薄层色谱引导下香根草(Chrysopogon spp.)叶提取物成抗痤疮凝胶。

IF 5.1 3区 生物学 Q1 BIOTECHNOLOGY & APPLIED MICROBIOLOGY
Duangsamorn Boonwun Boyd, Lapatrada Mungmai, Sornkanok Vimolmangkang, Sirada Uputinan, Dutrudi Panprommin, Wasu Pathom-Aree, Panitnart Auputinan
{"title":"薄层色谱引导下香根草(Chrysopogon spp.)叶提取物成抗痤疮凝胶。","authors":"Duangsamorn Boonwun Boyd, Lapatrada Mungmai, Sornkanok Vimolmangkang, Sirada Uputinan, Dutrudi Panprommin, Wasu Pathom-Aree, Panitnart Auputinan","doi":"10.1186/s40643-025-00941-1","DOIUrl":null,"url":null,"abstract":"","PeriodicalId":9067,"journal":{"name":"Bioresources and Bioprocessing","volume":"12 1","pages":"99"},"PeriodicalIF":5.1000,"publicationDate":"2025-09-17","publicationTypes":"Journal Article","fieldsOfStudy":null,"isOpenAccess":false,"openAccessPdf":"https://www.ncbi.nlm.nih.gov/pmc/articles/PMC12440845/pdf/","citationCount":"0","resultStr":"{\"title\":\"TLC-bioautography-guided valorization of vetiver (Chrysopogon spp.) leaf extracts into an anti-acne gel.\",\"authors\":\"Duangsamorn Boonwun Boyd, Lapatrada Mungmai, Sornkanok Vimolmangkang, Sirada Uputinan, Dutrudi Panprommin, Wasu Pathom-Aree, Panitnart Auputinan\",\"doi\":\"10.1186/s40643-025-00941-1\",\"DOIUrl\":null,\"url\":null,\"abstract\":\"\",\"PeriodicalId\":9067,\"journal\":{\"name\":\"Bioresources and Bioprocessing\",\"volume\":\"12 1\",\"pages\":\"99\"},\"PeriodicalIF\":5.1000,\"publicationDate\":\"2025-09-17\",\"publicationTypes\":\"Journal Article\",\"fieldsOfStudy\":null,\"isOpenAccess\":false,\"openAccessPdf\":\"https://www.ncbi.nlm.nih.gov/pmc/articles/PMC12440845/pdf/\",\"citationCount\":\"0\",\"resultStr\":null,\"platform\":\"Semanticscholar\",\"paperid\":null,\"PeriodicalName\":\"Bioresources and Bioprocessing\",\"FirstCategoryId\":\"5\",\"ListUrlMain\":\"https://doi.org/10.1186/s40643-025-00941-1\",\"RegionNum\":3,\"RegionCategory\":\"生物学\",\"ArticlePicture\":[],\"TitleCN\":null,\"AbstractTextCN\":null,\"PMCID\":null,\"EPubDate\":\"\",\"PubModel\":\"\",\"JCR\":\"Q1\",\"JCRName\":\"BIOTECHNOLOGY & APPLIED MICROBIOLOGY\",\"Score\":null,\"Total\":0}","platform":"Semanticscholar","paperid":null,"PeriodicalName":"Bioresources and Bioprocessing","FirstCategoryId":"5","ListUrlMain":"https://doi.org/10.1186/s40643-025-00941-1","RegionNum":3,"RegionCategory":"生物学","ArticlePicture":[],"TitleCN":null,"AbstractTextCN":null,"PMCID":null,"EPubDate":"","PubModel":"","JCR":"Q1","JCRName":"BIOTECHNOLOGY & APPLIED MICROBIOLOGY","Score":null,"Total":0}
引用次数: 0

摘要

本文章由计算机程序翻译,如有差异,请以英文原文为准。

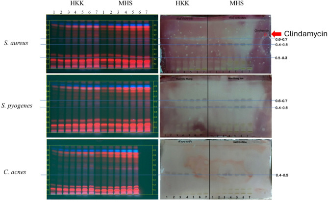
TLC-bioautography-guided valorization of vetiver (Chrysopogon spp.) leaf extracts into an anti-acne gel.

TLC-bioautography-guided valorization of vetiver (Chrysopogon spp.) leaf extracts into an anti-acne gel.

TLC-bioautography-guided valorization of vetiver (Chrysopogon spp.) leaf extracts into an anti-acne gel.

TLC-bioautography-guided valorization of vetiver (Chrysopogon spp.) leaf extracts into an anti-acne gel.
求助全文
通过发布文献求助,成功后即可免费获取论文全文。 去求助
来源期刊
Bioresources and Bioprocessing
Bioresources and Bioprocessing BIOTECHNOLOGY & APPLIED MICROBIOLOGY-
CiteScore
7.20
自引率
8.70%
发文量
118
审稿时长
13 weeks
期刊介绍: Bioresources and Bioprocessing (BIOB) is a peer-reviewed open access journal published under the brand SpringerOpen. BIOB aims at providing an international academic platform for exchanging views on and promoting research to support bioresource development, processing and utilization in a sustainable manner. As an application-oriented research journal, BIOB covers not only the application and management of bioresource technology but also the design and development of bioprocesses that will lead to new and sustainable production processes. BIOB publishes original and review articles on most topics relating to bioresource and bioprocess engineering, including: -Biochemical and microbiological engineering -Biocatalysis and biotransformation -Biosynthesis and metabolic engineering -Bioprocess and biosystems engineering -Bioenergy and biorefinery -Cell culture and biomedical engineering -Food, agricultural and marine biotechnology -Bioseparation and biopurification engineering -Bioremediation and environmental biotechnology
×
引用
GB/T 7714-2015
复制
MLA
复制
APA
复制
导出至
BibTeX EndNote RefMan NoteFirst NoteExpress
×
提示
您的信息不完整,为了账户安全,请先补充。
现在去补充
×
提示
您因"违规操作"
具体请查看互助需知
我知道了
×
提示
确定
请完成安全验证×
copy
已复制链接
快去分享给好友吧!
我知道了
右上角分享
点击右上角分享
0
联系我们:info@booksci.cn Book学术提供免费学术资源搜索服务,方便国内外学者检索中英文文献。致力于提供最便捷和优质的服务体验。 Copyright © 2023 布克学术 All rights reserved.
京ICP备2023020795号-1
ghs 京公网安备 11010802042870号
Book学术文献互助
Book学术文献互助群
群 号:604180095
Book学术官方微信