乳腺结核合并肉芽肿性乳腺炎的中西医结合治疗策略1例。

IF 2.6 4区 医学 Q2 OBSTETRICS & GYNECOLOGY
International Journal of Women's Health Pub Date : 2025-09-11 eCollection Date: 2025-01-01 DOI:10.2147/IJWH.S534962
Yifei Zeng, Dongxiao Zhang, Na Fu, Hao Dong, Yu Zhou
{"title":"乳腺结核合并肉芽肿性乳腺炎的中西医结合治疗策略1例。","authors":"Yifei Zeng, Dongxiao Zhang, Na Fu, Hao Dong, Yu Zhou","doi":"10.2147/IJWH.S534962","DOIUrl":null,"url":null,"abstract":"<p><strong>Background: </strong>Breast tuberculosis (BTB) is a clinically rare breast disease, and cases of BTB combined with granulomatous mastitis are even rarer. This type of disease is straightforward to misdiagnose or overlook during clinical diagnosis, thereby delaying treatment.</p><p><strong>Methods: </strong>This case report describes a rare case of granulomatous mastitis complicated by breast tuberculosis in an elderly female patient admitted to the Breast Surgery Department of Beijing Traditional Chinese Medicine Hospital affiliated with Capital Medical University. Through a retrospective analysis of the integrated traditional Chinese and Western medicine treatment process, this study compares the patient's condition after three follow-up visits following the implementation of a traditional Chinese medicine (TCM) treatment regimen, as well as the six-month post-operative follow-up outcomes. Additionally, by referencing relevant prior literature, this study analyzes and summarizes the current status of diagnostic and therapeutic research on BTB.</p><p><strong>Results: </strong>In this case, granulomatous mastitis was the first symptom in the early stage, and traditional Chinese medicine soup was taken internally as well as poultices applied externally, with a relatively obvious clinical effect. The diagnosis was confirmed by ultrasound, CT, tissue biopsy, Mycobacterium tuberculosis acid-fast stained smear, and other tests. The patient was treated surgically, and the diagnosis was finally confirmed by molecular testing and anti-tuberculosis treatment in a specialized hospital. The patient's condition was stable on follow-up, and the prognosis was good.</p><p><strong>Conclusion: </strong>Early diagnosis and differentiation of breast tuberculosis is difficult, and it is very easy to misdiagnose and delay the disease. In the early stage of the disease, traditional Chinese medicine can be used in combination, and in the stable stage of the disease, a reasonable choice of surgical treatment can shorten the course of the disease. This also reveals the important value of integrated Chinese and Western medicine treatment in the clinical treatment of this type of patient.</p>","PeriodicalId":14356,"journal":{"name":"International Journal of Women's Health","volume":"17 ","pages":"2959-2967"},"PeriodicalIF":2.6000,"publicationDate":"2025-09-11","publicationTypes":"Journal Article","fieldsOfStudy":null,"isOpenAccess":false,"openAccessPdf":"https://www.ncbi.nlm.nih.gov/pmc/articles/PMC12435507/pdf/","citationCount":"0","resultStr":"{\"title\":\"Integrative Medicine Treatment Strategy for Tuberculosis of the Breast Combined with Granulomatous Mastitis: A Case Report.\",\"authors\":\"Yifei Zeng, Dongxiao Zhang, Na Fu, Hao Dong, Yu Zhou\",\"doi\":\"10.2147/IJWH.S534962\",\"DOIUrl\":null,\"url\":null,\"abstract\":\"<p><strong>Background: </strong>Breast tuberculosis (BTB) is a clinically rare breast disease, and cases of BTB combined with granulomatous mastitis are even rarer. This type of disease is straightforward to misdiagnose or overlook during clinical diagnosis, thereby delaying treatment.</p><p><strong>Methods: </strong>This case report describes a rare case of granulomatous mastitis complicated by breast tuberculosis in an elderly female patient admitted to the Breast Surgery Department of Beijing Traditional Chinese Medicine Hospital affiliated with Capital Medical University. Through a retrospective analysis of the integrated traditional Chinese and Western medicine treatment process, this study compares the patient's condition after three follow-up visits following the implementation of a traditional Chinese medicine (TCM) treatment regimen, as well as the six-month post-operative follow-up outcomes. Additionally, by referencing relevant prior literature, this study analyzes and summarizes the current status of diagnostic and therapeutic research on BTB.</p><p><strong>Results: </strong>In this case, granulomatous mastitis was the first symptom in the early stage, and traditional Chinese medicine soup was taken internally as well as poultices applied externally, with a relatively obvious clinical effect. The diagnosis was confirmed by ultrasound, CT, tissue biopsy, Mycobacterium tuberculosis acid-fast stained smear, and other tests. The patient was treated surgically, and the diagnosis was finally confirmed by molecular testing and anti-tuberculosis treatment in a specialized hospital. The patient's condition was stable on follow-up, and the prognosis was good.</p><p><strong>Conclusion: </strong>Early diagnosis and differentiation of breast tuberculosis is difficult, and it is very easy to misdiagnose and delay the disease. In the early stage of the disease, traditional Chinese medicine can be used in combination, and in the stable stage of the disease, a reasonable choice of surgical treatment can shorten the course of the disease. This also reveals the important value of integrated Chinese and Western medicine treatment in the clinical treatment of this type of patient.</p>\",\"PeriodicalId\":14356,\"journal\":{\"name\":\"International Journal of Women's Health\",\"volume\":\"17 \",\"pages\":\"2959-2967\"},\"PeriodicalIF\":2.6000,\"publicationDate\":\"2025-09-11\",\"publicationTypes\":\"Journal Article\",\"fieldsOfStudy\":null,\"isOpenAccess\":false,\"openAccessPdf\":\"https://www.ncbi.nlm.nih.gov/pmc/articles/PMC12435507/pdf/\",\"citationCount\":\"0\",\"resultStr\":null,\"platform\":\"Semanticscholar\",\"paperid\":null,\"PeriodicalName\":\"International Journal of Women's Health\",\"FirstCategoryId\":\"3\",\"ListUrlMain\":\"https://doi.org/10.2147/IJWH.S534962\",\"RegionNum\":4,\"RegionCategory\":\"医学\",\"ArticlePicture\":[],\"TitleCN\":null,\"AbstractTextCN\":null,\"PMCID\":null,\"EPubDate\":\"2025/1/1 0:00:00\",\"PubModel\":\"eCollection\",\"JCR\":\"Q2\",\"JCRName\":\"OBSTETRICS & GYNECOLOGY\",\"Score\":null,\"Total\":0}","platform":"Semanticscholar","paperid":null,"PeriodicalName":"International Journal of Women's Health","FirstCategoryId":"3","ListUrlMain":"https://doi.org/10.2147/IJWH.S534962","RegionNum":4,"RegionCategory":"医学","ArticlePicture":[],"TitleCN":null,"AbstractTextCN":null,"PMCID":null,"EPubDate":"2025/1/1 0:00:00","PubModel":"eCollection","JCR":"Q2","JCRName":"OBSTETRICS & GYNECOLOGY","Score":null,"Total":0}
引用次数: 0

摘要

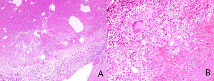
背景:乳腺结核(Breast tuberculosis, BTB)是临床上罕见的乳腺疾病,其中合并肉芽肿性乳腺炎更为罕见。这种疾病在临床诊断时容易误诊或忽视,从而延误治疗。方法:本文报道首都医科大学附属北京中医医院乳腺外科收治的一例罕见的肉芽肿性乳腺炎合并乳腺结核的老年女性患者。本研究通过对中西医结合治疗过程的回顾性分析,比较患者在实施中医治疗方案后3次随访的情况,以及术后6个月的随访结果。此外,本研究在参考相关文献的基础上,对BTB的诊断和治疗研究现状进行了分析和总结。结果:本病例早期以肉芽肿性乳腺炎为首发症状,内服中药汤剂外敷膏药,临床效果较明显。经超声、CT、组织活检、结核杆菌抗酸涂片等检查证实。患者接受手术治疗,最终通过分子检测和抗结核治疗在专科医院确诊。随访患者病情稳定,预后良好。结论:乳腺结核的早期诊断和鉴别困难,极易误诊和延误。在疾病的早期,中医可以联合使用,在疾病的稳定阶段,合理选择手术治疗可以缩短病程。这也揭示了中西医结合治疗在临床治疗这类患者中的重要价值。
本文章由计算机程序翻译,如有差异,请以英文原文为准。

Integrative Medicine Treatment Strategy for Tuberculosis of the Breast Combined with Granulomatous Mastitis: A Case Report.

Integrative Medicine Treatment Strategy for Tuberculosis of the Breast Combined with Granulomatous Mastitis: A Case Report.

Integrative Medicine Treatment Strategy for Tuberculosis of the Breast Combined with Granulomatous Mastitis: A Case Report.

Integrative Medicine Treatment Strategy for Tuberculosis of the Breast Combined with Granulomatous Mastitis: A Case Report.

Background: Breast tuberculosis (BTB) is a clinically rare breast disease, and cases of BTB combined with granulomatous mastitis are even rarer. This type of disease is straightforward to misdiagnose or overlook during clinical diagnosis, thereby delaying treatment.

Methods: This case report describes a rare case of granulomatous mastitis complicated by breast tuberculosis in an elderly female patient admitted to the Breast Surgery Department of Beijing Traditional Chinese Medicine Hospital affiliated with Capital Medical University. Through a retrospective analysis of the integrated traditional Chinese and Western medicine treatment process, this study compares the patient's condition after three follow-up visits following the implementation of a traditional Chinese medicine (TCM) treatment regimen, as well as the six-month post-operative follow-up outcomes. Additionally, by referencing relevant prior literature, this study analyzes and summarizes the current status of diagnostic and therapeutic research on BTB.

Results: In this case, granulomatous mastitis was the first symptom in the early stage, and traditional Chinese medicine soup was taken internally as well as poultices applied externally, with a relatively obvious clinical effect. The diagnosis was confirmed by ultrasound, CT, tissue biopsy, Mycobacterium tuberculosis acid-fast stained smear, and other tests. The patient was treated surgically, and the diagnosis was finally confirmed by molecular testing and anti-tuberculosis treatment in a specialized hospital. The patient's condition was stable on follow-up, and the prognosis was good.

Conclusion: Early diagnosis and differentiation of breast tuberculosis is difficult, and it is very easy to misdiagnose and delay the disease. In the early stage of the disease, traditional Chinese medicine can be used in combination, and in the stable stage of the disease, a reasonable choice of surgical treatment can shorten the course of the disease. This also reveals the important value of integrated Chinese and Western medicine treatment in the clinical treatment of this type of patient.

求助全文
通过发布文献求助,成功后即可免费获取论文全文。 去求助
来源期刊
International Journal of Women's Health
International Journal of Women's Health OBSTETRICS & GYNECOLOGY-
CiteScore
3.70
自引率
0.00%
发文量
194
审稿时长
16 weeks
期刊介绍: International Journal of Women''s Health is an international, peer-reviewed, open access, online journal. Publishing original research, reports, editorials, reviews and commentaries on all aspects of women''s healthcare including gynecology, obstetrics, and breast cancer. Subject areas include: Chronic conditions including cancers of various organs specific and not specific to women Migraine, headaches, arthritis, osteoporosis Endocrine and autoimmune syndromes - asthma, multiple sclerosis, lupus, diabetes Sexual and reproductive health including fertility patterns and emerging technologies to address infertility Infectious disease with chronic sequelae including HIV/AIDS, HPV, PID, and other STDs Psychological and psychosocial conditions - depression across the life span, substance abuse, domestic violence Health maintenance among aging females - factors affecting the quality of life including physical, social and mental issues Avenues for health promotion and disease prevention across the life span Male vs female incidence comparisons for conditions that affect both genders.
×
引用
GB/T 7714-2015
复制
MLA
复制
APA
复制
导出至
BibTeX EndNote RefMan NoteFirst NoteExpress
×
提示
您的信息不完整,为了账户安全,请先补充。
现在去补充
×
提示
您因"违规操作"
具体请查看互助需知
我知道了
×
提示
确定
请完成安全验证×
copy
已复制链接
快去分享给好友吧!
我知道了
右上角分享
点击右上角分享
0
联系我们:info@booksci.cn Book学术提供免费学术资源搜索服务,方便国内外学者检索中英文文献。致力于提供最便捷和优质的服务体验。 Copyright © 2023 布克学术 All rights reserved.
京ICP备2023020795号-1
ghs 京公网安备 11010802042870号
Book学术文献互助
Book学术文献互助群
群 号:604180095
Book学术官方微信