贝伐单抗/辛替单抗/Lenvatinib三联疗法对多重难治性HBV-HCC的持久控制。

IF 2.6 4区 医学 Q3 ONCOLOGY
Cancer Management and Research Pub Date : 2025-09-13 eCollection Date: 2025-01-01 DOI:10.2147/CMAR.S547885
Jian Wang, Junhui Wang, Jianxin Chen
{"title":"贝伐单抗/辛替单抗/Lenvatinib三联疗法对多重难治性HBV-HCC的持久控制。","authors":"Jian Wang, Junhui Wang, Jianxin Chen","doi":"10.2147/CMAR.S547885","DOIUrl":null,"url":null,"abstract":"<p><strong>Background: </strong>Advanced HCC progressing after standard first-line immune checkpoint inhibitor (ICI)/antiangiogenic therapy and second-line tyrosine kinase inhibitors (TKIs) has limited treatment options.</p><p><strong>Case presentation: </strong>A 67-year-old male with HBV-related HCC (cT2N1M0, Child-Pugh B) exhibited rapid progression after transarterial chemoembolization, bevacizumab/sintilimab, and lenvatinib monotherapy. Salvage triplet therapy with bevacizumab (400 mg IV q3w), sintilimab (200 mg IV q3w), and lenvatinib (8 mg daily) achieved >50% alpha-fetoprotein (AFP) reduction within two cycles and sustained radiologic disease stabilization for 10 months, with only grade 1 fatigue and hemoptysis.</p><p><strong>Conclusion: </strong>This is the first documented case of bevacizumab/sintilimab/lenvatinib triplet efficacy in triple-class refractory HCC, suggesting potential synergistic mechanisms and feasibility even in Child-Pugh B patients. These findings warrant further investigation in prospective studies.</p>","PeriodicalId":9479,"journal":{"name":"Cancer Management and Research","volume":"17 ","pages":"1981-1987"},"PeriodicalIF":2.6000,"publicationDate":"2025-09-13","publicationTypes":"Journal Article","fieldsOfStudy":null,"isOpenAccess":false,"openAccessPdf":"https://www.ncbi.nlm.nih.gov/pmc/articles/PMC12442910/pdf/","citationCount":"0","resultStr":"{\"title\":\"Durable Control of Multi-Refractory HBV-HCC with Bevacizumab/Sintilimab/Lenvatinib Triplet Therapy.\",\"authors\":\"Jian Wang, Junhui Wang, Jianxin Chen\",\"doi\":\"10.2147/CMAR.S547885\",\"DOIUrl\":null,\"url\":null,\"abstract\":\"<p><strong>Background: </strong>Advanced HCC progressing after standard first-line immune checkpoint inhibitor (ICI)/antiangiogenic therapy and second-line tyrosine kinase inhibitors (TKIs) has limited treatment options.</p><p><strong>Case presentation: </strong>A 67-year-old male with HBV-related HCC (cT2N1M0, Child-Pugh B) exhibited rapid progression after transarterial chemoembolization, bevacizumab/sintilimab, and lenvatinib monotherapy. Salvage triplet therapy with bevacizumab (400 mg IV q3w), sintilimab (200 mg IV q3w), and lenvatinib (8 mg daily) achieved >50% alpha-fetoprotein (AFP) reduction within two cycles and sustained radiologic disease stabilization for 10 months, with only grade 1 fatigue and hemoptysis.</p><p><strong>Conclusion: </strong>This is the first documented case of bevacizumab/sintilimab/lenvatinib triplet efficacy in triple-class refractory HCC, suggesting potential synergistic mechanisms and feasibility even in Child-Pugh B patients. These findings warrant further investigation in prospective studies.</p>\",\"PeriodicalId\":9479,\"journal\":{\"name\":\"Cancer Management and Research\",\"volume\":\"17 \",\"pages\":\"1981-1987\"},\"PeriodicalIF\":2.6000,\"publicationDate\":\"2025-09-13\",\"publicationTypes\":\"Journal Article\",\"fieldsOfStudy\":null,\"isOpenAccess\":false,\"openAccessPdf\":\"https://www.ncbi.nlm.nih.gov/pmc/articles/PMC12442910/pdf/\",\"citationCount\":\"0\",\"resultStr\":null,\"platform\":\"Semanticscholar\",\"paperid\":null,\"PeriodicalName\":\"Cancer Management and Research\",\"FirstCategoryId\":\"3\",\"ListUrlMain\":\"https://doi.org/10.2147/CMAR.S547885\",\"RegionNum\":4,\"RegionCategory\":\"医学\",\"ArticlePicture\":[],\"TitleCN\":null,\"AbstractTextCN\":null,\"PMCID\":null,\"EPubDate\":\"2025/1/1 0:00:00\",\"PubModel\":\"eCollection\",\"JCR\":\"Q3\",\"JCRName\":\"ONCOLOGY\",\"Score\":null,\"Total\":0}","platform":"Semanticscholar","paperid":null,"PeriodicalName":"Cancer Management and Research","FirstCategoryId":"3","ListUrlMain":"https://doi.org/10.2147/CMAR.S547885","RegionNum":4,"RegionCategory":"医学","ArticlePicture":[],"TitleCN":null,"AbstractTextCN":null,"PMCID":null,"EPubDate":"2025/1/1 0:00:00","PubModel":"eCollection","JCR":"Q3","JCRName":"ONCOLOGY","Score":null,"Total":0}
引用次数: 0

摘要

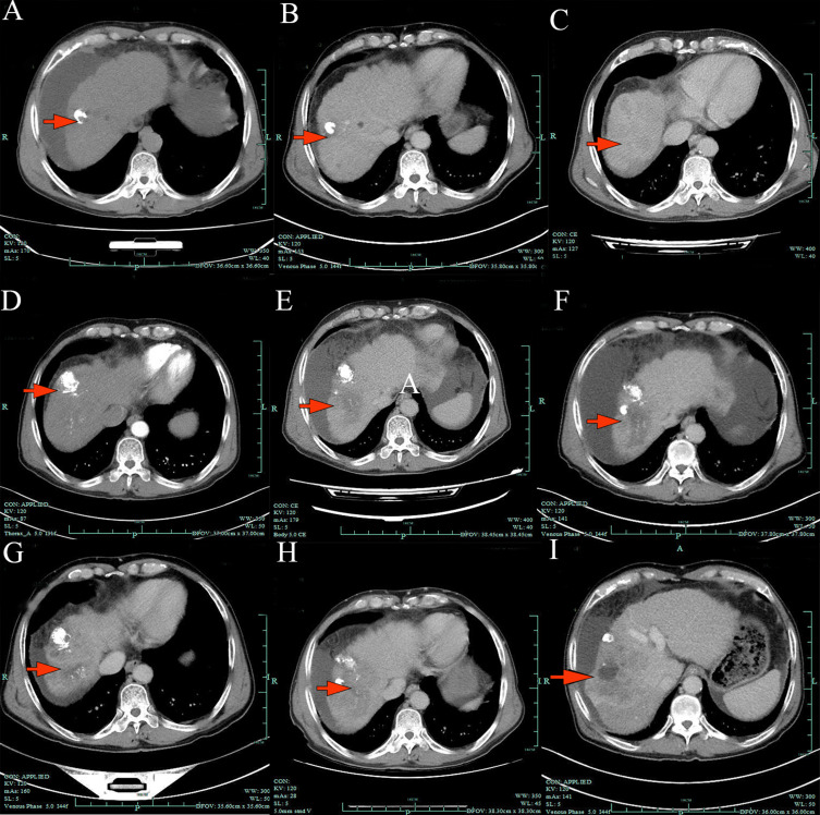
背景:在标准的一线免疫检查点抑制剂(ICI)/抗血管生成治疗和二线酪氨酸激酶抑制剂(TKIs)治疗后进展的晚期HCC治疗选择有限。病例介绍:一名67岁男性hbv相关HCC (cT2N1M0, Child-Pugh B)在经动脉化疗栓塞、贝伐单抗/辛替单抗和lenvatinib单药治疗后表现出快速进展。贝伐单抗(400mg IV q3w)、辛替单抗(200mg IV q3w)和lenvatinib (8mg每日)的挽救性三联疗法在两个周期内实现了50%的甲胎蛋白(AFP)降低,并持续10个月的放射学疾病稳定,只有1级疲劳和咯血。结论:这是首次有文献记载的贝伐单抗/辛替单抗/lenvatinib三联药治疗三级难治性HCC的疗效,提示Child-Pugh B患者也可能存在协同作用机制和可行性。这些发现值得在前瞻性研究中进一步调查。
本文章由计算机程序翻译,如有差异,请以英文原文为准。

Durable Control of Multi-Refractory HBV-HCC with Bevacizumab/Sintilimab/Lenvatinib Triplet Therapy.

Durable Control of Multi-Refractory HBV-HCC with Bevacizumab/Sintilimab/Lenvatinib Triplet Therapy.

Durable Control of Multi-Refractory HBV-HCC with Bevacizumab/Sintilimab/Lenvatinib Triplet Therapy.

Durable Control of Multi-Refractory HBV-HCC with Bevacizumab/Sintilimab/Lenvatinib Triplet Therapy.

Background: Advanced HCC progressing after standard first-line immune checkpoint inhibitor (ICI)/antiangiogenic therapy and second-line tyrosine kinase inhibitors (TKIs) has limited treatment options.

Case presentation: A 67-year-old male with HBV-related HCC (cT2N1M0, Child-Pugh B) exhibited rapid progression after transarterial chemoembolization, bevacizumab/sintilimab, and lenvatinib monotherapy. Salvage triplet therapy with bevacizumab (400 mg IV q3w), sintilimab (200 mg IV q3w), and lenvatinib (8 mg daily) achieved >50% alpha-fetoprotein (AFP) reduction within two cycles and sustained radiologic disease stabilization for 10 months, with only grade 1 fatigue and hemoptysis.

Conclusion: This is the first documented case of bevacizumab/sintilimab/lenvatinib triplet efficacy in triple-class refractory HCC, suggesting potential synergistic mechanisms and feasibility even in Child-Pugh B patients. These findings warrant further investigation in prospective studies.

求助全文
通过发布文献求助,成功后即可免费获取论文全文。 去求助
来源期刊
Cancer Management and Research
Cancer Management and Research Medicine-Oncology
CiteScore
7.40
自引率
0.00%
发文量
448
审稿时长
16 weeks
期刊介绍: Cancer Management and Research is an international, peer reviewed, open access journal focusing on cancer research and the optimal use of preventative and integrated treatment interventions to achieve improved outcomes, enhanced survival, and quality of life for cancer patients. Specific topics covered in the journal include: ◦Epidemiology, detection and screening ◦Cellular research and biomarkers ◦Identification of biotargets and agents with novel mechanisms of action ◦Optimal clinical use of existing anticancer agents, including combination therapies ◦Radiation and surgery ◦Palliative care ◦Patient adherence, quality of life, satisfaction The journal welcomes submitted papers covering original research, basic science, clinical & epidemiological studies, reviews & evaluations, guidelines, expert opinion and commentary, and case series that shed novel insights on a disease or disease subtype.
×
引用
GB/T 7714-2015
复制
MLA
复制
APA
复制
导出至
BibTeX EndNote RefMan NoteFirst NoteExpress
×
提示
您的信息不完整,为了账户安全,请先补充。
现在去补充
×
提示
您因"违规操作"
具体请查看互助需知
我知道了
×
提示
确定
请完成安全验证×
copy
已复制链接
快去分享给好友吧!
我知道了
右上角分享
点击右上角分享
0
联系我们:info@booksci.cn Book学术提供免费学术资源搜索服务,方便国内外学者检索中英文文献。致力于提供最便捷和优质的服务体验。 Copyright © 2023 布克学术 All rights reserved.
京ICP备2023020795号-1
ghs 京公网安备 11010802042870号
Book学术文献互助
Book学术文献互助群
群 号:604180095
Book学术官方微信