肠血吸虫病继发急性阑尾炎。

IF 0.5 Q4 SURGERY
Case Reports in Surgery Pub Date : 2025-09-09 eCollection Date: 2025-01-01 DOI:10.1155/cris/4115372
Ethan Shyu, Luis Arias-Espinosa, Gabriele Barrocas, Scott Weisenberg, Flavio Malcher
{"title":"肠血吸虫病继发急性阑尾炎。","authors":"Ethan Shyu, Luis Arias-Espinosa, Gabriele Barrocas, Scott Weisenberg, Flavio Malcher","doi":"10.1155/cris/4115372","DOIUrl":null,"url":null,"abstract":"<p><p>Schistosomiasis is a parasitic disease caused by blood flukes commonly found in sub-Saharan Africa and select other areas in Asia and the Americas. The disease can manifest in a wide range of acute and chronic conditions, rarely presenting as acute appendicitis. Herein we report a case of a 36-year-old female patient from a nonendemic area (New York City) with a history of travel presenting with acute appendicitis secondary to instestinal schistosomiasis.</p>","PeriodicalId":9600,"journal":{"name":"Case Reports in Surgery","volume":"2025 ","pages":"4115372"},"PeriodicalIF":0.5000,"publicationDate":"2025-09-09","publicationTypes":"Journal Article","fieldsOfStudy":null,"isOpenAccess":false,"openAccessPdf":"https://www.ncbi.nlm.nih.gov/pmc/articles/PMC12440652/pdf/","citationCount":"0","resultStr":"{\"title\":\"Acute Appendicitis Secondary to Intestinal Schistosomiasis.\",\"authors\":\"Ethan Shyu, Luis Arias-Espinosa, Gabriele Barrocas, Scott Weisenberg, Flavio Malcher\",\"doi\":\"10.1155/cris/4115372\",\"DOIUrl\":null,\"url\":null,\"abstract\":\"<p><p>Schistosomiasis is a parasitic disease caused by blood flukes commonly found in sub-Saharan Africa and select other areas in Asia and the Americas. The disease can manifest in a wide range of acute and chronic conditions, rarely presenting as acute appendicitis. Herein we report a case of a 36-year-old female patient from a nonendemic area (New York City) with a history of travel presenting with acute appendicitis secondary to instestinal schistosomiasis.</p>\",\"PeriodicalId\":9600,\"journal\":{\"name\":\"Case Reports in Surgery\",\"volume\":\"2025 \",\"pages\":\"4115372\"},\"PeriodicalIF\":0.5000,\"publicationDate\":\"2025-09-09\",\"publicationTypes\":\"Journal Article\",\"fieldsOfStudy\":null,\"isOpenAccess\":false,\"openAccessPdf\":\"https://www.ncbi.nlm.nih.gov/pmc/articles/PMC12440652/pdf/\",\"citationCount\":\"0\",\"resultStr\":null,\"platform\":\"Semanticscholar\",\"paperid\":null,\"PeriodicalName\":\"Case Reports in Surgery\",\"FirstCategoryId\":\"1085\",\"ListUrlMain\":\"https://doi.org/10.1155/cris/4115372\",\"RegionNum\":0,\"RegionCategory\":null,\"ArticlePicture\":[],\"TitleCN\":null,\"AbstractTextCN\":null,\"PMCID\":null,\"EPubDate\":\"2025/1/1 0:00:00\",\"PubModel\":\"eCollection\",\"JCR\":\"Q4\",\"JCRName\":\"SURGERY\",\"Score\":null,\"Total\":0}","platform":"Semanticscholar","paperid":null,"PeriodicalName":"Case Reports in Surgery","FirstCategoryId":"1085","ListUrlMain":"https://doi.org/10.1155/cris/4115372","RegionNum":0,"RegionCategory":null,"ArticlePicture":[],"TitleCN":null,"AbstractTextCN":null,"PMCID":null,"EPubDate":"2025/1/1 0:00:00","PubModel":"eCollection","JCR":"Q4","JCRName":"SURGERY","Score":null,"Total":0}
引用次数: 0

摘要

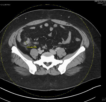
血吸虫病是一种由血吸虫引起的寄生虫病,常见于撒哈拉以南非洲以及亚洲和美洲的某些其他地区。该病可表现为各种急性和慢性疾病,很少表现为急性阑尾炎。在此,我们报告一例来自非流行地区(纽约市)的36岁女性患者,有旅行史,表现为继发于肠道血吸虫病的急性阑尾炎。
本文章由计算机程序翻译,如有差异,请以英文原文为准。

Acute Appendicitis Secondary to Intestinal Schistosomiasis.

Acute Appendicitis Secondary to Intestinal Schistosomiasis.

Schistosomiasis is a parasitic disease caused by blood flukes commonly found in sub-Saharan Africa and select other areas in Asia and the Americas. The disease can manifest in a wide range of acute and chronic conditions, rarely presenting as acute appendicitis. Herein we report a case of a 36-year-old female patient from a nonendemic area (New York City) with a history of travel presenting with acute appendicitis secondary to instestinal schistosomiasis.

求助全文
通过发布文献求助,成功后即可免费获取论文全文。 去求助
来源期刊
自引率
0.00%
发文量
60
审稿时长
13 weeks
×
引用
GB/T 7714-2015
复制
MLA
复制
APA
复制
导出至
BibTeX EndNote RefMan NoteFirst NoteExpress
×
提示
您的信息不完整,为了账户安全,请先补充。
现在去补充
×
提示
您因"违规操作"
具体请查看互助需知
我知道了
×
提示
确定
请完成安全验证×
copy
已复制链接
快去分享给好友吧!
我知道了
右上角分享
点击右上角分享
0
联系我们:info@booksci.cn Book学术提供免费学术资源搜索服务,方便国内外学者检索中英文文献。致力于提供最便捷和优质的服务体验。 Copyright © 2023 布克学术 All rights reserved.
京ICP备2023020795号-1
ghs 京公网安备 11010802042870号
Book学术文献互助
Book学术文献互助群
群 号:604180095
Book学术官方微信