超出通常的特征-扩展登革热综合征与可能存在的神经系统疾病相关:一个病例报告。

IF 0.6 Q3 MEDICINE, GENERAL & INTERNAL
Clinical Medicine Insights. Case Reports Pub Date : 2025-09-12 eCollection Date: 2025-01-01 DOI:10.1177/11795476251359429
Warda Fatmi, Usha Kumari, Shehroz Shahid, Maria Waseem, Qamar Un Nisa Mukhtar
{"title":"超出通常的特征-扩展登革热综合征与可能存在的神经系统疾病相关:一个病例报告。","authors":"Warda Fatmi, Usha Kumari, Shehroz Shahid, Maria Waseem, Qamar Un Nisa Mukhtar","doi":"10.1177/11795476251359429","DOIUrl":null,"url":null,"abstract":"<p><p>Dengue virus infection is a significant public health concern, particularly in endemic areas. This case report highlights the difficulties in diagnosing expanded dengue syndrome (EDS) in a dengue-endemic region. This case report emphasizes keeping high suspicion of index for (EDS) among patients presenting with fever and neurological manifestations particularly in regions where dengue is endemic. The atypical neurological symptoms and inconclusive initial investigations underscore the diagnostic challenges associated with (EDS). Prompt recognition and appropriate laboratory testing, such as detecting dengue NS1 antigen, can aid in accurate diagnosis and subsequent management of patients with this condition. Increased awareness among healthcare providers in endemic regions is crucial for timely identification and intervention in case of dengue-associated neurological complications. Therefore, a multidisciplinary approach is required for time-effective management.</p>","PeriodicalId":10357,"journal":{"name":"Clinical Medicine Insights. Case Reports","volume":"18 ","pages":"11795476251359429"},"PeriodicalIF":0.6000,"publicationDate":"2025-09-12","publicationTypes":"Journal Article","fieldsOfStudy":null,"isOpenAccess":false,"openAccessPdf":"https://www.ncbi.nlm.nih.gov/pmc/articles/PMC12433558/pdf/","citationCount":"0","resultStr":"{\"title\":\"Beyond the Usual Features-Expanded Dengue Syndrome in Association With Possible Pre-existing Neurological Disease: A Case Report.\",\"authors\":\"Warda Fatmi, Usha Kumari, Shehroz Shahid, Maria Waseem, Qamar Un Nisa Mukhtar\",\"doi\":\"10.1177/11795476251359429\",\"DOIUrl\":null,\"url\":null,\"abstract\":\"<p><p>Dengue virus infection is a significant public health concern, particularly in endemic areas. This case report highlights the difficulties in diagnosing expanded dengue syndrome (EDS) in a dengue-endemic region. This case report emphasizes keeping high suspicion of index for (EDS) among patients presenting with fever and neurological manifestations particularly in regions where dengue is endemic. The atypical neurological symptoms and inconclusive initial investigations underscore the diagnostic challenges associated with (EDS). Prompt recognition and appropriate laboratory testing, such as detecting dengue NS1 antigen, can aid in accurate diagnosis and subsequent management of patients with this condition. Increased awareness among healthcare providers in endemic regions is crucial for timely identification and intervention in case of dengue-associated neurological complications. Therefore, a multidisciplinary approach is required for time-effective management.</p>\",\"PeriodicalId\":10357,\"journal\":{\"name\":\"Clinical Medicine Insights. Case Reports\",\"volume\":\"18 \",\"pages\":\"11795476251359429\"},\"PeriodicalIF\":0.6000,\"publicationDate\":\"2025-09-12\",\"publicationTypes\":\"Journal Article\",\"fieldsOfStudy\":null,\"isOpenAccess\":false,\"openAccessPdf\":\"https://www.ncbi.nlm.nih.gov/pmc/articles/PMC12433558/pdf/\",\"citationCount\":\"0\",\"resultStr\":null,\"platform\":\"Semanticscholar\",\"paperid\":null,\"PeriodicalName\":\"Clinical Medicine Insights. Case Reports\",\"FirstCategoryId\":\"1085\",\"ListUrlMain\":\"https://doi.org/10.1177/11795476251359429\",\"RegionNum\":0,\"RegionCategory\":null,\"ArticlePicture\":[],\"TitleCN\":null,\"AbstractTextCN\":null,\"PMCID\":null,\"EPubDate\":\"2025/1/1 0:00:00\",\"PubModel\":\"eCollection\",\"JCR\":\"Q3\",\"JCRName\":\"MEDICINE, GENERAL & INTERNAL\",\"Score\":null,\"Total\":0}","platform":"Semanticscholar","paperid":null,"PeriodicalName":"Clinical Medicine Insights. Case Reports","FirstCategoryId":"1085","ListUrlMain":"https://doi.org/10.1177/11795476251359429","RegionNum":0,"RegionCategory":null,"ArticlePicture":[],"TitleCN":null,"AbstractTextCN":null,"PMCID":null,"EPubDate":"2025/1/1 0:00:00","PubModel":"eCollection","JCR":"Q3","JCRName":"MEDICINE, GENERAL & INTERNAL","Score":null,"Total":0}
引用次数: 0

摘要

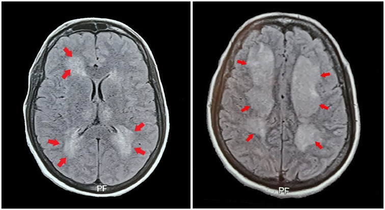
登革热病毒感染是一个重大的公共卫生问题,特别是在流行地区。本病例报告强调了在登革热流行地区诊断扩大登革热综合征(EDS)的困难。本病例报告强调对出现发热和神经系统症状的患者保持高度怀疑,特别是在登革热流行地区。非典型神经症状和不确定的初步调查强调了与(EDS)相关的诊断挑战。及时识别和适当的实验室检测,如检测登革热NS1抗原,可有助于准确诊断和对该病患者的后续管理。提高流行地区卫生保健提供者的认识对于及时发现和干预登革热相关的神经系统并发症至关重要。因此,时间效率管理需要多学科方法。
本文章由计算机程序翻译,如有差异,请以英文原文为准。

Beyond the Usual Features-Expanded Dengue Syndrome in Association With Possible Pre-existing Neurological Disease: A Case Report.

Beyond the Usual Features-Expanded Dengue Syndrome in Association With Possible Pre-existing Neurological Disease: A Case Report.

Beyond the Usual Features-Expanded Dengue Syndrome in Association With Possible Pre-existing Neurological Disease: A Case Report.

Beyond the Usual Features-Expanded Dengue Syndrome in Association With Possible Pre-existing Neurological Disease: A Case Report.

Dengue virus infection is a significant public health concern, particularly in endemic areas. This case report highlights the difficulties in diagnosing expanded dengue syndrome (EDS) in a dengue-endemic region. This case report emphasizes keeping high suspicion of index for (EDS) among patients presenting with fever and neurological manifestations particularly in regions where dengue is endemic. The atypical neurological symptoms and inconclusive initial investigations underscore the diagnostic challenges associated with (EDS). Prompt recognition and appropriate laboratory testing, such as detecting dengue NS1 antigen, can aid in accurate diagnosis and subsequent management of patients with this condition. Increased awareness among healthcare providers in endemic regions is crucial for timely identification and intervention in case of dengue-associated neurological complications. Therefore, a multidisciplinary approach is required for time-effective management.

求助全文
通过发布文献求助,成功后即可免费获取论文全文。 去求助
来源期刊
Clinical Medicine Insights. Case Reports
Clinical Medicine Insights. Case Reports MEDICINE, GENERAL & INTERNAL-
CiteScore
1.10
自引率
0.00%
发文量
57
审稿时长
8 weeks
×
引用
GB/T 7714-2015
复制
MLA
复制
APA
复制
导出至
BibTeX EndNote RefMan NoteFirst NoteExpress
×
提示
您的信息不完整,为了账户安全,请先补充。
现在去补充
×
提示
您因"违规操作"
具体请查看互助需知
我知道了
×
提示
确定
请完成安全验证×
copy
已复制链接
快去分享给好友吧!
我知道了
右上角分享
点击右上角分享
0
联系我们:info@booksci.cn Book学术提供免费学术资源搜索服务,方便国内外学者检索中英文文献。致力于提供最便捷和优质的服务体验。 Copyright © 2023 布克学术 All rights reserved.
京ICP备2023020795号-1
ghs 京公网安备 11010802042870号
Book学术文献互助
Book学术文献互助群
群 号:604180095
Book学术官方微信