罕见的成人原发性轻脑膜髓母细胞瘤1例。

IF 0.5 Q4 PATHOLOGY
Case Reports in Pathology Pub Date : 2025-09-08 eCollection Date: 2025-01-01 DOI:10.1155/crip/8937543
Grace E Hey, Megan E H Still, Rachel S F Moor, Amanda Stanton, Duane A Mitchell, Brent A Orr, Jesse L Kresak, Anthony A Yachnis, Tara Massini, Ashley P Ghiaseddin
{"title":"罕见的成人原发性轻脑膜髓母细胞瘤1例。","authors":"Grace E Hey, Megan E H Still, Rachel S F Moor, Amanda Stanton, Duane A Mitchell, Brent A Orr, Jesse L Kresak, Anthony A Yachnis, Tara Massini, Ashley P Ghiaseddin","doi":"10.1155/crip/8937543","DOIUrl":null,"url":null,"abstract":"<p><p>Medulloblastomas are tumors of the posterior fossa that have a propensity to develop leptomeningeal metastases along the spinal cord, commonly known as \"drop metastases.\" Medulloblastoma accounts for approximately 1%-2% of all adult brain tumors, and reports of primary leptomeningeal medulloblastoma are extremely limited. Herein, we present a rare case of a 34-year-old woman diagnosed with multifocal primary spinal leptomeningeal medulloblastoma without cranial involvement.</p>","PeriodicalId":45638,"journal":{"name":"Case Reports in Pathology","volume":"2025 ","pages":"8937543"},"PeriodicalIF":0.5000,"publicationDate":"2025-09-08","publicationTypes":"Journal Article","fieldsOfStudy":null,"isOpenAccess":false,"openAccessPdf":"https://www.ncbi.nlm.nih.gov/pmc/articles/PMC12436001/pdf/","citationCount":"0","resultStr":"{\"title\":\"A Rare Presentation of Adult Primary Leptomeningeal Medulloblastoma: Case Report.\",\"authors\":\"Grace E Hey, Megan E H Still, Rachel S F Moor, Amanda Stanton, Duane A Mitchell, Brent A Orr, Jesse L Kresak, Anthony A Yachnis, Tara Massini, Ashley P Ghiaseddin\",\"doi\":\"10.1155/crip/8937543\",\"DOIUrl\":null,\"url\":null,\"abstract\":\"<p><p>Medulloblastomas are tumors of the posterior fossa that have a propensity to develop leptomeningeal metastases along the spinal cord, commonly known as \\\"drop metastases.\\\" Medulloblastoma accounts for approximately 1%-2% of all adult brain tumors, and reports of primary leptomeningeal medulloblastoma are extremely limited. Herein, we present a rare case of a 34-year-old woman diagnosed with multifocal primary spinal leptomeningeal medulloblastoma without cranial involvement.</p>\",\"PeriodicalId\":45638,\"journal\":{\"name\":\"Case Reports in Pathology\",\"volume\":\"2025 \",\"pages\":\"8937543\"},\"PeriodicalIF\":0.5000,\"publicationDate\":\"2025-09-08\",\"publicationTypes\":\"Journal Article\",\"fieldsOfStudy\":null,\"isOpenAccess\":false,\"openAccessPdf\":\"https://www.ncbi.nlm.nih.gov/pmc/articles/PMC12436001/pdf/\",\"citationCount\":\"0\",\"resultStr\":null,\"platform\":\"Semanticscholar\",\"paperid\":null,\"PeriodicalName\":\"Case Reports in Pathology\",\"FirstCategoryId\":\"1085\",\"ListUrlMain\":\"https://doi.org/10.1155/crip/8937543\",\"RegionNum\":0,\"RegionCategory\":null,\"ArticlePicture\":[],\"TitleCN\":null,\"AbstractTextCN\":null,\"PMCID\":null,\"EPubDate\":\"2025/1/1 0:00:00\",\"PubModel\":\"eCollection\",\"JCR\":\"Q4\",\"JCRName\":\"PATHOLOGY\",\"Score\":null,\"Total\":0}","platform":"Semanticscholar","paperid":null,"PeriodicalName":"Case Reports in Pathology","FirstCategoryId":"1085","ListUrlMain":"https://doi.org/10.1155/crip/8937543","RegionNum":0,"RegionCategory":null,"ArticlePicture":[],"TitleCN":null,"AbstractTextCN":null,"PMCID":null,"EPubDate":"2025/1/1 0:00:00","PubModel":"eCollection","JCR":"Q4","JCRName":"PATHOLOGY","Score":null,"Total":0}
引用次数: 0

摘要

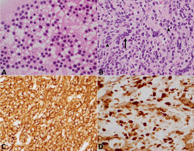
髓母细胞瘤是后颅窝的肿瘤,有沿脊髓发展为轻脑膜转移的倾向,通常称为“滴状转移”。髓母细胞瘤约占所有成人脑肿瘤的1%-2%,原发性脑脊膜髓母细胞瘤的报道非常有限。在此,我们提出一个罕见的病例,34岁的女性诊断为多灶性原发性脊髓轻脑膜髓母细胞瘤,没有颅脑受累。
本文章由计算机程序翻译,如有差异,请以英文原文为准。

A Rare Presentation of Adult Primary Leptomeningeal Medulloblastoma: Case Report.

A Rare Presentation of Adult Primary Leptomeningeal Medulloblastoma: Case Report.

A Rare Presentation of Adult Primary Leptomeningeal Medulloblastoma: Case Report.

A Rare Presentation of Adult Primary Leptomeningeal Medulloblastoma: Case Report.

Medulloblastomas are tumors of the posterior fossa that have a propensity to develop leptomeningeal metastases along the spinal cord, commonly known as "drop metastases." Medulloblastoma accounts for approximately 1%-2% of all adult brain tumors, and reports of primary leptomeningeal medulloblastoma are extremely limited. Herein, we present a rare case of a 34-year-old woman diagnosed with multifocal primary spinal leptomeningeal medulloblastoma without cranial involvement.

求助全文
通过发布文献求助,成功后即可免费获取论文全文。 去求助
来源期刊
自引率
0.00%
发文量
20
审稿时长
12 weeks
×
引用
GB/T 7714-2015
复制
MLA
复制
APA
复制
导出至
BibTeX EndNote RefMan NoteFirst NoteExpress
×
提示
您的信息不完整,为了账户安全,请先补充。
现在去补充
×
提示
您因"违规操作"
具体请查看互助需知
我知道了
×
提示
确定
请完成安全验证×
copy
已复制链接
快去分享给好友吧!
我知道了
右上角分享
点击右上角分享
0
联系我们:info@booksci.cn Book学术提供免费学术资源搜索服务,方便国内外学者检索中英文文献。致力于提供最便捷和优质的服务体验。 Copyright © 2023 布克学术 All rights reserved.
京ICP备2023020795号-1
ghs 京公网安备 11010802042870号
Book学术文献互助
Book学术文献互助群
群 号:604180095
Book学术官方微信