优化的深度学习加速单次屏气腹部急促,无论有无脂肪饱和,都能改善并加速3特斯拉的腹部成像。

IF 3.2 3区 医学 Q2 RADIOLOGY, NUCLEAR MEDICINE & MEDICAL IMAGING
Qinxuan Tan, Felix Kubicka, Dominik Nickel, Elisabeth Weiland, Bernd Hamm, Dominik Geisel, Moritz Wagner, Thula C Walter-Rittel
{"title":"优化的深度学习加速单次屏气腹部急促,无论有无脂肪饱和,都能改善并加速3特斯拉的腹部成像。","authors":"Qinxuan Tan, Felix Kubicka, Dominik Nickel, Elisabeth Weiland, Bernd Hamm, Dominik Geisel, Moritz Wagner, Thula C Walter-Rittel","doi":"10.1186/s12880-025-01838-3","DOIUrl":null,"url":null,"abstract":"<p><strong>Background: </strong>Deep learning-accelerated single-shot turbo-spin-echo techniques (DL-HASTE) enable single-breath-hold T2-weighted abdominal imaging. However, studies evaluating the image quality of DL-HASTE with and without fat saturation (FS) remain limited. This study aimed to prospectively evaluate the technical feasibility and image quality of abdominal DL-HASTE with and without FS at 3 Tesla.</p><p><strong>Materials and methods: </strong>DL-HASTE of the upper abdomen was acquired with variable sequence parameters regarding FS, flip angle (FA) and field of view (FOV) in 10 healthy volunteers and 50 patients. DL-HASTE sequences were compared to clinical sequences (HASTE, HASTE-FS and T2-TSE-FS BLADE). Two radiologists independently assessed the sequences regarding scores of overall image quality, delineation of abdominal organs, artifacts and fat saturation using a Likert scale (range: 1-5).</p><p><strong>Results: </strong>Breath-hold time of DL-HASTE and DL-HASTE-FS was 21 ± 2 s with fixed FA and 20 ± 2 s with variable FA (p < 0.001), with no overall image quality difference (p > 0.05). DL-HASTE required a 10% larger FOV than DL-HASTE-FS to avoid aliasing artifacts from subcutaneous fat. Both DL-HASTE and DL-HASTE-FS had significantly higher overall image quality scores than standard HASTE acquisitions (DL-HASTE vs. HASTE: 4.8 ± 0.40 vs. 4.1 ± 0.50; DL-HASTE-FS vs. HASTE-FS: 4.6 ± 0.50 vs. 3.6 ± 0.60; p < 0.001). Compared to the T2-TSE-FS BLADE, DL-HASTE-FS provided higher overall image quality (4.6 ± 0.50 vs. 4.3 ± 0.63, p = 0.011). DL-HASTE achieved significant higher image quality (p = 0.006) and higher sharpness score of organs compared to DL-HASTE-FS (p < 0.001).</p><p><strong>Conclusion: </strong>Deep learning-accelerated HASTE with and without fat saturation were both feasible at 3 Tesla and showed improved image quality compared to conventional sequences.</p><p><strong>Trial registration: </strong>Not applicable.</p>","PeriodicalId":9020,"journal":{"name":"BMC Medical Imaging","volume":"25 1","pages":"369"},"PeriodicalIF":3.2000,"publicationDate":"2025-09-18","publicationTypes":"Journal Article","fieldsOfStudy":null,"isOpenAccess":false,"openAccessPdf":"https://www.ncbi.nlm.nih.gov/pmc/articles/PMC12447598/pdf/","citationCount":"0","resultStr":"{\"title\":\"Optimized deep learning-accelerated single-breath-hold abdominal HASTE with and without fat saturation improves and accelerates abdominal imaging at 3 Tesla.\",\"authors\":\"Qinxuan Tan, Felix Kubicka, Dominik Nickel, Elisabeth Weiland, Bernd Hamm, Dominik Geisel, Moritz Wagner, Thula C Walter-Rittel\",\"doi\":\"10.1186/s12880-025-01838-3\",\"DOIUrl\":null,\"url\":null,\"abstract\":\"<p><strong>Background: </strong>Deep learning-accelerated single-shot turbo-spin-echo techniques (DL-HASTE) enable single-breath-hold T2-weighted abdominal imaging. However, studies evaluating the image quality of DL-HASTE with and without fat saturation (FS) remain limited. This study aimed to prospectively evaluate the technical feasibility and image quality of abdominal DL-HASTE with and without FS at 3 Tesla.</p><p><strong>Materials and methods: </strong>DL-HASTE of the upper abdomen was acquired with variable sequence parameters regarding FS, flip angle (FA) and field of view (FOV) in 10 healthy volunteers and 50 patients. DL-HASTE sequences were compared to clinical sequences (HASTE, HASTE-FS and T2-TSE-FS BLADE). Two radiologists independently assessed the sequences regarding scores of overall image quality, delineation of abdominal organs, artifacts and fat saturation using a Likert scale (range: 1-5).</p><p><strong>Results: </strong>Breath-hold time of DL-HASTE and DL-HASTE-FS was 21 ± 2 s with fixed FA and 20 ± 2 s with variable FA (p < 0.001), with no overall image quality difference (p > 0.05). DL-HASTE required a 10% larger FOV than DL-HASTE-FS to avoid aliasing artifacts from subcutaneous fat. Both DL-HASTE and DL-HASTE-FS had significantly higher overall image quality scores than standard HASTE acquisitions (DL-HASTE vs. HASTE: 4.8 ± 0.40 vs. 4.1 ± 0.50; DL-HASTE-FS vs. HASTE-FS: 4.6 ± 0.50 vs. 3.6 ± 0.60; p < 0.001). Compared to the T2-TSE-FS BLADE, DL-HASTE-FS provided higher overall image quality (4.6 ± 0.50 vs. 4.3 ± 0.63, p = 0.011). DL-HASTE achieved significant higher image quality (p = 0.006) and higher sharpness score of organs compared to DL-HASTE-FS (p < 0.001).</p><p><strong>Conclusion: </strong>Deep learning-accelerated HASTE with and without fat saturation were both feasible at 3 Tesla and showed improved image quality compared to conventional sequences.</p><p><strong>Trial registration: </strong>Not applicable.</p>\",\"PeriodicalId\":9020,\"journal\":{\"name\":\"BMC Medical Imaging\",\"volume\":\"25 1\",\"pages\":\"369\"},\"PeriodicalIF\":3.2000,\"publicationDate\":\"2025-09-18\",\"publicationTypes\":\"Journal Article\",\"fieldsOfStudy\":null,\"isOpenAccess\":false,\"openAccessPdf\":\"https://www.ncbi.nlm.nih.gov/pmc/articles/PMC12447598/pdf/\",\"citationCount\":\"0\",\"resultStr\":null,\"platform\":\"Semanticscholar\",\"paperid\":null,\"PeriodicalName\":\"BMC Medical Imaging\",\"FirstCategoryId\":\"3\",\"ListUrlMain\":\"https://doi.org/10.1186/s12880-025-01838-3\",\"RegionNum\":3,\"RegionCategory\":\"医学\",\"ArticlePicture\":[],\"TitleCN\":null,\"AbstractTextCN\":null,\"PMCID\":null,\"EPubDate\":\"\",\"PubModel\":\"\",\"JCR\":\"Q2\",\"JCRName\":\"RADIOLOGY, NUCLEAR MEDICINE & MEDICAL IMAGING\",\"Score\":null,\"Total\":0}","platform":"Semanticscholar","paperid":null,"PeriodicalName":"BMC Medical Imaging","FirstCategoryId":"3","ListUrlMain":"https://doi.org/10.1186/s12880-025-01838-3","RegionNum":3,"RegionCategory":"医学","ArticlePicture":[],"TitleCN":null,"AbstractTextCN":null,"PMCID":null,"EPubDate":"","PubModel":"","JCR":"Q2","JCRName":"RADIOLOGY, NUCLEAR MEDICINE & MEDICAL IMAGING","Score":null,"Total":0}
引用次数: 0

摘要

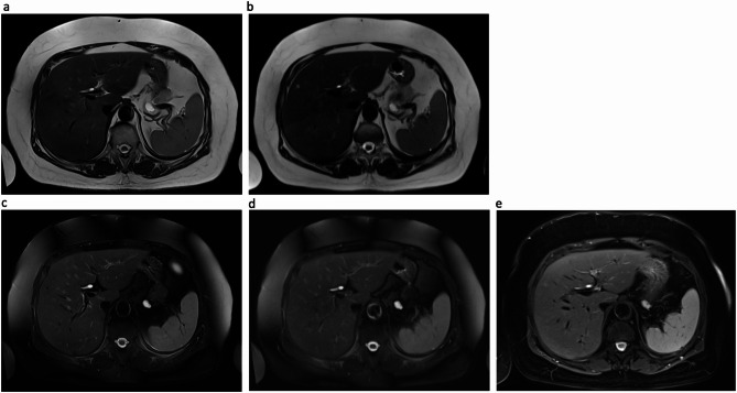
背景:深度学习加速单次涡轮旋转回波技术(DL-HASTE)可以实现单次屏气t2加权腹部成像。然而,评估DL-HASTE在有无脂肪饱和(FS)情况下的图像质量的研究仍然有限。本研究旨在前瞻性评价腹部DL-HASTE在3特斯拉时有无FS的技术可行性和图像质量。材料与方法:采集10名健康志愿者和50名患者的上腹部DL-HASTE,并以不同的序列参数对FS、翻转角(FA)和视场(FOV)进行分析。将dl -匆促序列与临床序列(匆促、匆促- fs和T2-TSE-FS BLADE)进行比较。两名放射科医生使用李克特量表(范围:1-5)独立评估了序列的整体图像质量,腹部器官的描绘,伪影和脂肪饱和度。结果:固定FA组DL-HASTE和DL-HASTE- fs屏气时间为21±2 s,可变FA组为20±2 s (p < 0.05)。dl -哈斯特需要比dl -哈斯特- fs大10%的视场,以避免皮下脂肪产生的混叠伪影。dl -哈斯特和dl -哈斯特- fs的总体图像质量得分明显高于标准的哈斯特采集(dl -哈斯特vs.哈斯特:4.8±0.40 vs. 4.1±0.50;dl -哈斯特- fs vs.哈斯特- fs: 4.6±0.50 vs. 3.6±0.60;p结论:深度学习加速的哈斯特和不饱和脂肪在3特斯拉时都是可行的,与传统序列相比,图像质量有所改善。试验注册:不适用。
本文章由计算机程序翻译,如有差异,请以英文原文为准。

Optimized deep learning-accelerated single-breath-hold abdominal HASTE with and without fat saturation improves and accelerates abdominal imaging at 3 Tesla.

Optimized deep learning-accelerated single-breath-hold abdominal HASTE with and without fat saturation improves and accelerates abdominal imaging at 3 Tesla.

Optimized deep learning-accelerated single-breath-hold abdominal HASTE with and without fat saturation improves and accelerates abdominal imaging at 3 Tesla.

Optimized deep learning-accelerated single-breath-hold abdominal HASTE with and without fat saturation improves and accelerates abdominal imaging at 3 Tesla.

Background: Deep learning-accelerated single-shot turbo-spin-echo techniques (DL-HASTE) enable single-breath-hold T2-weighted abdominal imaging. However, studies evaluating the image quality of DL-HASTE with and without fat saturation (FS) remain limited. This study aimed to prospectively evaluate the technical feasibility and image quality of abdominal DL-HASTE with and without FS at 3 Tesla.

Materials and methods: DL-HASTE of the upper abdomen was acquired with variable sequence parameters regarding FS, flip angle (FA) and field of view (FOV) in 10 healthy volunteers and 50 patients. DL-HASTE sequences were compared to clinical sequences (HASTE, HASTE-FS and T2-TSE-FS BLADE). Two radiologists independently assessed the sequences regarding scores of overall image quality, delineation of abdominal organs, artifacts and fat saturation using a Likert scale (range: 1-5).

Results: Breath-hold time of DL-HASTE and DL-HASTE-FS was 21 ± 2 s with fixed FA and 20 ± 2 s with variable FA (p < 0.001), with no overall image quality difference (p > 0.05). DL-HASTE required a 10% larger FOV than DL-HASTE-FS to avoid aliasing artifacts from subcutaneous fat. Both DL-HASTE and DL-HASTE-FS had significantly higher overall image quality scores than standard HASTE acquisitions (DL-HASTE vs. HASTE: 4.8 ± 0.40 vs. 4.1 ± 0.50; DL-HASTE-FS vs. HASTE-FS: 4.6 ± 0.50 vs. 3.6 ± 0.60; p < 0.001). Compared to the T2-TSE-FS BLADE, DL-HASTE-FS provided higher overall image quality (4.6 ± 0.50 vs. 4.3 ± 0.63, p = 0.011). DL-HASTE achieved significant higher image quality (p = 0.006) and higher sharpness score of organs compared to DL-HASTE-FS (p < 0.001).

Conclusion: Deep learning-accelerated HASTE with and without fat saturation were both feasible at 3 Tesla and showed improved image quality compared to conventional sequences.

Trial registration: Not applicable.

求助全文
通过发布文献求助,成功后即可免费获取论文全文。 去求助
来源期刊
BMC Medical Imaging
BMC Medical Imaging RADIOLOGY, NUCLEAR MEDICINE & MEDICAL IMAGING-
CiteScore
4.60
自引率
3.70%
发文量
198
审稿时长
27 weeks
期刊介绍: BMC Medical Imaging is an open access journal publishing original peer-reviewed research articles in the development, evaluation, and use of imaging techniques and image processing tools to diagnose and manage disease.
×
引用
GB/T 7714-2015
复制
MLA
复制
APA
复制
导出至
BibTeX EndNote RefMan NoteFirst NoteExpress
×
提示
您的信息不完整,为了账户安全,请先补充。
现在去补充
×
提示
您因"违规操作"
具体请查看互助需知
我知道了
×
提示
确定
请完成安全验证×
copy
已复制链接
快去分享给好友吧!
我知道了
右上角分享
点击右上角分享
0
联系我们:info@booksci.cn Book学术提供免费学术资源搜索服务,方便国内外学者检索中英文文献。致力于提供最便捷和优质的服务体验。 Copyright © 2023 布克学术 All rights reserved.
京ICP备2023020795号-1
ghs 京公网安备 11010802042870号
Book学术文献互助
Book学术文献互助群
群 号:604180095
Book学术官方微信