日本192例尸检病例肾小球半乳糖缺乏IgA1沉积

IF 1.9
Yoshihito Nihei, Ryousuke Aoki, Keiichi Matsuzaki, Ayako Koizumi, Harumi Saeki, Ikumi Sakai, Masao Kihara, Takashi Yao, Yusuke Suzuki
{"title":"日本192例尸检病例肾小球半乳糖缺乏IgA1沉积","authors":"Yoshihito Nihei, Ryousuke Aoki, Keiichi Matsuzaki, Ayako Koizumi, Harumi Saeki, Ikumi Sakai, Masao Kihara, Takashi Yao, Yusuke Suzuki","doi":"10.1111/nep.70128","DOIUrl":null,"url":null,"abstract":"<p><strong>Aim: </strong>Glomerular IgA deposition is incidentally observed in asymptomatic individuals; however, it remains unclear whether these cases represent a preclinical stage of IgA nephropathy (IgAN). We aimed to address this question by staining kidney samples from autopsy cases with the anti-galactose-deficient IgA1 (Gd-IgA1: the key effector molecule in the pathogenesis of IgAN) antibody, KM55.</p><p><strong>Methods: </strong>Kidney samples from 192 autopsy cases in Japan were stained with anti-IgA antibody and KM55. The deposition of complement C3, IgG and IgM in glomeruli, as well as the histological findings and clinical data were analysed in cases positive for glomerular IgA.</p><p><strong>Results: </strong>Glomerular IgA deposition was detected in 13 cases (6.8%), all of which were stained with KM55. Of 10 cases with available urinary data prior to admission, six did not have abnormal urinary findings. 7 of 13 were positive for glomerular Gd-IgA1 alone without obvious histological changes. Glomerular IgG and IgM were detected in 1 of 13 and 5 of 13 cases, respectively. 2 of 13 were positive for glomerular C3, with one showing mesangial proliferation.</p><p><strong>Conclusion: </strong>Our results indicate that asymptomatic cases with glomerular IgA deposition may frequently include subclinical IgAN, characterised by glomerular deposition of Gd-IgA1 (KM55-positive) without prominent histopathological changes or obvious clinical symptoms.</p>","PeriodicalId":520716,"journal":{"name":"Nephrology (Carlton, Vic.)","volume":"30 9","pages":"e70128"},"PeriodicalIF":1.9000,"publicationDate":"2025-09-01","publicationTypes":"Journal Article","fieldsOfStudy":null,"isOpenAccess":false,"openAccessPdf":"https://www.ncbi.nlm.nih.gov/pmc/articles/PMC12446749/pdf/","citationCount":"0","resultStr":"{\"title\":\"Glomerular Galactose-Deficient IgA1 Deposition in 192 Autopsy Cases in Japan.\",\"authors\":\"Yoshihito Nihei, Ryousuke Aoki, Keiichi Matsuzaki, Ayako Koizumi, Harumi Saeki, Ikumi Sakai, Masao Kihara, Takashi Yao, Yusuke Suzuki\",\"doi\":\"10.1111/nep.70128\",\"DOIUrl\":null,\"url\":null,\"abstract\":\"<p><strong>Aim: </strong>Glomerular IgA deposition is incidentally observed in asymptomatic individuals; however, it remains unclear whether these cases represent a preclinical stage of IgA nephropathy (IgAN). We aimed to address this question by staining kidney samples from autopsy cases with the anti-galactose-deficient IgA1 (Gd-IgA1: the key effector molecule in the pathogenesis of IgAN) antibody, KM55.</p><p><strong>Methods: </strong>Kidney samples from 192 autopsy cases in Japan were stained with anti-IgA antibody and KM55. The deposition of complement C3, IgG and IgM in glomeruli, as well as the histological findings and clinical data were analysed in cases positive for glomerular IgA.</p><p><strong>Results: </strong>Glomerular IgA deposition was detected in 13 cases (6.8%), all of which were stained with KM55. Of 10 cases with available urinary data prior to admission, six did not have abnormal urinary findings. 7 of 13 were positive for glomerular Gd-IgA1 alone without obvious histological changes. Glomerular IgG and IgM were detected in 1 of 13 and 5 of 13 cases, respectively. 2 of 13 were positive for glomerular C3, with one showing mesangial proliferation.</p><p><strong>Conclusion: </strong>Our results indicate that asymptomatic cases with glomerular IgA deposition may frequently include subclinical IgAN, characterised by glomerular deposition of Gd-IgA1 (KM55-positive) without prominent histopathological changes or obvious clinical symptoms.</p>\",\"PeriodicalId\":520716,\"journal\":{\"name\":\"Nephrology (Carlton, Vic.)\",\"volume\":\"30 9\",\"pages\":\"e70128\"},\"PeriodicalIF\":1.9000,\"publicationDate\":\"2025-09-01\",\"publicationTypes\":\"Journal Article\",\"fieldsOfStudy\":null,\"isOpenAccess\":false,\"openAccessPdf\":\"https://www.ncbi.nlm.nih.gov/pmc/articles/PMC12446749/pdf/\",\"citationCount\":\"0\",\"resultStr\":null,\"platform\":\"Semanticscholar\",\"paperid\":null,\"PeriodicalName\":\"Nephrology (Carlton, Vic.)\",\"FirstCategoryId\":\"1085\",\"ListUrlMain\":\"https://doi.org/10.1111/nep.70128\",\"RegionNum\":0,\"RegionCategory\":null,\"ArticlePicture\":[],\"TitleCN\":null,\"AbstractTextCN\":null,\"PMCID\":null,\"EPubDate\":\"\",\"PubModel\":\"\",\"JCR\":\"\",\"JCRName\":\"\",\"Score\":null,\"Total\":0}","platform":"Semanticscholar","paperid":null,"PeriodicalName":"Nephrology (Carlton, Vic.)","FirstCategoryId":"1085","ListUrlMain":"https://doi.org/10.1111/nep.70128","RegionNum":0,"RegionCategory":null,"ArticlePicture":[],"TitleCN":null,"AbstractTextCN":null,"PMCID":null,"EPubDate":"","PubModel":"","JCR":"","JCRName":"","Score":null,"Total":0}
引用次数: 0

摘要

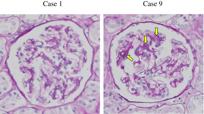
目的:在无症状个体中偶然观察到肾小球IgA沉积;然而,尚不清楚这些病例是否代表IgA肾病(IgAN)的临床前阶段。我们的目的是通过用抗半乳糖缺乏的IgA1 (Gd-IgA1: IgAN发病机制中的关键效应分子)抗体KM55对尸检病例的肾脏样本进行染色来解决这个问题。方法:对日本192例尸检肾标本进行抗iga抗体和KM55染色。分析肾小球IgA阳性患者的补体C3、IgG、IgM在肾小球中的沉积情况,以及肾小球IgA阳性患者的组织学表现和临床资料。结果:肾小球IgA沉积13例(6.8%),均行KM55染色。入院前有泌尿系统资料的10例患者中,6例未发现异常。13例患者中有7例单独肾小球Gd-IgA1阳性,未见明显组织学改变。13例患者中1例检测到肾小球IgG, 5例检测到IgM。13例中2例肾小球C3阳性,1例肾小球系膜增生。结论:我们的研究结果表明,无症状的肾小球IgA沉积病例可能经常包括亚临床IgAN,其特征是肾小球中Gd-IgA1沉积(km55阳性),没有明显的组织病理学改变或明显的临床症状。
本文章由计算机程序翻译,如有差异,请以英文原文为准。

Glomerular Galactose-Deficient IgA1 Deposition in 192 Autopsy Cases in Japan.

Glomerular Galactose-Deficient IgA1 Deposition in 192 Autopsy Cases in Japan.

Glomerular Galactose-Deficient IgA1 Deposition in 192 Autopsy Cases in Japan.

Glomerular Galactose-Deficient IgA1 Deposition in 192 Autopsy Cases in Japan.

Aim: Glomerular IgA deposition is incidentally observed in asymptomatic individuals; however, it remains unclear whether these cases represent a preclinical stage of IgA nephropathy (IgAN). We aimed to address this question by staining kidney samples from autopsy cases with the anti-galactose-deficient IgA1 (Gd-IgA1: the key effector molecule in the pathogenesis of IgAN) antibody, KM55.

Methods: Kidney samples from 192 autopsy cases in Japan were stained with anti-IgA antibody and KM55. The deposition of complement C3, IgG and IgM in glomeruli, as well as the histological findings and clinical data were analysed in cases positive for glomerular IgA.

Results: Glomerular IgA deposition was detected in 13 cases (6.8%), all of which were stained with KM55. Of 10 cases with available urinary data prior to admission, six did not have abnormal urinary findings. 7 of 13 were positive for glomerular Gd-IgA1 alone without obvious histological changes. Glomerular IgG and IgM were detected in 1 of 13 and 5 of 13 cases, respectively. 2 of 13 were positive for glomerular C3, with one showing mesangial proliferation.

Conclusion: Our results indicate that asymptomatic cases with glomerular IgA deposition may frequently include subclinical IgAN, characterised by glomerular deposition of Gd-IgA1 (KM55-positive) without prominent histopathological changes or obvious clinical symptoms.

求助全文
通过发布文献求助,成功后即可免费获取论文全文。 去求助
来源期刊
自引率
0.00%
发文量
0
×
引用
GB/T 7714-2015
复制
MLA
复制
APA
复制
导出至
BibTeX EndNote RefMan NoteFirst NoteExpress
×
提示
您的信息不完整,为了账户安全,请先补充。
现在去补充
×
提示
您因"违规操作"
具体请查看互助需知
我知道了
×
提示
确定
请完成安全验证×
copy
已复制链接
快去分享给好友吧!
我知道了
右上角分享
点击右上角分享
0
联系我们:info@booksci.cn Book学术提供免费学术资源搜索服务,方便国内外学者检索中英文文献。致力于提供最便捷和优质的服务体验。 Copyright © 2023 布克学术 All rights reserved.
京ICP备2023020795号-1
ghs 京公网安备 11010802042870号
Book学术文献互助
Book学术文献互助群
群 号:604180095
Book学术官方微信