一例罕见的年轻女性原发性膀胱印戒细胞癌。

Case Reports in Urology Pub Date : 2025-09-08 eCollection Date: 2025-01-01 DOI:10.1155/criu/9204085
Pavlo Synoverskyy, Sameh Hijazi, Thomas Krüer, Axel Haferkamp, Maximilian P Brandt
{"title":"一例罕见的年轻女性原发性膀胱印戒细胞癌。","authors":"Pavlo Synoverskyy, Sameh Hijazi, Thomas Krüer, Axel Haferkamp, Maximilian P Brandt","doi":"10.1155/criu/9204085","DOIUrl":null,"url":null,"abstract":"<p><p>Primary signet ring cell carcinoma of the urinary bladder (PSRCCB) is an exceedingly rare subtype of urinary bladder carcinoma, comprising 0.12%-0.6% of cases, with a poor prognosis. This case report details a distinctive case of a 32-year-old woman with PSRCCB, presenting without typical risk factors and posing diagnostic and therapeutic challenges. Initial symptoms included urinary tract infection and lower abdominal pain. Imaging and histological assessments identified a mucinous adenocarcinoma with signet ring cell components. The patient underwent curative open partial cystectomy, given her young age and localized tumor, avoiding lymphadenectomy and adjuvant chemotherapy due to complete tumor resection and absence of metastases. Postoperative follow-up showed no pathological findings, underscoring the importance of individualized treatment strategies in rare cancer cases. This case contributes to the limited data on PSRCCB and its management.</p>","PeriodicalId":30323,"journal":{"name":"Case Reports in Urology","volume":"2025 ","pages":"9204085"},"PeriodicalIF":0.0000,"publicationDate":"2025-09-08","publicationTypes":"Journal Article","fieldsOfStudy":null,"isOpenAccess":false,"openAccessPdf":"https://www.ncbi.nlm.nih.gov/pmc/articles/PMC12436014/pdf/","citationCount":"0","resultStr":"{\"title\":\"A Rare Case of Primary Signet Ring Cell Carcinoma of the Urinary Bladder in a Young Woman.\",\"authors\":\"Pavlo Synoverskyy, Sameh Hijazi, Thomas Krüer, Axel Haferkamp, Maximilian P Brandt\",\"doi\":\"10.1155/criu/9204085\",\"DOIUrl\":null,\"url\":null,\"abstract\":\"<p><p>Primary signet ring cell carcinoma of the urinary bladder (PSRCCB) is an exceedingly rare subtype of urinary bladder carcinoma, comprising 0.12%-0.6% of cases, with a poor prognosis. This case report details a distinctive case of a 32-year-old woman with PSRCCB, presenting without typical risk factors and posing diagnostic and therapeutic challenges. Initial symptoms included urinary tract infection and lower abdominal pain. Imaging and histological assessments identified a mucinous adenocarcinoma with signet ring cell components. The patient underwent curative open partial cystectomy, given her young age and localized tumor, avoiding lymphadenectomy and adjuvant chemotherapy due to complete tumor resection and absence of metastases. Postoperative follow-up showed no pathological findings, underscoring the importance of individualized treatment strategies in rare cancer cases. This case contributes to the limited data on PSRCCB and its management.</p>\",\"PeriodicalId\":30323,\"journal\":{\"name\":\"Case Reports in Urology\",\"volume\":\"2025 \",\"pages\":\"9204085\"},\"PeriodicalIF\":0.0000,\"publicationDate\":\"2025-09-08\",\"publicationTypes\":\"Journal Article\",\"fieldsOfStudy\":null,\"isOpenAccess\":false,\"openAccessPdf\":\"https://www.ncbi.nlm.nih.gov/pmc/articles/PMC12436014/pdf/\",\"citationCount\":\"0\",\"resultStr\":null,\"platform\":\"Semanticscholar\",\"paperid\":null,\"PeriodicalName\":\"Case Reports in Urology\",\"FirstCategoryId\":\"1085\",\"ListUrlMain\":\"https://doi.org/10.1155/criu/9204085\",\"RegionNum\":0,\"RegionCategory\":null,\"ArticlePicture\":[],\"TitleCN\":null,\"AbstractTextCN\":null,\"PMCID\":null,\"EPubDate\":\"2025/1/1 0:00:00\",\"PubModel\":\"eCollection\",\"JCR\":\"\",\"JCRName\":\"\",\"Score\":null,\"Total\":0}","platform":"Semanticscholar","paperid":null,"PeriodicalName":"Case Reports in Urology","FirstCategoryId":"1085","ListUrlMain":"https://doi.org/10.1155/criu/9204085","RegionNum":0,"RegionCategory":null,"ArticlePicture":[],"TitleCN":null,"AbstractTextCN":null,"PMCID":null,"EPubDate":"2025/1/1 0:00:00","PubModel":"eCollection","JCR":"","JCRName":"","Score":null,"Total":0}
引用次数: 0

摘要

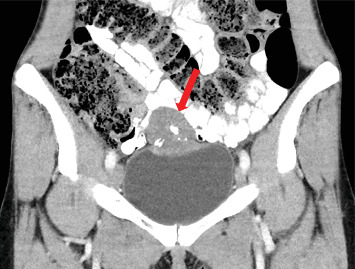
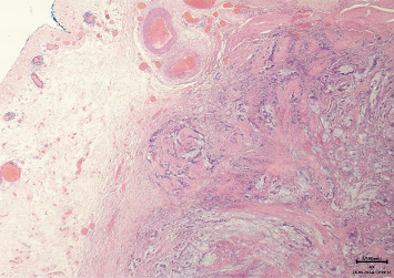
原发性膀胱印戒细胞癌(PSRCCB)是一种极为罕见的膀胱癌亚型,约占病例的0.12%-0.6%,预后较差。本病例报告详细介绍了一个独特的32岁女性PSRCCB病例,没有典型的危险因素,提出了诊断和治疗的挑战。最初症状包括尿路感染和下腹部疼痛。影像学和组织学评估确定了一种带有印戒细胞成分的粘液腺癌。考虑到患者年龄小,肿瘤局限,由于肿瘤切除完全,无转移,避免了淋巴结切除和辅助化疗,行了根治性开放性部分膀胱切除术。术后随访未见病理发现,强调了个体化治疗策略在罕见癌症病例中的重要性。本病例对PSRCCB及其管理的有限数据有所贡献。
本文章由计算机程序翻译,如有差异,请以英文原文为准。

A Rare Case of Primary Signet Ring Cell Carcinoma of the Urinary Bladder in a Young Woman.

A Rare Case of Primary Signet Ring Cell Carcinoma of the Urinary Bladder in a Young Woman.

A Rare Case of Primary Signet Ring Cell Carcinoma of the Urinary Bladder in a Young Woman.

A Rare Case of Primary Signet Ring Cell Carcinoma of the Urinary Bladder in a Young Woman.

Primary signet ring cell carcinoma of the urinary bladder (PSRCCB) is an exceedingly rare subtype of urinary bladder carcinoma, comprising 0.12%-0.6% of cases, with a poor prognosis. This case report details a distinctive case of a 32-year-old woman with PSRCCB, presenting without typical risk factors and posing diagnostic and therapeutic challenges. Initial symptoms included urinary tract infection and lower abdominal pain. Imaging and histological assessments identified a mucinous adenocarcinoma with signet ring cell components. The patient underwent curative open partial cystectomy, given her young age and localized tumor, avoiding lymphadenectomy and adjuvant chemotherapy due to complete tumor resection and absence of metastases. Postoperative follow-up showed no pathological findings, underscoring the importance of individualized treatment strategies in rare cancer cases. This case contributes to the limited data on PSRCCB and its management.

求助全文
通过发布文献求助,成功后即可免费获取论文全文。 去求助
来源期刊
自引率
0.00%
发文量
28
审稿时长
13 weeks
×
引用
GB/T 7714-2015
复制
MLA
复制
APA
复制
导出至
BibTeX EndNote RefMan NoteFirst NoteExpress
×
提示
您的信息不完整,为了账户安全,请先补充。
现在去补充
×
提示
您因"违规操作"
具体请查看互助需知
我知道了
×
提示
确定
请完成安全验证×
copy
已复制链接
快去分享给好友吧!
我知道了
右上角分享
点击右上角分享
0
联系我们:info@booksci.cn Book学术提供免费学术资源搜索服务,方便国内外学者检索中英文文献。致力于提供最便捷和优质的服务体验。 Copyright © 2023 布克学术 All rights reserved.
京ICP备2023020795号-1
ghs 京公网安备 11010802042870号
Book学术文献互助
Book学术文献互助群
群 号:604180095
Book学术官方微信