takotsubo心肌病的影像学表现谱:一篇图片文章。

Q3 Medicine
Radiologia Brasileira Pub Date : 2025-08-13 eCollection Date: 2025-01-01 DOI:10.1590/0100-3984.2025.0019-en
Camila Vilas Boas Machado, Roberto Sasdelli Neto, Gilberto Szarf, Walther Yoshiharu Ishikawa, Eduardo Kaiser Ururahy Nunes Fonseca
{"title":"takotsubo心肌病的影像学表现谱:一篇图片文章。","authors":"Camila Vilas Boas Machado, Roberto Sasdelli Neto, Gilberto Szarf, Walther Yoshiharu Ishikawa, Eduardo Kaiser Ururahy Nunes Fonseca","doi":"10.1590/0100-3984.2025.0019-en","DOIUrl":null,"url":null,"abstract":"<p><p>Takotsubo cardiomyopathy is an important differential diagnosis for acute chest pain. Imaging tests, such as ventriculography, echocardiography, computed tomography of the heart, and cardiac magnetic resonance, are valuable tools for diagnostic confirmation in this context. This study reviews the literature and exemplifies the spectrum of typical and atypical cardiac magnetic resonance findings in this disease, on the basis of the experience of our facility. Recognition of these characteristics underscores the roles that radiologists and cardiologists play in the care of patients with acute chest pain, enabling an accurate diagnosis and appropriate treatment.</p>","PeriodicalId":20842,"journal":{"name":"Radiologia Brasileira","volume":"58 ","pages":"e20250019"},"PeriodicalIF":0.0000,"publicationDate":"2025-08-13","publicationTypes":"Journal Article","fieldsOfStudy":null,"isOpenAccess":false,"openAccessPdf":"https://www.ncbi.nlm.nih.gov/pmc/articles/PMC12435933/pdf/","citationCount":"0","resultStr":"{\"title\":\"The spectrum of imaging findings in takotsubo cardiomyopathy: a pictorial essay.\",\"authors\":\"Camila Vilas Boas Machado, Roberto Sasdelli Neto, Gilberto Szarf, Walther Yoshiharu Ishikawa, Eduardo Kaiser Ururahy Nunes Fonseca\",\"doi\":\"10.1590/0100-3984.2025.0019-en\",\"DOIUrl\":null,\"url\":null,\"abstract\":\"<p><p>Takotsubo cardiomyopathy is an important differential diagnosis for acute chest pain. Imaging tests, such as ventriculography, echocardiography, computed tomography of the heart, and cardiac magnetic resonance, are valuable tools for diagnostic confirmation in this context. This study reviews the literature and exemplifies the spectrum of typical and atypical cardiac magnetic resonance findings in this disease, on the basis of the experience of our facility. Recognition of these characteristics underscores the roles that radiologists and cardiologists play in the care of patients with acute chest pain, enabling an accurate diagnosis and appropriate treatment.</p>\",\"PeriodicalId\":20842,\"journal\":{\"name\":\"Radiologia Brasileira\",\"volume\":\"58 \",\"pages\":\"e20250019\"},\"PeriodicalIF\":0.0000,\"publicationDate\":\"2025-08-13\",\"publicationTypes\":\"Journal Article\",\"fieldsOfStudy\":null,\"isOpenAccess\":false,\"openAccessPdf\":\"https://www.ncbi.nlm.nih.gov/pmc/articles/PMC12435933/pdf/\",\"citationCount\":\"0\",\"resultStr\":null,\"platform\":\"Semanticscholar\",\"paperid\":null,\"PeriodicalName\":\"Radiologia Brasileira\",\"FirstCategoryId\":\"1085\",\"ListUrlMain\":\"https://doi.org/10.1590/0100-3984.2025.0019-en\",\"RegionNum\":0,\"RegionCategory\":null,\"ArticlePicture\":[],\"TitleCN\":null,\"AbstractTextCN\":null,\"PMCID\":null,\"EPubDate\":\"2025/1/1 0:00:00\",\"PubModel\":\"eCollection\",\"JCR\":\"Q3\",\"JCRName\":\"Medicine\",\"Score\":null,\"Total\":0}","platform":"Semanticscholar","paperid":null,"PeriodicalName":"Radiologia Brasileira","FirstCategoryId":"1085","ListUrlMain":"https://doi.org/10.1590/0100-3984.2025.0019-en","RegionNum":0,"RegionCategory":null,"ArticlePicture":[],"TitleCN":null,"AbstractTextCN":null,"PMCID":null,"EPubDate":"2025/1/1 0:00:00","PubModel":"eCollection","JCR":"Q3","JCRName":"Medicine","Score":null,"Total":0}
引用次数: 0

摘要

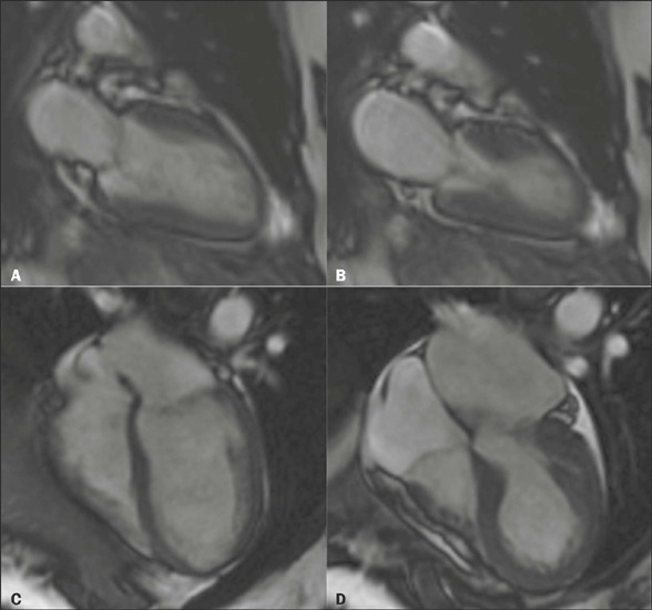
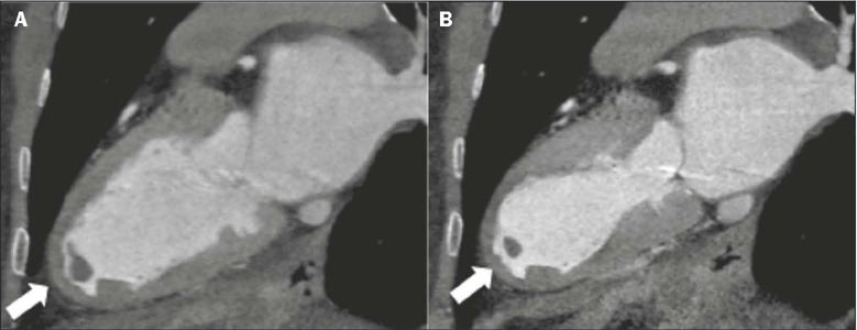
Takotsubo心肌病是急性胸痛的重要鉴别诊断。成像测试,如心室造影、超声心动图、心脏计算机断层扫描和心脏磁共振,是在这种情况下诊断确认的有价值的工具。本研究回顾了文献,并举例说明了这种疾病的典型和非典型心脏磁共振发现的频谱,基于我们机构的经验。认识到这些特征强调了放射科医生和心脏病科医生在急性胸痛患者护理中的作用,从而能够准确诊断和适当治疗。
本文章由计算机程序翻译,如有差异,请以英文原文为准。

The spectrum of imaging findings in takotsubo cardiomyopathy: a pictorial essay.

The spectrum of imaging findings in takotsubo cardiomyopathy: a pictorial essay.

The spectrum of imaging findings in takotsubo cardiomyopathy: a pictorial essay.

The spectrum of imaging findings in takotsubo cardiomyopathy: a pictorial essay.

Takotsubo cardiomyopathy is an important differential diagnosis for acute chest pain. Imaging tests, such as ventriculography, echocardiography, computed tomography of the heart, and cardiac magnetic resonance, are valuable tools for diagnostic confirmation in this context. This study reviews the literature and exemplifies the spectrum of typical and atypical cardiac magnetic resonance findings in this disease, on the basis of the experience of our facility. Recognition of these characteristics underscores the roles that radiologists and cardiologists play in the care of patients with acute chest pain, enabling an accurate diagnosis and appropriate treatment.

求助全文
通过发布文献求助,成功后即可免费获取论文全文。 去求助
来源期刊
Radiologia Brasileira
Radiologia Brasileira Medicine-Radiology, Nuclear Medicine and Imaging
CiteScore
2.60
自引率
0.00%
发文量
75
审稿时长
28 weeks
×
引用
GB/T 7714-2015
复制
MLA
复制
APA
复制
导出至
BibTeX EndNote RefMan NoteFirst NoteExpress
×
提示
您的信息不完整,为了账户安全,请先补充。
现在去补充
×
提示
您因"违规操作"
具体请查看互助需知
我知道了
×
提示
确定
请完成安全验证×
copy
已复制链接
快去分享给好友吧!
我知道了
右上角分享
点击右上角分享
0
联系我们:info@booksci.cn Book学术提供免费学术资源搜索服务,方便国内外学者检索中英文文献。致力于提供最便捷和优质的服务体验。 Copyright © 2023 布克学术 All rights reserved.
京ICP备2023020795号-1
ghs 京公网安备 11010802042870号
Book学术文献互助
Book学术文献互助群
群 号:604180095
Book学术官方微信