原发性基底细胞癌切除后10年延迟肺转移一例报告及文献复习。

IF 0.7 Q3 MEDICINE, GENERAL & INTERNAL
Case Reports in Medicine Pub Date : 2025-09-10 eCollection Date: 2025-01-01 DOI:10.1155/carm/8239242
Hazhir Moradi, Negar Karavan, Forough Kalantari, Elham Kalantari
{"title":"原发性基底细胞癌切除后10年延迟肺转移一例报告及文献复习。","authors":"Hazhir Moradi, Negar Karavan, Forough Kalantari, Elham Kalantari","doi":"10.1155/carm/8239242","DOIUrl":null,"url":null,"abstract":"<p><p><b>Background:</b> Basal cell carcinoma (BCC) is the most common cutaneous malignancy, characterized by slow progression and a low propensity for metastasis. Metastatic basal cell carcinoma (mBCC) occurs in fewer than 0.1% of the cases, most frequently involving the lungs, lymph nodes, or bones. Although rare, mBCC is associated with poor prognosis and presents unique diagnostic and therapeutic challenges. <b>Case Presentation:</b> We report a 77-year-old male with a remote history of multiple head-and-neck BCCs, including aggressive histologic subtypes (basosquamous and micronodular), treated predominantly with Mohs surgery; the margin status varied across procedures (some tumor free and some positive). Ten years after the initial lesion, the patient developed progressive dyspnea and was found to have bilateral pulmonary nodules on chest CT. PET/CT demonstrated increased FDG uptake, and a CT-guided biopsy of the right lung nodule confirmed mBCC. There was no evidence of local recurrence at the original excision sites. p16/HPV studies were not performed on the prior cutaneous primaries. <b>Conclusion:</b> This case highlights the potential for delayed pulmonary metastasis in BCC, even years after apparently curative treatment. The absence of local recurrence and the bilateral lung involvement suggest hematogenous spread. Clinicians should remain vigilant for metastatic disease in patients with a history of high-risk BCC, particularly when new pulmonary symptoms arise. Imaging and immunohistochemistry are critical for diagnosis, and early detection may improve therapeutic outcomes in this rare and aggressive manifestation. In this patient, the presence of aggressive histologic subtypes and prior positive margins likely increased metastatic risk.</p>","PeriodicalId":9627,"journal":{"name":"Case Reports in Medicine","volume":"2025 ","pages":"8239242"},"PeriodicalIF":0.7000,"publicationDate":"2025-09-10","publicationTypes":"Journal Article","fieldsOfStudy":null,"isOpenAccess":false,"openAccessPdf":"https://www.ncbi.nlm.nih.gov/pmc/articles/PMC12443512/pdf/","citationCount":"0","resultStr":"{\"title\":\"Delayed Pulmonary Metastasis of Basal Cell Carcinoma 10 Years After Primary Excision: A Case Report and Literature Review.\",\"authors\":\"Hazhir Moradi, Negar Karavan, Forough Kalantari, Elham Kalantari\",\"doi\":\"10.1155/carm/8239242\",\"DOIUrl\":null,\"url\":null,\"abstract\":\"<p><p><b>Background:</b> Basal cell carcinoma (BCC) is the most common cutaneous malignancy, characterized by slow progression and a low propensity for metastasis. Metastatic basal cell carcinoma (mBCC) occurs in fewer than 0.1% of the cases, most frequently involving the lungs, lymph nodes, or bones. Although rare, mBCC is associated with poor prognosis and presents unique diagnostic and therapeutic challenges. <b>Case Presentation:</b> We report a 77-year-old male with a remote history of multiple head-and-neck BCCs, including aggressive histologic subtypes (basosquamous and micronodular), treated predominantly with Mohs surgery; the margin status varied across procedures (some tumor free and some positive). Ten years after the initial lesion, the patient developed progressive dyspnea and was found to have bilateral pulmonary nodules on chest CT. PET/CT demonstrated increased FDG uptake, and a CT-guided biopsy of the right lung nodule confirmed mBCC. There was no evidence of local recurrence at the original excision sites. p16/HPV studies were not performed on the prior cutaneous primaries. <b>Conclusion:</b> This case highlights the potential for delayed pulmonary metastasis in BCC, even years after apparently curative treatment. The absence of local recurrence and the bilateral lung involvement suggest hematogenous spread. Clinicians should remain vigilant for metastatic disease in patients with a history of high-risk BCC, particularly when new pulmonary symptoms arise. Imaging and immunohistochemistry are critical for diagnosis, and early detection may improve therapeutic outcomes in this rare and aggressive manifestation. In this patient, the presence of aggressive histologic subtypes and prior positive margins likely increased metastatic risk.</p>\",\"PeriodicalId\":9627,\"journal\":{\"name\":\"Case Reports in Medicine\",\"volume\":\"2025 \",\"pages\":\"8239242\"},\"PeriodicalIF\":0.7000,\"publicationDate\":\"2025-09-10\",\"publicationTypes\":\"Journal Article\",\"fieldsOfStudy\":null,\"isOpenAccess\":false,\"openAccessPdf\":\"https://www.ncbi.nlm.nih.gov/pmc/articles/PMC12443512/pdf/\",\"citationCount\":\"0\",\"resultStr\":null,\"platform\":\"Semanticscholar\",\"paperid\":null,\"PeriodicalName\":\"Case Reports in Medicine\",\"FirstCategoryId\":\"1085\",\"ListUrlMain\":\"https://doi.org/10.1155/carm/8239242\",\"RegionNum\":0,\"RegionCategory\":null,\"ArticlePicture\":[],\"TitleCN\":null,\"AbstractTextCN\":null,\"PMCID\":null,\"EPubDate\":\"2025/1/1 0:00:00\",\"PubModel\":\"eCollection\",\"JCR\":\"Q3\",\"JCRName\":\"MEDICINE, GENERAL & INTERNAL\",\"Score\":null,\"Total\":0}","platform":"Semanticscholar","paperid":null,"PeriodicalName":"Case Reports in Medicine","FirstCategoryId":"1085","ListUrlMain":"https://doi.org/10.1155/carm/8239242","RegionNum":0,"RegionCategory":null,"ArticlePicture":[],"TitleCN":null,"AbstractTextCN":null,"PMCID":null,"EPubDate":"2025/1/1 0:00:00","PubModel":"eCollection","JCR":"Q3","JCRName":"MEDICINE, GENERAL & INTERNAL","Score":null,"Total":0}
引用次数: 0

摘要

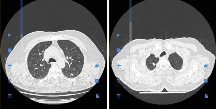
背景:基底细胞癌(BCC)是最常见的皮肤恶性肿瘤,其特点是进展缓慢,转移倾向低。转移性基底细胞癌(mBCC)的发生率不到0.1%,最常累及肺、淋巴结或骨骼。虽然罕见,但mBCC与预后不良有关,并提出了独特的诊断和治疗挑战。病例介绍:我们报告一名77岁男性,患有多发性头颈部基底细胞癌,包括侵袭性组织学亚型(基底鳞状和微结节状),主要采用Mohs手术治疗;切缘状态因手术而异(有的无肿瘤,有的呈阳性)。最初病变十年后,患者出现进行性呼吸困难,胸部CT发现双侧肺结节。PET/CT显示FDG摄取增加,CT引导下右肺结节活检证实mBCC。在原来的切除部位没有局部复发的证据。p16/HPV研究未在先前的皮肤原发灶上进行。结论:本病例强调了BCC迟发性肺转移的可能性,甚至在明显治愈治疗后数年。没有局部复发和双侧肺受累提示血行性扩散。临床医生应该对有高危基底细胞癌病史的患者的转移性疾病保持警惕,特别是当出现新的肺部症状时。成像和免疫组织化学对诊断至关重要,早期发现可以改善这种罕见的侵袭性表现的治疗效果。在该患者中,侵袭性组织学亚型和既往阳性切缘的存在可能增加转移风险。
本文章由计算机程序翻译,如有差异,请以英文原文为准。

Delayed Pulmonary Metastasis of Basal Cell Carcinoma 10 Years After Primary Excision: A Case Report and Literature Review.

Delayed Pulmonary Metastasis of Basal Cell Carcinoma 10 Years After Primary Excision: A Case Report and Literature Review.

Delayed Pulmonary Metastasis of Basal Cell Carcinoma 10 Years After Primary Excision: A Case Report and Literature Review.

Background: Basal cell carcinoma (BCC) is the most common cutaneous malignancy, characterized by slow progression and a low propensity for metastasis. Metastatic basal cell carcinoma (mBCC) occurs in fewer than 0.1% of the cases, most frequently involving the lungs, lymph nodes, or bones. Although rare, mBCC is associated with poor prognosis and presents unique diagnostic and therapeutic challenges. Case Presentation: We report a 77-year-old male with a remote history of multiple head-and-neck BCCs, including aggressive histologic subtypes (basosquamous and micronodular), treated predominantly with Mohs surgery; the margin status varied across procedures (some tumor free and some positive). Ten years after the initial lesion, the patient developed progressive dyspnea and was found to have bilateral pulmonary nodules on chest CT. PET/CT demonstrated increased FDG uptake, and a CT-guided biopsy of the right lung nodule confirmed mBCC. There was no evidence of local recurrence at the original excision sites. p16/HPV studies were not performed on the prior cutaneous primaries. Conclusion: This case highlights the potential for delayed pulmonary metastasis in BCC, even years after apparently curative treatment. The absence of local recurrence and the bilateral lung involvement suggest hematogenous spread. Clinicians should remain vigilant for metastatic disease in patients with a history of high-risk BCC, particularly when new pulmonary symptoms arise. Imaging and immunohistochemistry are critical for diagnosis, and early detection may improve therapeutic outcomes in this rare and aggressive manifestation. In this patient, the presence of aggressive histologic subtypes and prior positive margins likely increased metastatic risk.

求助全文
通过发布文献求助,成功后即可免费获取论文全文。 去求助
来源期刊
Case Reports in Medicine
Case Reports in Medicine MEDICINE, GENERAL & INTERNAL-
CiteScore
1.70
自引率
0.00%
发文量
53
审稿时长
13 weeks
×
引用
GB/T 7714-2015
复制
MLA
复制
APA
复制
导出至
BibTeX EndNote RefMan NoteFirst NoteExpress
×
提示
您的信息不完整,为了账户安全,请先补充。
现在去补充
×
提示
您因"违规操作"
具体请查看互助需知
我知道了
×
提示
确定
请完成安全验证×
copy
已复制链接
快去分享给好友吧!
我知道了
右上角分享
点击右上角分享
0
联系我们:info@booksci.cn Book学术提供免费学术资源搜索服务,方便国内外学者检索中英文文献。致力于提供最便捷和优质的服务体验。 Copyright © 2023 布克学术 All rights reserved.
京ICP备2023020795号-1
ghs 京公网安备 11010802042870号
Book学术文献互助
Book学术文献互助群
群 号:604180095
Book学术官方微信