新的小隐孢子虫适合度因子。

IF 103.3 1区 生物学 Q1 MICROBIOLOGY
Shimona Starling
{"title":"新的小隐孢子虫适合度因子。","authors":"Shimona Starling","doi":"10.1038/s41579-025-01241-3","DOIUrl":null,"url":null,"abstract":"A new study by Huang et al. identifies a Cryptosporidium parvum ABC transporter that confers resistance to a toxic gut microbial metabolite.","PeriodicalId":18838,"journal":{"name":"Nature Reviews Microbiology","volume":"23 11","pages":"683-683"},"PeriodicalIF":103.3000,"publicationDate":"2025-09-17","publicationTypes":"Journal Article","fieldsOfStudy":null,"isOpenAccess":false,"openAccessPdf":"","citationCount":"0","resultStr":"{\"title\":\"New Cryptosporidium parvum fitness factor\",\"authors\":\"Shimona Starling\",\"doi\":\"10.1038/s41579-025-01241-3\",\"DOIUrl\":null,\"url\":null,\"abstract\":\"A new study by Huang et al. identifies a Cryptosporidium parvum ABC transporter that confers resistance to a toxic gut microbial metabolite.\",\"PeriodicalId\":18838,\"journal\":{\"name\":\"Nature Reviews Microbiology\",\"volume\":\"23 11\",\"pages\":\"683-683\"},\"PeriodicalIF\":103.3000,\"publicationDate\":\"2025-09-17\",\"publicationTypes\":\"Journal Article\",\"fieldsOfStudy\":null,\"isOpenAccess\":false,\"openAccessPdf\":\"\",\"citationCount\":\"0\",\"resultStr\":null,\"platform\":\"Semanticscholar\",\"paperid\":null,\"PeriodicalName\":\"Nature Reviews Microbiology\",\"FirstCategoryId\":\"99\",\"ListUrlMain\":\"https://www.nature.com/articles/s41579-025-01241-3\",\"RegionNum\":1,\"RegionCategory\":\"生物学\",\"ArticlePicture\":[],\"TitleCN\":null,\"AbstractTextCN\":null,\"PMCID\":null,\"EPubDate\":\"\",\"PubModel\":\"\",\"JCR\":\"Q1\",\"JCRName\":\"MICROBIOLOGY\",\"Score\":null,\"Total\":0}","platform":"Semanticscholar","paperid":null,"PeriodicalName":"Nature Reviews Microbiology","FirstCategoryId":"99","ListUrlMain":"https://www.nature.com/articles/s41579-025-01241-3","RegionNum":1,"RegionCategory":"生物学","ArticlePicture":[],"TitleCN":null,"AbstractTextCN":null,"PMCID":null,"EPubDate":"","PubModel":"","JCR":"Q1","JCRName":"MICROBIOLOGY","Score":null,"Total":0}
引用次数: 0

摘要

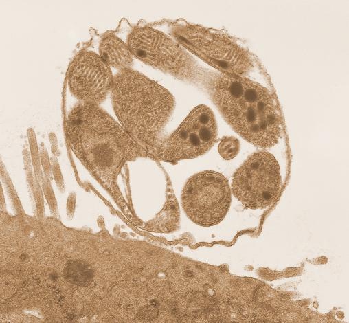
Huang等人的一项新研究发现了一种小隐孢子虫ABC转运蛋白,该转运蛋白对一种有毒的肠道微生物代谢物具有抗性。
本文章由计算机程序翻译,如有差异,请以英文原文为准。

New Cryptosporidium parvum fitness factor

New Cryptosporidium parvum fitness factor
A new study by Huang et al. identifies a Cryptosporidium parvum ABC transporter that confers resistance to a toxic gut microbial metabolite.
求助全文
通过发布文献求助,成功后即可免费获取论文全文。 去求助
来源期刊
Nature Reviews Microbiology
Nature Reviews Microbiology 生物-微生物学
CiteScore
74.00
自引率
0.50%
发文量
149
审稿时长
6-12 weeks
期刊介绍: At Nature Reviews Microbiology, our goal is to become the leading source of reviews and commentaries for the scientific community we cater to. We are dedicated to publishing articles that are not only authoritative but also easily accessible, supplementing them with clear and concise figures, tables, and other visual aids. Our objective is to offer an unparalleled service to authors, referees, and readers, and we continuously strive to maximize the usefulness and impact of each article we publish. With a focus on Reviews, Perspectives, and Comments spanning the entire field of microbiology, our wide scope ensures that the work we feature reaches the widest possible audience.
×
引用
GB/T 7714-2015
复制
MLA
复制
APA
复制
导出至
BibTeX EndNote RefMan NoteFirst NoteExpress
×
提示
您的信息不完整,为了账户安全,请先补充。
现在去补充
×
提示
您因"违规操作"
具体请查看互助需知
我知道了
×
提示
确定
请完成安全验证×
copy
已复制链接
快去分享给好友吧!
我知道了
右上角分享
点击右上角分享
0
联系我们:info@booksci.cn Book学术提供免费学术资源搜索服务,方便国内外学者检索中英文文献。致力于提供最便捷和优质的服务体验。 Copyright © 2023 布克学术 All rights reserved.
京ICP备2023020795号-1
ghs 京公网安备 11010802042870号
Book学术文献互助
Book学术文献互助群
群 号:604180095
Book学术官方微信