刺激终纹床核治疗难治性强迫症及伴发抑郁和焦虑症状:系统文献综述

Postepy psychiatrii neurologii Pub Date : 2025-09-01 Epub Date: 2025-08-26 DOI:10.5114/ppn.2025.153598
Michał Sobstyl, Karol Karamon, Tadeusz Pietras, Kasper Sipowicz, Marcin Rylski
{"title":"刺激终纹床核治疗难治性强迫症及伴发抑郁和焦虑症状:系统文献综述","authors":"Michał Sobstyl, Karol Karamon, Tadeusz Pietras, Kasper Sipowicz, Marcin Rylski","doi":"10.5114/ppn.2025.153598","DOIUrl":null,"url":null,"abstract":"<p><strong>Purpose: </strong>The bed nucleus of the stria terminalis (BNST) is a tiny nucleus connected by a bundle of axons with the amygdala. The BNST acts as a relay center, coordinating autonomic, limbic, behavioral, neuroendocrine, and motor functions. It plays a key role in anxiety and anxiety-related disorders. This review presents clinical outcomes of deep brain stimulation (DBS) of the BNST in treatment-resistant obsessive-compulsive disorder (trOCD) and treatment-resistant depression (TRD).</p><p><strong>Views: </strong>The medical literature search was conducted in MEDLINE and the Cochrane Central Register of Controlled Trials (CENTRAL). The identified studies were assessed on the basis of patient characteristics, clinical outcomes, and adverse events related to DBS. The reduction of the Y-OCBS in the reported studies ranged from 27% to 66%, with mean reduction of the YBOCS of 45% at a mean of 58 months. The authors of clinical studies also reported enhanced socio-occupational functioning and quality of life. Adverse effects included hypomania, depressive episodes, weight gain, emotional lability, and seizures. However, most side effects were transient and reversible with stimulation adjustments.</p><p><strong>Conclusions: </strong>Clinical experience with BNST DBS remains limited, with most studies treating trOCD and only two addressing TRD. Reported outcomes suggest reductions in obsessions, compulsions, and affective symptoms, alongside improved daily functioning. The BNST appears to be a promising DBS target for anxiety-related psychiatric disorders.</p>","PeriodicalId":74481,"journal":{"name":"Postepy psychiatrii neurologii","volume":"34 3","pages":"177-188"},"PeriodicalIF":0.0000,"publicationDate":"2025-09-01","publicationTypes":"Journal Article","fieldsOfStudy":null,"isOpenAccess":false,"openAccessPdf":"https://www.ncbi.nlm.nih.gov/pmc/articles/PMC12435564/pdf/","citationCount":"0","resultStr":"{\"title\":\"Stimulation of bed nucleus of the stria terminalis area for treatment-resistant obsessive-compulsive disorder and comorbid depressive and anxiety symptoms: a systematic literature review.\",\"authors\":\"Michał Sobstyl, Karol Karamon, Tadeusz Pietras, Kasper Sipowicz, Marcin Rylski\",\"doi\":\"10.5114/ppn.2025.153598\",\"DOIUrl\":null,\"url\":null,\"abstract\":\"<p><strong>Purpose: </strong>The bed nucleus of the stria terminalis (BNST) is a tiny nucleus connected by a bundle of axons with the amygdala. The BNST acts as a relay center, coordinating autonomic, limbic, behavioral, neuroendocrine, and motor functions. It plays a key role in anxiety and anxiety-related disorders. This review presents clinical outcomes of deep brain stimulation (DBS) of the BNST in treatment-resistant obsessive-compulsive disorder (trOCD) and treatment-resistant depression (TRD).</p><p><strong>Views: </strong>The medical literature search was conducted in MEDLINE and the Cochrane Central Register of Controlled Trials (CENTRAL). The identified studies were assessed on the basis of patient characteristics, clinical outcomes, and adverse events related to DBS. The reduction of the Y-OCBS in the reported studies ranged from 27% to 66%, with mean reduction of the YBOCS of 45% at a mean of 58 months. The authors of clinical studies also reported enhanced socio-occupational functioning and quality of life. Adverse effects included hypomania, depressive episodes, weight gain, emotional lability, and seizures. However, most side effects were transient and reversible with stimulation adjustments.</p><p><strong>Conclusions: </strong>Clinical experience with BNST DBS remains limited, with most studies treating trOCD and only two addressing TRD. Reported outcomes suggest reductions in obsessions, compulsions, and affective symptoms, alongside improved daily functioning. The BNST appears to be a promising DBS target for anxiety-related psychiatric disorders.</p>\",\"PeriodicalId\":74481,\"journal\":{\"name\":\"Postepy psychiatrii neurologii\",\"volume\":\"34 3\",\"pages\":\"177-188\"},\"PeriodicalIF\":0.0000,\"publicationDate\":\"2025-09-01\",\"publicationTypes\":\"Journal Article\",\"fieldsOfStudy\":null,\"isOpenAccess\":false,\"openAccessPdf\":\"https://www.ncbi.nlm.nih.gov/pmc/articles/PMC12435564/pdf/\",\"citationCount\":\"0\",\"resultStr\":null,\"platform\":\"Semanticscholar\",\"paperid\":null,\"PeriodicalName\":\"Postepy psychiatrii neurologii\",\"FirstCategoryId\":\"1085\",\"ListUrlMain\":\"https://doi.org/10.5114/ppn.2025.153598\",\"RegionNum\":0,\"RegionCategory\":null,\"ArticlePicture\":[],\"TitleCN\":null,\"AbstractTextCN\":null,\"PMCID\":null,\"EPubDate\":\"2025/8/26 0:00:00\",\"PubModel\":\"Epub\",\"JCR\":\"\",\"JCRName\":\"\",\"Score\":null,\"Total\":0}","platform":"Semanticscholar","paperid":null,"PeriodicalName":"Postepy psychiatrii neurologii","FirstCategoryId":"1085","ListUrlMain":"https://doi.org/10.5114/ppn.2025.153598","RegionNum":0,"RegionCategory":null,"ArticlePicture":[],"TitleCN":null,"AbstractTextCN":null,"PMCID":null,"EPubDate":"2025/8/26 0:00:00","PubModel":"Epub","JCR":"","JCRName":"","Score":null,"Total":0}
引用次数: 0

摘要

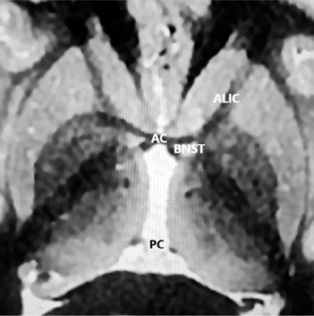
目的:终纹床核是一个由一束轴突与杏仁核相连的小核。BNST作为一个中转中心,协调自主神经、边缘神经、行为、神经内分泌和运动功能。它在焦虑和焦虑相关疾病中起着关键作用。本文综述了深部脑刺激(DBS)治疗难治性强迫症(trOCD)和难治性抑郁症(TRD)的临床效果。观点:医学文献检索在MEDLINE和Cochrane中央对照试验注册(Central)中进行。根据患者特征、临床结果和与DBS相关的不良事件对已确定的研究进行评估。在报告的研究中,Y-OCBS的减少幅度从27%到66%不等,平均58个月的Y-OCBS平均减少45%。临床研究的作者也报告了社会职业功能和生活质量的提高。不良反应包括轻躁狂、抑郁发作、体重增加、情绪不稳定和癫痫发作。然而,大多数副作用是短暂的,并且在刺激调整后是可逆的。结论:BNST DBS的临床经验仍然有限,大多数研究治疗trOCD,只有两项研究治疗TRD。报告结果表明,强迫症、强迫症状和情感症状减少,日常功能改善。BNST似乎是治疗焦虑相关精神疾病的一个有希望的DBS靶点。
本文章由计算机程序翻译,如有差异,请以英文原文为准。

Stimulation of bed nucleus of the stria terminalis area for treatment-resistant obsessive-compulsive disorder and comorbid depressive and anxiety symptoms: a systematic literature review.

Stimulation of bed nucleus of the stria terminalis area for treatment-resistant obsessive-compulsive disorder and comorbid depressive and anxiety symptoms: a systematic literature review.

Stimulation of bed nucleus of the stria terminalis area for treatment-resistant obsessive-compulsive disorder and comorbid depressive and anxiety symptoms: a systematic literature review.

Stimulation of bed nucleus of the stria terminalis area for treatment-resistant obsessive-compulsive disorder and comorbid depressive and anxiety symptoms: a systematic literature review.

Purpose: The bed nucleus of the stria terminalis (BNST) is a tiny nucleus connected by a bundle of axons with the amygdala. The BNST acts as a relay center, coordinating autonomic, limbic, behavioral, neuroendocrine, and motor functions. It plays a key role in anxiety and anxiety-related disorders. This review presents clinical outcomes of deep brain stimulation (DBS) of the BNST in treatment-resistant obsessive-compulsive disorder (trOCD) and treatment-resistant depression (TRD).

Views: The medical literature search was conducted in MEDLINE and the Cochrane Central Register of Controlled Trials (CENTRAL). The identified studies were assessed on the basis of patient characteristics, clinical outcomes, and adverse events related to DBS. The reduction of the Y-OCBS in the reported studies ranged from 27% to 66%, with mean reduction of the YBOCS of 45% at a mean of 58 months. The authors of clinical studies also reported enhanced socio-occupational functioning and quality of life. Adverse effects included hypomania, depressive episodes, weight gain, emotional lability, and seizures. However, most side effects were transient and reversible with stimulation adjustments.

Conclusions: Clinical experience with BNST DBS remains limited, with most studies treating trOCD and only two addressing TRD. Reported outcomes suggest reductions in obsessions, compulsions, and affective symptoms, alongside improved daily functioning. The BNST appears to be a promising DBS target for anxiety-related psychiatric disorders.

求助全文
通过发布文献求助,成功后即可免费获取论文全文。 去求助
来源期刊
自引率
0.00%
发文量
0
×
引用
GB/T 7714-2015
复制
MLA
复制
APA
复制
导出至
BibTeX EndNote RefMan NoteFirst NoteExpress
×
提示
您的信息不完整,为了账户安全,请先补充。
现在去补充
×
提示
您因"违规操作"
具体请查看互助需知
我知道了
×
提示
确定
请完成安全验证×
copy
已复制链接
快去分享给好友吧!
我知道了
右上角分享
点击右上角分享
0
联系我们:info@booksci.cn Book学术提供免费学术资源搜索服务,方便国内外学者检索中英文文献。致力于提供最便捷和优质的服务体验。 Copyright © 2023 布克学术 All rights reserved.
京ICP备2023020795号-1
ghs 京公网安备 11010802042870号
Book学术文献互助
Book学术文献互助群
群 号:604180095
Book学术官方微信