健康个体和痔疮患者的动脉血流:基于多普勒超声的病理生理分析

IF 2.3 3区 医学 Q2 GASTROENTEROLOGY & HEPATOLOGY
Gianpiero Gravante, Veronica De Simone, Roberto Sorge, Arcangelo Picciariello, Pierpaolo Sileri, Gaetano Gallo
{"title":"健康个体和痔疮患者的动脉血流:基于多普勒超声的病理生理分析","authors":"Gianpiero Gravante, Veronica De Simone, Roberto Sorge, Arcangelo Picciariello, Pierpaolo Sileri, Gaetano Gallo","doi":"10.1007/s00384-025-04951-5","DOIUrl":null,"url":null,"abstract":"<p><strong>Background: </strong>To evaluate arterial flow patterns in healthy individuals and patients with hemorrhoidal disease (HD) using Doppler transperineal ultrasound (TPUS), aiming to clarify the vascular contribution to HD pathophysiology.</p><p><strong>Methods: </strong>A prospective observational study was conducted on 50 healthy controls (HC) and 94 HD patients classified by Goligher grade. All underwent TPUS with Doppler assessment to record vascular patterns and quantify peak systolic velocity (PSV), end-diastolic velocity (EDV), and resistance index (RI).</p><p><strong>Results: </strong>A vascular Doppler pattern was observed in 92.6% of HD patients vs. 50% of HCs (p < 0.001). HD patients showed significantly higher PSV (11.1 ± 3.6 cm/s vs. 8.3 ± 2.9 cm/s, p < 0.001) and RI (0.8 ± 0.1 vs. 0.7 ± 0.1, p = 0.015), with no significant difference in EDV. Among Goligher groups, grades III and IV showed significantly elevated PSV compared to HCs. No differences were observed in EDV or RI among subgroups.</p><p><strong>Conclusion: </strong>Doppler TPUS can identify distinct hemodynamic profiles in HD patients, supporting a vascular component in HD pathogenesis. Its ability to detect subclinical alterations and distinguish severity grades may enhance diagnostic accuracy and guide tailored treatment strategies.</p>","PeriodicalId":13789,"journal":{"name":"International Journal of Colorectal Disease","volume":"40 1","pages":"202"},"PeriodicalIF":2.3000,"publicationDate":"2025-09-19","publicationTypes":"Journal Article","fieldsOfStudy":null,"isOpenAccess":false,"openAccessPdf":"https://www.ncbi.nlm.nih.gov/pmc/articles/PMC12449332/pdf/","citationCount":"0","resultStr":"{\"title\":\"Arterial flow in healthy individuals and patients with hemorrhoidal disease: a Doppler ultrasound-based pathophysiological analysis.\",\"authors\":\"Gianpiero Gravante, Veronica De Simone, Roberto Sorge, Arcangelo Picciariello, Pierpaolo Sileri, Gaetano Gallo\",\"doi\":\"10.1007/s00384-025-04951-5\",\"DOIUrl\":null,\"url\":null,\"abstract\":\"<p><strong>Background: </strong>To evaluate arterial flow patterns in healthy individuals and patients with hemorrhoidal disease (HD) using Doppler transperineal ultrasound (TPUS), aiming to clarify the vascular contribution to HD pathophysiology.</p><p><strong>Methods: </strong>A prospective observational study was conducted on 50 healthy controls (HC) and 94 HD patients classified by Goligher grade. All underwent TPUS with Doppler assessment to record vascular patterns and quantify peak systolic velocity (PSV), end-diastolic velocity (EDV), and resistance index (RI).</p><p><strong>Results: </strong>A vascular Doppler pattern was observed in 92.6% of HD patients vs. 50% of HCs (p < 0.001). HD patients showed significantly higher PSV (11.1 ± 3.6 cm/s vs. 8.3 ± 2.9 cm/s, p < 0.001) and RI (0.8 ± 0.1 vs. 0.7 ± 0.1, p = 0.015), with no significant difference in EDV. Among Goligher groups, grades III and IV showed significantly elevated PSV compared to HCs. No differences were observed in EDV or RI among subgroups.</p><p><strong>Conclusion: </strong>Doppler TPUS can identify distinct hemodynamic profiles in HD patients, supporting a vascular component in HD pathogenesis. Its ability to detect subclinical alterations and distinguish severity grades may enhance diagnostic accuracy and guide tailored treatment strategies.</p>\",\"PeriodicalId\":13789,\"journal\":{\"name\":\"International Journal of Colorectal Disease\",\"volume\":\"40 1\",\"pages\":\"202\"},\"PeriodicalIF\":2.3000,\"publicationDate\":\"2025-09-19\",\"publicationTypes\":\"Journal Article\",\"fieldsOfStudy\":null,\"isOpenAccess\":false,\"openAccessPdf\":\"https://www.ncbi.nlm.nih.gov/pmc/articles/PMC12449332/pdf/\",\"citationCount\":\"0\",\"resultStr\":null,\"platform\":\"Semanticscholar\",\"paperid\":null,\"PeriodicalName\":\"International Journal of Colorectal Disease\",\"FirstCategoryId\":\"3\",\"ListUrlMain\":\"https://doi.org/10.1007/s00384-025-04951-5\",\"RegionNum\":3,\"RegionCategory\":\"医学\",\"ArticlePicture\":[],\"TitleCN\":null,\"AbstractTextCN\":null,\"PMCID\":null,\"EPubDate\":\"\",\"PubModel\":\"\",\"JCR\":\"Q2\",\"JCRName\":\"GASTROENTEROLOGY & HEPATOLOGY\",\"Score\":null,\"Total\":0}","platform":"Semanticscholar","paperid":null,"PeriodicalName":"International Journal of Colorectal Disease","FirstCategoryId":"3","ListUrlMain":"https://doi.org/10.1007/s00384-025-04951-5","RegionNum":3,"RegionCategory":"医学","ArticlePicture":[],"TitleCN":null,"AbstractTextCN":null,"PMCID":null,"EPubDate":"","PubModel":"","JCR":"Q2","JCRName":"GASTROENTEROLOGY & HEPATOLOGY","Score":null,"Total":0}
引用次数: 0

摘要

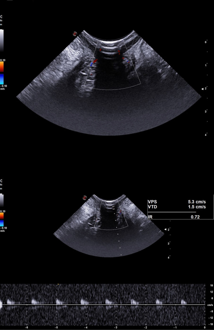
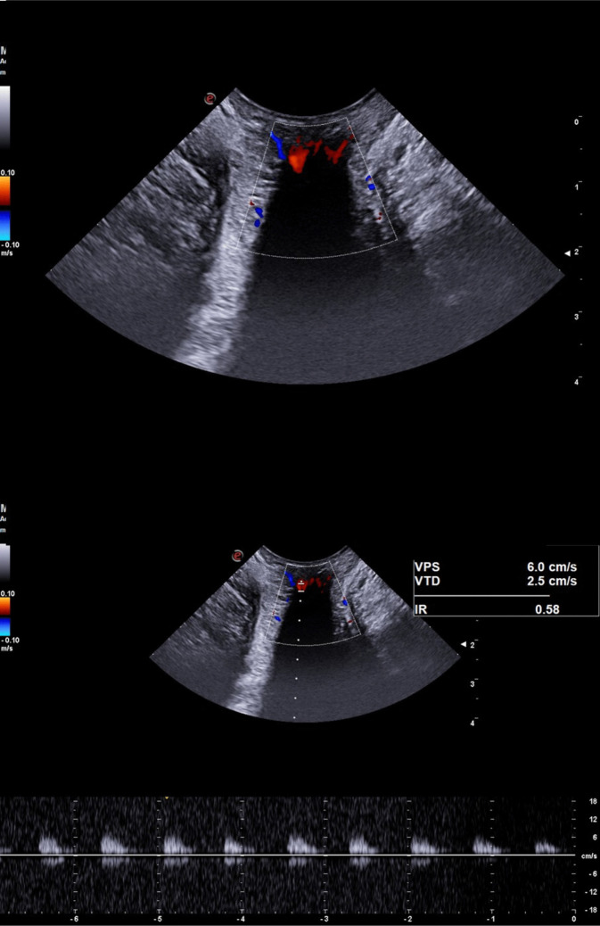
背景:应用多普勒经会阴超声(TPUS)评价健康人及痔疮病(HD)患者的动脉血流模式,旨在阐明血管在HD病理生理中的作用。方法:对50例健康对照(HC)和94例高氏分级HD患者进行前瞻性观察研究。所有患者均行tpu伴多普勒评估,记录血管形态,量化峰值收缩速度(PSV)、舒张末期速度(EDV)和阻力指数(RI)。结果:在92.6%的HD患者和50%的hc患者中观察到血管多普勒模式(p)。结论:多普勒tpu可以识别HD患者不同的血流动力学特征,支持HD发病机制中的血管成分。它检测亚临床改变和区分严重程度的能力可以提高诊断的准确性和指导量身定制的治疗策略。
本文章由计算机程序翻译,如有差异,请以英文原文为准。

Arterial flow in healthy individuals and patients with hemorrhoidal disease: a Doppler ultrasound-based pathophysiological analysis.

Arterial flow in healthy individuals and patients with hemorrhoidal disease: a Doppler ultrasound-based pathophysiological analysis.

Arterial flow in healthy individuals and patients with hemorrhoidal disease: a Doppler ultrasound-based pathophysiological analysis.

Arterial flow in healthy individuals and patients with hemorrhoidal disease: a Doppler ultrasound-based pathophysiological analysis.

Background: To evaluate arterial flow patterns in healthy individuals and patients with hemorrhoidal disease (HD) using Doppler transperineal ultrasound (TPUS), aiming to clarify the vascular contribution to HD pathophysiology.

Methods: A prospective observational study was conducted on 50 healthy controls (HC) and 94 HD patients classified by Goligher grade. All underwent TPUS with Doppler assessment to record vascular patterns and quantify peak systolic velocity (PSV), end-diastolic velocity (EDV), and resistance index (RI).

Results: A vascular Doppler pattern was observed in 92.6% of HD patients vs. 50% of HCs (p < 0.001). HD patients showed significantly higher PSV (11.1 ± 3.6 cm/s vs. 8.3 ± 2.9 cm/s, p < 0.001) and RI (0.8 ± 0.1 vs. 0.7 ± 0.1, p = 0.015), with no significant difference in EDV. Among Goligher groups, grades III and IV showed significantly elevated PSV compared to HCs. No differences were observed in EDV or RI among subgroups.

Conclusion: Doppler TPUS can identify distinct hemodynamic profiles in HD patients, supporting a vascular component in HD pathogenesis. Its ability to detect subclinical alterations and distinguish severity grades may enhance diagnostic accuracy and guide tailored treatment strategies.

求助全文
通过发布文献求助,成功后即可免费获取论文全文。 去求助
来源期刊
CiteScore
4.90
自引率
3.60%
发文量
206
审稿时长
3-8 weeks
期刊介绍: The International Journal of Colorectal Disease, Clinical and Molecular Gastroenterology and Surgery aims to publish novel and state-of-the-art papers which deal with the physiology and pathophysiology of diseases involving the entire gastrointestinal tract. In addition to original research articles, the following categories will be included: reviews (usually commissioned but may also be submitted), case reports, letters to the editor, and protocols on clinical studies. The journal offers its readers an interdisciplinary forum for clinical science and molecular research related to gastrointestinal disease.
×
引用
GB/T 7714-2015
复制
MLA
复制
APA
复制
导出至
BibTeX EndNote RefMan NoteFirst NoteExpress
×
提示
您的信息不完整,为了账户安全,请先补充。
现在去补充
×
提示
您因"违规操作"
具体请查看互助需知
我知道了
×
提示
确定
请完成安全验证×
copy
已复制链接
快去分享给好友吧!
我知道了
右上角分享
点击右上角分享
0
联系我们:info@booksci.cn Book学术提供免费学术资源搜索服务,方便国内外学者检索中英文文献。致力于提供最便捷和优质的服务体验。 Copyright © 2023 布克学术 All rights reserved.
京ICP备2023020795号-1
ghs 京公网安备 11010802042870号
Book学术文献互助
Book学术文献互助群
群 号:604180095
Book学术官方微信