 dogs.

Objective: To describe the computed tomographic (CT) features of neoplastic and inflammatory laryngeal masses. The authors hypothesized that specific CT features may help differentiate between these two origins and that regional lymph nodes would be larger in cases of laryngeal neoplasia.

Methods: Medical records from two veterinary referral hospitals were screened for dogs diagnosed with either an inflammatory or neoplastic laryngeal mass who underwent CT scans of the neck. Information retrieved from medical records included signalment, physical examination findings, CT scan findings, and definitive diagnosis of the laryngeal mass based on cytological or histopathological results.

Results: Four dogs had laboratory reports compatible with a malignant neoplasia and three with an inflammatory process. The shape of the mass was defined as "ovoid" in all neoplastic masses and as "thickening" in cases of inflammatory processes. Masses were of various sizes (median length: 42 mm, range: 26-82 mm) and either unilateral (1/4 and 2/3 of neoplastic and inflammatory masses respectively) or bilateral. They were described as mineralized (1/4 and 1/3) and as having either an internal (1/4), external (2/4) growth pattern or both (1/4, 3/3). All masses had ill-defined margins and showed heterogeneous contrast enhancement. Two neoplastic and two inflammatory masses had a cavitary aspect. All but one case were associated with regional lymphadenopathy. Thyroid cartilage destruction was observed with two neoplastic and two inflammatory masses.

Clinical relevance: This case series describes CT features of laryngeal masses. The shape of the laryngeal mass may assist in determining its nature, inflammatory process was defined as "thickening" of the larynx and neoplasia as "ovoid"-shaped, whereas other studied features were inconsistently observed in both neoplastic and inflammatory conditions.

求助全文
通过发布文献求助,成功后即可免费获取论文全文。 去求助
来源期刊
Frontiers in Veterinary Science
Frontiers in Veterinary Science Veterinary-General Veterinary
CiteScore
4.80
自引率
9.40%
发文量
1870
审稿时长
14 weeks
期刊介绍: Frontiers in Veterinary Science is a global, peer-reviewed, Open Access journal that bridges animal and human health, brings a comparative approach to medical and surgical challenges, and advances innovative biotechnology and therapy. Veterinary research today is interdisciplinary, collaborative, and socially relevant, transforming how we understand and investigate animal health and disease. Fundamental research in emerging infectious diseases, predictive genomics, stem cell therapy, and translational modelling is grounded within the integrative social context of public and environmental health, wildlife conservation, novel biomarkers, societal well-being, and cutting-edge clinical practice and specialization. Frontiers in Veterinary Science brings a 21st-century approach—networked, collaborative, and Open Access—to communicate this progress and innovation to both the specialist and to the wider audience of readers in the field. Frontiers in Veterinary Science publishes articles on outstanding discoveries across a wide spectrum of translational, foundational, and clinical research. The journal''s mission is to bring all relevant veterinary sciences together on a single platform with the goal of improving animal and human health.
×
引用
GB/T 7714-2015
复制
MLA
复制
APA
复制
导出至
BibTeX EndNote RefMan NoteFirst NoteExpress
×
提示
您的信息不完整,为了账户安全,请先补充。
现在去补充
×
提示
您因"违规操作"
具体请查看互助需知
我知道了
×
提示
确定
请完成安全验证×
copy
已复制链接
快去分享给好友吧!
我知道了
右上角分享
点击右上角分享
0
联系我们:info@booksci.cn Book学术提供免费学术资源搜索服务,方便国内外学者检索中英文文献。致力于提供最便捷和优质的服务体验。 Copyright © 2023 布克学术 All rights reserved.
京ICP备2023020795号-1
ghs 京公网安备 11010802042870号
Book学术文献互助
Book学术文献互助群
群 号:604180095
Book学术官方微信