家族性乳腺癌的遗传性癌症综合征:前瞻性胃癌监测的见解。

IF 0.8 Q3 MEDICINE, GENERAL & INTERNAL
Jennifer Wiese, Swapna Sirigireddy, Abdelwahap Elghezewi, Ibrahim Shanti, Mikayla Myers, Bassel Dakkak, Mustafa Ben Khayal, Thomas Wright, Wesam Frandah, Zakaria Alagha
{"title":"家族性乳腺癌的遗传性癌症综合征:前瞻性胃癌监测的见解。","authors":"Jennifer Wiese, Swapna Sirigireddy, Abdelwahap Elghezewi, Ibrahim Shanti, Mikayla Myers, Bassel Dakkak, Mustafa Ben Khayal, Thomas Wright, Wesam Frandah, Zakaria Alagha","doi":"10.1177/23247096251358660","DOIUrl":null,"url":null,"abstract":"<p><p>Hereditary diffuse gastric cancer (HDGC) is a rare and aggressive cancer that accounts for 1% to 3% of gastric cancer cases, often diagnosed late with poor outcomes, and it is due to a mutation in the Cadherin 1 (CDH1) gene. We present 2 sisters, ages 62 and 70, both carrying the CDH1 mutation, which is associated with significantly increased risks of HDGC and breast cancer. Both were diagnosed with invasive lobular carcinoma of the breast, a known manifestation of CDH1 mutations, emphasizing the need for genetic screening in patients with strong family cancer histories. Despite their elevated HDGC risk, the sisters declined prophylactic surgery. Instead, they pursued annual endoscopic gastro-duodenoscopies with ultrasound surveillance tailored to their needs. This case highlights the importance of recognizing rare genetic mutations and integrating family history into personalized clinical management.</p>","PeriodicalId":16198,"journal":{"name":"Journal of investigative medicine high impact case reports","volume":"13 ","pages":"23247096251358660"},"PeriodicalIF":0.8000,"publicationDate":"2025-01-01","publicationTypes":"Journal Article","fieldsOfStudy":null,"isOpenAccess":false,"openAccessPdf":"https://www.ncbi.nlm.nih.gov/pmc/articles/PMC12450275/pdf/","citationCount":"0","resultStr":"{\"title\":\"Hereditary Cancer Syndromes in Familial Breast Cancer: Insights Into Proactive Gastric Cancer Surveillance.\",\"authors\":\"Jennifer Wiese, Swapna Sirigireddy, Abdelwahap Elghezewi, Ibrahim Shanti, Mikayla Myers, Bassel Dakkak, Mustafa Ben Khayal, Thomas Wright, Wesam Frandah, Zakaria Alagha\",\"doi\":\"10.1177/23247096251358660\",\"DOIUrl\":null,\"url\":null,\"abstract\":\"<p><p>Hereditary diffuse gastric cancer (HDGC) is a rare and aggressive cancer that accounts for 1% to 3% of gastric cancer cases, often diagnosed late with poor outcomes, and it is due to a mutation in the Cadherin 1 (CDH1) gene. We present 2 sisters, ages 62 and 70, both carrying the CDH1 mutation, which is associated with significantly increased risks of HDGC and breast cancer. Both were diagnosed with invasive lobular carcinoma of the breast, a known manifestation of CDH1 mutations, emphasizing the need for genetic screening in patients with strong family cancer histories. Despite their elevated HDGC risk, the sisters declined prophylactic surgery. Instead, they pursued annual endoscopic gastro-duodenoscopies with ultrasound surveillance tailored to their needs. This case highlights the importance of recognizing rare genetic mutations and integrating family history into personalized clinical management.</p>\",\"PeriodicalId\":16198,\"journal\":{\"name\":\"Journal of investigative medicine high impact case reports\",\"volume\":\"13 \",\"pages\":\"23247096251358660\"},\"PeriodicalIF\":0.8000,\"publicationDate\":\"2025-01-01\",\"publicationTypes\":\"Journal Article\",\"fieldsOfStudy\":null,\"isOpenAccess\":false,\"openAccessPdf\":\"https://www.ncbi.nlm.nih.gov/pmc/articles/PMC12450275/pdf/\",\"citationCount\":\"0\",\"resultStr\":null,\"platform\":\"Semanticscholar\",\"paperid\":null,\"PeriodicalName\":\"Journal of investigative medicine high impact case reports\",\"FirstCategoryId\":\"1085\",\"ListUrlMain\":\"https://doi.org/10.1177/23247096251358660\",\"RegionNum\":0,\"RegionCategory\":null,\"ArticlePicture\":[],\"TitleCN\":null,\"AbstractTextCN\":null,\"PMCID\":null,\"EPubDate\":\"2025/9/20 0:00:00\",\"PubModel\":\"Epub\",\"JCR\":\"Q3\",\"JCRName\":\"MEDICINE, GENERAL & INTERNAL\",\"Score\":null,\"Total\":0}","platform":"Semanticscholar","paperid":null,"PeriodicalName":"Journal of investigative medicine high impact case reports","FirstCategoryId":"1085","ListUrlMain":"https://doi.org/10.1177/23247096251358660","RegionNum":0,"RegionCategory":null,"ArticlePicture":[],"TitleCN":null,"AbstractTextCN":null,"PMCID":null,"EPubDate":"2025/9/20 0:00:00","PubModel":"Epub","JCR":"Q3","JCRName":"MEDICINE, GENERAL & INTERNAL","Score":null,"Total":0}
引用次数: 0

摘要

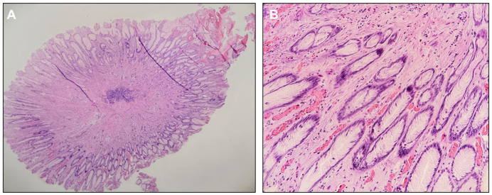
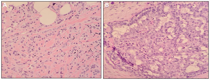
遗传性弥漫性胃癌(HDGC)是一种罕见的侵袭性癌症,占胃癌病例的1%至3%,通常诊断较晚,预后较差,是由钙粘蛋白1 (CDH1)基因突变引起的。我们有2个姐妹,年龄分别为62岁和70岁,都携带CDH1突变,这与HDGC和乳腺癌的风险显著增加有关。两人都被诊断为乳腺浸润性小叶癌,这是一种已知的CDH1突变的表现,强调了对有强烈癌症家族史的患者进行遗传筛查的必要性。尽管两姐妹的HDGC风险较高,但她们拒绝接受预防性手术。取而代之的是,他们每年进行一次内窥镜胃十二指肠镜检查,并根据自己的需要进行超声监测。本病例强调了认识罕见基因突变和将家族史纳入个性化临床管理的重要性。
本文章由计算机程序翻译,如有差异,请以英文原文为准。

Hereditary Cancer Syndromes in Familial Breast Cancer: Insights Into Proactive Gastric Cancer Surveillance.

Hereditary Cancer Syndromes in Familial Breast Cancer: Insights Into Proactive Gastric Cancer Surveillance.

Hereditary Cancer Syndromes in Familial Breast Cancer: Insights Into Proactive Gastric Cancer Surveillance.

Hereditary Cancer Syndromes in Familial Breast Cancer: Insights Into Proactive Gastric Cancer Surveillance.

Hereditary diffuse gastric cancer (HDGC) is a rare and aggressive cancer that accounts for 1% to 3% of gastric cancer cases, often diagnosed late with poor outcomes, and it is due to a mutation in the Cadherin 1 (CDH1) gene. We present 2 sisters, ages 62 and 70, both carrying the CDH1 mutation, which is associated with significantly increased risks of HDGC and breast cancer. Both were diagnosed with invasive lobular carcinoma of the breast, a known manifestation of CDH1 mutations, emphasizing the need for genetic screening in patients with strong family cancer histories. Despite their elevated HDGC risk, the sisters declined prophylactic surgery. Instead, they pursued annual endoscopic gastro-duodenoscopies with ultrasound surveillance tailored to their needs. This case highlights the importance of recognizing rare genetic mutations and integrating family history into personalized clinical management.

求助全文
通过发布文献求助,成功后即可免费获取论文全文。 去求助
来源期刊
CiteScore
1.90
自引率
0.00%
发文量
165
审稿时长
12 weeks
期刊介绍: The AFMR is committed to enhancing the training and career development of our members and to furthering its mission to facilitate the conduct of research to improve medical care. Case reports represent an important avenue for trainees (interns, residents, and fellows) and early-stage faculty to demonstrate productive, scholarly activity.
×
引用
GB/T 7714-2015
复制
MLA
复制
APA
复制
导出至
BibTeX EndNote RefMan NoteFirst NoteExpress
×
提示
您的信息不完整,为了账户安全,请先补充。
现在去补充
×
提示
您因"违规操作"
具体请查看互助需知
我知道了
×
提示
确定
请完成安全验证×
copy
已复制链接
快去分享给好友吧!
我知道了
右上角分享
点击右上角分享
0
联系我们:info@booksci.cn Book学术提供免费学术资源搜索服务,方便国内外学者检索中英文文献。致力于提供最便捷和优质的服务体验。 Copyright © 2023 布克学术 All rights reserved.
京ICP备2023020795号-1
ghs 京公网安备 11010802042870号
Book学术文献互助
Book学术文献互助群
群 号:604180095
Book学术官方微信