肝转移葡萄膜黑色素瘤患者接受肝动脉输注化疗时,脾脏体积变化与治疗反应相关吗?

IF 2.2 4区 医学 Q3 ONCOLOGY
Radiology and Oncology Pub Date : 2025-09-05 eCollection Date: 2025-09-01 DOI:10.2478/raon-2025-0047
Hannah Luisa Steinberg-Vorhoff, Marcel Drews, Marcel Opitz, Natalie van Landeghem, Luca Salhöfer, Mathias Holtkamp, Yan Li, Johannes Haubold, Jens Siveke, Heike Richly, Michael Forsting, Benedikt Michael Schaarschmidt, Sebastian Zensen
{"title":"肝转移葡萄膜黑色素瘤患者接受肝动脉输注化疗时,脾脏体积变化与治疗反应相关吗?","authors":"Hannah Luisa Steinberg-Vorhoff, Marcel Drews, Marcel Opitz, Natalie van Landeghem, Luca Salhöfer, Mathias Holtkamp, Yan Li, Johannes Haubold, Jens Siveke, Heike Richly, Michael Forsting, Benedikt Michael Schaarschmidt, Sebastian Zensen","doi":"10.2478/raon-2025-0047","DOIUrl":null,"url":null,"abstract":"<p><strong>Background: </strong>Uveal melanoma (UM) patients with liver metastases often undergo hepatic artery infusion therapy (HAIC). Due to diffuse metastatic spread in the liver, patients often develop hepatomegaly and secondary, portal hypertension which may lead to splenomegaly. This study aimed to compare spleen volumetry and the change of spleen volume (SV) for the evaluation of HAIC treatment response.</p><p><strong>Patients and methods: </strong>In this study, 179 UM patients (mean age 64.8 ± 11.0y, 53% female) with liver metastases undergoing HAIC were included. Treatment response was analyzed by RECIST 1.1 and SV on CT imaging before and after first HAIC. The correlation of change in spleen and liver volume was analyzed with Spearman test. Overall survival (OS) was calculated as the time from the first HAIC to patient death using Kaplan-Meier test and multivariate analysis was performed for RECIST 1.1 and SV.</p><p><strong>Results: </strong>In the study population, OS was 13.8 months (95% CI 10.6-14.7 months). Change in SV before and after first HAIC was +4% (interquartile range [IQR] -4.0%-12.0%, p = 0.49) and showed a weak correlation with OS (r = -0.11, p = 0.18). UM patients with progressive disease (PD) according to RECIST 1.1 showed an increase in SV compared to patients with stable disease (SD) (p = 0.04). Compared to RECIST 1.1, SV was not significant prognostic factor that can identify a change in OS.</p><p><strong>Conclusions: </strong>In uveal melanoma patients with liver metastases undergoing HAIC, neither the change of SV nor splenomegaly could be identified as prognostic factors for OS.</p>","PeriodicalId":21034,"journal":{"name":"Radiology and Oncology","volume":"59 3","pages":"383-390"},"PeriodicalIF":2.2000,"publicationDate":"2025-09-05","publicationTypes":"Journal Article","fieldsOfStudy":null,"isOpenAccess":false,"openAccessPdf":"https://www.ncbi.nlm.nih.gov/pmc/articles/PMC12441889/pdf/","citationCount":"0","resultStr":"{\"title\":\"Does volume change of the spleen correlate with the therapy response in uveal melanoma patients with liver metastases undergoing hepatic artery infusion chemotherapy?\",\"authors\":\"Hannah Luisa Steinberg-Vorhoff, Marcel Drews, Marcel Opitz, Natalie van Landeghem, Luca Salhöfer, Mathias Holtkamp, Yan Li, Johannes Haubold, Jens Siveke, Heike Richly, Michael Forsting, Benedikt Michael Schaarschmidt, Sebastian Zensen\",\"doi\":\"10.2478/raon-2025-0047\",\"DOIUrl\":null,\"url\":null,\"abstract\":\"<p><strong>Background: </strong>Uveal melanoma (UM) patients with liver metastases often undergo hepatic artery infusion therapy (HAIC). Due to diffuse metastatic spread in the liver, patients often develop hepatomegaly and secondary, portal hypertension which may lead to splenomegaly. This study aimed to compare spleen volumetry and the change of spleen volume (SV) for the evaluation of HAIC treatment response.</p><p><strong>Patients and methods: </strong>In this study, 179 UM patients (mean age 64.8 ± 11.0y, 53% female) with liver metastases undergoing HAIC were included. Treatment response was analyzed by RECIST 1.1 and SV on CT imaging before and after first HAIC. The correlation of change in spleen and liver volume was analyzed with Spearman test. Overall survival (OS) was calculated as the time from the first HAIC to patient death using Kaplan-Meier test and multivariate analysis was performed for RECIST 1.1 and SV.</p><p><strong>Results: </strong>In the study population, OS was 13.8 months (95% CI 10.6-14.7 months). Change in SV before and after first HAIC was +4% (interquartile range [IQR] -4.0%-12.0%, p = 0.49) and showed a weak correlation with OS (r = -0.11, p = 0.18). UM patients with progressive disease (PD) according to RECIST 1.1 showed an increase in SV compared to patients with stable disease (SD) (p = 0.04). Compared to RECIST 1.1, SV was not significant prognostic factor that can identify a change in OS.</p><p><strong>Conclusions: </strong>In uveal melanoma patients with liver metastases undergoing HAIC, neither the change of SV nor splenomegaly could be identified as prognostic factors for OS.</p>\",\"PeriodicalId\":21034,\"journal\":{\"name\":\"Radiology and Oncology\",\"volume\":\"59 3\",\"pages\":\"383-390\"},\"PeriodicalIF\":2.2000,\"publicationDate\":\"2025-09-05\",\"publicationTypes\":\"Journal Article\",\"fieldsOfStudy\":null,\"isOpenAccess\":false,\"openAccessPdf\":\"https://www.ncbi.nlm.nih.gov/pmc/articles/PMC12441889/pdf/\",\"citationCount\":\"0\",\"resultStr\":null,\"platform\":\"Semanticscholar\",\"paperid\":null,\"PeriodicalName\":\"Radiology and Oncology\",\"FirstCategoryId\":\"3\",\"ListUrlMain\":\"https://doi.org/10.2478/raon-2025-0047\",\"RegionNum\":4,\"RegionCategory\":\"医学\",\"ArticlePicture\":[],\"TitleCN\":null,\"AbstractTextCN\":null,\"PMCID\":null,\"EPubDate\":\"2025/9/1 0:00:00\",\"PubModel\":\"eCollection\",\"JCR\":\"Q3\",\"JCRName\":\"ONCOLOGY\",\"Score\":null,\"Total\":0}","platform":"Semanticscholar","paperid":null,"PeriodicalName":"Radiology and Oncology","FirstCategoryId":"3","ListUrlMain":"https://doi.org/10.2478/raon-2025-0047","RegionNum":4,"RegionCategory":"医学","ArticlePicture":[],"TitleCN":null,"AbstractTextCN":null,"PMCID":null,"EPubDate":"2025/9/1 0:00:00","PubModel":"eCollection","JCR":"Q3","JCRName":"ONCOLOGY","Score":null,"Total":0}
引用次数: 0

摘要

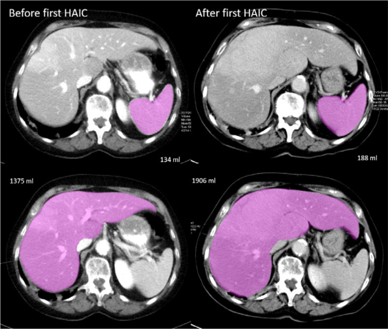
背景:伴有肝转移的葡萄膜黑色素瘤(Uveal melanoma, UM)患者常接受肝动脉输注治疗(HAIC)。由于肝内弥漫性转移扩散,患者常出现肝肿大和继发性门脉高压,后者可导致脾肿大。本研究旨在比较脾体积法和脾体积变化(SV)对HAIC治疗效果的评价。患者和方法:本研究纳入179例肝转移行HAIC的UM患者(平均年龄64.8±11.0岁,女性53%)。采用RECIST 1.1和首次HAIC前后的CT影像SV分析治疗效果。采用Spearman试验分析脾、肝体积变化的相关性。使用Kaplan-Meier检验计算总生存期(OS),即从第一次HAIC到患者死亡的时间,并对RECIST 1.1和SV进行多变量分析。结果:在研究人群中,生存期为13.8个月(95% CI 10.6-14.7个月)。首次HAIC前后SV的变化为+4%(四分位数范围[IQR] -4.0% ~ 12.0%, p = 0.49),与OS的相关性较弱(r = -0.11, p = 0.18)。根据RECIST 1.1,伴有进展性疾病(PD)的UM患者与病情稳定(SD)的患者相比,SV增加(p = 0.04)。与RECIST 1.1相比,SV不是识别OS变化的重要预后因素。结论:葡萄膜黑色素瘤肝转移患者行HAIC, SV的改变和脾肿大均不能确定为OS的预后因素。
本文章由计算机程序翻译,如有差异,请以英文原文为准。

Does volume change of the spleen correlate with the therapy response in uveal melanoma patients with liver metastases undergoing hepatic artery infusion chemotherapy?

Does volume change of the spleen correlate with the therapy response in uveal melanoma patients with liver metastases undergoing hepatic artery infusion chemotherapy?

Does volume change of the spleen correlate with the therapy response in uveal melanoma patients with liver metastases undergoing hepatic artery infusion chemotherapy?

Does volume change of the spleen correlate with the therapy response in uveal melanoma patients with liver metastases undergoing hepatic artery infusion chemotherapy?

Background: Uveal melanoma (UM) patients with liver metastases often undergo hepatic artery infusion therapy (HAIC). Due to diffuse metastatic spread in the liver, patients often develop hepatomegaly and secondary, portal hypertension which may lead to splenomegaly. This study aimed to compare spleen volumetry and the change of spleen volume (SV) for the evaluation of HAIC treatment response.

Patients and methods: In this study, 179 UM patients (mean age 64.8 ± 11.0y, 53% female) with liver metastases undergoing HAIC were included. Treatment response was analyzed by RECIST 1.1 and SV on CT imaging before and after first HAIC. The correlation of change in spleen and liver volume was analyzed with Spearman test. Overall survival (OS) was calculated as the time from the first HAIC to patient death using Kaplan-Meier test and multivariate analysis was performed for RECIST 1.1 and SV.

Results: In the study population, OS was 13.8 months (95% CI 10.6-14.7 months). Change in SV before and after first HAIC was +4% (interquartile range [IQR] -4.0%-12.0%, p = 0.49) and showed a weak correlation with OS (r = -0.11, p = 0.18). UM patients with progressive disease (PD) according to RECIST 1.1 showed an increase in SV compared to patients with stable disease (SD) (p = 0.04). Compared to RECIST 1.1, SV was not significant prognostic factor that can identify a change in OS.

Conclusions: In uveal melanoma patients with liver metastases undergoing HAIC, neither the change of SV nor splenomegaly could be identified as prognostic factors for OS.

求助全文
通过发布文献求助,成功后即可免费获取论文全文。 去求助
来源期刊
Radiology and Oncology
Radiology and Oncology ONCOLOGY-RADIOLOGY, NUCLEAR MEDICINE & MEDICAL IMAGING
CiteScore
4.40
自引率
0.00%
发文量
42
审稿时长
>12 weeks
期刊介绍: Radiology and Oncology is a multidisciplinary journal devoted to the publishing original and high quality scientific papers and review articles, pertinent to diagnostic and interventional radiology, computerized tomography, magnetic resonance, ultrasound, nuclear medicine, radiotherapy, clinical and experimental oncology, radiobiology, medical physics and radiation protection. Therefore, the scope of the journal is to cover beside radiology the diagnostic and therapeutic aspects in oncology, which distinguishes it from other journals in the field.
×
引用
GB/T 7714-2015
复制
MLA
复制
APA
复制
导出至
BibTeX EndNote RefMan NoteFirst NoteExpress
×
提示
您的信息不完整,为了账户安全,请先补充。
现在去补充
×
提示
您因"违规操作"
具体请查看互助需知
我知道了
×
提示
确定
请完成安全验证×
copy
已复制链接
快去分享给好友吧!
我知道了
右上角分享
点击右上角分享
0
联系我们:info@booksci.cn Book学术提供免费学术资源搜索服务,方便国内外学者检索中英文文献。致力于提供最便捷和优质的服务体验。 Copyright © 2023 布克学术 All rights reserved.
京ICP备2023020795号-1
ghs 京公网安备 11010802042870号
Book学术文献互助
Book学术文献互助群
群 号:604180095
Book学术官方微信