姜黄文玉金根水提物对lps诱导大鼠血管损伤的保护作用。

IF 3.2 3区 医学 Q1 MEDICINE, GENERAL & INTERNAL
International Journal of Medical Sciences Pub Date : 2025-07-28 eCollection Date: 2025-01-01 DOI:10.7150/ijms.112103
Li-Hsien Chen, Sheau-Chung Tang, Shu-Er Yang, Erl-Shyh Kao
{"title":"姜黄文玉金根水提物对lps诱导大鼠血管损伤的保护作用。","authors":"Li-Hsien Chen, Sheau-Chung Tang, Shu-Er Yang, Erl-Shyh Kao","doi":"10.7150/ijms.112103","DOIUrl":null,"url":null,"abstract":"<p><p>Sepsis caused by bacterial infection can also induce vascular endothelial damage through endotoxins secreted by bacteria such as lipopolysaccharides (LPS). The mechanism of LPS induce vascular endothelial damage is mainly through the release of pro-inflammatory factors and activation of matrix metalloproteinases (MMPs), then MMPs further cause the glycocalyx layer to damage endothelial cells and finally lead to hyperosmolar vascular abnormalities and eventually microcirculatory disorders in general clinical practice, and are used in clinical treatment to prevent the release of pro-inflammatory factors. However, the immunosuppressive effect of high-dose dexamethasone is unpredictable before pathogens are cleared. <i>Curcuma wenyujin</i> (CW) is a traditional Chinese medicine containing the biologically active ingredient β-elemene, which has been reported to have endothelial protective effects. In this study, an acute vascular endothelial damage animal model was established by intraperitoneal injection of LPS in rats, and the treatments included oral administration of CW root aqueous extract solution at a low dose (LW group, 375 mg/kg/day) and high dose (HW group, 1500 mg/kg) for endothelial protection evaluation. The results demonstrated that HW reduced the TLR4 signaling pathway and downstream markers of vascular inflammation, particularly MMP2 and MMP9. This study suggests that CW, a traditional Chinese medicine, could CW root aqueous extracts treatments protect against LPS-induced acute vascular damage in rats. This study advocates for further clinical exploration of CW as a potential clinical use in bacterial infection-induced sepsis or complementary treatment to current therapies, potentially benefiting cardiovascular and other inflammatory conditions.</p>","PeriodicalId":14031,"journal":{"name":"International Journal of Medical Sciences","volume":"22 14","pages":"3556-3564"},"PeriodicalIF":3.2000,"publicationDate":"2025-07-28","publicationTypes":"Journal Article","fieldsOfStudy":null,"isOpenAccess":false,"openAccessPdf":"https://www.ncbi.nlm.nih.gov/pmc/articles/PMC12434830/pdf/","citationCount":"0","resultStr":"{\"title\":\"Vascular Endothelial Protection Effects of <i>Curcuma wenyujin</i> Root Aqueous Extracts on LPS-induced Rat Vascular Damage.\",\"authors\":\"Li-Hsien Chen, Sheau-Chung Tang, Shu-Er Yang, Erl-Shyh Kao\",\"doi\":\"10.7150/ijms.112103\",\"DOIUrl\":null,\"url\":null,\"abstract\":\"<p><p>Sepsis caused by bacterial infection can also induce vascular endothelial damage through endotoxins secreted by bacteria such as lipopolysaccharides (LPS). The mechanism of LPS induce vascular endothelial damage is mainly through the release of pro-inflammatory factors and activation of matrix metalloproteinases (MMPs), then MMPs further cause the glycocalyx layer to damage endothelial cells and finally lead to hyperosmolar vascular abnormalities and eventually microcirculatory disorders in general clinical practice, and are used in clinical treatment to prevent the release of pro-inflammatory factors. However, the immunosuppressive effect of high-dose dexamethasone is unpredictable before pathogens are cleared. <i>Curcuma wenyujin</i> (CW) is a traditional Chinese medicine containing the biologically active ingredient β-elemene, which has been reported to have endothelial protective effects. In this study, an acute vascular endothelial damage animal model was established by intraperitoneal injection of LPS in rats, and the treatments included oral administration of CW root aqueous extract solution at a low dose (LW group, 375 mg/kg/day) and high dose (HW group, 1500 mg/kg) for endothelial protection evaluation. The results demonstrated that HW reduced the TLR4 signaling pathway and downstream markers of vascular inflammation, particularly MMP2 and MMP9. This study suggests that CW, a traditional Chinese medicine, could CW root aqueous extracts treatments protect against LPS-induced acute vascular damage in rats. This study advocates for further clinical exploration of CW as a potential clinical use in bacterial infection-induced sepsis or complementary treatment to current therapies, potentially benefiting cardiovascular and other inflammatory conditions.</p>\",\"PeriodicalId\":14031,\"journal\":{\"name\":\"International Journal of Medical Sciences\",\"volume\":\"22 14\",\"pages\":\"3556-3564\"},\"PeriodicalIF\":3.2000,\"publicationDate\":\"2025-07-28\",\"publicationTypes\":\"Journal Article\",\"fieldsOfStudy\":null,\"isOpenAccess\":false,\"openAccessPdf\":\"https://www.ncbi.nlm.nih.gov/pmc/articles/PMC12434830/pdf/\",\"citationCount\":\"0\",\"resultStr\":null,\"platform\":\"Semanticscholar\",\"paperid\":null,\"PeriodicalName\":\"International Journal of Medical Sciences\",\"FirstCategoryId\":\"3\",\"ListUrlMain\":\"https://doi.org/10.7150/ijms.112103\",\"RegionNum\":3,\"RegionCategory\":\"医学\",\"ArticlePicture\":[],\"TitleCN\":null,\"AbstractTextCN\":null,\"PMCID\":null,\"EPubDate\":\"2025/1/1 0:00:00\",\"PubModel\":\"eCollection\",\"JCR\":\"Q1\",\"JCRName\":\"MEDICINE, GENERAL & INTERNAL\",\"Score\":null,\"Total\":0}","platform":"Semanticscholar","paperid":null,"PeriodicalName":"International Journal of Medical Sciences","FirstCategoryId":"3","ListUrlMain":"https://doi.org/10.7150/ijms.112103","RegionNum":3,"RegionCategory":"医学","ArticlePicture":[],"TitleCN":null,"AbstractTextCN":null,"PMCID":null,"EPubDate":"2025/1/1 0:00:00","PubModel":"eCollection","JCR":"Q1","JCRName":"MEDICINE, GENERAL & INTERNAL","Score":null,"Total":0}
引用次数: 0

摘要

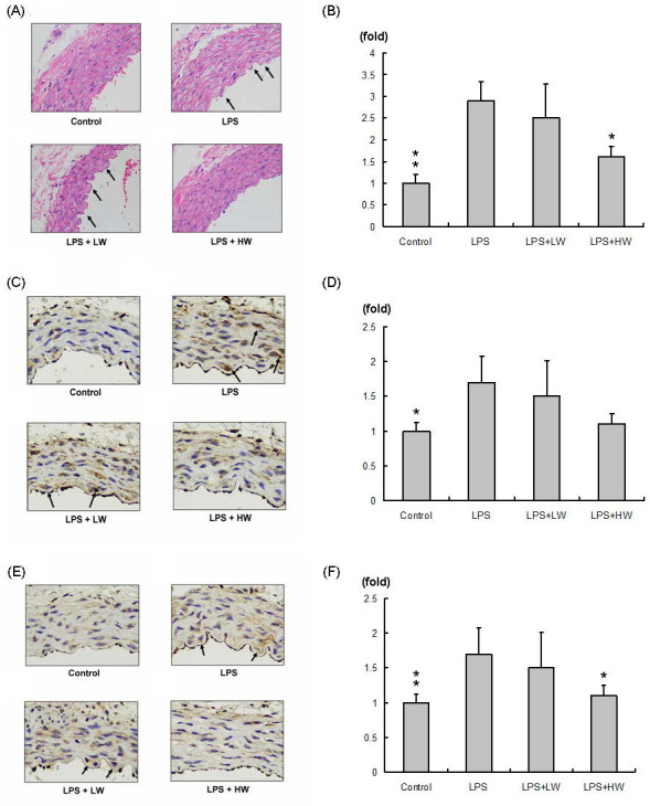
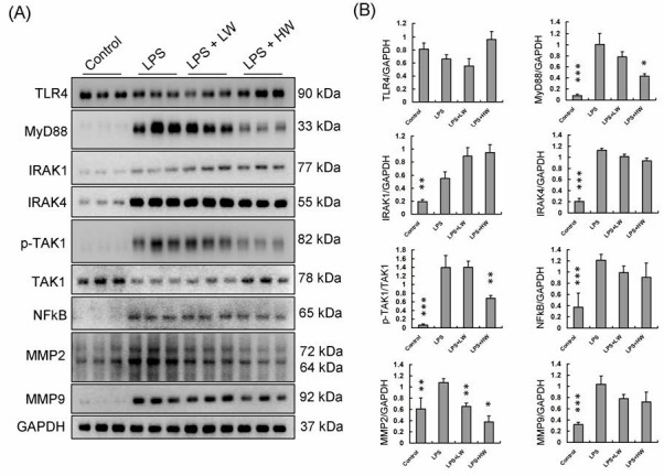
细菌感染引起的脓毒症也可通过细菌分泌的内毒素如脂多糖(LPS)诱导血管内皮损伤。LPS诱导血管内皮损伤的机制主要是通过促炎因子的释放和基质金属蛋白酶(MMPs)的激活,然后MMPs进一步引起糖基花青素层损伤内皮细胞,最终导致血管高渗异常,最终导致微循环障碍,在一般临床实践中用于临床治疗以阻止促炎因子的释放。然而,在病原体被清除之前,大剂量地塞米松的免疫抑制作用是不可预测的。姜黄文玉金(Curcuma wenyujin, CW)是一种含有生物活性成分β-榄香烯(β-elemene)的中药,有研究报道其具有内皮保护作用。本研究通过腹腔注射LPS建立大鼠急性血管内皮损伤动物模型,采用低剂量(LW组,375 mg/kg/d)和高剂量(HW组,1500 mg/kg)连续灌胃连翘根水提液,评价其对血管内皮的保护作用。结果表明,HW降低了TLR4信号通路和血管炎症的下游标志物,特别是MMP2和MMP9。提示中药连翘水提液对lps诱导的大鼠急性血管损伤具有保护作用。本研究提倡进一步临床探索CW作为细菌感染引起的败血症的潜在临床应用,或作为现有治疗的补充治疗,潜在地有益于心血管和其他炎症疾病。
本文章由计算机程序翻译,如有差异,请以英文原文为准。

Vascular Endothelial Protection Effects of <i>Curcuma wenyujin</i> Root Aqueous Extracts on LPS-induced Rat Vascular Damage.

Vascular Endothelial Protection Effects of <i>Curcuma wenyujin</i> Root Aqueous Extracts on LPS-induced Rat Vascular Damage.

Vascular Endothelial Protection Effects of <i>Curcuma wenyujin</i> Root Aqueous Extracts on LPS-induced Rat Vascular Damage.

Vascular Endothelial Protection Effects of Curcuma wenyujin Root Aqueous Extracts on LPS-induced Rat Vascular Damage.

Sepsis caused by bacterial infection can also induce vascular endothelial damage through endotoxins secreted by bacteria such as lipopolysaccharides (LPS). The mechanism of LPS induce vascular endothelial damage is mainly through the release of pro-inflammatory factors and activation of matrix metalloproteinases (MMPs), then MMPs further cause the glycocalyx layer to damage endothelial cells and finally lead to hyperosmolar vascular abnormalities and eventually microcirculatory disorders in general clinical practice, and are used in clinical treatment to prevent the release of pro-inflammatory factors. However, the immunosuppressive effect of high-dose dexamethasone is unpredictable before pathogens are cleared. Curcuma wenyujin (CW) is a traditional Chinese medicine containing the biologically active ingredient β-elemene, which has been reported to have endothelial protective effects. In this study, an acute vascular endothelial damage animal model was established by intraperitoneal injection of LPS in rats, and the treatments included oral administration of CW root aqueous extract solution at a low dose (LW group, 375 mg/kg/day) and high dose (HW group, 1500 mg/kg) for endothelial protection evaluation. The results demonstrated that HW reduced the TLR4 signaling pathway and downstream markers of vascular inflammation, particularly MMP2 and MMP9. This study suggests that CW, a traditional Chinese medicine, could CW root aqueous extracts treatments protect against LPS-induced acute vascular damage in rats. This study advocates for further clinical exploration of CW as a potential clinical use in bacterial infection-induced sepsis or complementary treatment to current therapies, potentially benefiting cardiovascular and other inflammatory conditions.

求助全文
通过发布文献求助,成功后即可免费获取论文全文。 去求助
来源期刊
International Journal of Medical Sciences
International Journal of Medical Sciences MEDICINE, GENERAL & INTERNAL-
CiteScore
7.20
自引率
0.00%
发文量
185
审稿时长
2.7 months
期刊介绍: Original research papers, reviews, and short research communications in any medical related area can be submitted to the Journal on the understanding that the work has not been published previously in whole or part and is not under consideration for publication elsewhere. Manuscripts in basic science and clinical medicine are both considered. There is no restriction on the length of research papers and reviews, although authors are encouraged to be concise. Short research communication is limited to be under 2500 words.
×
引用
GB/T 7714-2015
复制
MLA
复制
APA
复制
导出至
BibTeX EndNote RefMan NoteFirst NoteExpress
×
提示
您的信息不完整,为了账户安全,请先补充。
现在去补充
×
提示
您因"违规操作"
具体请查看互助需知
我知道了
×
提示
确定
请完成安全验证×
copy
已复制链接
快去分享给好友吧!
我知道了
右上角分享
点击右上角分享
0
联系我们:info@booksci.cn Book学术提供免费学术资源搜索服务,方便国内外学者检索中英文文献。致力于提供最便捷和优质的服务体验。 Copyright © 2023 布克学术 All rights reserved.
京ICP备2023020795号-1
ghs 京公网安备 11010802042870号
Book学术文献互助
Book学术文献互助群
群 号:604180095
Book学术官方微信