低PSA的不寻常类型前列腺腺泡腺癌:两例多形性巨细胞腺癌的组织病理学报告。

IF 0.6 Q4 ONCOLOGY
Case Reports in Oncological Medicine Pub Date : 2025-09-09 eCollection Date: 2025-01-01 DOI:10.1155/crom/7658657
George S Stoyanov, Andrea Kirilova, Kristina Naydenova, Hristo Popov
{"title":"低PSA的不寻常类型前列腺腺泡腺癌:两例多形性巨细胞腺癌的组织病理学报告。","authors":"George S Stoyanov, Andrea Kirilova, Kristina Naydenova, Hristo Popov","doi":"10.1155/crom/7658657","DOIUrl":null,"url":null,"abstract":"<p><p><b>Introduction:</b> Prostate adenocarcinoma is among the leading malignant neoplastic processes in overall incidence and among the leaders of cancer-related deaths. Clinically, there is a higher risk of development in males over 50, and suspicion is increased in all cases of elevated prostate-specific antigen (PSA) levels. While the most common histologies are of conventional ductal and acinar prostatic adenocarcinoma, there are some exceedingly rare histological patterns and subtypes that vary from conventional carcinomas not only in their histological makeup but also in their presentation and aggressiveness. <b>Case Presentations:</b> Herein, we report two cases of male patients aged 75 and 60 years who presented to our institution with the leading complaint of urinary retention and gross hematuria and concomitant hydronephrosis. In both patients, the PSA levels were within normal reference values. As such, they were scheduled for transurethral resection of the prostate, with histopathology of the resected specimens showing a pleomorphic tumor process with foci of pseudoacinar structures comprised of large atypical cells with large hyperchromic nuclei, some of which had a monstrous appearance, solid tumor cell aggregates, sheets, and single tumor cells invading the parenchyma, represented mainly by large tumor cells with macroanisokaryosis, nuclear hyperchromasia, and pronounced pleomorphism. <b>Conclusion:</b> Pleomorphic giant cell prostatic carcinomas rarely present with elevated PSA or specific imaging findings and are often diagnosed incidentally, further contributing to their rarity.</p>","PeriodicalId":9636,"journal":{"name":"Case Reports in Oncological Medicine","volume":"2025 ","pages":"7658657"},"PeriodicalIF":0.6000,"publicationDate":"2025-09-09","publicationTypes":"Journal Article","fieldsOfStudy":null,"isOpenAccess":false,"openAccessPdf":"https://www.ncbi.nlm.nih.gov/pmc/articles/PMC12440663/pdf/","citationCount":"0","resultStr":"{\"title\":\"Unusual Type of Acinar Adenocarcinoma of the Prostate With Low PSA: A Histopathological Report of Two Cases of Pleomorphic Giant Cell Adenocarcinoma.\",\"authors\":\"George S Stoyanov, Andrea Kirilova, Kristina Naydenova, Hristo Popov\",\"doi\":\"10.1155/crom/7658657\",\"DOIUrl\":null,\"url\":null,\"abstract\":\"<p><p><b>Introduction:</b> Prostate adenocarcinoma is among the leading malignant neoplastic processes in overall incidence and among the leaders of cancer-related deaths. Clinically, there is a higher risk of development in males over 50, and suspicion is increased in all cases of elevated prostate-specific antigen (PSA) levels. While the most common histologies are of conventional ductal and acinar prostatic adenocarcinoma, there are some exceedingly rare histological patterns and subtypes that vary from conventional carcinomas not only in their histological makeup but also in their presentation and aggressiveness. <b>Case Presentations:</b> Herein, we report two cases of male patients aged 75 and 60 years who presented to our institution with the leading complaint of urinary retention and gross hematuria and concomitant hydronephrosis. In both patients, the PSA levels were within normal reference values. As such, they were scheduled for transurethral resection of the prostate, with histopathology of the resected specimens showing a pleomorphic tumor process with foci of pseudoacinar structures comprised of large atypical cells with large hyperchromic nuclei, some of which had a monstrous appearance, solid tumor cell aggregates, sheets, and single tumor cells invading the parenchyma, represented mainly by large tumor cells with macroanisokaryosis, nuclear hyperchromasia, and pronounced pleomorphism. <b>Conclusion:</b> Pleomorphic giant cell prostatic carcinomas rarely present with elevated PSA or specific imaging findings and are often diagnosed incidentally, further contributing to their rarity.</p>\",\"PeriodicalId\":9636,\"journal\":{\"name\":\"Case Reports in Oncological Medicine\",\"volume\":\"2025 \",\"pages\":\"7658657\"},\"PeriodicalIF\":0.6000,\"publicationDate\":\"2025-09-09\",\"publicationTypes\":\"Journal Article\",\"fieldsOfStudy\":null,\"isOpenAccess\":false,\"openAccessPdf\":\"https://www.ncbi.nlm.nih.gov/pmc/articles/PMC12440663/pdf/\",\"citationCount\":\"0\",\"resultStr\":null,\"platform\":\"Semanticscholar\",\"paperid\":null,\"PeriodicalName\":\"Case Reports in Oncological Medicine\",\"FirstCategoryId\":\"1085\",\"ListUrlMain\":\"https://doi.org/10.1155/crom/7658657\",\"RegionNum\":0,\"RegionCategory\":null,\"ArticlePicture\":[],\"TitleCN\":null,\"AbstractTextCN\":null,\"PMCID\":null,\"EPubDate\":\"2025/1/1 0:00:00\",\"PubModel\":\"eCollection\",\"JCR\":\"Q4\",\"JCRName\":\"ONCOLOGY\",\"Score\":null,\"Total\":0}","platform":"Semanticscholar","paperid":null,"PeriodicalName":"Case Reports in Oncological Medicine","FirstCategoryId":"1085","ListUrlMain":"https://doi.org/10.1155/crom/7658657","RegionNum":0,"RegionCategory":null,"ArticlePicture":[],"TitleCN":null,"AbstractTextCN":null,"PMCID":null,"EPubDate":"2025/1/1 0:00:00","PubModel":"eCollection","JCR":"Q4","JCRName":"ONCOLOGY","Score":null,"Total":0}
引用次数: 0

摘要

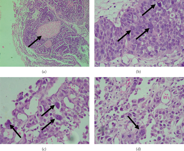
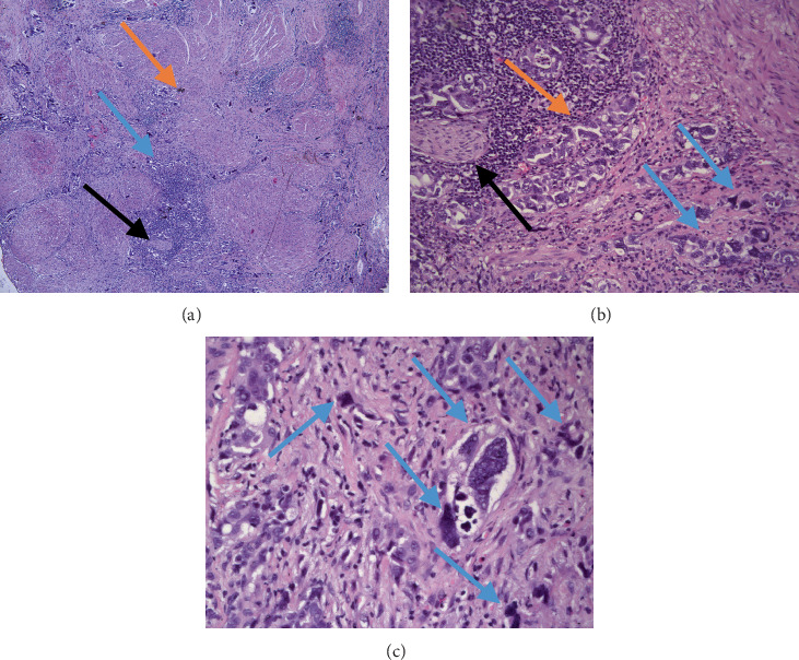
简介:前列腺癌是总发病率最高的恶性肿瘤之一,也是癌症相关死亡的主要原因之一。在临床上,50岁以上的男性有更高的发展风险,所有前列腺特异性抗原(PSA)水平升高的病例都增加了怀疑。虽然最常见的组织学是传统的导管性和腺泡性前列腺腺癌,但也有一些极其罕见的组织学模式和亚型,不仅在其组织学组成上,而且在其表现和侵袭性上都与传统的前列腺癌不同。病例报告:在此,我们报告了两例年龄分别为75岁和60岁的男性患者,他们以尿潴留、肉眼血尿和伴发肾积水为主要主诉。两例患者的PSA水平均在正常参考值范围内。因此,他们被安排经尿道前列腺切除术,切除标本的组织病理学显示多形性肿瘤过程,假腺泡结构灶由大的非典型细胞和大的深染核组成,其中一些具有怪异的外观,实体肿瘤细胞聚集,片状和单个肿瘤细胞侵入实质,主要表现为大肿瘤细胞伴大异核症,核深染症,还有明显的多形性。结论:多形性巨细胞前列腺癌很少表现为PSA升高或特定的影像学表现,并且经常被偶然诊断,进一步促进了其罕见性。
本文章由计算机程序翻译,如有差异,请以英文原文为准。

Unusual Type of Acinar Adenocarcinoma of the Prostate With Low PSA: A Histopathological Report of Two Cases of Pleomorphic Giant Cell Adenocarcinoma.

Unusual Type of Acinar Adenocarcinoma of the Prostate With Low PSA: A Histopathological Report of Two Cases of Pleomorphic Giant Cell Adenocarcinoma.

Unusual Type of Acinar Adenocarcinoma of the Prostate With Low PSA: A Histopathological Report of Two Cases of Pleomorphic Giant Cell Adenocarcinoma.

Introduction: Prostate adenocarcinoma is among the leading malignant neoplastic processes in overall incidence and among the leaders of cancer-related deaths. Clinically, there is a higher risk of development in males over 50, and suspicion is increased in all cases of elevated prostate-specific antigen (PSA) levels. While the most common histologies are of conventional ductal and acinar prostatic adenocarcinoma, there are some exceedingly rare histological patterns and subtypes that vary from conventional carcinomas not only in their histological makeup but also in their presentation and aggressiveness. Case Presentations: Herein, we report two cases of male patients aged 75 and 60 years who presented to our institution with the leading complaint of urinary retention and gross hematuria and concomitant hydronephrosis. In both patients, the PSA levels were within normal reference values. As such, they were scheduled for transurethral resection of the prostate, with histopathology of the resected specimens showing a pleomorphic tumor process with foci of pseudoacinar structures comprised of large atypical cells with large hyperchromic nuclei, some of which had a monstrous appearance, solid tumor cell aggregates, sheets, and single tumor cells invading the parenchyma, represented mainly by large tumor cells with macroanisokaryosis, nuclear hyperchromasia, and pronounced pleomorphism. Conclusion: Pleomorphic giant cell prostatic carcinomas rarely present with elevated PSA or specific imaging findings and are often diagnosed incidentally, further contributing to their rarity.

求助全文
通过发布文献求助,成功后即可免费获取论文全文。 去求助
来源期刊
自引率
0.00%
发文量
11
审稿时长
16 weeks
期刊介绍: Case Reports in Oncological Medicine is a peer-reviewed, Open Access journal that publishes case reports and case series related to breast cancer, lung cancer, gastrointestinal cancer, skin cancer, head and neck cancer, paediatric oncology, neurooncology as well as genitourinary cancer.
×
引用
GB/T 7714-2015
复制
MLA
复制
APA
复制
导出至
BibTeX EndNote RefMan NoteFirst NoteExpress
×
提示
您的信息不完整,为了账户安全,请先补充。
现在去补充
×
提示
您因"违规操作"
具体请查看互助需知
我知道了
×
提示
确定
请完成安全验证×
copy
已复制链接
快去分享给好友吧!
我知道了
右上角分享
点击右上角分享
0
联系我们:info@booksci.cn Book学术提供免费学术资源搜索服务,方便国内外学者检索中英文文献。致力于提供最便捷和优质的服务体验。 Copyright © 2023 布克学术 All rights reserved.
京ICP备2023020795号-1
ghs 京公网安备 11010802042870号
Book学术文献互助
Book学术文献互助群
群 号:604180095
Book学术官方微信