一种罕见的黑色素瘤变体:淋巴结转移的小细胞恶性黑色素瘤。

IF 1 4区 医学 Q4 MEDICAL LABORATORY TECHNOLOGY
Journal of Cytology Pub Date : 2025-07-01 Epub Date: 2025-08-29 DOI:10.4103/joc.joc_64_24
Egemen Akincioglu, Tolga Baglan
{"title":"一种罕见的黑色素瘤变体:淋巴结转移的小细胞恶性黑色素瘤。","authors":"Egemen Akincioglu, Tolga Baglan","doi":"10.4103/joc.joc_64_24","DOIUrl":null,"url":null,"abstract":"<p><p>Small cell malignant melanoma (SCMM) is a rare melanoma variant, and its prognosis is worse than other melanomas. A case of SCMM metastasis on the mediastinal lymph node is presented in this study. A 54-year-old male patient had a lesion on the palmar side of the right hand and mediastinal lymph node metastasis. Fine needle aspiration biopsies were performed from the lymph nodes. Cytologically, cellular smears consisted of isolated discohesive cells, nuclear aggregates, small layers of cells, and pseudo-rosettes. Two kinds of cells were observed: one with small, round-oval cells, and the other with small to medium cells. Immunohistochemically, tumor cells were positive with S-100, SRY-related HMG-box gene 10, MelanA, and human melanoma black 45. Friend leukemia virus integration 1 was positive in over 10% of tumor cells. Metastatic malignant melanoma may present with different cytomorphologic features. SCMM is a tumor to be aware of because it can be confused with other small round blue cells and misdiagnosed.</p>","PeriodicalId":50217,"journal":{"name":"Journal of Cytology","volume":"42 3","pages":"175-177"},"PeriodicalIF":1.0000,"publicationDate":"2025-07-01","publicationTypes":"Journal Article","fieldsOfStudy":null,"isOpenAccess":false,"openAccessPdf":"https://www.ncbi.nlm.nih.gov/pmc/articles/PMC12435872/pdf/","citationCount":"0","resultStr":"{\"title\":\"A Rare Melanoma Variant: Small Cell Malignant Melanoma Metastasis in the Lymph Node.\",\"authors\":\"Egemen Akincioglu, Tolga Baglan\",\"doi\":\"10.4103/joc.joc_64_24\",\"DOIUrl\":null,\"url\":null,\"abstract\":\"<p><p>Small cell malignant melanoma (SCMM) is a rare melanoma variant, and its prognosis is worse than other melanomas. A case of SCMM metastasis on the mediastinal lymph node is presented in this study. A 54-year-old male patient had a lesion on the palmar side of the right hand and mediastinal lymph node metastasis. Fine needle aspiration biopsies were performed from the lymph nodes. Cytologically, cellular smears consisted of isolated discohesive cells, nuclear aggregates, small layers of cells, and pseudo-rosettes. Two kinds of cells were observed: one with small, round-oval cells, and the other with small to medium cells. Immunohistochemically, tumor cells were positive with S-100, SRY-related HMG-box gene 10, MelanA, and human melanoma black 45. Friend leukemia virus integration 1 was positive in over 10% of tumor cells. Metastatic malignant melanoma may present with different cytomorphologic features. SCMM is a tumor to be aware of because it can be confused with other small round blue cells and misdiagnosed.</p>\",\"PeriodicalId\":50217,\"journal\":{\"name\":\"Journal of Cytology\",\"volume\":\"42 3\",\"pages\":\"175-177\"},\"PeriodicalIF\":1.0000,\"publicationDate\":\"2025-07-01\",\"publicationTypes\":\"Journal Article\",\"fieldsOfStudy\":null,\"isOpenAccess\":false,\"openAccessPdf\":\"https://www.ncbi.nlm.nih.gov/pmc/articles/PMC12435872/pdf/\",\"citationCount\":\"0\",\"resultStr\":null,\"platform\":\"Semanticscholar\",\"paperid\":null,\"PeriodicalName\":\"Journal of Cytology\",\"FirstCategoryId\":\"3\",\"ListUrlMain\":\"https://doi.org/10.4103/joc.joc_64_24\",\"RegionNum\":4,\"RegionCategory\":\"医学\",\"ArticlePicture\":[],\"TitleCN\":null,\"AbstractTextCN\":null,\"PMCID\":null,\"EPubDate\":\"2025/8/29 0:00:00\",\"PubModel\":\"Epub\",\"JCR\":\"Q4\",\"JCRName\":\"MEDICAL LABORATORY TECHNOLOGY\",\"Score\":null,\"Total\":0}","platform":"Semanticscholar","paperid":null,"PeriodicalName":"Journal of Cytology","FirstCategoryId":"3","ListUrlMain":"https://doi.org/10.4103/joc.joc_64_24","RegionNum":4,"RegionCategory":"医学","ArticlePicture":[],"TitleCN":null,"AbstractTextCN":null,"PMCID":null,"EPubDate":"2025/8/29 0:00:00","PubModel":"Epub","JCR":"Q4","JCRName":"MEDICAL LABORATORY TECHNOLOGY","Score":null,"Total":0}
引用次数: 0

摘要

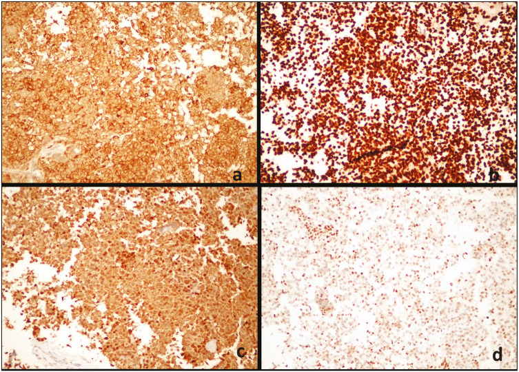
小细胞恶性黑色素瘤(SCMM)是一种罕见的黑色素瘤变体,其预后比其他黑色素瘤差。本研究报告一例SCMM转移至纵隔淋巴结。男性,54岁,右手掌侧病变伴纵隔淋巴结转移。淋巴结行细针穿刺活检。细胞学上,细胞涂片由分离的分离细胞、核聚集体、小细胞层和伪莲座组成。观察到两种细胞:一种是小的,圆形的卵圆形细胞,另一种是小到中等的细胞。免疫组化结果显示,肿瘤细胞S-100、sry相关HMG-box基因10、MelanA和人黑素瘤45阳性。超过10%的肿瘤细胞呈Friend白血病病毒整合1阳性。转移性恶性黑色素瘤可能表现出不同的细胞形态学特征。SCMM是一种需要注意的肿瘤,因为它可能与其他小的圆形蓝色细胞混淆而误诊。
本文章由计算机程序翻译,如有差异,请以英文原文为准。

A Rare Melanoma Variant: Small Cell Malignant Melanoma Metastasis in the Lymph Node.

A Rare Melanoma Variant: Small Cell Malignant Melanoma Metastasis in the Lymph Node.

A Rare Melanoma Variant: Small Cell Malignant Melanoma Metastasis in the Lymph Node.

Small cell malignant melanoma (SCMM) is a rare melanoma variant, and its prognosis is worse than other melanomas. A case of SCMM metastasis on the mediastinal lymph node is presented in this study. A 54-year-old male patient had a lesion on the palmar side of the right hand and mediastinal lymph node metastasis. Fine needle aspiration biopsies were performed from the lymph nodes. Cytologically, cellular smears consisted of isolated discohesive cells, nuclear aggregates, small layers of cells, and pseudo-rosettes. Two kinds of cells were observed: one with small, round-oval cells, and the other with small to medium cells. Immunohistochemically, tumor cells were positive with S-100, SRY-related HMG-box gene 10, MelanA, and human melanoma black 45. Friend leukemia virus integration 1 was positive in over 10% of tumor cells. Metastatic malignant melanoma may present with different cytomorphologic features. SCMM is a tumor to be aware of because it can be confused with other small round blue cells and misdiagnosed.

求助全文
通过发布文献求助,成功后即可免费获取论文全文。 去求助
来源期刊
Journal of Cytology
Journal of Cytology MEDICAL LABORATORY TECHNOLOGY-
CiteScore
1.80
自引率
7.70%
发文量
34
审稿时长
46 weeks
期刊介绍: The Journal of Cytology is the official Quarterly publication of the Indian Academy of Cytologists. It is in the 25th year of publication in the year 2008. The journal covers all aspects of diagnostic cytology, including fine needle aspiration cytology, gynecological and non-gynecological cytology. Articles on ancillary techniques, like cytochemistry, immunocytochemistry, electron microscopy, molecular cytopathology, as applied to cytological material are also welcome. The journal gives preference to clinically oriented studies over experimental and animal studies. The Journal would publish peer-reviewed original research papers, case reports, systematic reviews, meta-analysis, and debates.
×
引用
GB/T 7714-2015
复制
MLA
复制
APA
复制
导出至
BibTeX EndNote RefMan NoteFirst NoteExpress
×
提示
您的信息不完整,为了账户安全,请先补充。
现在去补充
×
提示
您因"违规操作"
具体请查看互助需知
我知道了
×
提示
确定
请完成安全验证×
copy
已复制链接
快去分享给好友吧!
我知道了
右上角分享
点击右上角分享
0
联系我们:info@booksci.cn Book学术提供免费学术资源搜索服务,方便国内外学者检索中英文文献。致力于提供最便捷和优质的服务体验。 Copyright © 2023 布克学术 All rights reserved.
京ICP备2023020795号-1
ghs 京公网安备 11010802042870号
Book学术文献互助
Book学术文献互助群
群 号:604180095
Book学术官方微信