以类似退行性疾病的前体疼痛为表现的非典型股骨骨折漏诊的陷阱:一项多中心研究-日文版本的二次发表。

Q2 Medicine
Journal of Bone Metabolism Pub Date : 2025-08-01 Epub Date: 2025-08-31 DOI:10.11005/jbm.25.843
Tatsuji Fujiwara, Ikko Ohno, Nobumasa Matsumura, Keiichiro Oura, Yasutaka Nakahori, Takashi Nishii
{"title":"以类似退行性疾病的前体疼痛为表现的非典型股骨骨折漏诊的陷阱:一项多中心研究-日文版本的二次发表。","authors":"Tatsuji Fujiwara, Ikko Ohno, Nobumasa Matsumura, Keiichiro Oura, Yasutaka Nakahori, Takashi Nishii","doi":"10.11005/jbm.25.843","DOIUrl":null,"url":null,"abstract":"<p><strong>Background: </strong>Prodromal symptoms might lead to an early diagnosis of atypical femoral fracture (AFF). However, incomplete AFF can progress to complete fractures because they are often misdiagnosed as degenerative diseases such as lumbar canal stenosis or knee and hip osteoarthritis. The purpose of this study was to examine how many AFFs are misdiagnosed as degenerative diseases and the characteristics of the site of prodromal symptoms in a multicenter study.</p><p><strong>Methods: </strong>We retrospectively analyzed the medical records of patients with AFFs at two institutions. In addition, a survey was sent to affiliated institutions to collect data on prodromal symptoms.</p><p><strong>Results: </strong>Analysis in two institutions revealed 46 AFFs in 35 patients. Seventeen fractures were associated with localized prodromal symptoms in the groin or lateral thigh (conventional type), and 12 fractures had prodromal symptoms not localized to the fracture site, such as widespread lateral thigh, knee, or lateral lower leg (modified type). Eleven fractures were misdiagnosed as degenerative diseases. The survey of 11 affiliated institutions revealed that prodromal pain was reported in 29 of 49 AFFs. Nineteen fractures were associated with modified prodromal pain, and 9 fractures were misdiagnosed as degenerative diseases.</p><p><strong>Conclusions: </strong>Twenty-one percent of AFFs were misdiagnosed with degenerative diseases. All of the misdiagnosed cases were associated with prodromal symptoms. We believe that the prodromal symptoms of AFF are diverse and very similar to those of degenerative diseases, which may have caused the misdiagnosis.</p>","PeriodicalId":15070,"journal":{"name":"Journal of Bone Metabolism","volume":"32 3","pages":"180-189"},"PeriodicalIF":0.0000,"publicationDate":"2025-08-01","publicationTypes":"Journal Article","fieldsOfStudy":null,"isOpenAccess":false,"openAccessPdf":"https://www.ncbi.nlm.nih.gov/pmc/articles/PMC12444082/pdf/","citationCount":"0","resultStr":"{\"title\":\"Pitfalls in the Missed Diagnosis of Atypical Femoral Fracture Presenting as Prodromal Pain that Mimics Degenerative Disease: A Multicenter Study - Secondary Publication of the Japanese Version.\",\"authors\":\"Tatsuji Fujiwara, Ikko Ohno, Nobumasa Matsumura, Keiichiro Oura, Yasutaka Nakahori, Takashi Nishii\",\"doi\":\"10.11005/jbm.25.843\",\"DOIUrl\":null,\"url\":null,\"abstract\":\"<p><strong>Background: </strong>Prodromal symptoms might lead to an early diagnosis of atypical femoral fracture (AFF). However, incomplete AFF can progress to complete fractures because they are often misdiagnosed as degenerative diseases such as lumbar canal stenosis or knee and hip osteoarthritis. The purpose of this study was to examine how many AFFs are misdiagnosed as degenerative diseases and the characteristics of the site of prodromal symptoms in a multicenter study.</p><p><strong>Methods: </strong>We retrospectively analyzed the medical records of patients with AFFs at two institutions. In addition, a survey was sent to affiliated institutions to collect data on prodromal symptoms.</p><p><strong>Results: </strong>Analysis in two institutions revealed 46 AFFs in 35 patients. Seventeen fractures were associated with localized prodromal symptoms in the groin or lateral thigh (conventional type), and 12 fractures had prodromal symptoms not localized to the fracture site, such as widespread lateral thigh, knee, or lateral lower leg (modified type). Eleven fractures were misdiagnosed as degenerative diseases. The survey of 11 affiliated institutions revealed that prodromal pain was reported in 29 of 49 AFFs. Nineteen fractures were associated with modified prodromal pain, and 9 fractures were misdiagnosed as degenerative diseases.</p><p><strong>Conclusions: </strong>Twenty-one percent of AFFs were misdiagnosed with degenerative diseases. All of the misdiagnosed cases were associated with prodromal symptoms. We believe that the prodromal symptoms of AFF are diverse and very similar to those of degenerative diseases, which may have caused the misdiagnosis.</p>\",\"PeriodicalId\":15070,\"journal\":{\"name\":\"Journal of Bone Metabolism\",\"volume\":\"32 3\",\"pages\":\"180-189\"},\"PeriodicalIF\":0.0000,\"publicationDate\":\"2025-08-01\",\"publicationTypes\":\"Journal Article\",\"fieldsOfStudy\":null,\"isOpenAccess\":false,\"openAccessPdf\":\"https://www.ncbi.nlm.nih.gov/pmc/articles/PMC12444082/pdf/\",\"citationCount\":\"0\",\"resultStr\":null,\"platform\":\"Semanticscholar\",\"paperid\":null,\"PeriodicalName\":\"Journal of Bone Metabolism\",\"FirstCategoryId\":\"1085\",\"ListUrlMain\":\"https://doi.org/10.11005/jbm.25.843\",\"RegionNum\":0,\"RegionCategory\":null,\"ArticlePicture\":[],\"TitleCN\":null,\"AbstractTextCN\":null,\"PMCID\":null,\"EPubDate\":\"2025/8/31 0:00:00\",\"PubModel\":\"Epub\",\"JCR\":\"Q2\",\"JCRName\":\"Medicine\",\"Score\":null,\"Total\":0}","platform":"Semanticscholar","paperid":null,"PeriodicalName":"Journal of Bone Metabolism","FirstCategoryId":"1085","ListUrlMain":"https://doi.org/10.11005/jbm.25.843","RegionNum":0,"RegionCategory":null,"ArticlePicture":[],"TitleCN":null,"AbstractTextCN":null,"PMCID":null,"EPubDate":"2025/8/31 0:00:00","PubModel":"Epub","JCR":"Q2","JCRName":"Medicine","Score":null,"Total":0}
引用次数: 0

摘要

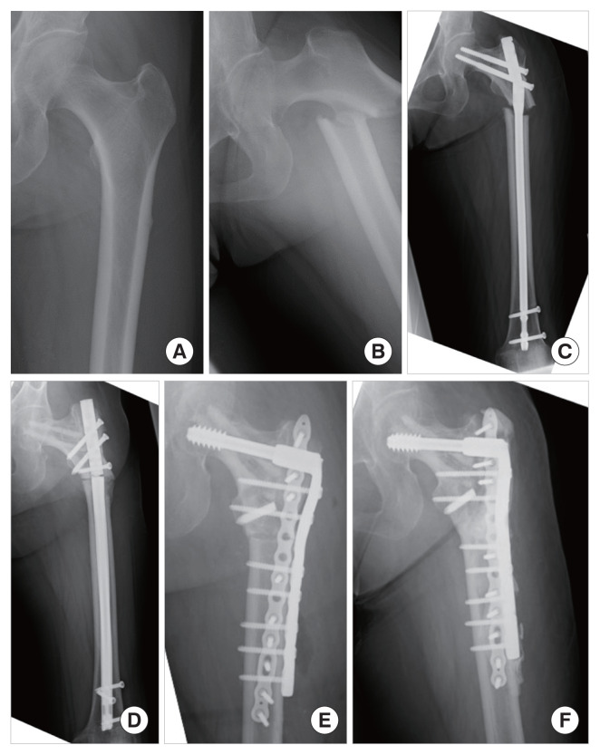
背景:前驱症状可能导致非典型股骨骨折(AFF)的早期诊断。然而,不完全AFF可发展为完全性骨折,因为它们经常被误诊为退行性疾病,如腰椎管狭窄或膝、髋骨关节炎。本研究的目的是在一项多中心研究中检查有多少aff被误诊为退行性疾病以及前驱症状部位的特征。方法:回顾性分析两所医院af患者的病历。此外,还向附属机构发送了一份调查问卷,以收集有关前驱症状的数据。结果:两所医院的分析显示35例患者46例aff。17例骨折伴有腹股沟或大腿外侧的局限性前驱症状(常规型),12例骨折有不局限于骨折部位的前驱症状,如广泛的大腿外侧、膝关节或小腿外侧(改良型)。11例骨折误诊为退行性疾病。对11个附属机构的调查显示,49例af患者中有29例报告前驱疼痛。其中19例骨折伴有改良的前驱疼痛,9例骨折被误诊为退行性疾病。结论:21%的af被误诊为退行性疾病。所有误诊病例均伴有前驱症状。我们认为AFF的前驱症状多样,与退行性疾病非常相似,这可能是导致误诊的原因。
本文章由计算机程序翻译,如有差异,请以英文原文为准。

Pitfalls in the Missed Diagnosis of Atypical Femoral Fracture Presenting as Prodromal Pain that Mimics Degenerative Disease: A Multicenter Study - Secondary Publication of the Japanese Version.

Pitfalls in the Missed Diagnosis of Atypical Femoral Fracture Presenting as Prodromal Pain that Mimics Degenerative Disease: A Multicenter Study - Secondary Publication of the Japanese Version.

Pitfalls in the Missed Diagnosis of Atypical Femoral Fracture Presenting as Prodromal Pain that Mimics Degenerative Disease: A Multicenter Study - Secondary Publication of the Japanese Version.

Background: Prodromal symptoms might lead to an early diagnosis of atypical femoral fracture (AFF). However, incomplete AFF can progress to complete fractures because they are often misdiagnosed as degenerative diseases such as lumbar canal stenosis or knee and hip osteoarthritis. The purpose of this study was to examine how many AFFs are misdiagnosed as degenerative diseases and the characteristics of the site of prodromal symptoms in a multicenter study.

Methods: We retrospectively analyzed the medical records of patients with AFFs at two institutions. In addition, a survey was sent to affiliated institutions to collect data on prodromal symptoms.

Results: Analysis in two institutions revealed 46 AFFs in 35 patients. Seventeen fractures were associated with localized prodromal symptoms in the groin or lateral thigh (conventional type), and 12 fractures had prodromal symptoms not localized to the fracture site, such as widespread lateral thigh, knee, or lateral lower leg (modified type). Eleven fractures were misdiagnosed as degenerative diseases. The survey of 11 affiliated institutions revealed that prodromal pain was reported in 29 of 49 AFFs. Nineteen fractures were associated with modified prodromal pain, and 9 fractures were misdiagnosed as degenerative diseases.

Conclusions: Twenty-one percent of AFFs were misdiagnosed with degenerative diseases. All of the misdiagnosed cases were associated with prodromal symptoms. We believe that the prodromal symptoms of AFF are diverse and very similar to those of degenerative diseases, which may have caused the misdiagnosis.

求助全文
通过发布文献求助,成功后即可免费获取论文全文。 去求助
来源期刊
Journal of Bone Metabolism
Journal of Bone Metabolism Medicine-Endocrinology, Diabetes and Metabolism
CiteScore
3.70
自引率
0.00%
发文量
23
×
引用
GB/T 7714-2015
复制
MLA
复制
APA
复制
导出至
BibTeX EndNote RefMan NoteFirst NoteExpress
×
提示
您的信息不完整,为了账户安全,请先补充。
现在去补充
×
提示
您因"违规操作"
具体请查看互助需知
我知道了
×
提示
确定
请完成安全验证×
copy
已复制链接
快去分享给好友吧!
我知道了
右上角分享
点击右上角分享
0
联系我们:info@booksci.cn Book学术提供免费学术资源搜索服务,方便国内外学者检索中英文文献。致力于提供最便捷和优质的服务体验。 Copyright © 2023 布克学术 All rights reserved.
京ICP备2023020795号-1
ghs 京公网安备 11010802042870号
Book学术文献互助
Book学术文献互助群
群 号:604180095
Book学术官方微信