中央线相关性法氏赛博林纳真菌血症:病例报告和诊断和治疗挑战的回顾。

Q3 Medicine
Qatar Medical Journal Pub Date : 2025-09-16 eCollection Date: 2025-01-01 DOI:10.5339/qmj.2025.90
Sreethish Sasi, Gawahir A Ali, Husam Salah, Wael Goravey, Muna Al Maslamani
{"title":"中央线相关性法氏赛博林纳真菌血症:病例报告和诊断和治疗挑战的回顾。","authors":"Sreethish Sasi, Gawahir A Ali, Husam Salah, Wael Goravey, Muna Al Maslamani","doi":"10.5339/qmj.2025.90","DOIUrl":null,"url":null,"abstract":"<p><strong>Introduction: </strong><i>Cyberlindnera fabianii</i> is an uncommon opportunistic yeast increasingly recognized as a cause of invasive fungal infections, particularly in immunocompromised patients and those with indwelling medical devices. Clinical experience remains limited, with most published cases involving neonates or adults with significant comorbidities.</p><p><strong>Case presentation: </strong>We report a case of <i>C</i>. <i>fabianii</i> fungemia in a 26-year-old man with end-stage renal disease on maintenance hemodialysis via a long-term tunneled catheter. The patient presented with fever following dialysis and was found to have leukocytosis and elevated inflammatory markers. Blood cultures from both peripheral and catheter sites grew yeast after 48 hours. Empiric antibacterial therapy was initiated, and the hemodialysis catheter was removed. Antifungal treatment with anidulafungin was started, leading to clinical improvement. Species identification was achieved using matrix-assisted laser desorption/ionization time-of-flight mass spectrometry (MALDI-TOF MS), which revealed <i>C</i>. <i>fabianii</i>. Antifungal susceptibility testing demonstrated low minimum inhibitory concentrations (MICs) for echinocandins and variable susceptibility to azoles. The patient completed a 14-day course of anidulafungin with full recovery.</p><p><strong>Discussion: </strong>This case underscores the importance of accurate identification of rare yeasts such as <i>C</i>. <i>fabianii</i>, which may be misidentified as other less pathogenic species. MALDI-TOF MS and molecular diagnostics are critical tools for early detection. Due to its potential for azole resistance and biofilm formation, echinocandins appear to be an effective treatment option. Prompt catheter removal and appropriate antifungal therapy were pivotal to the patient's successful outcome.</p><p><strong>Conclusion: </strong><i>C</i>. <i>fabianii</i> should be considered in patients with fungemia and risk factors for invasive candidiasis, especially when initial identification is inconclusive. Awareness of this emerging pathogen and its management is essential to ensure timely intervention and improve clinical outcomes.</p>","PeriodicalId":53667,"journal":{"name":"Qatar Medical Journal","volume":"2025 3","pages":"90"},"PeriodicalIF":0.0000,"publicationDate":"2025-09-16","publicationTypes":"Journal Article","fieldsOfStudy":null,"isOpenAccess":false,"openAccessPdf":"https://www.ncbi.nlm.nih.gov/pmc/articles/PMC12442310/pdf/","citationCount":"0","resultStr":"{\"title\":\"Central line-associated <i>Cyberlindnera fabianii</i> fungemia: A case report and review of diagnostic and therapeutic challenges.\",\"authors\":\"Sreethish Sasi, Gawahir A Ali, Husam Salah, Wael Goravey, Muna Al Maslamani\",\"doi\":\"10.5339/qmj.2025.90\",\"DOIUrl\":null,\"url\":null,\"abstract\":\"<p><strong>Introduction: </strong><i>Cyberlindnera fabianii</i> is an uncommon opportunistic yeast increasingly recognized as a cause of invasive fungal infections, particularly in immunocompromised patients and those with indwelling medical devices. Clinical experience remains limited, with most published cases involving neonates or adults with significant comorbidities.</p><p><strong>Case presentation: </strong>We report a case of <i>C</i>. <i>fabianii</i> fungemia in a 26-year-old man with end-stage renal disease on maintenance hemodialysis via a long-term tunneled catheter. The patient presented with fever following dialysis and was found to have leukocytosis and elevated inflammatory markers. Blood cultures from both peripheral and catheter sites grew yeast after 48 hours. Empiric antibacterial therapy was initiated, and the hemodialysis catheter was removed. Antifungal treatment with anidulafungin was started, leading to clinical improvement. Species identification was achieved using matrix-assisted laser desorption/ionization time-of-flight mass spectrometry (MALDI-TOF MS), which revealed <i>C</i>. <i>fabianii</i>. Antifungal susceptibility testing demonstrated low minimum inhibitory concentrations (MICs) for echinocandins and variable susceptibility to azoles. The patient completed a 14-day course of anidulafungin with full recovery.</p><p><strong>Discussion: </strong>This case underscores the importance of accurate identification of rare yeasts such as <i>C</i>. <i>fabianii</i>, which may be misidentified as other less pathogenic species. MALDI-TOF MS and molecular diagnostics are critical tools for early detection. Due to its potential for azole resistance and biofilm formation, echinocandins appear to be an effective treatment option. Prompt catheter removal and appropriate antifungal therapy were pivotal to the patient's successful outcome.</p><p><strong>Conclusion: </strong><i>C</i>. <i>fabianii</i> should be considered in patients with fungemia and risk factors for invasive candidiasis, especially when initial identification is inconclusive. Awareness of this emerging pathogen and its management is essential to ensure timely intervention and improve clinical outcomes.</p>\",\"PeriodicalId\":53667,\"journal\":{\"name\":\"Qatar Medical Journal\",\"volume\":\"2025 3\",\"pages\":\"90\"},\"PeriodicalIF\":0.0000,\"publicationDate\":\"2025-09-16\",\"publicationTypes\":\"Journal Article\",\"fieldsOfStudy\":null,\"isOpenAccess\":false,\"openAccessPdf\":\"https://www.ncbi.nlm.nih.gov/pmc/articles/PMC12442310/pdf/\",\"citationCount\":\"0\",\"resultStr\":null,\"platform\":\"Semanticscholar\",\"paperid\":null,\"PeriodicalName\":\"Qatar Medical Journal\",\"FirstCategoryId\":\"1085\",\"ListUrlMain\":\"https://doi.org/10.5339/qmj.2025.90\",\"RegionNum\":0,\"RegionCategory\":null,\"ArticlePicture\":[],\"TitleCN\":null,\"AbstractTextCN\":null,\"PMCID\":null,\"EPubDate\":\"2025/1/1 0:00:00\",\"PubModel\":\"eCollection\",\"JCR\":\"Q3\",\"JCRName\":\"Medicine\",\"Score\":null,\"Total\":0}","platform":"Semanticscholar","paperid":null,"PeriodicalName":"Qatar Medical Journal","FirstCategoryId":"1085","ListUrlMain":"https://doi.org/10.5339/qmj.2025.90","RegionNum":0,"RegionCategory":null,"ArticlePicture":[],"TitleCN":null,"AbstractTextCN":null,"PMCID":null,"EPubDate":"2025/1/1 0:00:00","PubModel":"eCollection","JCR":"Q3","JCRName":"Medicine","Score":null,"Total":0}
引用次数: 0

摘要

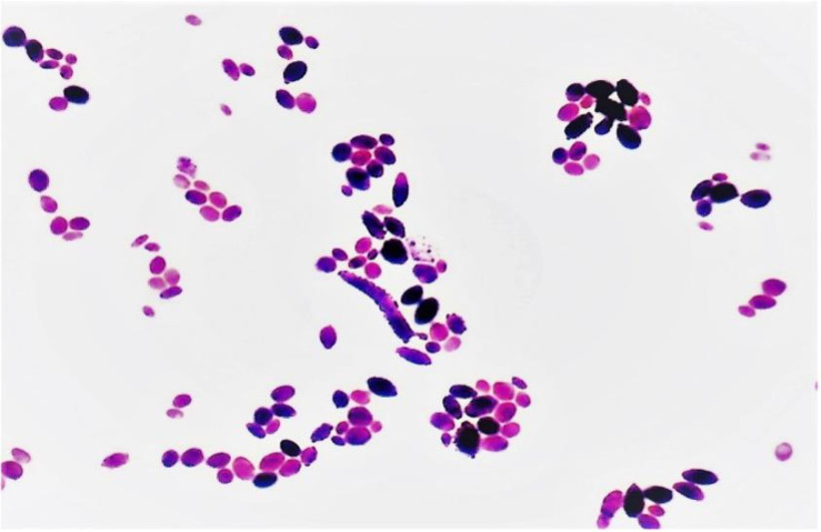
fabiani Cyberlindnera fabiii是一种罕见的机会性酵母菌,越来越被认为是侵袭性真菌感染的原因,特别是在免疫功能低下的患者和那些留置医疗器械。临床经验仍然有限,大多数已发表的病例涉及新生儿或具有显著合并症的成人。病例介绍:我们报告一位26岁终末期肾病患者,通过长期隧道导管进行维持性血液透析。患者在透析后出现发烧,发现有白细胞增多和炎症标志物升高。外周和导管部位的血培养物在48小时后都有酵母菌生长。开始经验性抗菌治疗,并拔除血液透析导管。开始阿尼杜冯宁抗真菌治疗,临床改善。采用基质辅助激光解吸/电离飞行时间质谱法(MALDI-TOF MS)进行物种鉴定。抗真菌药敏试验表明,棘白菌素的最低抑制浓度(mic)较低,对唑类药物的敏感性不同。患者完成了14天的阿尼哌宁疗程,完全恢复。讨论:该病例强调了准确鉴定稀有酵母(如C. fabianii)的重要性,这些酵母可能被误认为其他致病性较低的物种。MALDI-TOF质谱和分子诊断是早期发现的关键工具。由于其潜在的唑抗性和生物膜的形成,棘白菌素似乎是一个有效的治疗选择。及时拔除导管和适当的抗真菌治疗对患者的成功预后至关重要。结论:在真菌血症和侵袭性念珠菌病的危险因素中应考虑费比亚氏梭菌,特别是在初步鉴定不确定的情况下。对这种新出现的病原体的认识及其管理对于确保及时干预和改善临床结果至关重要。
本文章由计算机程序翻译,如有差异,请以英文原文为准。

Central line-associated <i>Cyberlindnera fabianii</i> fungemia: A case report and review of diagnostic and therapeutic challenges.

Central line-associated <i>Cyberlindnera fabianii</i> fungemia: A case report and review of diagnostic and therapeutic challenges.

Central line-associated Cyberlindnera fabianii fungemia: A case report and review of diagnostic and therapeutic challenges.

Introduction: Cyberlindnera fabianii is an uncommon opportunistic yeast increasingly recognized as a cause of invasive fungal infections, particularly in immunocompromised patients and those with indwelling medical devices. Clinical experience remains limited, with most published cases involving neonates or adults with significant comorbidities.

Case presentation: We report a case of C. fabianii fungemia in a 26-year-old man with end-stage renal disease on maintenance hemodialysis via a long-term tunneled catheter. The patient presented with fever following dialysis and was found to have leukocytosis and elevated inflammatory markers. Blood cultures from both peripheral and catheter sites grew yeast after 48 hours. Empiric antibacterial therapy was initiated, and the hemodialysis catheter was removed. Antifungal treatment with anidulafungin was started, leading to clinical improvement. Species identification was achieved using matrix-assisted laser desorption/ionization time-of-flight mass spectrometry (MALDI-TOF MS), which revealed C. fabianii. Antifungal susceptibility testing demonstrated low minimum inhibitory concentrations (MICs) for echinocandins and variable susceptibility to azoles. The patient completed a 14-day course of anidulafungin with full recovery.

Discussion: This case underscores the importance of accurate identification of rare yeasts such as C. fabianii, which may be misidentified as other less pathogenic species. MALDI-TOF MS and molecular diagnostics are critical tools for early detection. Due to its potential for azole resistance and biofilm formation, echinocandins appear to be an effective treatment option. Prompt catheter removal and appropriate antifungal therapy were pivotal to the patient's successful outcome.

Conclusion: C. fabianii should be considered in patients with fungemia and risk factors for invasive candidiasis, especially when initial identification is inconclusive. Awareness of this emerging pathogen and its management is essential to ensure timely intervention and improve clinical outcomes.

求助全文
通过发布文献求助,成功后即可免费获取论文全文。 去求助
来源期刊
Qatar Medical Journal
Qatar Medical Journal Medicine-Medicine (all)
CiteScore
1.80
自引率
0.00%
发文量
77
审稿时长
6 weeks
×
引用
GB/T 7714-2015
复制
MLA
复制
APA
复制
导出至
BibTeX EndNote RefMan NoteFirst NoteExpress
×
提示
您的信息不完整,为了账户安全,请先补充。
现在去补充
×
提示
您因"违规操作"
具体请查看互助需知
我知道了
×
提示
确定
请完成安全验证×
copy
已复制链接
快去分享给好友吧!
我知道了
右上角分享
点击右上角分享
0
联系我们:info@booksci.cn Book学术提供免费学术资源搜索服务,方便国内外学者检索中英文文献。致力于提供最便捷和优质的服务体验。 Copyright © 2023 布克学术 All rights reserved.
京ICP备2023020795号-1
ghs 京公网安备 11010802042870号
Book学术文献互助
Book学术文献互助群
群 号:604180095
Book学术官方微信