术中超声在复杂和复发性毛鞘疾病手术治疗中的应用:一项回顾性、观察性、单中心研究。

IF 2.3 3区 医学 Q2 GASTROENTEROLOGY & HEPATOLOGY
Gaetano Gallo, Marta Goglia, Veronica De Simone, Gianpiero Gravante, Pierpaolo Sileri, Antonio Crucitti, Marco La Torre
{"title":"术中超声在复杂和复发性毛鞘疾病手术治疗中的应用:一项回顾性、观察性、单中心研究。","authors":"Gaetano Gallo, Marta Goglia, Veronica De Simone, Gianpiero Gravante, Pierpaolo Sileri, Antonio Crucitti, Marco La Torre","doi":"10.1007/s00384-025-04961-3","DOIUrl":null,"url":null,"abstract":"<p><strong>Background: </strong>Pilonidal disease (PD) is frequently associated with high recurrence rates and delayed healing, particularly in complex or recurrent cases. While Endoscopic Pilonidal Sinus Treatment (EPSiT) has improved postoperative recovery and patient satisfaction, its effectiveness can be limited by incomplete identification of fistulous tracts. Intraoperative ultrasound (IUS) offers real-time visualization of subcutaneous structures and may aid in detecting hidden tracts during surgery. This study evaluates the clinical outcomes of combining IUS with EPSiT in the treatment of complex and recurrent PD.</p><p><strong>Materials and methods: </strong>A retrospective cohort, single-center study was conducted on patients with recurrent and complex PD treated between 2018 and 2021 using IUS in conjunction with EPSiT. All patients had a minimum follow-up of 36 months. The study recorded the number of cases in which IUS identified additional fistulous tracts and led to a modification of the surgical strategy, as well as clinical outcomes including recurrence rate, time to wound healing, and incidence of incomplete wound healing.</p><p><strong>Results: </strong>Nineteen patients were included (14 males, 73.7%; mean age of 35.4 ± 6.4 years). The mean operative time was 42 min, with IUS requiring an additional 6 min. IUS identified previously undetected fistulous tracts in 6 patients (31.5%), leading to modifications in the surgical strategy. At 36-month follow-up, disease persistence (recurrence or incomplete healing) was observed in 5 patients (26.3%). Recurrent cases were successfully managed with additional procedures, achieving 100% healing after reintervention.</p><p><strong>Conclusions: </strong>Intraoperative IUS identified previously undetected secondary tracts in 31.5% of patients, leading to a modification of the surgical approach. Further comparative studies are needed to validate its effectiveness and assess its potential role as a standard adjunct in the surgical management of pilonidal disease.</p>","PeriodicalId":13789,"journal":{"name":"International Journal of Colorectal Disease","volume":"40 1","pages":"203"},"PeriodicalIF":2.3000,"publicationDate":"2025-09-20","publicationTypes":"Journal Article","fieldsOfStudy":null,"isOpenAccess":false,"openAccessPdf":"https://www.ncbi.nlm.nih.gov/pmc/articles/PMC12450213/pdf/","citationCount":"0","resultStr":"{\"title\":\"Intra-operative ultrasound in the surgical treatment of complex and recurrent pilonidal disease: a retrospective, observational, single-center study.\",\"authors\":\"Gaetano Gallo, Marta Goglia, Veronica De Simone, Gianpiero Gravante, Pierpaolo Sileri, Antonio Crucitti, Marco La Torre\",\"doi\":\"10.1007/s00384-025-04961-3\",\"DOIUrl\":null,\"url\":null,\"abstract\":\"<p><strong>Background: </strong>Pilonidal disease (PD) is frequently associated with high recurrence rates and delayed healing, particularly in complex or recurrent cases. While Endoscopic Pilonidal Sinus Treatment (EPSiT) has improved postoperative recovery and patient satisfaction, its effectiveness can be limited by incomplete identification of fistulous tracts. Intraoperative ultrasound (IUS) offers real-time visualization of subcutaneous structures and may aid in detecting hidden tracts during surgery. This study evaluates the clinical outcomes of combining IUS with EPSiT in the treatment of complex and recurrent PD.</p><p><strong>Materials and methods: </strong>A retrospective cohort, single-center study was conducted on patients with recurrent and complex PD treated between 2018 and 2021 using IUS in conjunction with EPSiT. All patients had a minimum follow-up of 36 months. The study recorded the number of cases in which IUS identified additional fistulous tracts and led to a modification of the surgical strategy, as well as clinical outcomes including recurrence rate, time to wound healing, and incidence of incomplete wound healing.</p><p><strong>Results: </strong>Nineteen patients were included (14 males, 73.7%; mean age of 35.4 ± 6.4 years). The mean operative time was 42 min, with IUS requiring an additional 6 min. IUS identified previously undetected fistulous tracts in 6 patients (31.5%), leading to modifications in the surgical strategy. At 36-month follow-up, disease persistence (recurrence or incomplete healing) was observed in 5 patients (26.3%). Recurrent cases were successfully managed with additional procedures, achieving 100% healing after reintervention.</p><p><strong>Conclusions: </strong>Intraoperative IUS identified previously undetected secondary tracts in 31.5% of patients, leading to a modification of the surgical approach. Further comparative studies are needed to validate its effectiveness and assess its potential role as a standard adjunct in the surgical management of pilonidal disease.</p>\",\"PeriodicalId\":13789,\"journal\":{\"name\":\"International Journal of Colorectal Disease\",\"volume\":\"40 1\",\"pages\":\"203\"},\"PeriodicalIF\":2.3000,\"publicationDate\":\"2025-09-20\",\"publicationTypes\":\"Journal Article\",\"fieldsOfStudy\":null,\"isOpenAccess\":false,\"openAccessPdf\":\"https://www.ncbi.nlm.nih.gov/pmc/articles/PMC12450213/pdf/\",\"citationCount\":\"0\",\"resultStr\":null,\"platform\":\"Semanticscholar\",\"paperid\":null,\"PeriodicalName\":\"International Journal of Colorectal Disease\",\"FirstCategoryId\":\"3\",\"ListUrlMain\":\"https://doi.org/10.1007/s00384-025-04961-3\",\"RegionNum\":3,\"RegionCategory\":\"医学\",\"ArticlePicture\":[],\"TitleCN\":null,\"AbstractTextCN\":null,\"PMCID\":null,\"EPubDate\":\"\",\"PubModel\":\"\",\"JCR\":\"Q2\",\"JCRName\":\"GASTROENTEROLOGY & HEPATOLOGY\",\"Score\":null,\"Total\":0}","platform":"Semanticscholar","paperid":null,"PeriodicalName":"International Journal of Colorectal Disease","FirstCategoryId":"3","ListUrlMain":"https://doi.org/10.1007/s00384-025-04961-3","RegionNum":3,"RegionCategory":"医学","ArticlePicture":[],"TitleCN":null,"AbstractTextCN":null,"PMCID":null,"EPubDate":"","PubModel":"","JCR":"Q2","JCRName":"GASTROENTEROLOGY & HEPATOLOGY","Score":null,"Total":0}
引用次数: 0

摘要

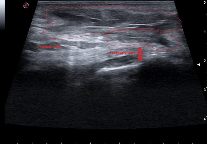
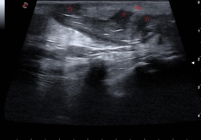
背景:毛样疾病(PD)通常与高复发率和延迟愈合有关,特别是在复杂或复发的病例中。虽然内镜下毛窦治疗(EPSiT)改善了术后恢复和患者满意度,但其有效性可能受到瘘道识别不全的限制。术中超声(IUS)提供了皮下结构的实时可视化,并可能有助于在手术中发现隐藏的束。本研究评价IUS联合EPSiT治疗复杂和复发性PD的临床效果。材料和方法:对2018年至2021年间使用IUS联合EPSiT治疗的复发性和复杂性PD患者进行了一项回顾性单中心队列研究。所有患者至少随访36个月。该研究记录了IUS发现额外瘘道并导致手术策略修改的病例数量,以及包括复发率、伤口愈合时间和伤口不完全愈合发生率在内的临床结果。结果:共纳入19例患者,其中男性14例,占73.7%,平均年龄35.4±6.4岁。平均手术时间为42分钟,IUS需要额外的6分钟。IUS在6例(31.5%)患者中发现了以前未发现的瘘道,导致手术策略的修改。在36个月的随访中,5例患者(26.3%)观察到疾病持续(复发或不完全愈合)。复发病例通过额外的手术成功地管理,在再次干预后达到100%的愈合。结论:术中IUS在31.5%的患者中发现了以前未发现的继发束,导致手术入路的修改。需要进一步的比较研究来验证其有效性,并评估其作为毛鞘疾病手术治疗标准辅助手段的潜在作用。
本文章由计算机程序翻译,如有差异,请以英文原文为准。

Intra-operative ultrasound in the surgical treatment of complex and recurrent pilonidal disease: a retrospective, observational, single-center study.

Intra-operative ultrasound in the surgical treatment of complex and recurrent pilonidal disease: a retrospective, observational, single-center study.

Intra-operative ultrasound in the surgical treatment of complex and recurrent pilonidal disease: a retrospective, observational, single-center study.

Intra-operative ultrasound in the surgical treatment of complex and recurrent pilonidal disease: a retrospective, observational, single-center study.

Background: Pilonidal disease (PD) is frequently associated with high recurrence rates and delayed healing, particularly in complex or recurrent cases. While Endoscopic Pilonidal Sinus Treatment (EPSiT) has improved postoperative recovery and patient satisfaction, its effectiveness can be limited by incomplete identification of fistulous tracts. Intraoperative ultrasound (IUS) offers real-time visualization of subcutaneous structures and may aid in detecting hidden tracts during surgery. This study evaluates the clinical outcomes of combining IUS with EPSiT in the treatment of complex and recurrent PD.

Materials and methods: A retrospective cohort, single-center study was conducted on patients with recurrent and complex PD treated between 2018 and 2021 using IUS in conjunction with EPSiT. All patients had a minimum follow-up of 36 months. The study recorded the number of cases in which IUS identified additional fistulous tracts and led to a modification of the surgical strategy, as well as clinical outcomes including recurrence rate, time to wound healing, and incidence of incomplete wound healing.

Results: Nineteen patients were included (14 males, 73.7%; mean age of 35.4 ± 6.4 years). The mean operative time was 42 min, with IUS requiring an additional 6 min. IUS identified previously undetected fistulous tracts in 6 patients (31.5%), leading to modifications in the surgical strategy. At 36-month follow-up, disease persistence (recurrence or incomplete healing) was observed in 5 patients (26.3%). Recurrent cases were successfully managed with additional procedures, achieving 100% healing after reintervention.

Conclusions: Intraoperative IUS identified previously undetected secondary tracts in 31.5% of patients, leading to a modification of the surgical approach. Further comparative studies are needed to validate its effectiveness and assess its potential role as a standard adjunct in the surgical management of pilonidal disease.

求助全文
通过发布文献求助,成功后即可免费获取论文全文。 去求助
来源期刊
CiteScore
4.90
自引率
3.60%
发文量
206
审稿时长
3-8 weeks
期刊介绍: The International Journal of Colorectal Disease, Clinical and Molecular Gastroenterology and Surgery aims to publish novel and state-of-the-art papers which deal with the physiology and pathophysiology of diseases involving the entire gastrointestinal tract. In addition to original research articles, the following categories will be included: reviews (usually commissioned but may also be submitted), case reports, letters to the editor, and protocols on clinical studies. The journal offers its readers an interdisciplinary forum for clinical science and molecular research related to gastrointestinal disease.
×
引用
GB/T 7714-2015
复制
MLA
复制
APA
复制
导出至
BibTeX EndNote RefMan NoteFirst NoteExpress
×
提示
您的信息不完整,为了账户安全,请先补充。
现在去补充
×
提示
您因"违规操作"
具体请查看互助需知
我知道了
×
提示
确定
请完成安全验证×
copy
已复制链接
快去分享给好友吧!
我知道了
右上角分享
点击右上角分享
0
联系我们:info@booksci.cn Book学术提供免费学术资源搜索服务,方便国内外学者检索中英文文献。致力于提供最便捷和优质的服务体验。 Copyright © 2023 布克学术 All rights reserved.
京ICP备2023020795号-1
ghs 京公网安备 11010802042870号
Book学术文献互助
Book学术文献互助群
群 号:604180095
Book学术官方微信