窄带成像辅助嗜酸性食管炎参考评分预测吞咽困难患者的炎症浸润。

IF 2.3 Q3 GASTROENTEROLOGY & HEPATOLOGY
Endoscopy International Open Pub Date : 2025-09-09 eCollection Date: 2025-01-01 DOI:10.1055/a-2685-7610
Kotryna Truskaite, Laura Vossen Engblom, Greger Lindberg, Aldona Dlugosz
{"title":"窄带成像辅助嗜酸性食管炎参考评分预测吞咽困难患者的炎症浸润。","authors":"Kotryna Truskaite, Laura Vossen Engblom, Greger Lindberg, Aldona Dlugosz","doi":"10.1055/a-2685-7610","DOIUrl":null,"url":null,"abstract":"<p><strong>Background and study aims: </strong>Magnifying endoscopy with narrow-band imaging (ME-NBI) is regularly used in neoplasia diagnostics although its use in assessment of esophageal inflammatory changes is uncommon. The aim of this study was to evaluate the efficacy of eosinophilic esophagitis reference score and ME-NBI signs in predicting inflammation using gastroscopy with dual focus in patients with dysphagia.</p><p><strong>Patients and methods: </strong>We conducted a prospective cohort study in adults undergoing gastroscopy with esophageal biopsies because of dysphagia/food bolus impaction. Number of eosinophiles and lymphocytes were calculated per high-power field. We used logistic regression with forward stepwise selection to determine the most relevant predictors (endoscopic signs) of inflammation. To assess the predictive value of endoscopic signs for eosinophilic or lymphocytic infiltration, we calculated sensitivity, specificity, and predictive values.</p><p><strong>Results: </strong>In total 219 patients (71.2% male) were enrolled to the study. Most frequent endoscopic findings were furrows (121/219, 55%), positive NBI signs (106/219, 48%), and edema (102/219, 47%). Logistic regression analysis showed that furrows and NBI signs were the most significant predictors of eosinophilic infiltration. Edema was the only significant predictor of lymphocyte infiltration.</p><p><strong>Conclusions: </strong>Positive NBI signs and furrows were the best predictors of eosinophile infiltration, whereas lymphocytic infiltration was predicted by edema. Given that NBI is already widely available, we encourage use of both white light and NBI in patients with suspected esophageal inflammation.</p>","PeriodicalId":11671,"journal":{"name":"Endoscopy International Open","volume":"13 ","pages":"a26857610"},"PeriodicalIF":2.3000,"publicationDate":"2025-09-09","publicationTypes":"Journal Article","fieldsOfStudy":null,"isOpenAccess":false,"openAccessPdf":"https://www.ncbi.nlm.nih.gov/pmc/articles/PMC12445250/pdf/","citationCount":"0","resultStr":"{\"title\":\"Narrow band imaging complements eosinophilic esophagitis reference score in predicting inflammatory infiltration in patients with dysphagia.\",\"authors\":\"Kotryna Truskaite, Laura Vossen Engblom, Greger Lindberg, Aldona Dlugosz\",\"doi\":\"10.1055/a-2685-7610\",\"DOIUrl\":null,\"url\":null,\"abstract\":\"<p><strong>Background and study aims: </strong>Magnifying endoscopy with narrow-band imaging (ME-NBI) is regularly used in neoplasia diagnostics although its use in assessment of esophageal inflammatory changes is uncommon. The aim of this study was to evaluate the efficacy of eosinophilic esophagitis reference score and ME-NBI signs in predicting inflammation using gastroscopy with dual focus in patients with dysphagia.</p><p><strong>Patients and methods: </strong>We conducted a prospective cohort study in adults undergoing gastroscopy with esophageal biopsies because of dysphagia/food bolus impaction. Number of eosinophiles and lymphocytes were calculated per high-power field. We used logistic regression with forward stepwise selection to determine the most relevant predictors (endoscopic signs) of inflammation. To assess the predictive value of endoscopic signs for eosinophilic or lymphocytic infiltration, we calculated sensitivity, specificity, and predictive values.</p><p><strong>Results: </strong>In total 219 patients (71.2% male) were enrolled to the study. Most frequent endoscopic findings were furrows (121/219, 55%), positive NBI signs (106/219, 48%), and edema (102/219, 47%). Logistic regression analysis showed that furrows and NBI signs were the most significant predictors of eosinophilic infiltration. Edema was the only significant predictor of lymphocyte infiltration.</p><p><strong>Conclusions: </strong>Positive NBI signs and furrows were the best predictors of eosinophile infiltration, whereas lymphocytic infiltration was predicted by edema. Given that NBI is already widely available, we encourage use of both white light and NBI in patients with suspected esophageal inflammation.</p>\",\"PeriodicalId\":11671,\"journal\":{\"name\":\"Endoscopy International Open\",\"volume\":\"13 \",\"pages\":\"a26857610\"},\"PeriodicalIF\":2.3000,\"publicationDate\":\"2025-09-09\",\"publicationTypes\":\"Journal Article\",\"fieldsOfStudy\":null,\"isOpenAccess\":false,\"openAccessPdf\":\"https://www.ncbi.nlm.nih.gov/pmc/articles/PMC12445250/pdf/\",\"citationCount\":\"0\",\"resultStr\":null,\"platform\":\"Semanticscholar\",\"paperid\":null,\"PeriodicalName\":\"Endoscopy International Open\",\"FirstCategoryId\":\"1085\",\"ListUrlMain\":\"https://doi.org/10.1055/a-2685-7610\",\"RegionNum\":0,\"RegionCategory\":null,\"ArticlePicture\":[],\"TitleCN\":null,\"AbstractTextCN\":null,\"PMCID\":null,\"EPubDate\":\"2025/1/1 0:00:00\",\"PubModel\":\"eCollection\",\"JCR\":\"Q3\",\"JCRName\":\"GASTROENTEROLOGY & HEPATOLOGY\",\"Score\":null,\"Total\":0}","platform":"Semanticscholar","paperid":null,"PeriodicalName":"Endoscopy International Open","FirstCategoryId":"1085","ListUrlMain":"https://doi.org/10.1055/a-2685-7610","RegionNum":0,"RegionCategory":null,"ArticlePicture":[],"TitleCN":null,"AbstractTextCN":null,"PMCID":null,"EPubDate":"2025/1/1 0:00:00","PubModel":"eCollection","JCR":"Q3","JCRName":"GASTROENTEROLOGY & HEPATOLOGY","Score":null,"Total":0}
引用次数: 0

摘要

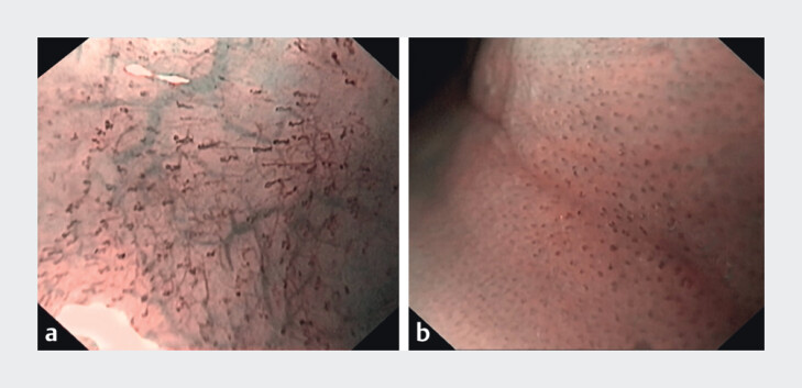
背景和研究目的:窄带放大内镜(ME-NBI)在食管炎症变化的评估中并不常见,但在肿瘤诊断中经常使用。本研究的目的是评估嗜酸性粒细胞性食管炎参考评分和ME-NBI体征在双焦点胃镜下预测吞咽困难患者炎症的疗效。患者和方法:我们进行了一项前瞻性队列研究,研究对象是因吞咽困难/食物丸嵌塞而接受胃镜检查并进行食管活检的成年人。计算每高倍视场中嗜酸性粒细胞和淋巴细胞的数量。我们使用逻辑回归和正向逐步选择来确定炎症最相关的预测因素(内窥镜体征)。为了评估嗜酸性粒细胞或淋巴细胞浸润的内镜征象的预测价值,我们计算了敏感性、特异性和预测值。结果:共有219例患者(71.2%男性)入组研究。最常见的内窥镜表现为沟纹(121/219,55%)、NBI阳性征象(106/219,48%)和水肿(102/219,47%)。Logistic回归分析显示,沟槽和NBI迹象是嗜酸性粒细胞浸润最显著的预测因子。水肿是淋巴细胞浸润的唯一显著预测因子。结论:NBI阳性体征和沟纹是嗜酸性粒细胞浸润的最佳预测因子,而淋巴细胞浸润可通过水肿预测。鉴于NBI已经广泛应用,我们鼓励在疑似食管炎症的患者中同时使用白光和NBI。
本文章由计算机程序翻译,如有差异,请以英文原文为准。

Narrow band imaging complements eosinophilic esophagitis reference score in predicting inflammatory infiltration in patients with dysphagia.

Narrow band imaging complements eosinophilic esophagitis reference score in predicting inflammatory infiltration in patients with dysphagia.

Narrow band imaging complements eosinophilic esophagitis reference score in predicting inflammatory infiltration in patients with dysphagia.

Background and study aims: Magnifying endoscopy with narrow-band imaging (ME-NBI) is regularly used in neoplasia diagnostics although its use in assessment of esophageal inflammatory changes is uncommon. The aim of this study was to evaluate the efficacy of eosinophilic esophagitis reference score and ME-NBI signs in predicting inflammation using gastroscopy with dual focus in patients with dysphagia.

Patients and methods: We conducted a prospective cohort study in adults undergoing gastroscopy with esophageal biopsies because of dysphagia/food bolus impaction. Number of eosinophiles and lymphocytes were calculated per high-power field. We used logistic regression with forward stepwise selection to determine the most relevant predictors (endoscopic signs) of inflammation. To assess the predictive value of endoscopic signs for eosinophilic or lymphocytic infiltration, we calculated sensitivity, specificity, and predictive values.

Results: In total 219 patients (71.2% male) were enrolled to the study. Most frequent endoscopic findings were furrows (121/219, 55%), positive NBI signs (106/219, 48%), and edema (102/219, 47%). Logistic regression analysis showed that furrows and NBI signs were the most significant predictors of eosinophilic infiltration. Edema was the only significant predictor of lymphocyte infiltration.

Conclusions: Positive NBI signs and furrows were the best predictors of eosinophile infiltration, whereas lymphocytic infiltration was predicted by edema. Given that NBI is already widely available, we encourage use of both white light and NBI in patients with suspected esophageal inflammation.

求助全文
通过发布文献求助,成功后即可免费获取论文全文。 去求助
来源期刊
Endoscopy International Open
Endoscopy International Open GASTROENTEROLOGY & HEPATOLOGY-
自引率
3.80%
发文量
270
×
引用
GB/T 7714-2015
复制
MLA
复制
APA
复制
导出至
BibTeX EndNote RefMan NoteFirst NoteExpress
×
提示
您的信息不完整,为了账户安全,请先补充。
现在去补充
×
提示
您因"违规操作"
具体请查看互助需知
我知道了
×
提示
确定
请完成安全验证×
copy
已复制链接
快去分享给好友吧!
我知道了
右上角分享
点击右上角分享
0
联系我们:info@booksci.cn Book学术提供免费学术资源搜索服务,方便国内外学者检索中英文文献。致力于提供最便捷和优质的服务体验。 Copyright © 2023 布克学术 All rights reserved.
京ICP备2023020795号-1
ghs 京公网安备 11010802042870号
Book学术文献互助
Book学术文献互助群
群 号:604180095
Book学术官方微信