松果体区原发性恶性黑色素瘤:说明性病例。

Jiahong Xu, Jibo Hu, Zhenwei Chen
{"title":"松果体区原发性恶性黑色素瘤:说明性病例。","authors":"Jiahong Xu, Jibo Hu, Zhenwei Chen","doi":"10.3171/CASE25242","DOIUrl":null,"url":null,"abstract":"<p><strong>Background: </strong>Primary pineal melanoma is a rare tumor characterized by a high propensity for progression and recurrence. The imaging complexity of the melanoma will pose significant challenges for preoperative diagnosis. Definitive diagnosis necessitates histopathological examination.</p><p><strong>Observations: </strong>The authors present the case of a 49-year-old woman presenting with headache accompanied by nausea and vomiting. Imaging revealed a pineal tumor with subarachnoid hemorrhage. She underwent her first craniotomy at another hospital. Four months after surgery, she was sent to the authors' hospital for a second craniotomy due to recurrent cerebral hemorrhage. The postoperative pathological diagnosis was malignant melanoma in the pineal region.</p><p><strong>Lessons: </strong>In this case, malignant melanoma in the pineal region recurred rapidly and involved the ventricles only 4 months after surgery, suggesting the necessity of close follow-up for rare tumors. In addition, diagnosing this type of tumor on preoperative imaging is challenging, and although pathological diagnosis is the gold standard, the patient in this case required repeat pathological analysis for a definitive diagnosis to be made. https://thejns.org/doi/10.3171/CASE25242.</p>","PeriodicalId":94098,"journal":{"name":"Journal of neurosurgery. Case lessons","volume":"10 11","pages":""},"PeriodicalIF":0.0000,"publicationDate":"2025-09-15","publicationTypes":"Journal Article","fieldsOfStudy":null,"isOpenAccess":false,"openAccessPdf":"https://www.ncbi.nlm.nih.gov/pmc/articles/PMC12435373/pdf/","citationCount":"0","resultStr":"{\"title\":\"Primary malignant melanoma of the pineal region: illustrative case.\",\"authors\":\"Jiahong Xu, Jibo Hu, Zhenwei Chen\",\"doi\":\"10.3171/CASE25242\",\"DOIUrl\":null,\"url\":null,\"abstract\":\"<p><strong>Background: </strong>Primary pineal melanoma is a rare tumor characterized by a high propensity for progression and recurrence. The imaging complexity of the melanoma will pose significant challenges for preoperative diagnosis. Definitive diagnosis necessitates histopathological examination.</p><p><strong>Observations: </strong>The authors present the case of a 49-year-old woman presenting with headache accompanied by nausea and vomiting. Imaging revealed a pineal tumor with subarachnoid hemorrhage. She underwent her first craniotomy at another hospital. Four months after surgery, she was sent to the authors' hospital for a second craniotomy due to recurrent cerebral hemorrhage. The postoperative pathological diagnosis was malignant melanoma in the pineal region.</p><p><strong>Lessons: </strong>In this case, malignant melanoma in the pineal region recurred rapidly and involved the ventricles only 4 months after surgery, suggesting the necessity of close follow-up for rare tumors. In addition, diagnosing this type of tumor on preoperative imaging is challenging, and although pathological diagnosis is the gold standard, the patient in this case required repeat pathological analysis for a definitive diagnosis to be made. https://thejns.org/doi/10.3171/CASE25242.</p>\",\"PeriodicalId\":94098,\"journal\":{\"name\":\"Journal of neurosurgery. Case lessons\",\"volume\":\"10 11\",\"pages\":\"\"},\"PeriodicalIF\":0.0000,\"publicationDate\":\"2025-09-15\",\"publicationTypes\":\"Journal Article\",\"fieldsOfStudy\":null,\"isOpenAccess\":false,\"openAccessPdf\":\"https://www.ncbi.nlm.nih.gov/pmc/articles/PMC12435373/pdf/\",\"citationCount\":\"0\",\"resultStr\":null,\"platform\":\"Semanticscholar\",\"paperid\":null,\"PeriodicalName\":\"Journal of neurosurgery. Case lessons\",\"FirstCategoryId\":\"1085\",\"ListUrlMain\":\"https://doi.org/10.3171/CASE25242\",\"RegionNum\":0,\"RegionCategory\":null,\"ArticlePicture\":[],\"TitleCN\":null,\"AbstractTextCN\":null,\"PMCID\":null,\"EPubDate\":\"\",\"PubModel\":\"\",\"JCR\":\"\",\"JCRName\":\"\",\"Score\":null,\"Total\":0}","platform":"Semanticscholar","paperid":null,"PeriodicalName":"Journal of neurosurgery. Case lessons","FirstCategoryId":"1085","ListUrlMain":"https://doi.org/10.3171/CASE25242","RegionNum":0,"RegionCategory":null,"ArticlePicture":[],"TitleCN":null,"AbstractTextCN":null,"PMCID":null,"EPubDate":"","PubModel":"","JCR":"","JCRName":"","Score":null,"Total":0}
引用次数: 0

摘要

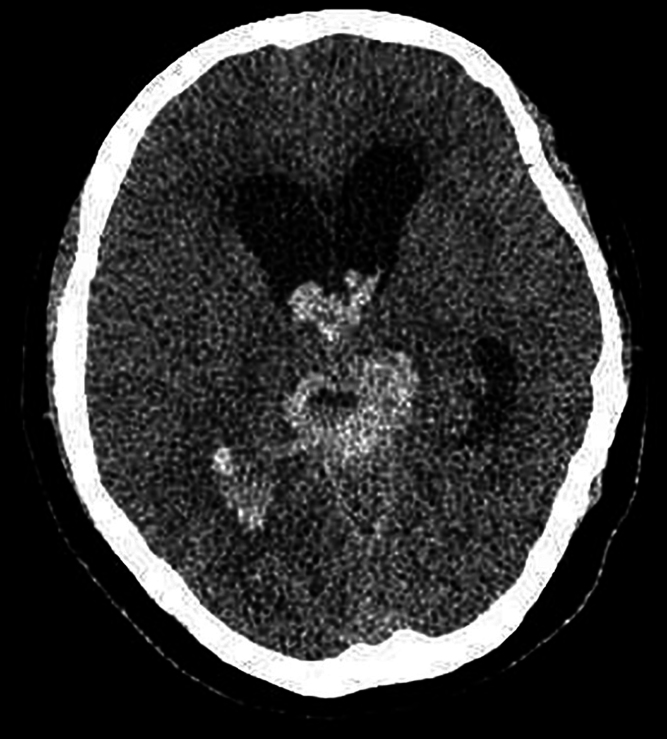
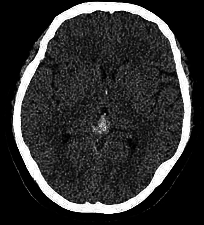
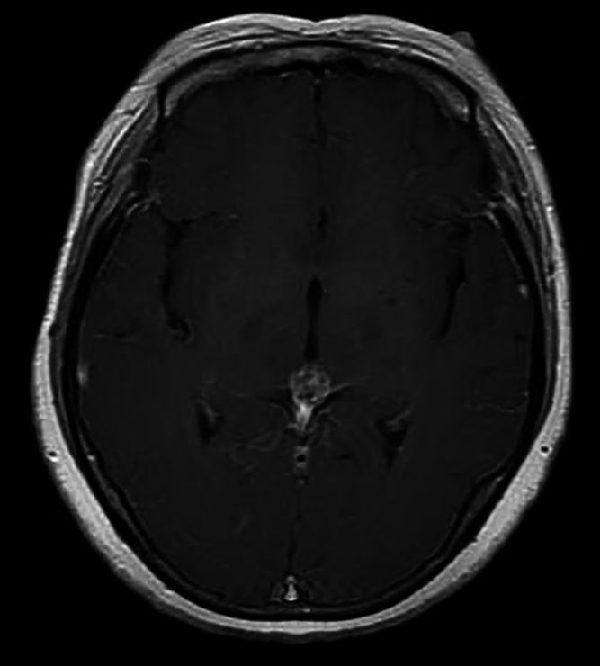
背景:原发性松果体黑色素瘤是一种罕见的肿瘤,其特点是具有较高的进展和复发倾向。黑色素瘤的成像复杂性将对术前诊断提出重大挑战。明确诊断需要组织病理学检查。观察:作者提出的情况下,一个49岁的妇女提出头痛伴有恶心和呕吐。影像显示松果体肿瘤伴蛛网膜下腔出血。她在另一家医院接受了第一次开颅手术。手术后4个月,由于脑出血复发,她被送往提交人医院进行第二次开颅手术。术后病理诊断为松果体区恶性黑色素瘤。结论:本例患者术后仅4个月,松果体区恶性黑色素瘤复发迅速并累及脑室,提示对罕见肿瘤应密切随访。此外,在术前影像学上诊断这种类型的肿瘤具有挑战性,尽管病理诊断是金标准,但在本病例中,患者需要重复病理分析才能做出明确的诊断。https://thejns.org/doi/10.3171/CASE25242。
本文章由计算机程序翻译,如有差异,请以英文原文为准。

Primary malignant melanoma of the pineal region: illustrative case.

Primary malignant melanoma of the pineal region: illustrative case.

Primary malignant melanoma of the pineal region: illustrative case.

Primary malignant melanoma of the pineal region: illustrative case.

Background: Primary pineal melanoma is a rare tumor characterized by a high propensity for progression and recurrence. The imaging complexity of the melanoma will pose significant challenges for preoperative diagnosis. Definitive diagnosis necessitates histopathological examination.

Observations: The authors present the case of a 49-year-old woman presenting with headache accompanied by nausea and vomiting. Imaging revealed a pineal tumor with subarachnoid hemorrhage. She underwent her first craniotomy at another hospital. Four months after surgery, she was sent to the authors' hospital for a second craniotomy due to recurrent cerebral hemorrhage. The postoperative pathological diagnosis was malignant melanoma in the pineal region.

Lessons: In this case, malignant melanoma in the pineal region recurred rapidly and involved the ventricles only 4 months after surgery, suggesting the necessity of close follow-up for rare tumors. In addition, diagnosing this type of tumor on preoperative imaging is challenging, and although pathological diagnosis is the gold standard, the patient in this case required repeat pathological analysis for a definitive diagnosis to be made. https://thejns.org/doi/10.3171/CASE25242.

求助全文
通过发布文献求助,成功后即可免费获取论文全文。 去求助
来源期刊
CiteScore
0.40
自引率
0.00%
发文量
0
×
引用
GB/T 7714-2015
复制
MLA
复制
APA
复制
导出至
BibTeX EndNote RefMan NoteFirst NoteExpress
×
提示
您的信息不完整,为了账户安全,请先补充。
现在去补充
×
提示
您因"违规操作"
具体请查看互助需知
我知道了
×
提示
确定
请完成安全验证×
copy
已复制链接
快去分享给好友吧!
我知道了
右上角分享
点击右上角分享
0
联系我们:info@booksci.cn Book学术提供免费学术资源搜索服务,方便国内外学者检索中英文文献。致力于提供最便捷和优质的服务体验。 Copyright © 2023 布克学术 All rights reserved.
京ICP备2023020795号-1
ghs 京公网安备 11010802042870号
Book学术文献互助
Book学术文献互助群
群 号:604180095
Book学术官方微信