功能性治疗在II类错牙合成长期患者中的软组织评价:下颌前移与双侧阻滞-一项回顾性研究。

IF 1.8 Q3 DENTISTRY, ORAL SURGERY & MEDICINE
Frontiers in dental medicine Pub Date : 2025-09-02 eCollection Date: 2025-01-01 DOI:10.3389/fdmed.2025.1581032
L Lugli, C Pavoni, F C De Razza, F Gazzani, S Loberto, E Cretella Lombardo, P Cozza, R Lione
{"title":"功能性治疗在II类错牙合成长期患者中的软组织评价:下颌前移与双侧阻滞-一项回顾性研究。","authors":"L Lugli, C Pavoni, F C De Razza, F Gazzani, S Loberto, E Cretella Lombardo, P Cozza, R Lione","doi":"10.3389/fdmed.2025.1581032","DOIUrl":null,"url":null,"abstract":"<p><strong>Objective: </strong>The aim of this retrospective study was to assess the soft tissues changes resulting from Class II treatment with functional appliances (Twin Block vs. Mandibular Advancement), when compared to an untreated Class II control group.</p><p><strong>Materials and methods: </strong>The records of 45 Class II patients who underwent treatment with Twin Block (TB group: <i>n</i> = 22; mean age: 11.3 ± 1.4 years) or Mandibular Advancement (MA group: <i>n</i> = 23; mean age: 11.2 ± 1.3 years) were analyzed in comparison with a control sample of untreated Class II subjects (Untreated Control group = 24; mean age: 11.2 ± 1.1 years). The data were collected before treatment (T1) and at the conclusion of the functional therapy phase (T2). Cephalometric modifications were assessed among the three groups using ANOVA and Tukey's <i>post hoc</i> tests.</p><p><strong>Results: </strong>Significant improvements were observed for mandibular sulcus and the facial profile angle in the treated groups compared to the Untreated control group (facial profile angle: TB group: +5.67°; MA group: +6.34°; mandibular sulcus: TB group: +10.0°; MA group: 11.77°). The distance of Pogonion (Pg) to the True Vertical Line (TVL) exhibited significant differences among the three groups, with a more pronounced advancement of the soft tissue pogonion in the TB group (TVL-Pg': TB group: +3 mm; MA group: +0.9 mm; untreated control group: -1.6 mm).</p><p><strong>Conclusions: </strong>Treatment with removable functional devices (TB or MA) during puberty produced beneficial effects on the soft tissue profile. Both treated groups demonstrated a significant improvement in the Class II convex profile, accompanied by a less evident mandibular sulcus.</p>","PeriodicalId":73077,"journal":{"name":"Frontiers in dental medicine","volume":"6 ","pages":"1581032"},"PeriodicalIF":1.8000,"publicationDate":"2025-09-02","publicationTypes":"Journal Article","fieldsOfStudy":null,"isOpenAccess":false,"openAccessPdf":"https://www.ncbi.nlm.nih.gov/pmc/articles/PMC12436345/pdf/","citationCount":"0","resultStr":"{\"title\":\"Soft tissue evaluation of functional therapy in growing patients with class II malocclusion: mandibular advancement vs. twin block-a retrospective study.\",\"authors\":\"L Lugli, C Pavoni, F C De Razza, F Gazzani, S Loberto, E Cretella Lombardo, P Cozza, R Lione\",\"doi\":\"10.3389/fdmed.2025.1581032\",\"DOIUrl\":null,\"url\":null,\"abstract\":\"<p><strong>Objective: </strong>The aim of this retrospective study was to assess the soft tissues changes resulting from Class II treatment with functional appliances (Twin Block vs. Mandibular Advancement), when compared to an untreated Class II control group.</p><p><strong>Materials and methods: </strong>The records of 45 Class II patients who underwent treatment with Twin Block (TB group: <i>n</i> = 22; mean age: 11.3 ± 1.4 years) or Mandibular Advancement (MA group: <i>n</i> = 23; mean age: 11.2 ± 1.3 years) were analyzed in comparison with a control sample of untreated Class II subjects (Untreated Control group = 24; mean age: 11.2 ± 1.1 years). The data were collected before treatment (T1) and at the conclusion of the functional therapy phase (T2). Cephalometric modifications were assessed among the three groups using ANOVA and Tukey's <i>post hoc</i> tests.</p><p><strong>Results: </strong>Significant improvements were observed for mandibular sulcus and the facial profile angle in the treated groups compared to the Untreated control group (facial profile angle: TB group: +5.67°; MA group: +6.34°; mandibular sulcus: TB group: +10.0°; MA group: 11.77°). The distance of Pogonion (Pg) to the True Vertical Line (TVL) exhibited significant differences among the three groups, with a more pronounced advancement of the soft tissue pogonion in the TB group (TVL-Pg': TB group: +3 mm; MA group: +0.9 mm; untreated control group: -1.6 mm).</p><p><strong>Conclusions: </strong>Treatment with removable functional devices (TB or MA) during puberty produced beneficial effects on the soft tissue profile. Both treated groups demonstrated a significant improvement in the Class II convex profile, accompanied by a less evident mandibular sulcus.</p>\",\"PeriodicalId\":73077,\"journal\":{\"name\":\"Frontiers in dental medicine\",\"volume\":\"6 \",\"pages\":\"1581032\"},\"PeriodicalIF\":1.8000,\"publicationDate\":\"2025-09-02\",\"publicationTypes\":\"Journal Article\",\"fieldsOfStudy\":null,\"isOpenAccess\":false,\"openAccessPdf\":\"https://www.ncbi.nlm.nih.gov/pmc/articles/PMC12436345/pdf/\",\"citationCount\":\"0\",\"resultStr\":null,\"platform\":\"Semanticscholar\",\"paperid\":null,\"PeriodicalName\":\"Frontiers in dental medicine\",\"FirstCategoryId\":\"1085\",\"ListUrlMain\":\"https://doi.org/10.3389/fdmed.2025.1581032\",\"RegionNum\":0,\"RegionCategory\":null,\"ArticlePicture\":[],\"TitleCN\":null,\"AbstractTextCN\":null,\"PMCID\":null,\"EPubDate\":\"2025/1/1 0:00:00\",\"PubModel\":\"eCollection\",\"JCR\":\"Q3\",\"JCRName\":\"DENTISTRY, ORAL SURGERY & MEDICINE\",\"Score\":null,\"Total\":0}","platform":"Semanticscholar","paperid":null,"PeriodicalName":"Frontiers in dental medicine","FirstCategoryId":"1085","ListUrlMain":"https://doi.org/10.3389/fdmed.2025.1581032","RegionNum":0,"RegionCategory":null,"ArticlePicture":[],"TitleCN":null,"AbstractTextCN":null,"PMCID":null,"EPubDate":"2025/1/1 0:00:00","PubModel":"eCollection","JCR":"Q3","JCRName":"DENTISTRY, ORAL SURGERY & MEDICINE","Score":null,"Total":0}
引用次数: 0

摘要

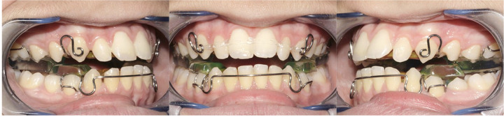
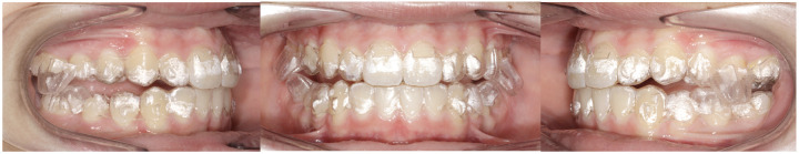
目的:本回顾性研究的目的是评估与未治疗的II类对照组相比,使用功能矫治器(Twin Block vs.颌骨前移)进行II类治疗后软组织的变化。材料和方法:将45例接受Twin Block治疗的II类患者(TB组:n = 22,平均年龄:11.3±1.4岁)或下颌前移(MA组:n = 23,平均年龄:11.2±1.3岁)的记录与未接受治疗的II类患者(未接受治疗的对照组= 24,平均年龄:11.2±1.1岁)的对照进行分析。数据收集于治疗前(T1)和功能治疗期结束时(T2)。采用方差分析和Tukey's事后检验对三组患者的头颅测量改变进行评估。结果:与未治疗组相比,治疗组下颌沟及面廓角均有显著改善(面廓角:TB组+5.67°;MA组+6.34°;下颌沟:TB组+10.0°;MA组11.77°)。三组间毒瘤(Pg)距真垂直线(TVL)的距离有显著性差异,TB组软组织毒瘤(TVL-Pg′:TB组+ 3mm; MA组+0.9 mm;未治疗对照组-1.6 mm)的前移更为明显。结论:在青春期使用可移动功能装置(TB或MA)治疗对软组织轮廓有有益的影响。两个治疗组均表现出II类凸轮廓的显著改善,并伴有较不明显的下颌沟。
本文章由计算机程序翻译,如有差异,请以英文原文为准。

Soft tissue evaluation of functional therapy in growing patients with class II malocclusion: mandibular advancement vs. twin block-a retrospective study.

Soft tissue evaluation of functional therapy in growing patients with class II malocclusion: mandibular advancement vs. twin block-a retrospective study.

Soft tissue evaluation of functional therapy in growing patients with class II malocclusion: mandibular advancement vs. twin block-a retrospective study.

Soft tissue evaluation of functional therapy in growing patients with class II malocclusion: mandibular advancement vs. twin block-a retrospective study.

Objective: The aim of this retrospective study was to assess the soft tissues changes resulting from Class II treatment with functional appliances (Twin Block vs. Mandibular Advancement), when compared to an untreated Class II control group.

Materials and methods: The records of 45 Class II patients who underwent treatment with Twin Block (TB group: n = 22; mean age: 11.3 ± 1.4 years) or Mandibular Advancement (MA group: n = 23; mean age: 11.2 ± 1.3 years) were analyzed in comparison with a control sample of untreated Class II subjects (Untreated Control group = 24; mean age: 11.2 ± 1.1 years). The data were collected before treatment (T1) and at the conclusion of the functional therapy phase (T2). Cephalometric modifications were assessed among the three groups using ANOVA and Tukey's post hoc tests.

Results: Significant improvements were observed for mandibular sulcus and the facial profile angle in the treated groups compared to the Untreated control group (facial profile angle: TB group: +5.67°; MA group: +6.34°; mandibular sulcus: TB group: +10.0°; MA group: 11.77°). The distance of Pogonion (Pg) to the True Vertical Line (TVL) exhibited significant differences among the three groups, with a more pronounced advancement of the soft tissue pogonion in the TB group (TVL-Pg': TB group: +3 mm; MA group: +0.9 mm; untreated control group: -1.6 mm).

Conclusions: Treatment with removable functional devices (TB or MA) during puberty produced beneficial effects on the soft tissue profile. Both treated groups demonstrated a significant improvement in the Class II convex profile, accompanied by a less evident mandibular sulcus.

求助全文
通过发布文献求助,成功后即可免费获取论文全文。 去求助
来源期刊
CiteScore
2.10
自引率
0.00%
发文量
0
审稿时长
13 weeks
×
引用
GB/T 7714-2015
复制
MLA
复制
APA
复制
导出至
BibTeX EndNote RefMan NoteFirst NoteExpress
×
提示
您的信息不完整,为了账户安全,请先补充。
现在去补充
×
提示
您因"违规操作"
具体请查看互助需知
我知道了
×
提示
确定
请完成安全验证×
copy
已复制链接
快去分享给好友吧!
我知道了
右上角分享
点击右上角分享
0
联系我们:info@booksci.cn Book学术提供免费学术资源搜索服务,方便国内外学者检索中英文文献。致力于提供最便捷和优质的服务体验。 Copyright © 2023 布克学术 All rights reserved.
京ICP备2023020795号-1
ghs 京公网安备 11010802042870号
Book学术文献互助
Book学术文献互助群
群 号:604180095
Book学术官方微信