Kohlschütter-Tönz综合征:一个罕见的临床实体与两个兄弟姐妹的淀粉性发育不全,牙科管理和范围审查。

IF 1.7 Q3 PEDIATRICS
Ecem Akbeyaz Şivet, İsmail Hakkı Akbeyaz, Gülcan Berkel, Ahmet Yeşilyurt, Berkant Sezer, Ali Menteş
{"title":"Kohlschütter-Tönz综合征:一个罕见的临床实体与两个兄弟姐妹的淀粉性发育不全,牙科管理和范围审查。","authors":"Ecem Akbeyaz Şivet, İsmail Hakkı Akbeyaz, Gülcan Berkel, Ahmet Yeşilyurt, Berkant Sezer, Ali Menteş","doi":"10.5152/TurkArchPediatr.2025.25085","DOIUrl":null,"url":null,"abstract":"<p><p>Kohlschütter-Tönz syndrome (KTS) (OMIM#226750) is a rare autosomal recessive disorder characterized by epileptic encephalopathy, developmental delay, and amelogenesis imperfecta. Early diagnosis and management are crucial, but the complexity of symptoms, particularly dental and neurological impairments, poses significant challenges. The aim of this report is to describe the clinical findings of 2 siblings and their dental management, whose dental examination led to genetic referral and subsequent diagnosis of KTS. Dental examinations revealed enamel defects consistent with amelogenesis imperfecta, including yellow-brown discoloration, soft enamel, and diastemas in both siblings. The younger sibling, a 9-year-old boy, exhibited early-onset seizures, intellectual disability, spasticity, and a history of kidney stones. The older sibling, a 13-year-old boy, presented with more severe neurodevelopmental delay, early-onset seizures, and drug-resistant epilepsy. Genetic testing confirmed homozygous deletions in the ROGDI gene, leading to the diagnosis of KTS in both siblings. The younger sibling received successful restorative treatment under general anesthesia, while the older sibling's oral care was managed conservatively due to contraindications for general anesthesia. These cases underscore the importance of pediatric dentists in the early identification of rare genetic disorders such as KTS, especially when dental anomalies like amelogenesis imperfecta are present. Timely referral for genetic evaluation can facilitate accurate diagnosis and appropriate care planning. Moreover, sharing clinical experiences and treatment outcomes contributes to a better understanding of this rare syndrome and helps guide future diagnostic and therapeutic strategies.</p>","PeriodicalId":75267,"journal":{"name":"Turkish archives of pediatrics","volume":"60 5","pages":"546-551"},"PeriodicalIF":1.7000,"publicationDate":"2025-09-01","publicationTypes":"Journal Article","fieldsOfStudy":null,"isOpenAccess":false,"openAccessPdf":"https://www.ncbi.nlm.nih.gov/pmc/articles/PMC12432100/pdf/","citationCount":"0","resultStr":"{\"title\":\"Kohlschütter-Tönz Syndrome: A Rare Clinical Entity with Amelogenesis Imperfecta in Two Siblings, Dental Management and Scoping Review.\",\"authors\":\"Ecem Akbeyaz Şivet, İsmail Hakkı Akbeyaz, Gülcan Berkel, Ahmet Yeşilyurt, Berkant Sezer, Ali Menteş\",\"doi\":\"10.5152/TurkArchPediatr.2025.25085\",\"DOIUrl\":null,\"url\":null,\"abstract\":\"<p><p>Kohlschütter-Tönz syndrome (KTS) (OMIM#226750) is a rare autosomal recessive disorder characterized by epileptic encephalopathy, developmental delay, and amelogenesis imperfecta. Early diagnosis and management are crucial, but the complexity of symptoms, particularly dental and neurological impairments, poses significant challenges. The aim of this report is to describe the clinical findings of 2 siblings and their dental management, whose dental examination led to genetic referral and subsequent diagnosis of KTS. Dental examinations revealed enamel defects consistent with amelogenesis imperfecta, including yellow-brown discoloration, soft enamel, and diastemas in both siblings. The younger sibling, a 9-year-old boy, exhibited early-onset seizures, intellectual disability, spasticity, and a history of kidney stones. The older sibling, a 13-year-old boy, presented with more severe neurodevelopmental delay, early-onset seizures, and drug-resistant epilepsy. Genetic testing confirmed homozygous deletions in the ROGDI gene, leading to the diagnosis of KTS in both siblings. The younger sibling received successful restorative treatment under general anesthesia, while the older sibling's oral care was managed conservatively due to contraindications for general anesthesia. These cases underscore the importance of pediatric dentists in the early identification of rare genetic disorders such as KTS, especially when dental anomalies like amelogenesis imperfecta are present. Timely referral for genetic evaluation can facilitate accurate diagnosis and appropriate care planning. Moreover, sharing clinical experiences and treatment outcomes contributes to a better understanding of this rare syndrome and helps guide future diagnostic and therapeutic strategies.</p>\",\"PeriodicalId\":75267,\"journal\":{\"name\":\"Turkish archives of pediatrics\",\"volume\":\"60 5\",\"pages\":\"546-551\"},\"PeriodicalIF\":1.7000,\"publicationDate\":\"2025-09-01\",\"publicationTypes\":\"Journal Article\",\"fieldsOfStudy\":null,\"isOpenAccess\":false,\"openAccessPdf\":\"https://www.ncbi.nlm.nih.gov/pmc/articles/PMC12432100/pdf/\",\"citationCount\":\"0\",\"resultStr\":null,\"platform\":\"Semanticscholar\",\"paperid\":null,\"PeriodicalName\":\"Turkish archives of pediatrics\",\"FirstCategoryId\":\"1085\",\"ListUrlMain\":\"https://doi.org/10.5152/TurkArchPediatr.2025.25085\",\"RegionNum\":0,\"RegionCategory\":null,\"ArticlePicture\":[],\"TitleCN\":null,\"AbstractTextCN\":null,\"PMCID\":null,\"EPubDate\":\"\",\"PubModel\":\"\",\"JCR\":\"Q3\",\"JCRName\":\"PEDIATRICS\",\"Score\":null,\"Total\":0}","platform":"Semanticscholar","paperid":null,"PeriodicalName":"Turkish archives of pediatrics","FirstCategoryId":"1085","ListUrlMain":"https://doi.org/10.5152/TurkArchPediatr.2025.25085","RegionNum":0,"RegionCategory":null,"ArticlePicture":[],"TitleCN":null,"AbstractTextCN":null,"PMCID":null,"EPubDate":"","PubModel":"","JCR":"Q3","JCRName":"PEDIATRICS","Score":null,"Total":0}
引用次数: 0

摘要

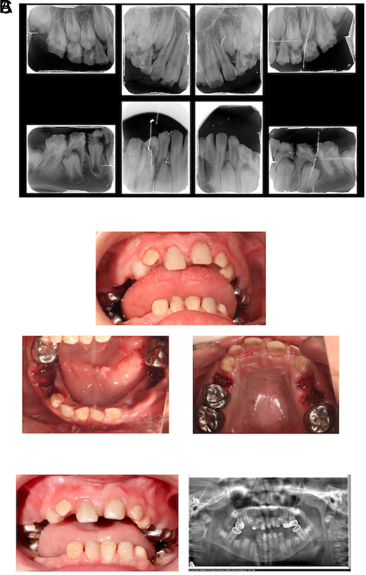
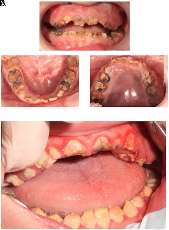
Kohlschütter-Tönz综合征(KTS) (OMIM#226750)是一种罕见的常染色体隐性遗传病,其特征为癫痫性脑病、发育迟缓和淀粉样变性不全。早期诊断和治疗至关重要,但症状的复杂性,特别是牙齿和神经损伤,构成了重大挑战。本报告的目的是描述2个兄弟姐妹的临床表现和他们的牙科管理,他们的牙科检查导致遗传转诊和随后诊断为KTS。牙科检查显示,两名兄弟姐妹的牙釉质缺陷与淀粉原性不完全性一致,包括黄棕色变色,软牙釉质和裂口。弟妹,一名9岁男孩,表现为早发性癫痫、智力残疾、痉挛和肾结石病史。哥哥是一名13岁的男孩,表现出更严重的神经发育迟缓、早发性癫痫和耐药性癫痫。基因检测证实了ROGDI基因的纯合缺失,从而在两个兄弟姐妹中诊断为KTS。弟弟妹妹在全身麻醉下接受了成功的恢复性治疗,而哥哥姐姐的口腔护理由于全身麻醉的禁忌症而被保守管理。这些病例强调了儿科牙医在早期识别罕见遗传疾病(如KTS)中的重要性,特别是当存在牙齿畸形(如无晶面发育不全)时。及时转诊进行遗传评估可以促进准确的诊断和适当的护理计划。此外,分享临床经验和治疗结果有助于更好地了解这种罕见综合征,并有助于指导未来的诊断和治疗策略。
本文章由计算机程序翻译,如有差异,请以英文原文为准。

Kohlschütter-Tönz Syndrome: A Rare Clinical Entity with Amelogenesis Imperfecta in Two Siblings, Dental Management and Scoping Review.

Kohlschütter-Tönz Syndrome: A Rare Clinical Entity with Amelogenesis Imperfecta in Two Siblings, Dental Management and Scoping Review.

Kohlschütter-Tönz Syndrome: A Rare Clinical Entity with Amelogenesis Imperfecta in Two Siblings, Dental Management and Scoping Review.

Kohlschütter-Tönz Syndrome: A Rare Clinical Entity with Amelogenesis Imperfecta in Two Siblings, Dental Management and Scoping Review.

Kohlschütter-Tönz syndrome (KTS) (OMIM#226750) is a rare autosomal recessive disorder characterized by epileptic encephalopathy, developmental delay, and amelogenesis imperfecta. Early diagnosis and management are crucial, but the complexity of symptoms, particularly dental and neurological impairments, poses significant challenges. The aim of this report is to describe the clinical findings of 2 siblings and their dental management, whose dental examination led to genetic referral and subsequent diagnosis of KTS. Dental examinations revealed enamel defects consistent with amelogenesis imperfecta, including yellow-brown discoloration, soft enamel, and diastemas in both siblings. The younger sibling, a 9-year-old boy, exhibited early-onset seizures, intellectual disability, spasticity, and a history of kidney stones. The older sibling, a 13-year-old boy, presented with more severe neurodevelopmental delay, early-onset seizures, and drug-resistant epilepsy. Genetic testing confirmed homozygous deletions in the ROGDI gene, leading to the diagnosis of KTS in both siblings. The younger sibling received successful restorative treatment under general anesthesia, while the older sibling's oral care was managed conservatively due to contraindications for general anesthesia. These cases underscore the importance of pediatric dentists in the early identification of rare genetic disorders such as KTS, especially when dental anomalies like amelogenesis imperfecta are present. Timely referral for genetic evaluation can facilitate accurate diagnosis and appropriate care planning. Moreover, sharing clinical experiences and treatment outcomes contributes to a better understanding of this rare syndrome and helps guide future diagnostic and therapeutic strategies.

求助全文
通过发布文献求助,成功后即可免费获取论文全文。 去求助
来源期刊
CiteScore
2.00
自引率
0.00%
发文量
0
×
引用
GB/T 7714-2015
复制
MLA
复制
APA
复制
导出至
BibTeX EndNote RefMan NoteFirst NoteExpress
×
提示
您的信息不完整,为了账户安全,请先补充。
现在去补充
×
提示
您因"违规操作"
具体请查看互助需知
我知道了
×
提示
确定
请完成安全验证×
copy
已复制链接
快去分享给好友吧!
我知道了
右上角分享
点击右上角分享
0
联系我们:info@booksci.cn Book学术提供免费学术资源搜索服务,方便国内外学者检索中英文文献。致力于提供最便捷和优质的服务体验。 Copyright © 2023 布克学术 All rights reserved.
京ICP备2023020795号-1
ghs 京公网安备 11010802042870号
Book学术文献互助
Book学术文献互助群
群 号:604180095
Book学术官方微信