牙龈萎缩的再治疗:基本原理和定义病例系列随访。

IF 2.2 Q2 DENTISTRY, ORAL SURGERY & MEDICINE
International Journal of Dentistry Pub Date : 2025-09-08 eCollection Date: 2025-01-01 DOI:10.1155/ijod/6685763
Alon Sebaoun, Perry Raz, Liat Chaushu, Michael Saminsky
{"title":"牙龈萎缩的再治疗:基本原理和定义病例系列随访。","authors":"Alon Sebaoun, Perry Raz, Liat Chaushu, Michael Saminsky","doi":"10.1155/ijod/6685763","DOIUrl":null,"url":null,"abstract":"<p><p><b>Aims:</b> One of the main objectives of root coverage procedures is complete coverage of the denuded root surface. If this goal is not obtained, retreatment may be considered. <b>Materials and Methods:</b> This retrospective case series study evaluated the need for surgical retreatment among 105 gingival recessions, in 56 patients. Pre- and postretreatment recession depth (RD), keratinized tissue (KT) width, and attachment loss (AL) were extracted from follow-up registries. <b>Results:</b> A total of 17 recessions (11 Miller Class I-II/RT1 and 6 Miller Class III/RT2) in 13 patients (nine and four, respectively) were retreated surgically. The mean follow-up was 2.2 years (range 1-9). RD and the clinical attachment level gain (CAL gain) improved significantly after retreatment (<i>p</i>=0.0017). The linear regression model revealed a significantly higher KT gain (KTG) and reduction in residual RD (RRD), in patients with initial Miller III/RT2 recessions, when followed up for more than 1 year (<i>p</i> < 0.0001). <b>Conclusions:</b> The present results indicate that a root recession retreatment procedure is a viable option with high predictability and long-term stability.</p>","PeriodicalId":13947,"journal":{"name":"International Journal of Dentistry","volume":"2025 ","pages":"6685763"},"PeriodicalIF":2.2000,"publicationDate":"2025-09-08","publicationTypes":"Journal Article","fieldsOfStudy":null,"isOpenAccess":false,"openAccessPdf":"https://www.ncbi.nlm.nih.gov/pmc/articles/PMC12436002/pdf/","citationCount":"0","resultStr":"{\"title\":\"Retreatment of Gingival Recessions: Rationale and Definition Case Series Follow-Up.\",\"authors\":\"Alon Sebaoun, Perry Raz, Liat Chaushu, Michael Saminsky\",\"doi\":\"10.1155/ijod/6685763\",\"DOIUrl\":null,\"url\":null,\"abstract\":\"<p><p><b>Aims:</b> One of the main objectives of root coverage procedures is complete coverage of the denuded root surface. If this goal is not obtained, retreatment may be considered. <b>Materials and Methods:</b> This retrospective case series study evaluated the need for surgical retreatment among 105 gingival recessions, in 56 patients. Pre- and postretreatment recession depth (RD), keratinized tissue (KT) width, and attachment loss (AL) were extracted from follow-up registries. <b>Results:</b> A total of 17 recessions (11 Miller Class I-II/RT1 and 6 Miller Class III/RT2) in 13 patients (nine and four, respectively) were retreated surgically. The mean follow-up was 2.2 years (range 1-9). RD and the clinical attachment level gain (CAL gain) improved significantly after retreatment (<i>p</i>=0.0017). The linear regression model revealed a significantly higher KT gain (KTG) and reduction in residual RD (RRD), in patients with initial Miller III/RT2 recessions, when followed up for more than 1 year (<i>p</i> < 0.0001). <b>Conclusions:</b> The present results indicate that a root recession retreatment procedure is a viable option with high predictability and long-term stability.</p>\",\"PeriodicalId\":13947,\"journal\":{\"name\":\"International Journal of Dentistry\",\"volume\":\"2025 \",\"pages\":\"6685763\"},\"PeriodicalIF\":2.2000,\"publicationDate\":\"2025-09-08\",\"publicationTypes\":\"Journal Article\",\"fieldsOfStudy\":null,\"isOpenAccess\":false,\"openAccessPdf\":\"https://www.ncbi.nlm.nih.gov/pmc/articles/PMC12436002/pdf/\",\"citationCount\":\"0\",\"resultStr\":null,\"platform\":\"Semanticscholar\",\"paperid\":null,\"PeriodicalName\":\"International Journal of Dentistry\",\"FirstCategoryId\":\"1085\",\"ListUrlMain\":\"https://doi.org/10.1155/ijod/6685763\",\"RegionNum\":0,\"RegionCategory\":null,\"ArticlePicture\":[],\"TitleCN\":null,\"AbstractTextCN\":null,\"PMCID\":null,\"EPubDate\":\"2025/1/1 0:00:00\",\"PubModel\":\"eCollection\",\"JCR\":\"Q2\",\"JCRName\":\"DENTISTRY, ORAL SURGERY & MEDICINE\",\"Score\":null,\"Total\":0}","platform":"Semanticscholar","paperid":null,"PeriodicalName":"International Journal of Dentistry","FirstCategoryId":"1085","ListUrlMain":"https://doi.org/10.1155/ijod/6685763","RegionNum":0,"RegionCategory":null,"ArticlePicture":[],"TitleCN":null,"AbstractTextCN":null,"PMCID":null,"EPubDate":"2025/1/1 0:00:00","PubModel":"eCollection","JCR":"Q2","JCRName":"DENTISTRY, ORAL SURGERY & MEDICINE","Score":null,"Total":0}
引用次数: 0

摘要

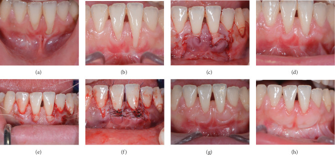
目的:根覆盖的主要目的之一是完全覆盖脱落的根表面。如果不能达到这个目标,可以考虑再处理。材料和方法:本回顾性病例系列研究评估了56例105例牙龈萎缩患者手术治疗的必要性。从随访记录中提取治疗前后的衰退深度(RD)、角化组织(KT)宽度和附着丧失(AL)。结果:13例患者(分别为9例和4例)共17例衰退(11例Miller Class I-II/RT1和6例Miller Class III/RT2)手术治疗。平均随访时间为2.2年(1-9年)。再治疗后RD和临床附着水平增益(CAL增益)显著提高(p=0.0017)。线性回归模型显示,当随访超过1年时,初始Miller III/RT2衰退患者的KT增益(KTG)和残余RD (RRD)显著增加(p < 0.0001)。结论:目前的研究结果表明,根退缩再治疗是一种可行的选择,具有较高的可预测性和长期稳定性。
本文章由计算机程序翻译,如有差异,请以英文原文为准。

Retreatment of Gingival Recessions: Rationale and Definition Case Series Follow-Up.

Retreatment of Gingival Recessions: Rationale and Definition Case Series Follow-Up.

Retreatment of Gingival Recessions: Rationale and Definition Case Series Follow-Up.

Retreatment of Gingival Recessions: Rationale and Definition Case Series Follow-Up.

Aims: One of the main objectives of root coverage procedures is complete coverage of the denuded root surface. If this goal is not obtained, retreatment may be considered. Materials and Methods: This retrospective case series study evaluated the need for surgical retreatment among 105 gingival recessions, in 56 patients. Pre- and postretreatment recession depth (RD), keratinized tissue (KT) width, and attachment loss (AL) were extracted from follow-up registries. Results: A total of 17 recessions (11 Miller Class I-II/RT1 and 6 Miller Class III/RT2) in 13 patients (nine and four, respectively) were retreated surgically. The mean follow-up was 2.2 years (range 1-9). RD and the clinical attachment level gain (CAL gain) improved significantly after retreatment (p=0.0017). The linear regression model revealed a significantly higher KT gain (KTG) and reduction in residual RD (RRD), in patients with initial Miller III/RT2 recessions, when followed up for more than 1 year (p < 0.0001). Conclusions: The present results indicate that a root recession retreatment procedure is a viable option with high predictability and long-term stability.

求助全文
通过发布文献求助,成功后即可免费获取论文全文。 去求助
来源期刊
International Journal of Dentistry
International Journal of Dentistry DENTISTRY, ORAL SURGERY & MEDICINE-
CiteScore
3.30
自引率
4.80%
发文量
219
审稿时长
20 weeks
×
引用
GB/T 7714-2015
复制
MLA
复制
APA
复制
导出至
BibTeX EndNote RefMan NoteFirst NoteExpress
×
提示
您的信息不完整,为了账户安全,请先补充。
现在去补充
×
提示
您因"违规操作"
具体请查看互助需知
我知道了
×
提示
确定
请完成安全验证×
copy
已复制链接
快去分享给好友吧!
我知道了
右上角分享
点击右上角分享
0
联系我们:info@booksci.cn Book学术提供免费学术资源搜索服务,方便国内外学者检索中英文文献。致力于提供最便捷和优质的服务体验。 Copyright © 2023 布克学术 All rights reserved.
京ICP备2023020795号-1
ghs 京公网安备 11010802042870号
Book学术文献互助
Book学术文献互助群
群 号:604180095
Book学术官方微信