原发性脊髓黑色素瘤的GNAQ突变:说明性病例。

Cristina Hayes Meizoso, Janelle P Renterghem, Constance J Mietus, Brittany Owusu-Adjei, Thomas W Smith, David Cachia, Ali Tasneem, Arno S Sungarian
{"title":"原发性脊髓黑色素瘤的GNAQ突变:说明性病例。","authors":"Cristina Hayes Meizoso, Janelle P Renterghem, Constance J Mietus, Brittany Owusu-Adjei, Thomas W Smith, David Cachia, Ali Tasneem, Arno S Sungarian","doi":"10.3171/CASE25183","DOIUrl":null,"url":null,"abstract":"<p><strong>Background: </strong>Primary melanoma in the spine is a rare tumor characterized by lack of primary dermal or uveal lesions. The infrequency of this tumor significantly obfuscates both its diagnosis and treatment.</p><p><strong>Observations: </strong>The authors describe the case of a 74-year-old male who presented with back pain, lower extremity weakness, and numbness. MRI revealed a contrast-enhancing intradural, extramedullary lesion at T11-12 with a hypointense signal on T2-weighted imaging. The patient underwent resection of the lesion. The diagnosis of primary spinal melanoma was confirmed by histopathology, immunohistochemical studies, and lack of primary lesions on dermatological and ophthalmological examination. Next-generation sequencing also revealed a guanine-nucleotide binding protein (GNAQ) mutation.</p><p><strong>Lessons: </strong>The authors present a potential mechanism of primary spinal melanoma tumorigenesis associated with GNAQ. GNAQ mutations lead to abnormal β-catenin activation in neural crest cells, resulting in differentiation into melanoblasts and migration to the spinal cord. Over time, GNAQ mutations can lead to aberrant proliferation of ectopic melanocytes due to downstream activation of the RAS/RAF signaling pathway. Understanding this pathomechanism and its role in primary CNS melanoma may provide a route for potential targeted therapy. https://thejns.org/doi/10.3171/CASE25183.</p>","PeriodicalId":94098,"journal":{"name":"Journal of neurosurgery. Case lessons","volume":"10 11","pages":""},"PeriodicalIF":0.0000,"publicationDate":"2025-09-15","publicationTypes":"Journal Article","fieldsOfStudy":null,"isOpenAccess":false,"openAccessPdf":"https://www.ncbi.nlm.nih.gov/pmc/articles/PMC12435380/pdf/","citationCount":"0","resultStr":"{\"title\":\"GNAQ mutation in primary spinal melanoma: illustrative case.\",\"authors\":\"Cristina Hayes Meizoso, Janelle P Renterghem, Constance J Mietus, Brittany Owusu-Adjei, Thomas W Smith, David Cachia, Ali Tasneem, Arno S Sungarian\",\"doi\":\"10.3171/CASE25183\",\"DOIUrl\":null,\"url\":null,\"abstract\":\"<p><strong>Background: </strong>Primary melanoma in the spine is a rare tumor characterized by lack of primary dermal or uveal lesions. The infrequency of this tumor significantly obfuscates both its diagnosis and treatment.</p><p><strong>Observations: </strong>The authors describe the case of a 74-year-old male who presented with back pain, lower extremity weakness, and numbness. MRI revealed a contrast-enhancing intradural, extramedullary lesion at T11-12 with a hypointense signal on T2-weighted imaging. The patient underwent resection of the lesion. The diagnosis of primary spinal melanoma was confirmed by histopathology, immunohistochemical studies, and lack of primary lesions on dermatological and ophthalmological examination. Next-generation sequencing also revealed a guanine-nucleotide binding protein (GNAQ) mutation.</p><p><strong>Lessons: </strong>The authors present a potential mechanism of primary spinal melanoma tumorigenesis associated with GNAQ. GNAQ mutations lead to abnormal β-catenin activation in neural crest cells, resulting in differentiation into melanoblasts and migration to the spinal cord. Over time, GNAQ mutations can lead to aberrant proliferation of ectopic melanocytes due to downstream activation of the RAS/RAF signaling pathway. Understanding this pathomechanism and its role in primary CNS melanoma may provide a route for potential targeted therapy. https://thejns.org/doi/10.3171/CASE25183.</p>\",\"PeriodicalId\":94098,\"journal\":{\"name\":\"Journal of neurosurgery. Case lessons\",\"volume\":\"10 11\",\"pages\":\"\"},\"PeriodicalIF\":0.0000,\"publicationDate\":\"2025-09-15\",\"publicationTypes\":\"Journal Article\",\"fieldsOfStudy\":null,\"isOpenAccess\":false,\"openAccessPdf\":\"https://www.ncbi.nlm.nih.gov/pmc/articles/PMC12435380/pdf/\",\"citationCount\":\"0\",\"resultStr\":null,\"platform\":\"Semanticscholar\",\"paperid\":null,\"PeriodicalName\":\"Journal of neurosurgery. Case lessons\",\"FirstCategoryId\":\"1085\",\"ListUrlMain\":\"https://doi.org/10.3171/CASE25183\",\"RegionNum\":0,\"RegionCategory\":null,\"ArticlePicture\":[],\"TitleCN\":null,\"AbstractTextCN\":null,\"PMCID\":null,\"EPubDate\":\"\",\"PubModel\":\"\",\"JCR\":\"\",\"JCRName\":\"\",\"Score\":null,\"Total\":0}","platform":"Semanticscholar","paperid":null,"PeriodicalName":"Journal of neurosurgery. Case lessons","FirstCategoryId":"1085","ListUrlMain":"https://doi.org/10.3171/CASE25183","RegionNum":0,"RegionCategory":null,"ArticlePicture":[],"TitleCN":null,"AbstractTextCN":null,"PMCID":null,"EPubDate":"","PubModel":"","JCR":"","JCRName":"","Score":null,"Total":0}
引用次数: 0

摘要

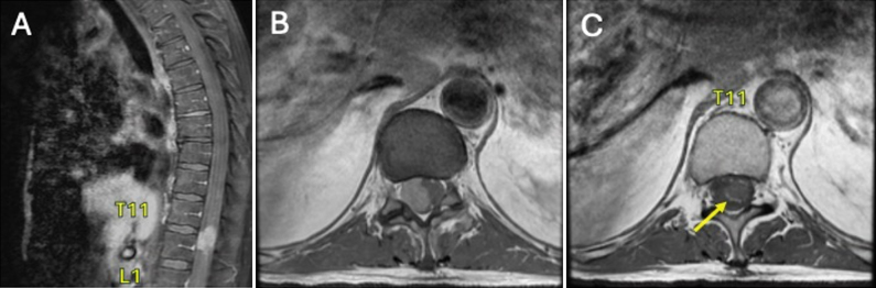
背景:脊柱原发性黑色素瘤是一种罕见的肿瘤,其特征是缺乏原发性真皮或葡萄膜病变。这种肿瘤的罕见性显著地混淆了它的诊断和治疗。观察:作者描述了一个74岁男性的病例,他表现为背部疼痛,下肢无力和麻木。MRI显示T11-12处硬膜内、髓外病变增强,t2加权成像呈低信号。病人接受了病灶切除术。通过组织病理学、免疫组织化学检查以及皮肤和眼科检查未发现原发性病变,证实了原发性脊髓黑色素瘤的诊断。下一代测序还显示了鸟嘌呤核苷酸结合蛋白(GNAQ)突变。经验教训:作者提出了与GNAQ相关的原发性脊髓黑色素瘤发生的潜在机制。GNAQ突变导致神经嵴细胞β-catenin异常活化,分化成黑色素细胞并向脊髓迁移。随着时间的推移,由于RAS/RAF信号通路的下游激活,GNAQ突变可导致异位黑素细胞的异常增殖。了解这种病理机制及其在原发性中枢神经系统黑色素瘤中的作用可能为潜在的靶向治疗提供途径。https://thejns.org/doi/10.3171/CASE25183。
本文章由计算机程序翻译,如有差异,请以英文原文为准。

GNAQ mutation in primary spinal melanoma: illustrative case.

GNAQ mutation in primary spinal melanoma: illustrative case.

GNAQ mutation in primary spinal melanoma: illustrative case.

GNAQ mutation in primary spinal melanoma: illustrative case.

Background: Primary melanoma in the spine is a rare tumor characterized by lack of primary dermal or uveal lesions. The infrequency of this tumor significantly obfuscates both its diagnosis and treatment.

Observations: The authors describe the case of a 74-year-old male who presented with back pain, lower extremity weakness, and numbness. MRI revealed a contrast-enhancing intradural, extramedullary lesion at T11-12 with a hypointense signal on T2-weighted imaging. The patient underwent resection of the lesion. The diagnosis of primary spinal melanoma was confirmed by histopathology, immunohistochemical studies, and lack of primary lesions on dermatological and ophthalmological examination. Next-generation sequencing also revealed a guanine-nucleotide binding protein (GNAQ) mutation.

Lessons: The authors present a potential mechanism of primary spinal melanoma tumorigenesis associated with GNAQ. GNAQ mutations lead to abnormal β-catenin activation in neural crest cells, resulting in differentiation into melanoblasts and migration to the spinal cord. Over time, GNAQ mutations can lead to aberrant proliferation of ectopic melanocytes due to downstream activation of the RAS/RAF signaling pathway. Understanding this pathomechanism and its role in primary CNS melanoma may provide a route for potential targeted therapy. https://thejns.org/doi/10.3171/CASE25183.

求助全文
通过发布文献求助,成功后即可免费获取论文全文。 去求助
来源期刊
CiteScore
0.40
自引率
0.00%
发文量
0
×
引用
GB/T 7714-2015
复制
MLA
复制
APA
复制
导出至
BibTeX EndNote RefMan NoteFirst NoteExpress
×
提示
您的信息不完整,为了账户安全,请先补充。
现在去补充
×
提示
您因"违规操作"
具体请查看互助需知
我知道了
×
提示
确定
请完成安全验证×
copy
已复制链接
快去分享给好友吧!
我知道了
右上角分享
点击右上角分享
0
联系我们:info@booksci.cn Book学术提供免费学术资源搜索服务,方便国内外学者检索中英文文献。致力于提供最便捷和优质的服务体验。 Copyright © 2023 布克学术 All rights reserved.
京ICP备2023020795号-1
ghs 京公网安备 11010802042870号
Book学术文献互助
Book学术文献互助群
群 号:604180095
Book学术官方微信