部分肾切除术作为有限的全身治疗选择的少转移癌的管理:1例报告。

IF 1.9 Q3 ONCOLOGY
Journal of Kidney Cancer and VHL Pub Date : 2025-09-10 eCollection Date: 2025-01-01 DOI:10.15586/jkc.v12i3.414
Chibuzor Victor Nwachukwu, Christopher Michael Brede, Gerald Paul Wright, Brian Robert Lane
{"title":"部分肾切除术作为有限的全身治疗选择的少转移癌的管理:1例报告。","authors":"Chibuzor Victor Nwachukwu, Christopher Michael Brede, Gerald Paul Wright, Brian Robert Lane","doi":"10.15586/jkc.v12i3.414","DOIUrl":null,"url":null,"abstract":"<p><p>Ocular melanoma is a form of melanoma that rarely offers actionable mutations for treatment with systemic therapy and is relatively radioresistant. As such, surgery is the mainstay of treatment for localized disease and can be considered for oligometastatic disease. We present a case of ocular melanoma that recurred with a solitary renal metastasis 9 years after initial diagnosis and treatment with intraocular brachytherapy. After multidisciplinary discussion, the patient underwent a partial nephrectomy for her solitary renal metastasis. The patient continued in follow-up 3.5 years after partial nephrectomy. She was treated again surgically for a solitary metastasis to the breast before initiation of systemic therapy once multifocal disease was identified. We suggest interdisciplinary management of patients with metastatic involvement of target organs, given the rapidly changing treatment landscape for melanoma and other forms of cancer.</p>","PeriodicalId":44291,"journal":{"name":"Journal of Kidney Cancer and VHL","volume":"12 3","pages":"32-36"},"PeriodicalIF":1.9000,"publicationDate":"2025-09-10","publicationTypes":"Journal Article","fieldsOfStudy":null,"isOpenAccess":false,"openAccessPdf":"https://www.ncbi.nlm.nih.gov/pmc/articles/PMC12433453/pdf/","citationCount":"0","resultStr":"{\"title\":\"Partial Nephrectomy as Management of Oligometastatic Cancer with Limited Systemic Treatment Options: A Case Report.\",\"authors\":\"Chibuzor Victor Nwachukwu, Christopher Michael Brede, Gerald Paul Wright, Brian Robert Lane\",\"doi\":\"10.15586/jkc.v12i3.414\",\"DOIUrl\":null,\"url\":null,\"abstract\":\"<p><p>Ocular melanoma is a form of melanoma that rarely offers actionable mutations for treatment with systemic therapy and is relatively radioresistant. As such, surgery is the mainstay of treatment for localized disease and can be considered for oligometastatic disease. We present a case of ocular melanoma that recurred with a solitary renal metastasis 9 years after initial diagnosis and treatment with intraocular brachytherapy. After multidisciplinary discussion, the patient underwent a partial nephrectomy for her solitary renal metastasis. The patient continued in follow-up 3.5 years after partial nephrectomy. She was treated again surgically for a solitary metastasis to the breast before initiation of systemic therapy once multifocal disease was identified. We suggest interdisciplinary management of patients with metastatic involvement of target organs, given the rapidly changing treatment landscape for melanoma and other forms of cancer.</p>\",\"PeriodicalId\":44291,\"journal\":{\"name\":\"Journal of Kidney Cancer and VHL\",\"volume\":\"12 3\",\"pages\":\"32-36\"},\"PeriodicalIF\":1.9000,\"publicationDate\":\"2025-09-10\",\"publicationTypes\":\"Journal Article\",\"fieldsOfStudy\":null,\"isOpenAccess\":false,\"openAccessPdf\":\"https://www.ncbi.nlm.nih.gov/pmc/articles/PMC12433453/pdf/\",\"citationCount\":\"0\",\"resultStr\":null,\"platform\":\"Semanticscholar\",\"paperid\":null,\"PeriodicalName\":\"Journal of Kidney Cancer and VHL\",\"FirstCategoryId\":\"1085\",\"ListUrlMain\":\"https://doi.org/10.15586/jkc.v12i3.414\",\"RegionNum\":0,\"RegionCategory\":null,\"ArticlePicture\":[],\"TitleCN\":null,\"AbstractTextCN\":null,\"PMCID\":null,\"EPubDate\":\"2025/1/1 0:00:00\",\"PubModel\":\"eCollection\",\"JCR\":\"Q3\",\"JCRName\":\"ONCOLOGY\",\"Score\":null,\"Total\":0}","platform":"Semanticscholar","paperid":null,"PeriodicalName":"Journal of Kidney Cancer and VHL","FirstCategoryId":"1085","ListUrlMain":"https://doi.org/10.15586/jkc.v12i3.414","RegionNum":0,"RegionCategory":null,"ArticlePicture":[],"TitleCN":null,"AbstractTextCN":null,"PMCID":null,"EPubDate":"2025/1/1 0:00:00","PubModel":"eCollection","JCR":"Q3","JCRName":"ONCOLOGY","Score":null,"Total":0}
引用次数: 0

摘要

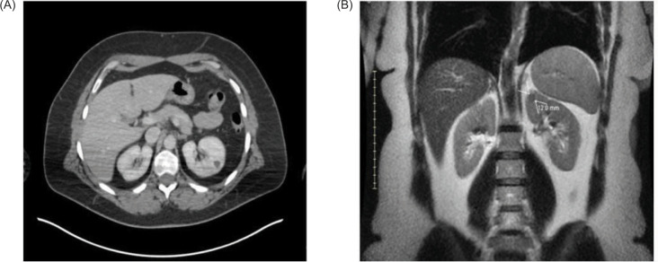
眼部黑色素瘤是黑色素瘤的一种形式,它很少提供可操作的突变来进行全身治疗,并且相对具有放射抗性。因此,手术是局部疾病的主要治疗方法,可以考虑治疗少转移性疾病。我们报告一例眼部黑色素瘤在初次诊断并接受眼内近距离放射治疗9年后复发并单发肾转移。经过多学科的讨论,患者接受了部分肾切除术,她的单发肾转移。患者在部分肾切除术后持续随访3.5年。在确定多灶性疾病后开始全身治疗之前,她再次接受了手术治疗,原因是单纯转移到乳房。鉴于黑色素瘤和其他形式的癌症治疗前景的迅速变化,我们建议对转移性侵犯靶器官的患者进行跨学科管理。
本文章由计算机程序翻译,如有差异,请以英文原文为准。

Partial Nephrectomy as Management of Oligometastatic Cancer with Limited Systemic Treatment Options: A Case Report.

Partial Nephrectomy as Management of Oligometastatic Cancer with Limited Systemic Treatment Options: A Case Report.

Partial Nephrectomy as Management of Oligometastatic Cancer with Limited Systemic Treatment Options: A Case Report.

Ocular melanoma is a form of melanoma that rarely offers actionable mutations for treatment with systemic therapy and is relatively radioresistant. As such, surgery is the mainstay of treatment for localized disease and can be considered for oligometastatic disease. We present a case of ocular melanoma that recurred with a solitary renal metastasis 9 years after initial diagnosis and treatment with intraocular brachytherapy. After multidisciplinary discussion, the patient underwent a partial nephrectomy for her solitary renal metastasis. The patient continued in follow-up 3.5 years after partial nephrectomy. She was treated again surgically for a solitary metastasis to the breast before initiation of systemic therapy once multifocal disease was identified. We suggest interdisciplinary management of patients with metastatic involvement of target organs, given the rapidly changing treatment landscape for melanoma and other forms of cancer.

求助全文
通过发布文献求助,成功后即可免费获取论文全文。 去求助
来源期刊
自引率
6.20%
发文量
22
审稿时长
4 weeks
×
引用
GB/T 7714-2015
复制
MLA
复制
APA
复制
导出至
BibTeX EndNote RefMan NoteFirst NoteExpress
×
提示
您的信息不完整,为了账户安全,请先补充。
现在去补充
×
提示
您因"违规操作"
具体请查看互助需知
我知道了
×
提示
确定
请完成安全验证×
copy
已复制链接
快去分享给好友吧!
我知道了
右上角分享
点击右上角分享
0
联系我们:info@booksci.cn Book学术提供免费学术资源搜索服务,方便国内外学者检索中英文文献。致力于提供最便捷和优质的服务体验。 Copyright © 2023 布克学术 All rights reserved.
京ICP备2023020795号-1
ghs 京公网安备 11010802042870号
Book学术文献互助
Book学术文献互助群
群 号:604180095
Book学术官方微信