毗邻颈椎的骨外关节旁骨软骨瘤:说明性病例。

Hughes W Benjamin, Lauren E Corliss, Taylor N Murray, Gregory Chamberlin, Deveney Franklin, Mark A Attiah
{"title":"毗邻颈椎的骨外关节旁骨软骨瘤:说明性病例。","authors":"Hughes W Benjamin, Lauren E Corliss, Taylor N Murray, Gregory Chamberlin, Deveney Franklin, Mark A Attiah","doi":"10.3171/CASE25468","DOIUrl":null,"url":null,"abstract":"<p><strong>Background: </strong>Extraskeletal osteochondromas are well-circumscribed osteocartilaginous lesions arising from soft tissues without bone continuity. Extraskeletal osteochondromas may present in a para-articular location, although few reported cases have occurred near the spine. Clinical diagnosis remains challenging as these tumors can be difficult to distinguish from other ossified soft tissue lesions. Treatment includes management by observation or resection. Here the authors present a rare case of an extraskeletal osteochondroma near the cervical spine.</p><p><strong>Observations: </strong>A 56-year-old male presented with a palpable left paraspinal suboccipital mass that had slowly progressed over 5 years. The patient was asymptomatic and the neurological examination was nonfocal. MRI revealed an approximately 6-cm well-circumscribed heterogeneous mass in the left suboccipital area that lacked direct contact with the spine or calvarium. A hypointense capsule on T2-weighted MRI and multiple hypointense septations on T1- and T2-weighted MRI were identified. The slow rate of tumor growth suggested a benign tumor. CT imaging of the chest, abdomen, and pelvis was obtained to rule out malignancy. Surgical intervention was offered and accepted by the patient. At 2 months postoperatively, imaging demonstrated no recurrence, and the patient was asymptomatic and had improved range of motion.</p><p><strong>Lessons: </strong>Extraskeletal osteochondroma should be considered when diagnosing osteocartilaginous paraspinal masses. https://thejns.org/doi/10.3171/CASE25468.</p>","PeriodicalId":94098,"journal":{"name":"Journal of neurosurgery. Case lessons","volume":"10 11","pages":""},"PeriodicalIF":0.0000,"publicationDate":"2025-09-15","publicationTypes":"Journal Article","fieldsOfStudy":null,"isOpenAccess":false,"openAccessPdf":"https://www.ncbi.nlm.nih.gov/pmc/articles/PMC12435374/pdf/","citationCount":"0","resultStr":"{\"title\":\"Extraskeletal para-articular osteochondroma adjacent to the cervical spine: illustrative case.\",\"authors\":\"Hughes W Benjamin, Lauren E Corliss, Taylor N Murray, Gregory Chamberlin, Deveney Franklin, Mark A Attiah\",\"doi\":\"10.3171/CASE25468\",\"DOIUrl\":null,\"url\":null,\"abstract\":\"<p><strong>Background: </strong>Extraskeletal osteochondromas are well-circumscribed osteocartilaginous lesions arising from soft tissues without bone continuity. Extraskeletal osteochondromas may present in a para-articular location, although few reported cases have occurred near the spine. Clinical diagnosis remains challenging as these tumors can be difficult to distinguish from other ossified soft tissue lesions. Treatment includes management by observation or resection. Here the authors present a rare case of an extraskeletal osteochondroma near the cervical spine.</p><p><strong>Observations: </strong>A 56-year-old male presented with a palpable left paraspinal suboccipital mass that had slowly progressed over 5 years. The patient was asymptomatic and the neurological examination was nonfocal. MRI revealed an approximately 6-cm well-circumscribed heterogeneous mass in the left suboccipital area that lacked direct contact with the spine or calvarium. A hypointense capsule on T2-weighted MRI and multiple hypointense septations on T1- and T2-weighted MRI were identified. The slow rate of tumor growth suggested a benign tumor. CT imaging of the chest, abdomen, and pelvis was obtained to rule out malignancy. Surgical intervention was offered and accepted by the patient. At 2 months postoperatively, imaging demonstrated no recurrence, and the patient was asymptomatic and had improved range of motion.</p><p><strong>Lessons: </strong>Extraskeletal osteochondroma should be considered when diagnosing osteocartilaginous paraspinal masses. https://thejns.org/doi/10.3171/CASE25468.</p>\",\"PeriodicalId\":94098,\"journal\":{\"name\":\"Journal of neurosurgery. Case lessons\",\"volume\":\"10 11\",\"pages\":\"\"},\"PeriodicalIF\":0.0000,\"publicationDate\":\"2025-09-15\",\"publicationTypes\":\"Journal Article\",\"fieldsOfStudy\":null,\"isOpenAccess\":false,\"openAccessPdf\":\"https://www.ncbi.nlm.nih.gov/pmc/articles/PMC12435374/pdf/\",\"citationCount\":\"0\",\"resultStr\":null,\"platform\":\"Semanticscholar\",\"paperid\":null,\"PeriodicalName\":\"Journal of neurosurgery. Case lessons\",\"FirstCategoryId\":\"1085\",\"ListUrlMain\":\"https://doi.org/10.3171/CASE25468\",\"RegionNum\":0,\"RegionCategory\":null,\"ArticlePicture\":[],\"TitleCN\":null,\"AbstractTextCN\":null,\"PMCID\":null,\"EPubDate\":\"\",\"PubModel\":\"\",\"JCR\":\"\",\"JCRName\":\"\",\"Score\":null,\"Total\":0}","platform":"Semanticscholar","paperid":null,"PeriodicalName":"Journal of neurosurgery. Case lessons","FirstCategoryId":"1085","ListUrlMain":"https://doi.org/10.3171/CASE25468","RegionNum":0,"RegionCategory":null,"ArticlePicture":[],"TitleCN":null,"AbstractTextCN":null,"PMCID":null,"EPubDate":"","PubModel":"","JCR":"","JCRName":"","Score":null,"Total":0}
引用次数: 0

摘要

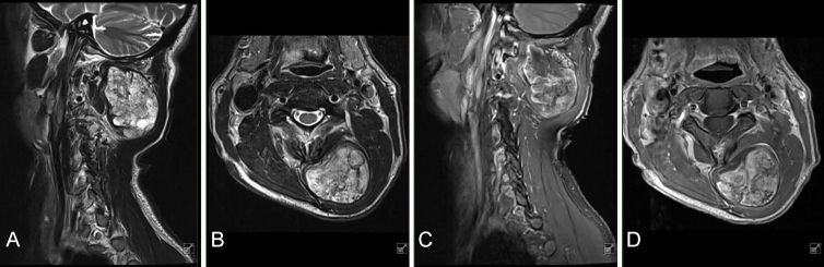
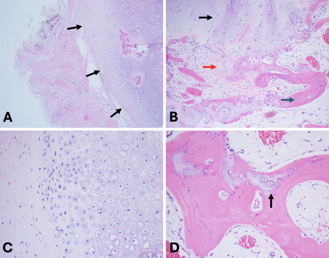
背景:骨外骨软骨瘤是一种界限明确的骨软骨性病变,起源于没有骨连续性的软组织。骨外骨软骨瘤可能出现在关节旁位置,尽管很少有报道的病例发生在脊柱附近。临床诊断仍然具有挑战性,因为这些肿瘤很难与其他骨化软组织病变区分开来。治疗包括观察或切除。在这里,作者提出一个罕见的病例骨外骨软骨瘤附近的颈椎。观察:56岁男性,表现为可触及的左侧椎骨旁枕骨下肿块,缓慢进展超过5年。患者无症状,神经学检查无局灶性。MRI显示左侧枕下区约6厘米边界清晰的非均匀肿块,与脊柱或颅骨没有直接接触。在t2加权MRI上发现一个低信号囊,在T1和t2加权MRI上发现多个低信号分隔。肿瘤生长缓慢提示为良性肿瘤。胸部、腹部和骨盆的CT检查排除了恶性肿瘤。手术干预被提出并被患者接受。术后2个月,影像学显示无复发,患者无症状,活动范围改善。结论:在诊断骨软骨旁肿块时应考虑骨骼外骨软骨瘤。https://thejns.org/doi/10.3171/CASE25468。
本文章由计算机程序翻译,如有差异,请以英文原文为准。

Extraskeletal para-articular osteochondroma adjacent to the cervical spine: illustrative case.

Extraskeletal para-articular osteochondroma adjacent to the cervical spine: illustrative case.

Extraskeletal para-articular osteochondroma adjacent to the cervical spine: illustrative case.

Extraskeletal para-articular osteochondroma adjacent to the cervical spine: illustrative case.

Background: Extraskeletal osteochondromas are well-circumscribed osteocartilaginous lesions arising from soft tissues without bone continuity. Extraskeletal osteochondromas may present in a para-articular location, although few reported cases have occurred near the spine. Clinical diagnosis remains challenging as these tumors can be difficult to distinguish from other ossified soft tissue lesions. Treatment includes management by observation or resection. Here the authors present a rare case of an extraskeletal osteochondroma near the cervical spine.

Observations: A 56-year-old male presented with a palpable left paraspinal suboccipital mass that had slowly progressed over 5 years. The patient was asymptomatic and the neurological examination was nonfocal. MRI revealed an approximately 6-cm well-circumscribed heterogeneous mass in the left suboccipital area that lacked direct contact with the spine or calvarium. A hypointense capsule on T2-weighted MRI and multiple hypointense septations on T1- and T2-weighted MRI were identified. The slow rate of tumor growth suggested a benign tumor. CT imaging of the chest, abdomen, and pelvis was obtained to rule out malignancy. Surgical intervention was offered and accepted by the patient. At 2 months postoperatively, imaging demonstrated no recurrence, and the patient was asymptomatic and had improved range of motion.

Lessons: Extraskeletal osteochondroma should be considered when diagnosing osteocartilaginous paraspinal masses. https://thejns.org/doi/10.3171/CASE25468.

求助全文
通过发布文献求助,成功后即可免费获取论文全文。 去求助
来源期刊
CiteScore
0.40
自引率
0.00%
发文量
0
×
引用
GB/T 7714-2015
复制
MLA
复制
APA
复制
导出至
BibTeX EndNote RefMan NoteFirst NoteExpress
×
提示
您的信息不完整,为了账户安全,请先补充。
现在去补充
×
提示
您因"违规操作"
具体请查看互助需知
我知道了
×
提示
确定
请完成安全验证×
copy
已复制链接
快去分享给好友吧!
我知道了
右上角分享
点击右上角分享
0
联系我们:info@booksci.cn Book学术提供免费学术资源搜索服务,方便国内外学者检索中英文文献。致力于提供最便捷和优质的服务体验。 Copyright © 2023 布克学术 All rights reserved.
京ICP备2023020795号-1
ghs 京公网安备 11010802042870号
Book学术文献互助
Book学术文献互助群
群 号:604180095
Book学术官方微信