头皮切开加半脑部分切除术治疗恶性大脑中动脉梗死:一例说明性病例。

Katherine L Olivares, Arun Sherma, Chiu Yuen To, Syeda Maria Muzammil
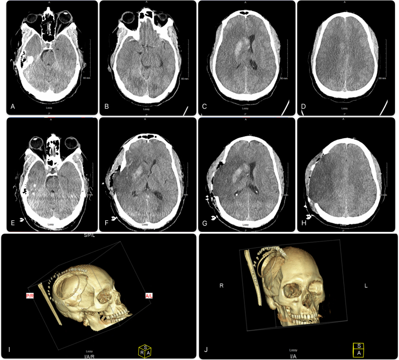
{"title":"头皮切开加半脑部分切除术治疗恶性大脑中动脉梗死:一例说明性病例。","authors":"Katherine L Olivares, Arun Sherma, Chiu Yuen To, Syeda Maria Muzammil","doi":"10.3171/CASE2523","DOIUrl":null,"url":null,"abstract":"<p><strong>Background: </strong>Malignant middle cerebral artery (MCA) infarctions result in cerebral edema that can lead to brain herniation and death. Standard management includes decompressive hemicraniectomy (DHC) and comprehensive neurocritical care. Some patients may continue to decline despite these measures. Reopening of the scalp incision may allow for additional decompression and provide mortality benefit.</p><p><strong>Observations: </strong>A 47-year-old man developed malignant right MCA territory infarction following intravenous thrombolysis and unsuccessful mechanical thrombectomy. Despite aggressive hyperosmolar therapy and a large DHC, the patient continued to exhibit clinical decline and radiological progression of cerebral edema. In response, the scalp incision was reopened to facilitate maximal external cerebral herniation, a strategy the authors believe was critical in managing the brain swelling. The patient was maintained on prophylactic antibiotics during this period, given the increased infection risk associated with exposed brain surface and potential CSF leakage. Following the resolution of cerebral swelling, a right partial hemispherectomy was performed to excise the infarcted hemisphere. Notably, the patient achieved significant functional recovery following the intervention and an extended period of rehabilitation.</p><p><strong>Lessons: </strong>This case highlights the complexities encountered in the surgical management of malignant cerebral infarction, particularly when standard decompressive measures fail. https://thejns.org/doi/10.3171/CASE2523.</p>","PeriodicalId":94098,"journal":{"name":"Journal of neurosurgery. Case lessons","volume":"10 11","pages":""},"PeriodicalIF":0.0000,"publicationDate":"2025-09-15","publicationTypes":"Journal Article","fieldsOfStudy":null,"isOpenAccess":false,"openAccessPdf":"https://www.ncbi.nlm.nih.gov/pmc/articles/PMC12435381/pdf/","citationCount":"0","resultStr":"{\"title\":\"Managing malignant middle cerebral artery infarction with open scalp incision and partial hemispherectomy: illustrative case.\",\"authors\":\"Katherine L Olivares, Arun Sherma, Chiu Yuen To, Syeda Maria Muzammil\",\"doi\":\"10.3171/CASE2523\",\"DOIUrl\":null,\"url\":null,\"abstract\":\"<p><strong>Background: </strong>Malignant middle cerebral artery (MCA) infarctions result in cerebral edema that can lead to brain herniation and death. Standard management includes decompressive hemicraniectomy (DHC) and comprehensive neurocritical care. Some patients may continue to decline despite these measures. Reopening of the scalp incision may allow for additional decompression and provide mortality benefit.</p><p><strong>Observations: </strong>A 47-year-old man developed malignant right MCA territory infarction following intravenous thrombolysis and unsuccessful mechanical thrombectomy. Despite aggressive hyperosmolar therapy and a large DHC, the patient continued to exhibit clinical decline and radiological progression of cerebral edema. In response, the scalp incision was reopened to facilitate maximal external cerebral herniation, a strategy the authors believe was critical in managing the brain swelling. The patient was maintained on prophylactic antibiotics during this period, given the increased infection risk associated with exposed brain surface and potential CSF leakage. Following the resolution of cerebral swelling, a right partial hemispherectomy was performed to excise the infarcted hemisphere. Notably, the patient achieved significant functional recovery following the intervention and an extended period of rehabilitation.</p><p><strong>Lessons: </strong>This case highlights the complexities encountered in the surgical management of malignant cerebral infarction, particularly when standard decompressive measures fail. https://thejns.org/doi/10.3171/CASE2523.</p>\",\"PeriodicalId\":94098,\"journal\":{\"name\":\"Journal of neurosurgery. Case lessons\",\"volume\":\"10 11\",\"pages\":\"\"},\"PeriodicalIF\":0.0000,\"publicationDate\":\"2025-09-15\",\"publicationTypes\":\"Journal Article\",\"fieldsOfStudy\":null,\"isOpenAccess\":false,\"openAccessPdf\":\"https://www.ncbi.nlm.nih.gov/pmc/articles/PMC12435381/pdf/\",\"citationCount\":\"0\",\"resultStr\":null,\"platform\":\"Semanticscholar\",\"paperid\":null,\"PeriodicalName\":\"Journal of neurosurgery. Case lessons\",\"FirstCategoryId\":\"1085\",\"ListUrlMain\":\"https://doi.org/10.3171/CASE2523\",\"RegionNum\":0,\"RegionCategory\":null,\"ArticlePicture\":[],\"TitleCN\":null,\"AbstractTextCN\":null,\"PMCID\":null,\"EPubDate\":\"\",\"PubModel\":\"\",\"JCR\":\"\",\"JCRName\":\"\",\"Score\":null,\"Total\":0}","platform":"Semanticscholar","paperid":null,"PeriodicalName":"Journal of neurosurgery. Case lessons","FirstCategoryId":"1085","ListUrlMain":"https://doi.org/10.3171/CASE2523","RegionNum":0,"RegionCategory":null,"ArticlePicture":[],"TitleCN":null,"AbstractTextCN":null,"PMCID":null,"EPubDate":"","PubModel":"","JCR":"","JCRName":"","Score":null,"Total":0}
引用次数: 0

摘要

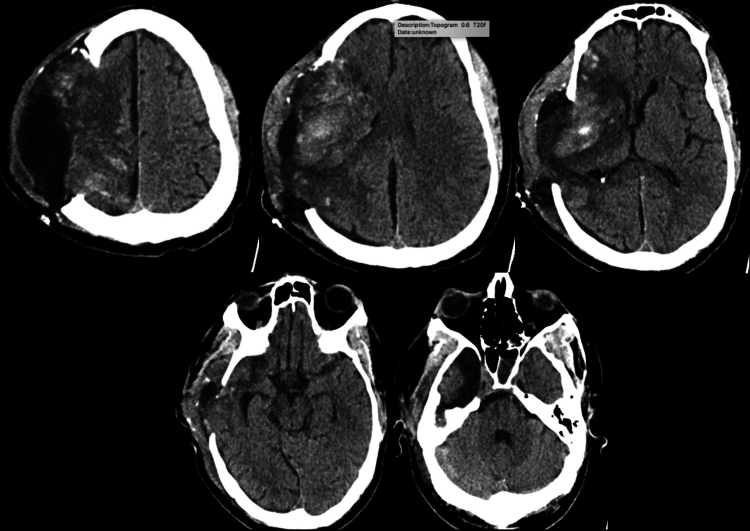
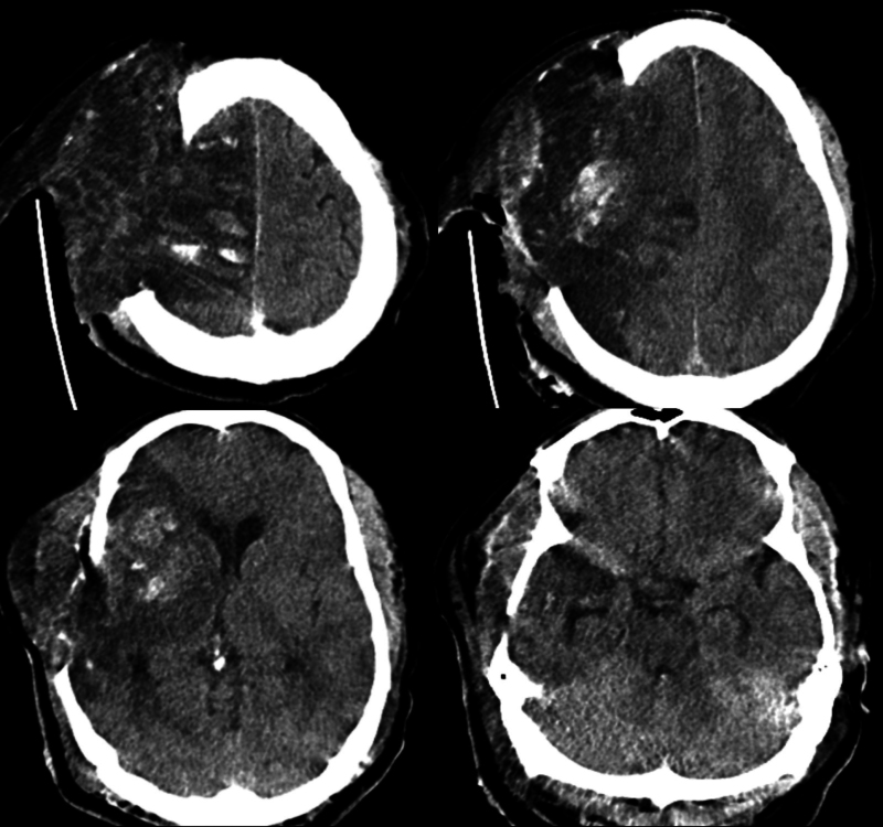
背景:恶性大脑中动脉(MCA)梗死导致脑水肿,可导致脑疝和死亡。标准治疗包括减压性半颅切除术(DHC)和综合神经危重症护理。尽管采取了这些措施,一些患者的病情仍会继续下降。重新开放头皮切口可能允许额外的减压,并提供死亡率的好处。观察:一名47岁男性在静脉溶栓和不成功的机械取栓后发生恶性右MCA区域梗死。尽管积极的高渗治疗和大DHC,患者继续表现出临床衰退和脑水肿的影像学进展。因此,重新打开头皮切口以促进最大程度的脑外疝,作者认为这是治疗脑肿胀的关键策略。在此期间,考虑到暴露的脑表面和潜在的脑脊液泄漏相关的感染风险增加,患者继续使用预防性抗生素。脑肿胀消退后,行右半球部分切除术切除梗死半球。值得注意的是,在干预和延长的康复期后,患者取得了显著的功能恢复。经验教训:本病例突出了恶性脑梗死手术治疗中遇到的复杂性,特别是当标准减压措施失败时。https://thejns.org/doi/10.3171/CASE2523。
本文章由计算机程序翻译,如有差异,请以英文原文为准。

Managing malignant middle cerebral artery infarction with open scalp incision and partial hemispherectomy: illustrative case.

Managing malignant middle cerebral artery infarction with open scalp incision and partial hemispherectomy: illustrative case.

Managing malignant middle cerebral artery infarction with open scalp incision and partial hemispherectomy: illustrative case.

Managing malignant middle cerebral artery infarction with open scalp incision and partial hemispherectomy: illustrative case.

Background: Malignant middle cerebral artery (MCA) infarctions result in cerebral edema that can lead to brain herniation and death. Standard management includes decompressive hemicraniectomy (DHC) and comprehensive neurocritical care. Some patients may continue to decline despite these measures. Reopening of the scalp incision may allow for additional decompression and provide mortality benefit.

Observations: A 47-year-old man developed malignant right MCA territory infarction following intravenous thrombolysis and unsuccessful mechanical thrombectomy. Despite aggressive hyperosmolar therapy and a large DHC, the patient continued to exhibit clinical decline and radiological progression of cerebral edema. In response, the scalp incision was reopened to facilitate maximal external cerebral herniation, a strategy the authors believe was critical in managing the brain swelling. The patient was maintained on prophylactic antibiotics during this period, given the increased infection risk associated with exposed brain surface and potential CSF leakage. Following the resolution of cerebral swelling, a right partial hemispherectomy was performed to excise the infarcted hemisphere. Notably, the patient achieved significant functional recovery following the intervention and an extended period of rehabilitation.

Lessons: This case highlights the complexities encountered in the surgical management of malignant cerebral infarction, particularly when standard decompressive measures fail. https://thejns.org/doi/10.3171/CASE2523.

求助全文
通过发布文献求助,成功后即可免费获取论文全文。 去求助
来源期刊
CiteScore
0.40
自引率
0.00%
发文量
0
×
引用
GB/T 7714-2015
复制
MLA
复制
APA
复制
导出至
BibTeX EndNote RefMan NoteFirst NoteExpress
×
提示
您的信息不完整,为了账户安全,请先补充。
现在去补充
×
提示
您因"违规操作"
具体请查看互助需知
我知道了
×
提示
确定
请完成安全验证×
copy
已复制链接
快去分享给好友吧!
我知道了
右上角分享
点击右上角分享
0
联系我们:info@booksci.cn Book学术提供免费学术资源搜索服务,方便国内外学者检索中英文文献。致力于提供最便捷和优质的服务体验。 Copyright © 2023 布克学术 All rights reserved.
京ICP备2023020795号-1
ghs 京公网安备 11010802042870号
Book学术文献互助
Book学术文献互助群
群 号:604180095
Book学术官方微信