中国女性黄褐斑皮肤病变的条带蛋白质组学分析。

IF 2.2 4区 医学 Q3 DERMATOLOGY
Clinical, Cosmetic and Investigational Dermatology Pub Date : 2025-09-12 eCollection Date: 2025-01-01 DOI:10.2147/CCID.S538073
Yi Yang, Zheng Zhao, Lulu Lu, Na Gao, Jiangang Hu, Gangwen Han, Xiaolei Ma
{"title":"中国女性黄褐斑皮肤病变的条带蛋白质组学分析。","authors":"Yi Yang, Zheng Zhao, Lulu Lu, Na Gao, Jiangang Hu, Gangwen Han, Xiaolei Ma","doi":"10.2147/CCID.S538073","DOIUrl":null,"url":null,"abstract":"<p><strong>Purpose: </strong>Melasma is a common, chronic, and recurring disorder of hyperpigmentation arising from hyperfunctional melanocytes that deposit excessive amounts of melanin in the epidermis and dermis. The pathophysiology of melasma remains unclear and the treatment is challenging. Proteomic Analysis may contribute to understand the pathogenesis of melasma.</p><p><strong>Patients and methods: </strong>In this study, transepidermal water loss(TWEL) was evaluated to assess skin barrier function. Melasma area and severity index score was used to measure the severity of melasma. Data independent acquisition mass spectrometry was used to perform a comparative analysis of protein expression in female skin samples(cheeks) from 8 healthy controls and 8 melasma subjects. The hospital anxiety and depression scale were used to assess the anxiety and depression levels of the melasma patients.</p><p><strong>Results: </strong>The results showed that the melasma patients had higher TEWL values than the controls (12.95 ± 2.44 versus 6.86 ± 2.19, p < 0.01). Quantitative proteomic analysis identified a total of 230 differentially expressed proteins, including 193 upregulated and 37 downregulated. Enrichment analysis of these proteins based on GO, KEGG databases and protein-protein interaction analysis revealed that functional cluster associated with skin barrier (which included ALB, ANXA5, HSPB1, IQGAP1, S100A7), immunity and inflammation (which included YWHAZ, YWHAE, HSPA5, CSNK2B), melanogenesis (which included ALDH1A1, YWHAH, NDRG2, PMEL, APOE), psychoneurosis (which included YWHAE,YWHAH, PFN1, C3) and hormone (which included ARPC2, HSC70 and HSP70).</p><p><strong>Conclusion: </strong>Our non-invasive proteomics analysis of human epidermal proteins may guide future research on female melasma and help in the development of treatments for melasma.</p>","PeriodicalId":10447,"journal":{"name":"Clinical, Cosmetic and Investigational Dermatology","volume":"18 ","pages":"2341-2357"},"PeriodicalIF":2.2000,"publicationDate":"2025-09-12","publicationTypes":"Journal Article","fieldsOfStudy":null,"isOpenAccess":false,"openAccessPdf":"https://www.ncbi.nlm.nih.gov/pmc/articles/PMC12439839/pdf/","citationCount":"0","resultStr":"{\"title\":\"Tape-Strip Proteomic Analysis of Female Melasma Skin Lesions in a Chinese Population.\",\"authors\":\"Yi Yang, Zheng Zhao, Lulu Lu, Na Gao, Jiangang Hu, Gangwen Han, Xiaolei Ma\",\"doi\":\"10.2147/CCID.S538073\",\"DOIUrl\":null,\"url\":null,\"abstract\":\"<p><strong>Purpose: </strong>Melasma is a common, chronic, and recurring disorder of hyperpigmentation arising from hyperfunctional melanocytes that deposit excessive amounts of melanin in the epidermis and dermis. The pathophysiology of melasma remains unclear and the treatment is challenging. Proteomic Analysis may contribute to understand the pathogenesis of melasma.</p><p><strong>Patients and methods: </strong>In this study, transepidermal water loss(TWEL) was evaluated to assess skin barrier function. Melasma area and severity index score was used to measure the severity of melasma. Data independent acquisition mass spectrometry was used to perform a comparative analysis of protein expression in female skin samples(cheeks) from 8 healthy controls and 8 melasma subjects. The hospital anxiety and depression scale were used to assess the anxiety and depression levels of the melasma patients.</p><p><strong>Results: </strong>The results showed that the melasma patients had higher TEWL values than the controls (12.95 ± 2.44 versus 6.86 ± 2.19, p < 0.01). Quantitative proteomic analysis identified a total of 230 differentially expressed proteins, including 193 upregulated and 37 downregulated. Enrichment analysis of these proteins based on GO, KEGG databases and protein-protein interaction analysis revealed that functional cluster associated with skin barrier (which included ALB, ANXA5, HSPB1, IQGAP1, S100A7), immunity and inflammation (which included YWHAZ, YWHAE, HSPA5, CSNK2B), melanogenesis (which included ALDH1A1, YWHAH, NDRG2, PMEL, APOE), psychoneurosis (which included YWHAE,YWHAH, PFN1, C3) and hormone (which included ARPC2, HSC70 and HSP70).</p><p><strong>Conclusion: </strong>Our non-invasive proteomics analysis of human epidermal proteins may guide future research on female melasma and help in the development of treatments for melasma.</p>\",\"PeriodicalId\":10447,\"journal\":{\"name\":\"Clinical, Cosmetic and Investigational Dermatology\",\"volume\":\"18 \",\"pages\":\"2341-2357\"},\"PeriodicalIF\":2.2000,\"publicationDate\":\"2025-09-12\",\"publicationTypes\":\"Journal Article\",\"fieldsOfStudy\":null,\"isOpenAccess\":false,\"openAccessPdf\":\"https://www.ncbi.nlm.nih.gov/pmc/articles/PMC12439839/pdf/\",\"citationCount\":\"0\",\"resultStr\":null,\"platform\":\"Semanticscholar\",\"paperid\":null,\"PeriodicalName\":\"Clinical, Cosmetic and Investigational Dermatology\",\"FirstCategoryId\":\"3\",\"ListUrlMain\":\"https://doi.org/10.2147/CCID.S538073\",\"RegionNum\":4,\"RegionCategory\":\"医学\",\"ArticlePicture\":[],\"TitleCN\":null,\"AbstractTextCN\":null,\"PMCID\":null,\"EPubDate\":\"2025/1/1 0:00:00\",\"PubModel\":\"eCollection\",\"JCR\":\"Q3\",\"JCRName\":\"DERMATOLOGY\",\"Score\":null,\"Total\":0}","platform":"Semanticscholar","paperid":null,"PeriodicalName":"Clinical, Cosmetic and Investigational Dermatology","FirstCategoryId":"3","ListUrlMain":"https://doi.org/10.2147/CCID.S538073","RegionNum":4,"RegionCategory":"医学","ArticlePicture":[],"TitleCN":null,"AbstractTextCN":null,"PMCID":null,"EPubDate":"2025/1/1 0:00:00","PubModel":"eCollection","JCR":"Q3","JCRName":"DERMATOLOGY","Score":null,"Total":0}
引用次数: 0

摘要

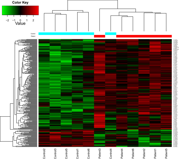
目的:黄褐斑是一种常见的、慢性的、反复发作的色素沉着疾病,由功能亢进的黑色素细胞在表皮和真皮中沉积过多的黑色素引起。黄褐斑的病理生理尚不清楚,治疗具有挑战性。蛋白质组学分析有助于了解黄褐斑的发病机制。患者和方法:在本研究中,通过评估经皮失水(TWEL)来评估皮肤屏障功能。采用黄褐斑面积和严重程度指数评分来衡量黄褐斑的严重程度。采用数据独立采集质谱法对8名健康对照者和8名黄褐斑受试者的女性皮肤样本(脸颊)中的蛋白质表达进行比较分析。采用医院焦虑抑郁量表评估黄褐斑患者的焦虑抑郁水平。结果:黄褐斑患者TEWL值高于对照组(12.95±2.44比6.86±2.19,p < 0.01)。定量蛋白质组学分析共鉴定出230个差异表达蛋白,其中193个上调,37个下调。基于GO、KEGG数据库和蛋白相互作用分析对这些蛋白进行富集分析,发现其功能簇与皮肤屏障(包括ALB、ANXA5、HSPB1、IQGAP1、S100A7)、免疫和炎症(包括YWHAZ、YWHAE、HSPA5、CSNK2B)、黑色素生成(包括ALDH1A1、YWHAH、NDRG2、PMEL、APOE)、精神神经症(包括YWHAE、YWHAH、PFN1、C3)和激素(包括ARPC2、HSC70和HSP70)相关。结论:我们对人类表皮蛋白的非侵入性蛋白质组学分析可以指导未来女性黄褐斑的研究,并有助于黄褐斑治疗方法的开发。
本文章由计算机程序翻译,如有差异,请以英文原文为准。

Tape-Strip Proteomic Analysis of Female Melasma Skin Lesions in a Chinese Population.

Tape-Strip Proteomic Analysis of Female Melasma Skin Lesions in a Chinese Population.

Tape-Strip Proteomic Analysis of Female Melasma Skin Lesions in a Chinese Population.

Tape-Strip Proteomic Analysis of Female Melasma Skin Lesions in a Chinese Population.

Purpose: Melasma is a common, chronic, and recurring disorder of hyperpigmentation arising from hyperfunctional melanocytes that deposit excessive amounts of melanin in the epidermis and dermis. The pathophysiology of melasma remains unclear and the treatment is challenging. Proteomic Analysis may contribute to understand the pathogenesis of melasma.

Patients and methods: In this study, transepidermal water loss(TWEL) was evaluated to assess skin barrier function. Melasma area and severity index score was used to measure the severity of melasma. Data independent acquisition mass spectrometry was used to perform a comparative analysis of protein expression in female skin samples(cheeks) from 8 healthy controls and 8 melasma subjects. The hospital anxiety and depression scale were used to assess the anxiety and depression levels of the melasma patients.

Results: The results showed that the melasma patients had higher TEWL values than the controls (12.95 ± 2.44 versus 6.86 ± 2.19, p < 0.01). Quantitative proteomic analysis identified a total of 230 differentially expressed proteins, including 193 upregulated and 37 downregulated. Enrichment analysis of these proteins based on GO, KEGG databases and protein-protein interaction analysis revealed that functional cluster associated with skin barrier (which included ALB, ANXA5, HSPB1, IQGAP1, S100A7), immunity and inflammation (which included YWHAZ, YWHAE, HSPA5, CSNK2B), melanogenesis (which included ALDH1A1, YWHAH, NDRG2, PMEL, APOE), psychoneurosis (which included YWHAE,YWHAH, PFN1, C3) and hormone (which included ARPC2, HSC70 and HSP70).

Conclusion: Our non-invasive proteomics analysis of human epidermal proteins may guide future research on female melasma and help in the development of treatments for melasma.

求助全文
通过发布文献求助,成功后即可免费获取论文全文。 去求助
来源期刊
CiteScore
2.80
自引率
4.30%
发文量
353
审稿时长
16 weeks
期刊介绍: Clinical, Cosmetic and Investigational Dermatology is an international, peer-reviewed, open access journal that focuses on the latest clinical and experimental research in all aspects of skin disease and cosmetic interventions. Normal and pathological processes in skin development and aging, their modification and treatment, as well as basic research into histology of dermal and dermal structures that provide clinical insights and potential treatment options are key topics for the journal. Patient satisfaction, preference, quality of life, compliance, persistence and their role in developing new management options to optimize outcomes for target conditions constitute major areas of interest. The journal is characterized by the rapid reporting of clinical studies, reviews and original research in skin research and skin care. All areas of dermatology will be covered; contributions will be welcomed from all clinicians and basic science researchers globally.
×
引用
GB/T 7714-2015
复制
MLA
复制
APA
复制
导出至
BibTeX EndNote RefMan NoteFirst NoteExpress
×
提示
您的信息不完整,为了账户安全,请先补充。
现在去补充
×
提示
您因"违规操作"
具体请查看互助需知
我知道了
×
提示
确定
请完成安全验证×
copy
已复制链接
快去分享给好友吧!
我知道了
右上角分享
点击右上角分享
0
联系我们:info@booksci.cn Book学术提供免费学术资源搜索服务,方便国内外学者检索中英文文献。致力于提供最便捷和优质的服务体验。 Copyright © 2023 布克学术 All rights reserved.
京ICP备2023020795号-1
ghs 京公网安备 11010802042870号
Book学术文献互助
Book学术文献互助群
群 号:604180095
Book学术官方微信