上消化道内镜活检中触印、挤压细胞学与组织病理学的比较研究。

IF 1 4区 医学 Q4 MEDICAL LABORATORY TECHNOLOGY
Journal of Cytology Pub Date : 2025-07-01 Epub Date: 2025-08-29 DOI:10.4103/joc.joc_102_24
Akanksha Kalita, Prajwala Gupta, Kanika Rastogi, Vaishali Bhardwaj
{"title":"上消化道内镜活检中触印、挤压细胞学与组织病理学的比较研究。","authors":"Akanksha Kalita, Prajwala Gupta, Kanika Rastogi, Vaishali Bhardwaj","doi":"10.4103/joc.joc_102_24","DOIUrl":null,"url":null,"abstract":"<p><strong>Background: </strong>Touch imprint and crush cytology are simple, rapid, and cost-effective methods to distinguish between benign and malignant lesions, particularly in sentinel lymph nodes, ovarian neoplasms, and central nervous system tumors. This study was undertaken to assess the utility of imprint and crush cytology in making the diagnosis of both malignant as well as non-neoplastic diseases of the upper gastrointestinal (UGI) tract and compare the results with corresponding histopathology.</p><p><strong>Materials and methods: </strong>The study was conducted on patients who underwent UGI endoscopic biopsies over a period of 1.5 years. Touch imprints and crush smears were prepared for each case and stained with Giemsa and Papanicolaou stains. The cytology results were compared with the corresponding histopathology.</p><p><strong>Results: </strong>The overall sensitivity and specificity of imprint and crush cytology when compared to histopathology were found to be 95.7% and 98.8%, respectively. For <i>Helicobacter pylori</i> infection, the sensitivity, specificity, and diagnostic accuracy of cytology were 71.4%, 99%, and 97.19%, respectively. Both crush and imprint smears had similar efficacy in rendering the cytological diagnosis.</p><p><strong>Conclusion: </strong>Imprint/crush smear cytology is a valuable complement to histopathology in UGI endoscopic biopsies. Evaluation of biopsy adequacy, distinguishing between malignant and benign lesions, and diagnosing specific infections such as <i>H. pylori</i>, Candia, and Herpes simplex virus are reliably possible on impression cytology.</p>","PeriodicalId":50217,"journal":{"name":"Journal of Cytology","volume":"42 3","pages":"163-169"},"PeriodicalIF":1.0000,"publicationDate":"2025-07-01","publicationTypes":"Journal Article","fieldsOfStudy":null,"isOpenAccess":false,"openAccessPdf":"https://www.ncbi.nlm.nih.gov/pmc/articles/PMC12435877/pdf/","citationCount":"0","resultStr":"{\"title\":\"A Comparative Study of Touch Imprint and Crush Cytology with Histopathology in Upper Gastrointestinal Endoscopic Biopsies.\",\"authors\":\"Akanksha Kalita, Prajwala Gupta, Kanika Rastogi, Vaishali Bhardwaj\",\"doi\":\"10.4103/joc.joc_102_24\",\"DOIUrl\":null,\"url\":null,\"abstract\":\"<p><strong>Background: </strong>Touch imprint and crush cytology are simple, rapid, and cost-effective methods to distinguish between benign and malignant lesions, particularly in sentinel lymph nodes, ovarian neoplasms, and central nervous system tumors. This study was undertaken to assess the utility of imprint and crush cytology in making the diagnosis of both malignant as well as non-neoplastic diseases of the upper gastrointestinal (UGI) tract and compare the results with corresponding histopathology.</p><p><strong>Materials and methods: </strong>The study was conducted on patients who underwent UGI endoscopic biopsies over a period of 1.5 years. Touch imprints and crush smears were prepared for each case and stained with Giemsa and Papanicolaou stains. The cytology results were compared with the corresponding histopathology.</p><p><strong>Results: </strong>The overall sensitivity and specificity of imprint and crush cytology when compared to histopathology were found to be 95.7% and 98.8%, respectively. For <i>Helicobacter pylori</i> infection, the sensitivity, specificity, and diagnostic accuracy of cytology were 71.4%, 99%, and 97.19%, respectively. Both crush and imprint smears had similar efficacy in rendering the cytological diagnosis.</p><p><strong>Conclusion: </strong>Imprint/crush smear cytology is a valuable complement to histopathology in UGI endoscopic biopsies. Evaluation of biopsy adequacy, distinguishing between malignant and benign lesions, and diagnosing specific infections such as <i>H. pylori</i>, Candia, and Herpes simplex virus are reliably possible on impression cytology.</p>\",\"PeriodicalId\":50217,\"journal\":{\"name\":\"Journal of Cytology\",\"volume\":\"42 3\",\"pages\":\"163-169\"},\"PeriodicalIF\":1.0000,\"publicationDate\":\"2025-07-01\",\"publicationTypes\":\"Journal Article\",\"fieldsOfStudy\":null,\"isOpenAccess\":false,\"openAccessPdf\":\"https://www.ncbi.nlm.nih.gov/pmc/articles/PMC12435877/pdf/\",\"citationCount\":\"0\",\"resultStr\":null,\"platform\":\"Semanticscholar\",\"paperid\":null,\"PeriodicalName\":\"Journal of Cytology\",\"FirstCategoryId\":\"3\",\"ListUrlMain\":\"https://doi.org/10.4103/joc.joc_102_24\",\"RegionNum\":4,\"RegionCategory\":\"医学\",\"ArticlePicture\":[],\"TitleCN\":null,\"AbstractTextCN\":null,\"PMCID\":null,\"EPubDate\":\"2025/8/29 0:00:00\",\"PubModel\":\"Epub\",\"JCR\":\"Q4\",\"JCRName\":\"MEDICAL LABORATORY TECHNOLOGY\",\"Score\":null,\"Total\":0}","platform":"Semanticscholar","paperid":null,"PeriodicalName":"Journal of Cytology","FirstCategoryId":"3","ListUrlMain":"https://doi.org/10.4103/joc.joc_102_24","RegionNum":4,"RegionCategory":"医学","ArticlePicture":[],"TitleCN":null,"AbstractTextCN":null,"PMCID":null,"EPubDate":"2025/8/29 0:00:00","PubModel":"Epub","JCR":"Q4","JCRName":"MEDICAL LABORATORY TECHNOLOGY","Score":null,"Total":0}
引用次数: 0

摘要

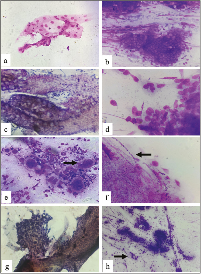
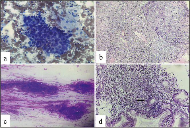
背景:触摸印记和挤压细胞学是一种简单、快速、经济的方法,用于区分良恶性病变,特别是前哨淋巴结、卵巢肿瘤和中枢神经系统肿瘤。本研究旨在评估印迹细胞学和挤压细胞学在诊断上胃肠道(UGI)的恶性和非肿瘤性疾病中的应用,并将结果与相应的组织病理学进行比较。材料和方法:研究对象为接受UGI内镜活检的患者,时间为1.5年。为每个病例准备了接触印迹和压痕涂片,并用吉姆萨和帕帕尼科劳染色。将细胞学结果与相应的组织病理学结果进行比较。结果:与组织病理学相比,印迹细胞学和粉碎细胞学的总体敏感性和特异性分别为95.7%和98.8%。对于幽门螺杆菌感染,细胞学检查的敏感性为71.4%,特异性为99%,诊断准确率为97.19%。压痕涂片和压痕涂片在细胞学诊断方面具有相似的疗效。结论:压印/挤压涂片细胞学是UGI内镜活检中组织病理学的重要补充。对活检充分性的评估,区分恶性和良性病变,以及诊断特定感染,如幽门螺杆菌、念珠菌和单纯疱疹病毒,在印象细胞学上是可靠的。
本文章由计算机程序翻译,如有差异,请以英文原文为准。

A Comparative Study of Touch Imprint and Crush Cytology with Histopathology in Upper Gastrointestinal Endoscopic Biopsies.

A Comparative Study of Touch Imprint and Crush Cytology with Histopathology in Upper Gastrointestinal Endoscopic Biopsies.

A Comparative Study of Touch Imprint and Crush Cytology with Histopathology in Upper Gastrointestinal Endoscopic Biopsies.

Background: Touch imprint and crush cytology are simple, rapid, and cost-effective methods to distinguish between benign and malignant lesions, particularly in sentinel lymph nodes, ovarian neoplasms, and central nervous system tumors. This study was undertaken to assess the utility of imprint and crush cytology in making the diagnosis of both malignant as well as non-neoplastic diseases of the upper gastrointestinal (UGI) tract and compare the results with corresponding histopathology.

Materials and methods: The study was conducted on patients who underwent UGI endoscopic biopsies over a period of 1.5 years. Touch imprints and crush smears were prepared for each case and stained with Giemsa and Papanicolaou stains. The cytology results were compared with the corresponding histopathology.

Results: The overall sensitivity and specificity of imprint and crush cytology when compared to histopathology were found to be 95.7% and 98.8%, respectively. For Helicobacter pylori infection, the sensitivity, specificity, and diagnostic accuracy of cytology were 71.4%, 99%, and 97.19%, respectively. Both crush and imprint smears had similar efficacy in rendering the cytological diagnosis.

Conclusion: Imprint/crush smear cytology is a valuable complement to histopathology in UGI endoscopic biopsies. Evaluation of biopsy adequacy, distinguishing between malignant and benign lesions, and diagnosing specific infections such as H. pylori, Candia, and Herpes simplex virus are reliably possible on impression cytology.

求助全文
通过发布文献求助,成功后即可免费获取论文全文。 去求助
来源期刊
Journal of Cytology
Journal of Cytology MEDICAL LABORATORY TECHNOLOGY-
CiteScore
1.80
自引率
7.70%
发文量
34
审稿时长
46 weeks
期刊介绍: The Journal of Cytology is the official Quarterly publication of the Indian Academy of Cytologists. It is in the 25th year of publication in the year 2008. The journal covers all aspects of diagnostic cytology, including fine needle aspiration cytology, gynecological and non-gynecological cytology. Articles on ancillary techniques, like cytochemistry, immunocytochemistry, electron microscopy, molecular cytopathology, as applied to cytological material are also welcome. The journal gives preference to clinically oriented studies over experimental and animal studies. The Journal would publish peer-reviewed original research papers, case reports, systematic reviews, meta-analysis, and debates.
×
引用
GB/T 7714-2015
复制
MLA
复制
APA
复制
导出至
BibTeX EndNote RefMan NoteFirst NoteExpress
×
提示
您的信息不完整,为了账户安全,请先补充。
现在去补充
×
提示
您因"违规操作"
具体请查看互助需知
我知道了
×
提示
确定
请完成安全验证×
copy
已复制链接
快去分享给好友吧!
我知道了
右上角分享
点击右上角分享
0
联系我们:info@booksci.cn Book学术提供免费学术资源搜索服务,方便国内外学者检索中英文文献。致力于提供最便捷和优质的服务体验。 Copyright © 2023 布克学术 All rights reserved.
京ICP备2023020795号-1
ghs 京公网安备 11010802042870号
Book学术文献互助
Book学术文献互助群
群 号:604180095
Book学术官方微信