经导管主动脉瓣置入术后并发主动脉环破裂的血小板-正氧综合征1例。

IF 0.8 Q4 CARDIAC & CARDIOVASCULAR SYSTEMS
European Heart Journal: Case Reports Pub Date : 2025-08-28 eCollection Date: 2025-09-01 DOI:10.1093/ehjcr/ytaf418
Stuart K Gibson, Arpudh Anandaraj, Christine F McDonald, Anoop N Koshy, Elizabeth Jones
{"title":"经导管主动脉瓣置入术后并发主动脉环破裂的血小板-正氧综合征1例。","authors":"Stuart K Gibson, Arpudh Anandaraj, Christine F McDonald, Anoop N Koshy, Elizabeth Jones","doi":"10.1093/ehjcr/ytaf418","DOIUrl":null,"url":null,"abstract":"<p><strong>Background: </strong>Platypnoea-orthodeoxia syndrome (POS) is a rare disorder characterized by dyspnoea and hypoxaemia occurring while upright and improving while recumbent, most often caused by inter-atrial shunting. Diagnosis is challenging, and the syndrome carries considerable morbidity if left untreated. In patients with inter-atrial communications such as a patent foramen ovale (PFO), haemodynamic and structural changes occurring after transcatheter aortic valve implantation (TAVI) can lead to platypnoea-orthodeoxia.</p><p><strong>Case summary: </strong>A 77-year-old patient with severe aortic stenosis was referred for TAVI at our institution. On transthoracic echocardiography, dilatation of the ascending aorta (40 mm) and a mobile atrial septal aneurysm (ASA) were noted. Transcatheter aortic valve implantation was complicated by annular rupture and aortic intramural haematoma (IMH), managed conservatively. Three weeks after discharge, the patient re-presented with cholecystitis and underwent cholecystectomy. Post-operatively, marked hypoxaemia was noted during orthostasis. Transthoracic echocardiography showed the ASA bulging into the left atrium, with a strongly positive saline contrast study while upright. A PFO was identified on transoesophageal echocardiography and successfully percutaneously closed, with hypoxaemia resolving.</p><p><strong>Discussion: </strong>Platypnoea-orthodeoxia syndrome is a rare complication of TAVI, not previously reported after annular rupture. Aortic dilatation is often implicated in platypnoea-orthodeoxia, likely by compressing the interatrial septum and potentiating right-to-left shunting. In our patient, with a mildly dilated aorta prior to intervention, annular rupture and IMH may have further distorted atrial anatomy. Furthermore, rapid improvements in left ventricular compliance and left-sided filling pressures after TAVI may have facilitated the new onset of right-to-left shunting. Platypnoea-orthodeoxia syndrome should be considered in patients with unexplained hypoxaemia after TAVI.</p>","PeriodicalId":11910,"journal":{"name":"European Heart Journal: Case Reports","volume":"9 9","pages":"ytaf418"},"PeriodicalIF":0.8000,"publicationDate":"2025-08-28","publicationTypes":"Journal Article","fieldsOfStudy":null,"isOpenAccess":false,"openAccessPdf":"https://www.ncbi.nlm.nih.gov/pmc/articles/PMC12448197/pdf/","citationCount":"0","resultStr":"{\"title\":\"Platypnoea-orthodeoxia syndrome following transcatheter aortic valve implantation complicated by aortic annular rupture: a case report.\",\"authors\":\"Stuart K Gibson, Arpudh Anandaraj, Christine F McDonald, Anoop N Koshy, Elizabeth Jones\",\"doi\":\"10.1093/ehjcr/ytaf418\",\"DOIUrl\":null,\"url\":null,\"abstract\":\"<p><strong>Background: </strong>Platypnoea-orthodeoxia syndrome (POS) is a rare disorder characterized by dyspnoea and hypoxaemia occurring while upright and improving while recumbent, most often caused by inter-atrial shunting. Diagnosis is challenging, and the syndrome carries considerable morbidity if left untreated. In patients with inter-atrial communications such as a patent foramen ovale (PFO), haemodynamic and structural changes occurring after transcatheter aortic valve implantation (TAVI) can lead to platypnoea-orthodeoxia.</p><p><strong>Case summary: </strong>A 77-year-old patient with severe aortic stenosis was referred for TAVI at our institution. On transthoracic echocardiography, dilatation of the ascending aorta (40 mm) and a mobile atrial septal aneurysm (ASA) were noted. Transcatheter aortic valve implantation was complicated by annular rupture and aortic intramural haematoma (IMH), managed conservatively. Three weeks after discharge, the patient re-presented with cholecystitis and underwent cholecystectomy. Post-operatively, marked hypoxaemia was noted during orthostasis. Transthoracic echocardiography showed the ASA bulging into the left atrium, with a strongly positive saline contrast study while upright. A PFO was identified on transoesophageal echocardiography and successfully percutaneously closed, with hypoxaemia resolving.</p><p><strong>Discussion: </strong>Platypnoea-orthodeoxia syndrome is a rare complication of TAVI, not previously reported after annular rupture. Aortic dilatation is often implicated in platypnoea-orthodeoxia, likely by compressing the interatrial septum and potentiating right-to-left shunting. In our patient, with a mildly dilated aorta prior to intervention, annular rupture and IMH may have further distorted atrial anatomy. Furthermore, rapid improvements in left ventricular compliance and left-sided filling pressures after TAVI may have facilitated the new onset of right-to-left shunting. Platypnoea-orthodeoxia syndrome should be considered in patients with unexplained hypoxaemia after TAVI.</p>\",\"PeriodicalId\":11910,\"journal\":{\"name\":\"European Heart Journal: Case Reports\",\"volume\":\"9 9\",\"pages\":\"ytaf418\"},\"PeriodicalIF\":0.8000,\"publicationDate\":\"2025-08-28\",\"publicationTypes\":\"Journal Article\",\"fieldsOfStudy\":null,\"isOpenAccess\":false,\"openAccessPdf\":\"https://www.ncbi.nlm.nih.gov/pmc/articles/PMC12448197/pdf/\",\"citationCount\":\"0\",\"resultStr\":null,\"platform\":\"Semanticscholar\",\"paperid\":null,\"PeriodicalName\":\"European Heart Journal: Case Reports\",\"FirstCategoryId\":\"1085\",\"ListUrlMain\":\"https://doi.org/10.1093/ehjcr/ytaf418\",\"RegionNum\":0,\"RegionCategory\":null,\"ArticlePicture\":[],\"TitleCN\":null,\"AbstractTextCN\":null,\"PMCID\":null,\"EPubDate\":\"2025/9/1 0:00:00\",\"PubModel\":\"eCollection\",\"JCR\":\"Q4\",\"JCRName\":\"CARDIAC & CARDIOVASCULAR SYSTEMS\",\"Score\":null,\"Total\":0}","platform":"Semanticscholar","paperid":null,"PeriodicalName":"European Heart Journal: Case Reports","FirstCategoryId":"1085","ListUrlMain":"https://doi.org/10.1093/ehjcr/ytaf418","RegionNum":0,"RegionCategory":null,"ArticlePicture":[],"TitleCN":null,"AbstractTextCN":null,"PMCID":null,"EPubDate":"2025/9/1 0:00:00","PubModel":"eCollection","JCR":"Q4","JCRName":"CARDIAC & CARDIOVASCULAR SYSTEMS","Score":null,"Total":0}
引用次数: 0

摘要

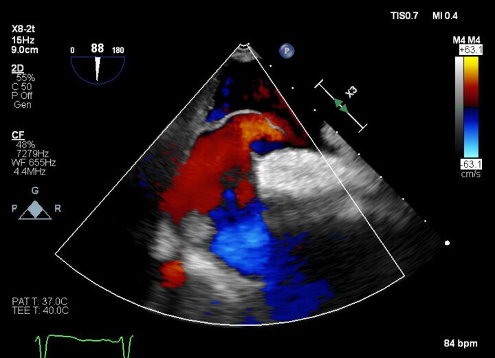
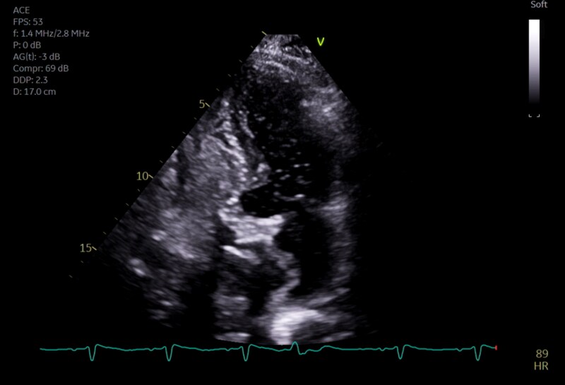
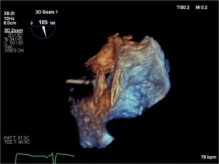
背景:平躺-正氧综合征(POS)是一种罕见的疾病,以直立时出现呼吸困难和低氧血症为特征,平躺时改善,最常由心房分流引起。诊断是具有挑战性的,如果不及时治疗,该综合征会带来相当大的发病率。在房内相通的患者中,如卵圆孔未闭(PFO),经导管主动脉瓣植入术(TAVI)后发生的血流动力学和结构变化可导致血小板-正氧症。病例总结:一名77岁的严重主动脉瓣狭窄患者在我院接受TAVI治疗。经胸超声心动图显示升主动脉扩张(40mm)和房间隔动脉瘤移动(ASA)。经导管主动脉瓣植入术并发主动脉环破裂和主动脉壁内血肿(IMH),保守处理。出院后三周,患者再次出现胆囊炎并行胆囊切除术。术后直立时发现明显的低氧血症。经胸超声心动图显示ASA膨出至左心房,直立时盐水对比研究呈强阳性。经食管超声心动图发现PFO,经皮闭合成功,低氧血症解决。讨论:屏气-正氧综合征是TAVI的一种罕见的并发症,以前没有在环破裂后报道过。主动脉扩张常与斜通气-正氧症有关,可能是通过压迫房间隔和增强右至左分流。在本例患者中,介入治疗前主动脉轻度扩张,环破裂和IMH可能会进一步扭曲心房解剖结构。此外,TAVI后左室顺应性和左侧充盈压力的快速改善可能促进了右至左分流的新发病。TAVI后不明原因的低氧血症患者应考虑缺氧-正氧综合征。
本文章由计算机程序翻译,如有差异,请以英文原文为准。

Platypnoea-orthodeoxia syndrome following transcatheter aortic valve implantation complicated by aortic annular rupture: a case report.

Platypnoea-orthodeoxia syndrome following transcatheter aortic valve implantation complicated by aortic annular rupture: a case report.

Platypnoea-orthodeoxia syndrome following transcatheter aortic valve implantation complicated by aortic annular rupture: a case report.

Platypnoea-orthodeoxia syndrome following transcatheter aortic valve implantation complicated by aortic annular rupture: a case report.

Background: Platypnoea-orthodeoxia syndrome (POS) is a rare disorder characterized by dyspnoea and hypoxaemia occurring while upright and improving while recumbent, most often caused by inter-atrial shunting. Diagnosis is challenging, and the syndrome carries considerable morbidity if left untreated. In patients with inter-atrial communications such as a patent foramen ovale (PFO), haemodynamic and structural changes occurring after transcatheter aortic valve implantation (TAVI) can lead to platypnoea-orthodeoxia.

Case summary: A 77-year-old patient with severe aortic stenosis was referred for TAVI at our institution. On transthoracic echocardiography, dilatation of the ascending aorta (40 mm) and a mobile atrial septal aneurysm (ASA) were noted. Transcatheter aortic valve implantation was complicated by annular rupture and aortic intramural haematoma (IMH), managed conservatively. Three weeks after discharge, the patient re-presented with cholecystitis and underwent cholecystectomy. Post-operatively, marked hypoxaemia was noted during orthostasis. Transthoracic echocardiography showed the ASA bulging into the left atrium, with a strongly positive saline contrast study while upright. A PFO was identified on transoesophageal echocardiography and successfully percutaneously closed, with hypoxaemia resolving.

Discussion: Platypnoea-orthodeoxia syndrome is a rare complication of TAVI, not previously reported after annular rupture. Aortic dilatation is often implicated in platypnoea-orthodeoxia, likely by compressing the interatrial septum and potentiating right-to-left shunting. In our patient, with a mildly dilated aorta prior to intervention, annular rupture and IMH may have further distorted atrial anatomy. Furthermore, rapid improvements in left ventricular compliance and left-sided filling pressures after TAVI may have facilitated the new onset of right-to-left shunting. Platypnoea-orthodeoxia syndrome should be considered in patients with unexplained hypoxaemia after TAVI.

求助全文
通过发布文献求助,成功后即可免费获取论文全文。 去求助
来源期刊
European Heart Journal: Case Reports
European Heart Journal: Case Reports Medicine-Cardiology and Cardiovascular Medicine
CiteScore
1.30
自引率
10.00%
发文量
451
审稿时长
14 weeks
×
引用
GB/T 7714-2015
复制
MLA
复制
APA
复制
导出至
BibTeX EndNote RefMan NoteFirst NoteExpress
×
提示
您的信息不完整,为了账户安全,请先补充。
现在去补充
×
提示
您因"违规操作"
具体请查看互助需知
我知道了
×
提示
确定
请完成安全验证×
copy
已复制链接
快去分享给好友吧!
我知道了
右上角分享
点击右上角分享
0
联系我们:info@booksci.cn Book学术提供免费学术资源搜索服务,方便国内外学者检索中英文文献。致力于提供最便捷和优质的服务体验。 Copyright © 2023 布克学术 All rights reserved.
京ICP备2023020795号-1
ghs 京公网安备 11010802042870号
Book学术文献互助
Book学术文献互助群
群 号:604180095
Book学术官方微信