永久性起搏器植入合并头静脉锚定套筒栓塞一例报告及处理策略探讨。

IF 0.8 Q4 CARDIAC & CARDIOVASCULAR SYSTEMS
European Heart Journal: Case Reports Pub Date : 2025-08-29 eCollection Date: 2025-09-01 DOI:10.1093/ehjcr/ytaf416
Saleh Altaf, Thivanka Witharana, Alexander Tindale, David Gareth Jones
{"title":"永久性起搏器植入合并头静脉锚定套筒栓塞一例报告及处理策略探讨。","authors":"Saleh Altaf, Thivanka Witharana, Alexander Tindale, David Gareth Jones","doi":"10.1093/ehjcr/ytaf416","DOIUrl":null,"url":null,"abstract":"<p><strong>Background: </strong>Anchoring sleeve embolization is a rare complication of first-time permanent pacemaker (PPM) implantation, and there is little guidance on how to manage such an eventuality.</p><p><strong>Case summary: </strong>An 82-year-old lady underwent PPM implantation for symptomatic 9-second sinus pause. During procedure, the anchoring sleeve from the atrial lead embolized through cephalic vein to the left superior lingular artery. The patient remained haemodynamically stable and multimodality imaging demonstrated only a small affected area of lung with patent pulmonary blood flow distal to the sleeve. Therefore, the patient was managed with anticoagulation alone and has remained well at 26-month follow-up.</p><p><strong>Discussion: </strong>Most case reports dealing with embolization of pacing apparatus to the pulmonary vasculature document endovascular retrieval. We lay down a framework of considerations for assessing management strategies to help guide practitioners to the most efficacious treatment plan. This includes factors affecting the risks of leaving the foreign body in place and outlines the rationale for no active treatment, through anticoagulation, and towards endovascular and surgical retrieval.</p>","PeriodicalId":11910,"journal":{"name":"European Heart Journal: Case Reports","volume":"9 9","pages":"ytaf416"},"PeriodicalIF":0.8000,"publicationDate":"2025-08-29","publicationTypes":"Journal Article","fieldsOfStudy":null,"isOpenAccess":false,"openAccessPdf":"https://www.ncbi.nlm.nih.gov/pmc/articles/PMC12448695/pdf/","citationCount":"0","resultStr":"{\"title\":\"Permanent pacemaker implantation complicated by anchoring sleeve embolization through cephalic vein: case report and discussion of management strategies.\",\"authors\":\"Saleh Altaf, Thivanka Witharana, Alexander Tindale, David Gareth Jones\",\"doi\":\"10.1093/ehjcr/ytaf416\",\"DOIUrl\":null,\"url\":null,\"abstract\":\"<p><strong>Background: </strong>Anchoring sleeve embolization is a rare complication of first-time permanent pacemaker (PPM) implantation, and there is little guidance on how to manage such an eventuality.</p><p><strong>Case summary: </strong>An 82-year-old lady underwent PPM implantation for symptomatic 9-second sinus pause. During procedure, the anchoring sleeve from the atrial lead embolized through cephalic vein to the left superior lingular artery. The patient remained haemodynamically stable and multimodality imaging demonstrated only a small affected area of lung with patent pulmonary blood flow distal to the sleeve. Therefore, the patient was managed with anticoagulation alone and has remained well at 26-month follow-up.</p><p><strong>Discussion: </strong>Most case reports dealing with embolization of pacing apparatus to the pulmonary vasculature document endovascular retrieval. We lay down a framework of considerations for assessing management strategies to help guide practitioners to the most efficacious treatment plan. This includes factors affecting the risks of leaving the foreign body in place and outlines the rationale for no active treatment, through anticoagulation, and towards endovascular and surgical retrieval.</p>\",\"PeriodicalId\":11910,\"journal\":{\"name\":\"European Heart Journal: Case Reports\",\"volume\":\"9 9\",\"pages\":\"ytaf416\"},\"PeriodicalIF\":0.8000,\"publicationDate\":\"2025-08-29\",\"publicationTypes\":\"Journal Article\",\"fieldsOfStudy\":null,\"isOpenAccess\":false,\"openAccessPdf\":\"https://www.ncbi.nlm.nih.gov/pmc/articles/PMC12448695/pdf/\",\"citationCount\":\"0\",\"resultStr\":null,\"platform\":\"Semanticscholar\",\"paperid\":null,\"PeriodicalName\":\"European Heart Journal: Case Reports\",\"FirstCategoryId\":\"1085\",\"ListUrlMain\":\"https://doi.org/10.1093/ehjcr/ytaf416\",\"RegionNum\":0,\"RegionCategory\":null,\"ArticlePicture\":[],\"TitleCN\":null,\"AbstractTextCN\":null,\"PMCID\":null,\"EPubDate\":\"2025/9/1 0:00:00\",\"PubModel\":\"eCollection\",\"JCR\":\"Q4\",\"JCRName\":\"CARDIAC & CARDIOVASCULAR SYSTEMS\",\"Score\":null,\"Total\":0}","platform":"Semanticscholar","paperid":null,"PeriodicalName":"European Heart Journal: Case Reports","FirstCategoryId":"1085","ListUrlMain":"https://doi.org/10.1093/ehjcr/ytaf416","RegionNum":0,"RegionCategory":null,"ArticlePicture":[],"TitleCN":null,"AbstractTextCN":null,"PMCID":null,"EPubDate":"2025/9/1 0:00:00","PubModel":"eCollection","JCR":"Q4","JCRName":"CARDIAC & CARDIOVASCULAR SYSTEMS","Score":null,"Total":0}
引用次数: 0

摘要

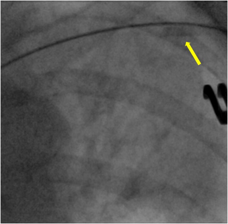
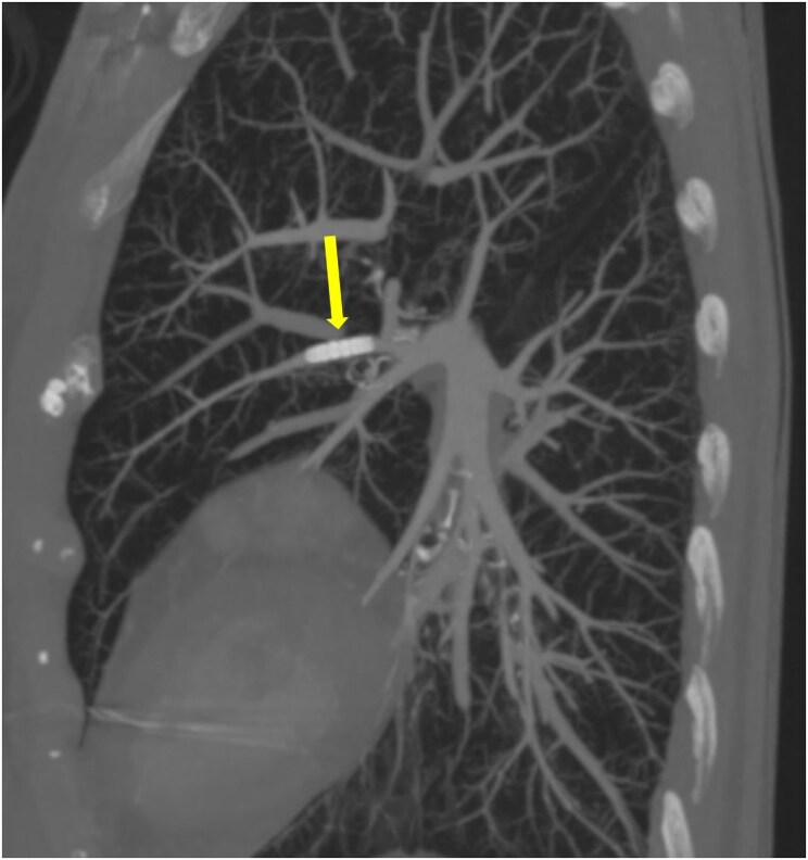
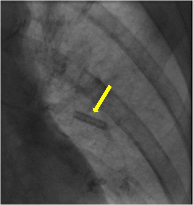
背景:锚定套管栓塞是首次植入永久性起搏器(PPM)的罕见并发症,目前关于如何处理此类事件的指导很少。病例总结:一位82岁的女士因症状性鼻窦暂停9秒而行PPM植入。术中,心房导联的锚定套筒经头静脉栓塞至左舌上动脉。患者血流动力学保持稳定,多模态成像显示只有一小块肺受影响区域,肺血流通畅至袖远端。因此,患者被单独进行抗凝治疗,并在26个月的随访中保持良好。讨论:大多数关于起搏器栓塞肺血管的病例报告记录了血管内回收。我们制定了评估管理策略的考虑因素框架,以帮助指导从业者制定最有效的治疗计划。这包括影响将异物留在原位风险的因素,并概述了不进行积极治疗的理由,通过抗凝,以及血管内和手术取出。
本文章由计算机程序翻译,如有差异,请以英文原文为准。

Permanent pacemaker implantation complicated by anchoring sleeve embolization through cephalic vein: case report and discussion of management strategies.

Permanent pacemaker implantation complicated by anchoring sleeve embolization through cephalic vein: case report and discussion of management strategies.

Permanent pacemaker implantation complicated by anchoring sleeve embolization through cephalic vein: case report and discussion of management strategies.

Permanent pacemaker implantation complicated by anchoring sleeve embolization through cephalic vein: case report and discussion of management strategies.

Background: Anchoring sleeve embolization is a rare complication of first-time permanent pacemaker (PPM) implantation, and there is little guidance on how to manage such an eventuality.

Case summary: An 82-year-old lady underwent PPM implantation for symptomatic 9-second sinus pause. During procedure, the anchoring sleeve from the atrial lead embolized through cephalic vein to the left superior lingular artery. The patient remained haemodynamically stable and multimodality imaging demonstrated only a small affected area of lung with patent pulmonary blood flow distal to the sleeve. Therefore, the patient was managed with anticoagulation alone and has remained well at 26-month follow-up.

Discussion: Most case reports dealing with embolization of pacing apparatus to the pulmonary vasculature document endovascular retrieval. We lay down a framework of considerations for assessing management strategies to help guide practitioners to the most efficacious treatment plan. This includes factors affecting the risks of leaving the foreign body in place and outlines the rationale for no active treatment, through anticoagulation, and towards endovascular and surgical retrieval.

求助全文
通过发布文献求助,成功后即可免费获取论文全文。 去求助
来源期刊
European Heart Journal: Case Reports
European Heart Journal: Case Reports Medicine-Cardiology and Cardiovascular Medicine
CiteScore
1.30
自引率
10.00%
发文量
451
审稿时长
14 weeks
×
引用
GB/T 7714-2015
复制
MLA
复制
APA
复制
导出至
BibTeX EndNote RefMan NoteFirst NoteExpress
×
提示
您的信息不完整,为了账户安全,请先补充。
现在去补充
×
提示
您因"违规操作"
具体请查看互助需知
我知道了
×
提示
确定
请完成安全验证×
copy
已复制链接
快去分享给好友吧!
我知道了
右上角分享
点击右上角分享
0
联系我们:info@booksci.cn Book学术提供免费学术资源搜索服务,方便国内外学者检索中英文文献。致力于提供最便捷和优质的服务体验。 Copyright © 2023 布克学术 All rights reserved.
京ICP备2023020795号-1
ghs 京公网安备 11010802042870号
Book学术文献互助
Book学术文献互助群
群 号:604180095
Book学术官方微信